Skip to main content

Anatomy and Physiology 2 Lab Manual: 7 - Respiratory System

Anatomy and Physiology 2 Lab Manual
7 - Respiratory System
  • Show the following:

    Annotations
    Resources
  • Adjust appearance:

    Font
    Font style
    Color Scheme
    Light
    Dark
    Annotation contrast
    Low
    High
    Margins
  • Search within:
    • My Notes + Comments
    • Notifications
    • Privacy
  • Project HomeAnatomy and Physiology II Lab Manual, 2nd Edition
  • Projects
  • Learn more about Manifold

Notes

table of contents
  1. 1 - Endocrine System
  2. 2 - Blood
  3. 3 - Heart Anatomy
  4. 4 - Cardiovascular Physiology
  5. 5 - Blood Vessels
  6. 6 - Lymphatic System
  7. 7 - Respiratory System
  8. 8 - Digestive System
  9. 9 - Urinary System
  10. 10 - Reproductive System

Exercise 7: Respiratory System

3D printed cast of a human upper respiratory airway.

Figure 7.1 The above image is a 3-dimensional cast of the human upper respiratory system including sinuses and the nasal cavity.

Exercise 7 Learning Goals 

After completing this lab, you should be able to: 

  • Identify and describe the structure of the upper and lower respiratory system
  • Describe the mechanism of carbon dioxide and oxygen exchange
  • Define the size, shape, and location of the lungs
  • Understand the physiology of inspiration and expiration
  • Describe the significance of respiratory volumes and capacities

Pre-Lab Activities for Exercise 7

Pre-Lab Activity 7.1: Describe Structures of the Respiratory System

Use your required textbook to complete the table below.

Structure

Function

Location

Upper or Lower

Nasal Cavity

Pharynx

Larynx

Epiglottis

Vocal Folds

Trachea

Bronchi

Alveoli

Lungs

Pre-Lab Activity 7.2: Major Respiratory Structures

Use your required textbook to label the diagram below. Terms: diaphragm, pharynx, larynx, trachea, nasal cavity, oral cavity, nostril, right lung, left lung, right main bronchus, and left main bronchus.

A diagram of the human respiratory tract. The head is shown turned to the right and for the upper respiratory structures to be visible. The cervical and thoracic regions are in standard anatomical position with the lower respiratory tract visible. The major respiratory structures are indicated by lines and blank boxes for this labeling activity.

Figure 7.2 Major Respiratory Structures. The figure depicts the major respiratory structures in the human body, with boxes to label the specific structures.

Pre-Lab Activity 7.3: Gas Exchange

Read the gas exchange section in your required textbook and then answer the following questions.

  1. In your own words, describe the structures that oxygen passes through from inhalation in the mouth to the tissues.
  2. In your own words, describe the structures that carbon dioxide passes through from the tissues until it is exhaled outside of the body.

Pre-Lab Activity 7.3: Lung Anatomy

Use your required textbook to identity structures associated with lung anatomy.

A

B

C

D

E

F

G

H

I

J

Figure 7.3 Major Structures of the Right and Left Lungs, with letters pointing to specific areas.

A.

F.

B.

G.

C.

H.

D.

I.

E.

J.

Lab Exercise 7: Respiratory Anatomy

Location of Lungs

The respiratory system includes the nose, pharynx, larynx, trachea, bronchi, and lungs. The upper respiratory system consists of the nose and pharynx and the lower respiratory system includes the larynx, trachea, bronchi, and lungs. The lungs are situated laterally to mediastinum in the thoracic cavity, bilateral to the heart. The lungs are cone-shaped structures surrounded directly by visceral pleura. The major features include the base a broad inferior portion just above the diaphragm, the apex a narrow superior portion just under the clavicles, the costal surface nearest to the ribs, the medial or mediastinal surface, and finally the hilum where vessels and nerves enter and exit. Each lung is divided into lobes with the right lung having three, a superior, middle, and inferior lobe. The left lung has two lobes, a superior and inferior. The lobes of the right lung are formed by horizontal and oblique fissures, while the left lung only has one oblique fissure.

Diagram of the human respiratory system with all the major structures labeled. A small inset image in the top right shows a zoomed in portion of an alveolus from the left lung.

Figure 7.4: Detailed structures of the respiratory system, with arrows pointing to specific structures.

The lungs are connected to the trachea via the right and left primary (main) bronchi which further divide in the lungs into smaller bronchi forming the bronchial tree. The trachea or windpipe is a tubular passageway for conveying air from the larynx to the bronchi. The trachea is formed of smooth muscle and c-shaped rings of cartilage which provide structure. The larynx is a short passageway connecting the pharynx and trachea and contains the vocal folds responsible for sound projection (voice box). The pharynx is a funnel-shaped tube that carries both air and food. The nose connects the external environment to the pharynx. The nose is formed by the external nares and internal cavity. The nose is specialized for warming, moistening, and filtering inhaled air.

Lab Activity 7.1: Label Structures of the Respiratory System

Using the image provided below, identify the major respiratory structures numbered 1-50.

The same diagram of the human respiratory system as the one provided in figure 7.4 but now the respiratory structures are numbered and not labeled.

Figure 7.5: Unlabeled respiratory structures.

1.

18.

35.

2.

19.

36.

3.

20.

37.

4.

21.

38.

5.

22.

39.

6.

23.

40.

7.

24.

41.

8.

25.

42.

9.

26.

43.

10.

27.

44.

11.

28.

45.

12.

29.

46.

13.

30.

47.

14.

31.

48.

15.

32.

49.

16.

33.

50.

17.

34.

Structures to Know

  • Upper lobes (R & L)
  • Larynx
  • Middle lobe
  • Pharynx
  • Diaphragm
  • Main bronchi (R & L)
  • Lower lobes (R & L)
  • Parietal pleura
  • Epiglottis
  • Hilum/Root of the lung (R & L)
  • Eustachian tubes (R & L)
  • Trachea
  • External nares (R & L)
  • Visceral pleura
  • Hyoid bone
  • Vocal folds (true)
  • Internal nares (R & L)
  • Secondary bronchi

Lab Activity 7.2: Demonstration of Lung Inhalation

Supplies needed: preserved pluck, and “diaphragm” pump

Wait for your instructor to demonstrate the inhalation to your table. Answer the following questions.

  • Does the lung inflate section by section or as whole, like a balloon?
  • What happened when the pressure was released?
  • What type of tissue ensures this phenomenon?

Lab Activity 7.3: Fetal Pig Dissection (optional)

Supplies needed: gloves, scalpel, scissors, blunt probe, and tweezers

  1. Open the body cavity. You can often “begin” a cut using your scalpel then switch to scissors. 
  • To begin: make two incisions through the skin of the abdomen so that each one goes around one side of the umbilical cord, and each extends down to the beginning of the legs. Be careful that you are only cutting through the abdominal wall- if you cut too deeply the underlying organs will be damaged. We need them for future dissections! Please see the picture on the next page for guidance with your incisions.
  • Make a lateral incision at the base of the rib cage. This should be as close as possible to where the diaphragm separates the thoracic and abdominal cavities. Extend this cut to both the right and left sides by using the inferior edge of the ribcage as a guide.  
  • Finally, make an incision beginning at the papilla on the underside of the chin and extending down to the base of the sternum.  
    • In the first step, cut through the skin of the thoracic cavity, but DO NOT cut into the sternum. Peel the skin back away from the rib cage. This will allow you to see more clearly where the sternum is before you cut it open.  

A diagram of a pig in ventral view with incisional markings for a dissection.

Figure 7.6 Fetal Pig Dissection Diagram. The figure depicts the order in which the pig should be cut during dissection, along with major structures. (Diagram by Gina Profetto)

    • Ideally, you will cut the sternum directly down the middle to open the thoracic cavity. Be careful that you do not cut too deeply and damage the heart or the blood vessels coming out of the heart. To avoid this, take your blunt probe and run it up underneath the sternum. You can then use your scalpel to cut down to the probe without damaging any important structures. If the midline cut does not seem to be working, cut through the costal cartilage immediately to the right or left of the sternum. Cutting too far away from the sternum will destroy vessels you need to see.  

  1. Once the thoracic cavity is opened, put away your scalpel. Everything else can be accomplished with the blunt probe, tweezers, and your gloved hands. The first thing you will need to do is clean out the connective tissue on each side of the throat. Most of this tissue is the thymus, an important lymphatic organ, which sits on each side of the throat and over the front of the heart. You will need to remove all the pebble-looking thymus tissue. 
  • Remove only connective tissue on both sides of the throat. DO NOT remove the structures in the middle of the throat- these are parts of the respiratory system (larynx and trachea) and the thyroid gland. The thyroid is superficial to the trachea, just superior to the heart. 
  1. After you have removed the thymus and outer masses of connective tissue, there may still be considerable connective tissue.

For the fetal pig respiratory system:

  1. Locate the larynx, the enlarged structure at the top of the throat. This is the structure commonly called the “voice box”- in the pig, it produces an “oink”.
  2. Trace the tube descending from the larynx's inferior aspect down toward the lungs, the trachea. Known as the “windpipe”, the trachea directs only air down into the lungs. Should the trachea become obstructed, by food or small objects, choking occurs and potentially death if the blockage is not dislodged quickly enough. The rings encircling the trachea along its length are made of cartilage and act to keep the airway open.
  3. Immediately superior to the larynx is the horseshoe-shaped hyoid bone. Recall that this is the only bone in the body which does not articulate with any other bony structure. Instead, it serves as an attachment point for many muscles and ligaments of the tongue, throat, and neck. Many of these muscles contain ‘hyoid’ in their name.
  4. Next, make a medial incision through the larynx so that you can observe its internal anatomy. Locate the vocal folds, which appear as small slits/folds within the larynx on each side. Realize that the vocal folds are not well developed because they have not yet been used.
  5. Return to the exterior surface of the larynx and trachea. On either side of the trachea, situated posteriorly, are the thin, thread-like inferior laryngeal nerves (right and left).
  6. Running laterally alongside the trachea are the much larger vagus nerves (right and left). Recall that they are “bundled” with and therefore located next to the carotid arteries and internal jugular veins.
  7. Moving into the thoracic cavity, the right-side phrenic nerve extends through the cavity and connects with the diaphragm. This nerve is solely responsible for initiating diaphragmatic contraction. It is usually easiest to find where it runs along the length of the inferior vena cava on its right side from the heart to the diaphragm.
  8. Trace the trachea down to where it reaches the lungs. To see things clearly, remove the heart and its associated blood vessels from the thoracic cavity CAREFULLY. There are several nerves which lie adjacent to these blood vessels so be careful that you are only removing the vessels and not the nerves. You may also use your scissors to trim away the anterior and superior portions of the rib cage on each side.
  9. In the fetal pig, the lungs are divided into 7 lobes: the uppermost ones are the right and left apical lobes, the middle ones are the right and left cardiac lobes, and the lower ones are the right and left diaphragmatic lobes. The last lobe, the intermediate lobe, sits in the middle of the thoracic cavity and wraps partly around the inferior vena cava. Humans do not possess this same lobe.
  10. The trachea branches into the lobes of the lung as follows: an apical bronchus branches off the trachea to enter the right apical lobe of the lung. The trachea terminates in the left and right main bronchi which goes into the other lobes. The lung's root consists of the main bronchi, associated blood vessels, lymphatics, and nerves which all enter/exit the lung's hilum together.
  11. Scrape away some of the lung tissue from the bronchus to see the branching extending out into the lung.
  12. The pleural membrane is the serous membrane covering the individual lungs and the thoracic cavity. The parietal pleura is the lining of the thoracic cavity. The visceral pleura is the membranous covering over the lung tissue.
  13. The remaining structures you need to locate are in the oral cavity.
    1. Make a longitudinal incision through the soft palate. The space underneath the soft palate is the nasopharynx. Within the nasopharynx are two structures: the internal nares are the openings from the nasal passageways (the external nares are the two external openings of the nose); the eustachian tubes (R & L) are located on each side of the nasopharynx and are visible as two small slits or holes. If you place your probe in one of these openings, it should extend back toward the ear.
    2. Locate the epiglottis, the flap of tissue at the back of the oral cavity. The oropharynx is the space between the soft palate and the epiglottis.
    3. Look inside the epiglottis. You should see two openings, one above the other. Put your probe inside each opening to see where it goes. The upper (ventral) opening is the laryngopharynx, which extends from the epiglottis to the larynx. The bottom, dorsal, opening is the esophagus.

Clean up procedure:

  • Dispose of all organic debris in the appropriate biohazard containers and clean the dissecting instruments and tray with soap and water before leaving the laboratory. Do not forget to wash your hands with water and soap, and to disinfect the lab bench.

Lab Activity 7.4: Respiratory Volumes and Capacities

Words to know:

Tidal volume: volume of air exchanged during normal quiet breathing

Expiratory reserve volume: maximum volume of air that can be exhaled after tidal expiration

Inspiratory reserve volume: maximum volume of air that can be inhaled after tidal inspiration

Residual volume: volume of air that remains in the lungs after forced exhalation

Inspiratory capacity: total amount of air that can be inhaled

Functional residual capacity: total amount of air that remains in the lungs after tidal exhalation

Vital capacity: total amount of exchangeable air

Total lung capacity: total amount of exchangeable and nonexchangeable air

The vital capacity of your lungs is determined by the amount of air you can expel from your lungs on a single forced breath after a maximum inhalation. Today you will be using a wet spirometer to measure your vital capacity (VC). VC can be predicted based on your height, age, and sex. The following equation can be used to predict your expected VC based on these indicators.

VCfemale = (21.78 – 0.101 x age) x height

VCmale = (21.78 – 0.112 x age) x height

Age is calculated in years and height is calculated in cm.

Alternatively use this online calculator: http://keisan.casio.com/exec/system/1341376925

Your height in inches: ___________ x 2.54 = _______________ cm

Your estimated VC: __________________________________________________________

We will be using two types of spirometers, a wet and a dry, in the lab to determine vital capacity and lung volumes. You have just calculated your estimated VC based on height, age, and sex. Let us determine if this estimate is accurate for your respiratory abilities.

Start with the blue wet spirometer. This is set up in the back of the lab. The wet spirometer has been filled with 9 liters of water so that the white insert is floating like a bobber on the water. The long tube that extends from the apparatus will be used to exhale through (do NOT inhale) and collect your expelled air in the white insert.

Using the wet spirometer to measure vital capacity (VC). You will measure your VC three times and then average these three readings to determine your average VC.

  • Obtain a fresh cardboard insert tube for the wet spirometer, and place cardboard into the plastic tubing connected to the spirometer.
  • The water level inside the spirometer should be full so that you can brush your hand across the top of the apparatus, between the white holding container and the blue outer structure and feel the water. Add water if the level is not full, but do not overflow the boundary and spill onto the lab bench.
  • The gage on the spirometer should be set to zero, and the metal pulley system should allow the white holding container to bob up and down unrestricted on the water.
  • Inhale deeply through your mouth, then exhale through the cardboard tube forcibly until you can no longer expel air from your lungs. The white holding container will fill with your air and float on the water.
  • The gage will move based on the amount of air expelled into the container.
  • Record this volume as your Vital Capacity. Reset the gage back to zero before repeating the procedure twice more to get three readings of your VC. Average these three readings together. This is your actual vital capacity.
  • Discard your mouthpiece after use.

Measurements:

Vital Capacity (VC): (_________ + ________ + ________)/3 = ________________

Was your actual VC more or less than the estimated VC predicted above? _______________________

What may account for this difference? ______________________________________________

Using the dry spirometer measure each variable three times and record your three measurements below. Calculate the average for each lung volume below.

Using the dry spirometer

  • Take an alcohol wipe and wipe down the spirometer. Twist the bottom portion off and wipe the inside of the spirometer. Let the spirometer air dry for a few seconds and close the device.
  • Slide the small end of the mouthpiece onto the spirometer nozzle
  • Each student should use their own mouthpiece and the spirometer should be cleaned with an alcohol wipe inside and out between users.
  • Confirm white indicator pointer is set to zero; if not, adjust by rotating the outer ring until the indicator points to zero
  • Hold spirometer horizontal while taking measurements, the dial should face up and the nozzle should be pointed toward the mouth
  • Do not cover the small holes on the side of the spirometer
  • Inhale normally and do not use the mouthpiece while inhaling
  • Following normal inhalation, place mouthpiece between lips and breath out normally in one motion. This is your Tidal Volume.
  • Record value, reset dial to zero and repeat X2
  • Following normal inhalation, breathe out normally in one motion. Pause briefly and place the mouthpiece between your lips and without taking in another breath, forcibly exhale as much as possible beyond your normal exhalation. This is your Expiratory Reserve Volume.
  • Record value, reset dial to zero and repeat X2
  • Inhale strongly and do not use the mouthpiece while inhaling
  • Following strong inhalation, place mouthpiece between lips and breath out forcefully in one motion (5-6 seconds). This is your Vital Capacity.
  • Record value, reset dial to zero and repeat X2
  • Discard used mouthpieces immediately (DO NOT PLACE MOUTHPIECES ON THE BENCH) and wipe down the spirometer (inside and out) with an alcohol wipe.

Average values for the typical person:

Pulmonary Volumes

Male

Female

Residual Volume

1200ml (1.2L)

1100ml (1.1L)

Inspiratory Reserve Volume

3100ml (3.1L)

1900ml (1.9L)

Measurements:

Tidal Volume (TV): (_________ + ______________ + _____________)/3 = ___________

Expiratory Reserve Volume (ERV): (________ + ________ + _______)/3 = ____________

Vital Capacity (VC): (_________ + ________ + ________)/3 = ________________

*We do not use the spirometer to inhale through, so your inspiratory reserve volume must be calculated using the three volumes above: TV, ERV, and VC

Inspiratory Reserve Volume (IRV) = VC – ERV – TV _____________________________

Using the above measurements, calculate your following lung capacities:

1. Inspiratory Capacity = TV + IRV ___________________________________________

2. Functional Residual Capacity = ERV + RV __________________________________________

3. Vital Capacity = ERV + TV + IRV _________________________________________________

4. Total Lung Capacity = ERV + TV + IRV + RV_________________________________________

Lung volumes are shown on a graph with volume being measured in ml/kg. Four breaths representing normal respiration volumes are shown first on the graph to illustrate the tidal volume. Next a forced respiration/deep breath in and forced exhalation/deep breath out are tracked with the changes in volume noted on the graph. Then normal respiration resumes for two breaths.

Figure 7.7 Lung Volumes and Lung Capacities.

Lab Activity 7.5: Histology of the Respiratory System

Supplies needed:

  • Trachea slide
  • Healthy lung and coal miner lung slide
  • Compound light microscope

1. Beginning with the 4x power objective, adjust your coarse then fine focus.

2. Increase the objective power to 10x and move the microscope stage as needed to view other areas. Be on the lookout for leukocytes. Use the fine focus to improve clarity.

3. Move to the 40x objective. Remember to only use fine focus at this power and SLOWLY turn the stage control knobs. Begin to document the different cells present in your field of view.

Label the images provided below after observing the specimens under the microscope:

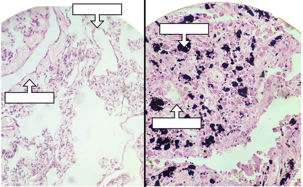
1) The image below compares a healthy lung and the lung of a coal miner. Identify the following structures on the image: small pulmonary vessel, bronchiole, alveolus, coal particles

Two histology images of the lung. The image on the left shows two areas indicated with arrows and pink purple staining on the slide. The image on the right shows two areas indicated with an arrow and pink, purple staining on the slide with darkly stained (almost black) particles dispersed throughout the sample.

Figure 7.8 Histology Comparison of a Healthy and Coal Miner’s lung. The figure shows dark areas caused by inhalation of coal particles in the Coal Miner’ lung. (Picture by Gina Profetto)

2) The image below shows the trachea. Label the Mucosa, Submucosa, Hyaline Cartilage, and Ciliated Pseudostratified Epithelium.

Histology section of the trachea with cells of the epithelium and connective tissues stained purple and pink. A magnifying glass is placed over a section of the tissue to show more magnified features of the sample.

Figure 7.9 Histology of the Trachea. The figure depicts both epithelial

and connective tissues found in the human trachea. (Picture by Gina Profetto)

3) Why do you think the inside of the trachea is lined with ciliated cells?

Post-Lab 7 Review

Post-Lab Activity 7.1: Identify the Major Respiratory Organs.

A diagram of the respiratory system with major structures indicated and left blank for labeling purposes.Label the diagram below.

Figure 7.10 Upper and lower respiratory tract, with boxes pointing to individual structures.

Post-Lab Activity 7.2: Matching

Letter

Term

Description

Tidal volume

    1. The amount of air that that can be forcefully expired

Residual volume

    1. The volume of air that can be forcefully inspired

Total lung capacity

    1. Total amount of air that an individual can inspire

Inspiratory capacity

    1. The amount of air inspired or expired during normal quiet breathing

Vital capacity

    1. The total amount of exchangeable and nonexchangeable air in the lungs

Inspiratory reserve volume

    1. Total amount of air that remains in lungs after maximum expiration

Expiratory reserve volume

    1. Total amount of exchangeable air

Number

Term

Function/Description

Eustachian tubes

  1. Segmental bronchi

Ventilation

  1. Links the nasopharynx to the ear

Trachea

  1. Nostrils

Larynx

  1. Breathing

Tertiary bronchi

  1. Expiration

Alveolus

  1. Cup-shaped outpouching of the lung

Inhalation

  1. Tubular passageway for air located anterior to the esophagus

Exhalation

  1. Lobar bronchi

Secondary bronchi

  1. Short passageway that connects the pharynx and trachea

External nares

  1. Inspiration

Post-Lab Activity 7.3: Identify Major Structures Associated with the Trachea

Label the respiratory structures indicated below on the image.

A diagram of a human lungs and respiratory track inferior to the hyoid bone. Major structures are indicated and left blank for labeling.

Figure 7.11 Lower Respiratory Structures.

Annotate

Next Chapter
8 - Digestive System
PreviousNext
Powered by Manifold Scholarship. Learn more at
Opens in new tab or windowmanifoldapp.org