Skip to main content

Anatomy and Physiology 2 Lab Manual: 8 - Digestive System

Anatomy and Physiology 2 Lab Manual
8 - Digestive System
  • Show the following:

    Annotations
    Resources
  • Adjust appearance:

    Font
    Font style
    Color Scheme
    Light
    Dark
    Annotation contrast
    Low
    High
    Margins
  • Search within:
    • My Notes + Comments
    • Notifications
    • Privacy
  • Project HomeAnatomy and Physiology II Lab Manual, 2nd Edition
  • Projects
  • Learn more about Manifold

Notes

table of contents
  1. 1 - Endocrine System
  2. 2 - Blood
  3. 3 - Heart Anatomy
  4. 4 - Cardiovascular Physiology
  5. 5 - Blood Vessels
  6. 6 - Lymphatic System
  7. 7 - Respiratory System
  8. 8 - Digestive System
  9. 9 - Urinary System
  10. 10 - Reproductive System

Exercise 8: Digestive System

A drawing of a human body artistically depicting the digestive structures.

Figure 8.1 The above image is from a 17th century AD Persian manuscript by Mansur ibn Muhammad Ahmad illustrating the digestive system as it was known at that time.

Exercise 8 Learning Goals 

After completing this lab, you should be able to: 

  • Identify the organs of the digestive system
  • Identify and describe the structure of the walls of the gastrointestinal tract
  • Know the difference between chemical and mechanical digestion
  • Understand the chemistry of digestion and what is secreted or absorbed in different sections of the GI tract

Pre-Lab Activities for Exercise 8

Pre-Lab Activity 8.1: Describe Structures of the Digestive System

Use your required textbook to complete the table below.

Structure

Function

Location

GI Tract or Accessory Organ

Mouth

Pharynx

Esophagus

Stomach

Small Intestine

Large Intestine

Teeth

Tongue

Salivary glands

Liver

Gallbladder

Pancreas

Pre-Lab Activity 8.2: Digestive Structures

Use your required textbook to correctly label structures of the digestive system below.

1.

2.

3.

4.

5.

6.

7.

8.

9.

10.

11.

12.

13.

14.

15.

16.

17.

18.

19.

20.

21.

22.

23.

24.

25.

26.

27.

28.

29.

30.

A diagram of the internal organs of the digestive structures. Each major structure is numbered 1-30.

Figure 8.2 Major Structures of the Digestive System. The figure has numbers that correspond to specific structures.

Pre-Lab Activity 8.3: Layers of the GI Tract

Use your required textbook to label the structures numbered in the figure below.

A diagram of the tissue layers and features in the gastrointestinal tract. The major structures are numbered 1-19.

Figure 8.3 Tissue layers and associated structures of the gastrointestinal tract. The figure depicts the space inside the digestive system, and the layers of muscle, connective, and epithelial tissue that surrounds them, with numbers pointing to individual structures.

1.

11.

2.

12.

3.

13.

4.

14.

5.

15.

6.

16.

7.

17.

8.

18.

9.

19.

10.

Pre-Lab Activity 8.4: Chemical and Mechanical Digestion

Structure

Function or Definition

Location

Masticate

Salivary amylase

Lysozyme

Deglutition

Rugae

Chyme

Pepsinogen

Gastrin

Cephalic Phase

Gastric Phase

Haustra

Defecation

Bile

Pancreatic amylase

Pancreatic lipase

Emulsification

Lab Exercise 8: Digestive Anatomy

Location of Digestive Organs

The digestive system is critical for converting energy in food to potential chemical energy, a necessary process for muscle movement, nerve impulse conduction and other cellular events. Digestion involves both chemical and mechanical manipulation of macromolecules. Chemical digestion involves reactions that break down complex macromolecules into smaller molecules, which may then be used by cells for energy conversion. Mechanical digestion involves movements and secretions that facilitate chemical digestion. The digestive organs are divided into the gastrointestinal tract (GI) and accessory digestive organs. The GI tract is a long, hollow tube that extends from the oral cavity to the anus and includes the mouth, pharynx, esophagus, stomach, small intestine, and large intestine. The accessory organs assist with mechanical and chemical digestion and include the teeth, tongue, salivary glands, liver, gallbladder, and pancreas.

A diagram of the internal organs of the human digestive system. The major accessory organs and the major organs of the gastrointestinal tract are indicated and labeled.

Figure 8.4: The Digestive System. The figure depicts the parts of the digestive system, with each part labeled.

Anatomically, the mouth (oral or buccal cavity) is formed by the cheeks, hard palate, soft palate, and the tongue. Functionally, the mouth is the initial site of mechanical digestion through the teeth via chewing (mastication) food into smaller pieces and chemical digestion through saliva from the salivary glands which secrete the carbohydrate digesting enzymes. In the mouth food is reduced to a bolus or flexible mass that passes through the pharynx into the esophagus. When food is swallowed it passes through the pharynx, a funnel-shaped tube also known as the throat, and into the esophagus. The esophagus is a flexible and collapsible muscular tube that begins at the pharynx and connects to the stomach. The esophagus moves food from the pharynx to the stomach via peristalsis. Food passes from the esophagus to the stomach, a J-shaped sac, which is divided into four main regions, the cardia which surrounds the opening of the stomach, a rounded fundus, the central body, and the pylorus which connects with the duodenum of the small intestine. Further mechanical digestion of food occurs in the stomach via peristaltic waves, reducing the mass of food to a soupy liquid known as chyme. Chemical digestion in the stomach occurs by adding gastric juices to the chyme and begins digestion of lipids and proteins. There are two sphincters which regulate movement of the food bolus into and out of the stomach. The lower esophageal sphincter allows movement of the food from the esophagus into the cardia and the pyloric sphincter regulates movement of food from the pylorus into the small intestine. Located retroperitoneally, the pancreas delivers pancreatic juice to the duodenum of the small intestine. Pancreatic juice buffers the acidity of chyme coming from the stomach and is composed of enzymes that digest starches, proteins, and lipids. The liver is inferior to the diaphragm and divided into a large right and smaller left lobe. The liver produces bile which is stored and concentrated in the gallbladder. The gallbladder is a pear-shaped sac that hangs inferiorly from the liver and stores bile. Bile plays a critical role in the emulsification of fats. Digestion and absorption of nutrients occurs in the small intestine. The small intestine is divided into three regions, the duodenum which is a short segment connected to the stomach and retroperitoneal; the jejunum, which connects the duodenum to the ileum; and the ileum which connects to the large intestine at the ileocecal sphincter. Mechanical digestion in the small intestine occurs via segmentation and peristalsis. Chyme entering the small intestines has partially digested carbohydrates, proteins, and lipids. In the small intestine this chemical digestion is continued. The large intestine is the final portion of the GI tract, and any undigested material ends up here. It functions to complete absorption, produce vitamins, form feces, and expel feces from the body. The large intestine is structured into four regions the cecum, the colon, the rectum, and the anal canal. The anus is the opening of the anal canal to the exterior and is guarded by an internal and external anal sphincter.

Lab Activity 8.1: Digestive AnatomyUsing a torso model identify the following structures of the digestive system.

  • mouth
  • pancreas
  • salivary glands
  • liver
  • tongue
  • gallbladder
  • pharynx
  • duodenum
  • stomach body
  • jejunum
  • stomach cardia
  • ileum
  • stomach fundus
  • cecum
  • stomach pylorus
  • ascending colon
  • sigmoid colon
  • descending colon
  • anus
  • esophagus
  • transverse colon
  • rectum

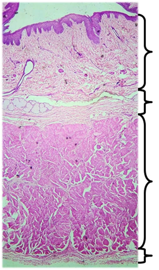
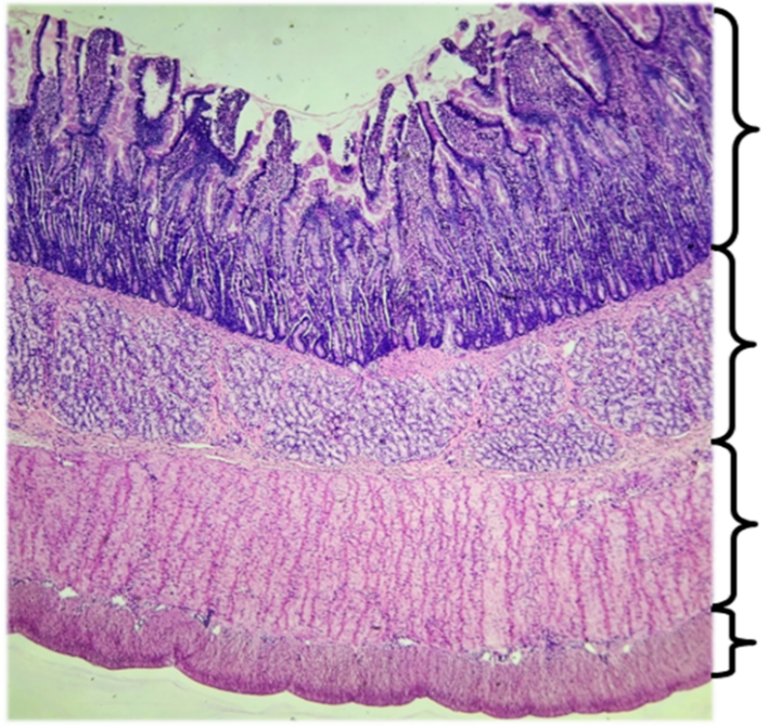
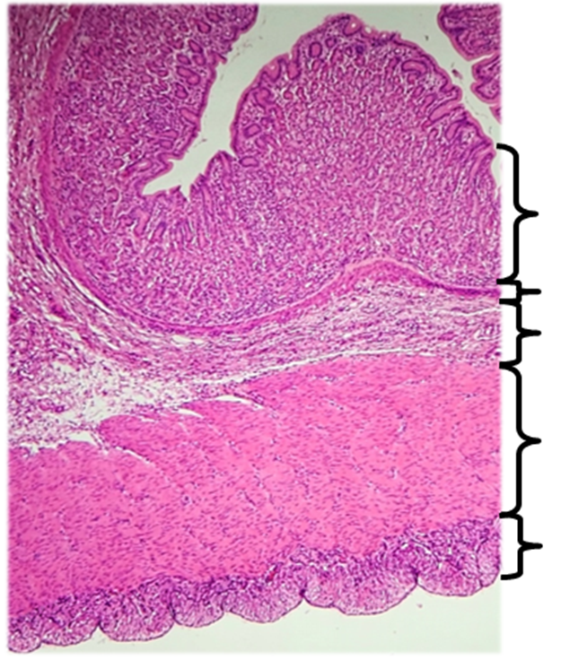
Lab Activity 8.2: Histological Examination of Digestive OrgansThe organs of the digestive tract have four basic tissue layers: the mucosa, submucosa, muscularis, and serosa. The mucosa, the deepest layer, is composed of epithelial tissue and faces the lumen of the GI tract. The submucosa is the next layer of tissue surrounding the mucosa and is composed of connective tissue and glands. The muscularis is composed of smooth muscle and may be oriented in circular or longitudinal direction. The final, superficial layer is the serosa (or adventitia in the esophagus) composed of connective and epithelial tissue.

1. Using a microscope, observe slides of the esophagus, stomach, and intestines. Make sure you can identify the location and the features present in the serosa/adventitia, longitudinal muscularis, circular muscularis, submucosa, and mucosa for each sample.

2. The epithelium changes at distinct locations in the alimentary canal. What type of epithelial tissue is seen in each mucosa layer you observed?

A) Esophagus:

B) Stomach:

C) Intestines:

3. Observe the following histology images and determine if they came from the stomach, esophagus, or intestine. Then identify the following structures on the histology images provided on the following page: serosa/adventitia, longitudinal muscularis, circular muscularis, submucosa, mucosa

Sample 1:

Sample 2:

Sample 3:

Figure 8.5 Histology Images of the esophagus, stomach, and intestine (not in order). Photographs taken by Gina Profetto

4. In the stomach, between the epithelial tissue of the mucosa, there are structures called gastric pits which lead to the gastric glands of the stomach. Why do you think it is important for the mucosa of the stomach to have these pits facing the lumen?

5. The esophagus does not have an outer serosa layer. Instead, it has an outer layer referred to as adventitia. Think about the position of the esophagus in the body and why this organ may have a different outer layer than other digestive organs.

Lab Activity 8.3: Fetal Pig Dissection (Optional)

  • Anus
  • Liver
  • Cardiac sphincter
  • Lingual frenulum
  • Cecum
  • Lymph nodes
  • Common bile duct
  • Masseter muscle
  • Cystic bile duct
  • Mesentery
  • Descending colon
  • Oral cavity
  • Diverticulum
  • Papillae of tongue
  • Duodenum
  • Pancreas
  • Duodenal papilla
  • Parietal peritoneum
  • Esophagus
  • Parotid glands (R&L)
  • Facial nerve
  • Pyloric sphincter
  • Fundus
  • Rectum
  • Gall bladder
  • Small intestine
  • Greater curvature
  • Soft palate
  • Greater omentum
  • Spleen
  • Hard palate
  • Stensen’s duct (R&L)
  • Hepatic bile duct
  • Stomach
  • Ileocecal sphincter
  • Sublingual gland (R&L)
  • Ileum
  • Submandibular gland (R&L)
  • Jejunum
  • Teeth
  • Large intestine
  • Tongue
  • Lesser curvature
  • Vestibule
  • Lesser omentum
  • Visceral peritoneum

Supplies needed: gloves, scalpel/scissors, blunt probe, tweezers. Use human terminology wherever terms for the pig may differ.

1. To begin- gently peel the skin back from one side of the face, beginning at the ear and extending toward to the eye. The parotid glands lie on either side of the jaw, just beneath the skin. If you attempt to “rip” the skin back the gland will be destroyed or stay stuck to the skin.

2. Once the skin is removed you should be able to see the salivary glands. The parotid gland is a large pebble-textured tissue extending in a triangle from the base of the ear toward the mandible. The submandibular gland lies beneath the parotid at the angle of the mandible. It is bean sized. The much smaller sublingual gland (pea-sized) lies just anterior, sometimes slightly medial to the submandibular gland.

3. Gently separate the parotid gland to view the large muscle in the cheek- the masseter muscle. You should also see the facial nerve lying across the top of the masseter.

4. Locate the Stensen’s (parotid) duct, which carries saliva from the parotid glands, around the base of the masseter muscle, and then into the oral cavity.

5. To see the next set of structures, you must open the oral cavity if you have not already done so. To do this, make an incision, beginning at the back of the mouth, extending through the masseter muscle, and ending at the back of the jaw. Be sure and make this incision on both sides of the face. When finished, you should be able to open the mouth 180 degrees.

  • Observe the tongue and the papillae on its surface. The lingual frenulum is the tissue underneath the tongue that attaches it to the base of the oral cavity.
  • Observe the hard palate, the ridged, bony roof of the mouth. The oral cavity is the space between the hard palate and the tongue. The soft palate is the portion of the roof of the mouth at the back of the oral cavity.
  • Note the teeth, which are just beginning to erupt in the jaw. The vestibule is the space between the lips and the front teeth.

6. You are now finished with the structures in the mouth and will trace the remaining length of the digestive tract. First, locate the esophagus, the collapsible tube lying underneath the trachea.

  • Trace the esophagus through the thoracic cavity to where it connects with the stomach. The ring of smooth muscle at the connection of the stomach and the esophagus is the cardiac sphincter. The pyloric sphincter is another ring of smooth muscle located at the other end of the stomach, at its’ connection with the small intestine.
  • The stomach is divided into various regions: the cardiac region is the area around the cardiac sphincter, the pyloric region is the area around the pyloric sphincter, the fundus is a small area with finger-like projections on the upper left side of the stomach, and the body is what remains. In addition, the long outside curve of the stomach is called the greater curvature.
  • Note the spleen, which is attached by a membrane, the greater omentum, to the greater curvature of the stomach (this membrane, which is very fragile, also extends from the spleen to the intestines). The short, inside curve of the stomach (to the right of the cardiac sphincter) is the lesser curvature. The lesser omentum is the membrane attaching the liver to the stomach's lesser curvature.

7. Make an incision along the length of the greater curvature of the stomach, beginning at the pyloric sphincter and ending at the fundus. You should now be able to see the internal anatomy of the stomach.

  • The gastric mucosa is the entire internal lining of the stomach. Some of the gastric mucosa is organized into folds or ridges of tissue known as rugae.
  • The diverticulum is the small pouch or pocket in the upper left region of the stomach (to the left of the cardiac sphincter). The diverticulum is the fundus, seen from the inside. Also, note the internal appearance of the cardiac and pyloric sphincters.

8. Now look on the right underside of the liver. You should see a membranous pouch. This is the gall bladder. The thin tube extending from the gall bladder is the cystic bile duct. It joins with the hepatic bile duct coming from the liver and together they form the common bile duct that connects with the small intestine.

9. Observe the small intestine. The short, straight region of the small intestine that begins at the pyloric sphincter is the duodenum. The small intestine of the pig then begins to coil. The first half of this section is called the jejunum, and the second half is the ileum.

10. Return to your incision through the greater curvature of the stomach. Extend your incision through the pyloric sphincter and the first part of the duodenum.

  • Observe the duodenal papilla, the small knob of tissue located within the pyloric sphincter. This is where secretions from the common bile duct and the pancreas enter the small intestine. Note the villi which cover the entire inner lining of the small intestine, giving it the appearance of crushed velvet.

11. Locate the pancreas, the white, pebbled structure located beneath the stomach and the small intestines. Trace the small intestine to where it connects with the large intestine (also called the colon). Note the short, dead-end section of the colon at its connection with the small intestine. This is the cecum. Make an incision through the cecum. You should now be able to see the ileocecal sphincter, which is the small ring of smooth muscle that connects the small intestine to the colon.

12. Trace the rest of the length of the large intestine. In the pig, the spiral colon is the tightly wound portion immediately beyond the cecum. Humans do not have this arrangement- rather it is an ascending and transverse colon.

13. The descending colon emerges from the spiral colon and extends directly down through the abdominal cavity. The descending colon becomes the rectum as it enters the pelvis (note: you will be able to observe the rectum more clearly when you dissect the fetal pig reproductive systems). The anus is the external opening of the rectum and can be observed by lifting the tail.

14. Return to the small intestine and note the membranes filled with blood vessels that extend along its length. This is the mesentery. Note at the base of the mesentery the numerous lymph nodes, which appear as small brown beads.

15. Finally, observe the peritoneum. The parietal peritoneum is the outer layer of the peritoneum that covers the abdominal cavity. The visceral peritoneum is the inner layer that covers the organs of the abdominal cavity (the greater and lesser omenta that you observed earlier are portions of the visceral peritoneum).

Clean up procedure:

Dispose of all organic debris in the appropriate biohazard containers and clean the dissecting instruments and tray with soap and water before leaving the laboratory. Do not forget to wash your hands with water and soap, and to disinfect the lab bench.

Lab Activity 8.4: Digestive Enzymes

Humans must eat convert energy to ATP to live but how does the body transform a hamburger into essential nutrients it needs to conduct cellular processes and cell growth? This activity explores the biochemistry of digestion.

The human body is composed of millions of cells that need oxygen, water, and nutrients to survive. The transformation of food from macromolecules into small molecules that can be absorbed by the body for use in cells is known as digestion. Digestion occurs in the gastrointestinal tract (GI) where food is mechanically and then chemically broken down with acids, bases, and enzymes. Enzymes are biochemical catalysts that cause a chemical reaction to occur without being permanently altered in the process. A single molecule of catalyst can perform the same reaction numerous times a second. Enzymes are globular three-dimensional proteins with characteristic shapes that allow specific substrates to briefly bond with the active site. Because of the exclusive nature of enzyme-substrate binding, the human body contains thousands of different enzymes that are needed to catalyze all the different biochemical reactions that must occur.

Digestion begins in the mouth where food mixes with saliva containing the enzymes salivary amylase and lingual lipase to begin chemically digesting carbohydrates and lipids while the teeth mechanically grind the food into smaller pieces. The tongue shapes the food and saliva mixture into a ball called a bolus. The bolus is swallowed for further digestion in the stomach.

Gastric juices in the stomach contain hydrochloric acid, pepsinogen, and other enzymes. Hydrochloric acid denatures proteins in food and activates pepsinogen, the inactive precursor of the enzyme pepsin. Since pepsin will digest the muscular walls of the stomach along with food, the inner layer of cells in the stomach secretes an alkaline mucus that coats the inside of the stomach which protects it from being digested. Gastric juices are mixed with the bolus by movement of the stomach while producing a very thick liquid called chyme. Foods that are rich in carbohydrates pass through the stomach quickly followed by high protein foods and fats which digest the slowest. Glucose, alcohol, fat soluble drugs, and water are absorbed through the walls of the stomach directly into the bloodstream for transport to the liver where they are metabolized or sent on to other cells in the body.

The digestion of carbohydrates is completed in the small intestine by the enzyme sucrase, maltase, lactase, and pancreatic amylase. The resulting sugars are absorbed through the lining of the small intestine into the bloodstream for transport to the liver where they are converted to glucose, glycogen, or fat. Glycogen is a complex carbohydrate and used for immediate energy storage in liver and muscle. The partially digested proteins from the stomach are too large to be absorbed through the small intestine. The pancreas secretes pancreatic juice into the duodenum of the small intestine. Pancreatic juice contains an array of enzymes responsible for chemical digestion of proteins, lipids, nucleic acids, and carbohydrates. Peptidases, trypsin, and chymotrypsin complete the digestion of proteins into amino acids for absorption into the bloodstream. Lipases digest fats, and nucleases digest nucleic acids in the chyme from ingested plant and animal cells.

Hepatic cells of the liver produce bile, which is stored in the gallbladder before being excreted into the small intestine. Bile salts help with the digestion of fat globules by acting like soap and breaking the globules into smaller drops, creating a greater surface area for pancreatic lipase to break the lipids into fatty acids and glycerol. Once the nutrients produced by the enzymes have been absorbed by the small intestine, they travel to the liver. The material remaining in the small intestine travels to the large intestine where more mucus is added and where water and electrolytes are absorbed before the "waste" is expelled from the body.

Digestive System Enzymatic Procedure

Part A. Protein Digestion

  1. Use a marker to label two test tubes A and B.
  2. Use a clean, graduated pipet to add 3 mL of the 2% protein solution to test tube 1.
  3. Add 1 mL of the 2% protein solution to test tube 2.
  4. Use a clean graduated pipet to add 2 mL of the 1% pepsin solution to test tube 2. Gently swirl the test tube to mix the contents.
  5. Place both test tubes in a 40°C water bath for 15 minutes.
  6. Remove the test tubes from the water bath and use a clean, graduated pipette to add 1 mL of biuret test solution to each test tube.
  7. Observe the color and appearance of the resulting solution in each test tube and record the observations in the data table. Note: The biuret test solution is a bluish purple in the presence of polypeptides and lavender pink in the presence of amino acids.

Part B. Fat Digestion

  1. Use a marker to label test tubes C and D.
  2. Use a clean, graduated pipette to add 2 mL of the 1% litmus – milk solution to test tube 3. The solution contains buttermilk, a fat.
  3. Add 1 mL of the litmus – milk solution to test tube 4.
  4. Use a clean graduated pipette to add 1 mL of the 1% lipase solution to test tube 4. Gently swirl the test tube to mix the contents.
  5. After three minutes, record the color of the solution in the data table. Note: litmus is a pH indicator. Litmus appears blue in basic solutions and pink in acidic solutions.

Part C. Carbohydrate Digestion

  1. Use a marker to label four test tubes E–H.
  2. Use a clean, graduated pipette to add 1 mL of the 1% starch solution to each test tube 5, 6 and 7.
  3. Use a clean graduated pipette add 1 mL of the 1% amylase solution to test tube 6 and 7.
  4. Use a clean graduated pipette at 1 mL of the 1% glucose (dextrose) solution to test tube 8.
  5. Gently swirl the test tubes to mix the contents.
  6. Allow the test tubes to sit undisturbed for about two minutes.
  7. Evaluate the starch – amylase solution for starch.
    1. Use a clean, graduated pipette add 4 to 6 drops of iodine solution to the test tube 5 and 6.
    2. Record the color of the resulting solutions in the table. Note: test tube 5 is a positive control sample for the iodine starch test. Iodine forms a blue/black color in the presence of starch.
  8. Evaluate the starch – amylase solution for glucose.
    1. Use a clean, graduated pipette to add 1 mL of Benedict’s reagent to test tubes 7 and 8.
    2. Place the test tubes in a boiling water bath using a test tube clamp.
    3. After 10 minutes, remove the test tubes from the hot water bath using a test tube clamp.
  9. Record the color of the resulting solutions in the data table. Note: test tube eight is a positive control sample for Benedict’s test. Benedict’s reagent contains Cu2+ which, when heated, reacts with glucose to form a red, orange, or mustard colored precipitate.

Record experimental observations in the table below.

Test Tube

Contents

Observations

A

Protein and biuret

B

Protein, pepsin, and biuret

C

Litmus-milk solution

D

Litmus-milk and lipase solution

E

Starch and iodine

F

Starch, amylase, and iodine

G

Starch, amylase, and Benedict’s

H

Glucose (dextrose) and Benedict’s

1. Compare and contrast the observations of the biuret test results for test tube A and test tube B. Describe the evidence, if any, for the digestion of protein using pepsin.

2. The pepsin solution was prepared using an acid to optimize the pepsin enzyme. Why was this necessary?

3. Compare and contrast the observations of the test results for test tube C and test tube D. Describe the evidence if any for digestion of butterfat using lipase.

4. Compare and contrast the iodine test results for starch (test tube E) and starch/amylase (test tube F). Explain the test results based on the activity of amylase.

5. Explain the results of Benedict’s test for the starch – amylase solution in test tube G. What are the products of digestion of starch by amylase?

6. Summarize the digestion of pepperoni pizza served with a tall glass of whole milk. Indicate the enzymes responsible for digestion in the mouth, stomach, and small intestine.

Post-Lab 8 Review Post-Lab Activity 8.1: Review Questions

  1. List the main organs of the digestive system.
  2. Starting with the mouth, list the organs through which a chicken nugget would pass during a trip through the GI tract.
  3. Describe the enzymes involved in chemical digestion.
  4. List the regions of the small and large intestine and list their functions.
  5. Match the term with the corresponding definition.

Letter

Description

_____ Chyme

a. an enzyme that initiates the chemical breakdown of starch in the mouth

_____ Pepsinogen

b. the breakdown of large lipid globules into smaller globules

_____ Gastrin

c. these structures release secretions into the oral cavity

_____ Emulsification

d. this organ is inferior to the diaphragm and produces bile.

_____ Rugae

e. the rounded part of the stomach that is superior and to the left of the cardia

_____ Pancreas

f. when the stomach is empty these large folds of mucosa can be observed

_____ Salivary glands

g. a soupy liquid which results from mixing of the gastric contents with gastric juices

_____ Haustra

h. this is a retroperitoneal gland that produces a clear colorless fluid that buffers acidic gastric juices

_____ Cecum

i. this is an inactive form of an enzyme that digests proteins.

_____ Liver

j. these are described as a series of pouches which give the colon a puckered appearance

_____ Fundus

k. this is a hormone released by g cells in response to distention of the stomach by chyme

_____ Salivary amylase

l. this is a small pouch which hangs inferior to the ileocecal valve

  1. Match the following enzymes to the location they are produced or correct macromolecule type.

Letter(s)

Salivary Amylase _______ A. Carbohydrates

B. Lipids

Pepsin _______ C. Mouth

D. Stomach

Sucrase _______ E. Small Intestine

F. Nucleic Acids

Lactase _______ G. Proteins

H. Pancreas

Maltase _______ I. Starch

Pancreatic Amylase _______

Nuclease _______

Lipase _______

  1. What is the deepest/internal most layer of the GI tract? ________________________________
  2. What tissue layer of GI tract organs has smooth muscle tissue? __________________________

Post-Lab Activity 8.2: Label the Stomach

A diagram of the stomach with layers of the gastrointestinal tract indicated and the major stomach features identified with a pointer and blank box for labeling.Label the following structures in the diagram below: duodenum, pyloric sphincter, greater curvature, rugae, lumen, body, serosa, esophagus, cardia, fundus, longitudinal muscularis, circular muscularis, oblique muscularis, lesser curvature, pyloric canal, and pyloric antrum.

Figure 8.6 Label the Major Structures of the Stomach. The figure depicts the stomach with boxes pointing to specific parts to label.

Post-Lab Activity 8.3: Label the Digestive System

Label the following structures in the diagram below: anal canal, anus, appendix, cecum, duodenum, ascending colon, descending colon, gallbladder, liver, esophagus, pharynx, jejunum, ileum, sigmoid colon, rectum, stomach, spleen, transvers colon, pancreas, liver, mouth, tongue, parotid gland, sublingual gland, and submandibular gland.

A diagram of a human body with the major digestive structures indicated and blank boxes left for labeling.

Figure 8.7 Major Structures of the Digestive System. The figure depicts the major structures of the digestive system with boxes to label specific structures.

Annotate

Next Chapter
9 - Urinary System
PreviousNext
Powered by Manifold Scholarship. Learn more at
Opens in new tab or windowmanifoldapp.org