Skip to main content

Anatomy and Physiology Lab I: Anatomy and Physiology Lab I

Anatomy and Physiology Lab I
Anatomy and Physiology Lab I
  • Show the following:

    Annotations
    Resources
  • Adjust appearance:

    Font
    Font style
    Color Scheme
    Light
    Dark
    Annotation contrast
    Low
    High
    Margins
  • Search within:
    • Notifications
    • Privacy
  • Project HomeAnatomy and Physiology I Lab Manual
  • Projects
  • Learn more about Manifold

Notes

table of contents
  1. Anatomy and Physiology Lab I
    1. Previous page photo credit
      1. Introduction
        1. Source and Companion Materials
          1. Acknowledgements
  2. Lesson 1: Introduction to Anatomy & Physiology
    1. Introduction
    2. Background Information
      1. Abdominal Regions and Quadrants
        1. Source Material
    3. Activities
  3. Lesson 2: Cells
    1. Introduction
    2. Background Information
      1. Prophase
      2. Metaphase
      3. Anaphase
      4. Telophase
      5. Cytokinesis
        1. Source Material
    3. Pre-assessment
    4. Activities
  4. Lesson 3: Histology – Epithelial & Connective Tissues
    1. Introduction
    2. Background Information
      1. Dense Connective Tissue
      2. Cartilage
      3. Bone
        1. Source Material
    3. Activities
  5. Lesson 4: Histology – Muscle & Nervous Tissues
    1. Introduction
    2. Background Information
      1. Gross Anatomy & Connective Tissue Layers
      2. Fascicle Organization Patterns
      3. Neuron Anatomy
      4. Neurons Classification
        1. Source Material
    3. Activities
  6. Lesson 5: The Integumentary System
    1. Introduction
    2. Background Information
      1. Source Material
    3. Activities
  7. Lesson 6: Introduction to the Skeletal System
    1. Introduction
    2. Background Information
      1. Source Material
    3. Activities
  8. Lesson 7: Introduction to Joints
    1. Introduction
    2. Background Information
      1. Source Material
    3. Activities
  9. Lesson 8: The Lower Limb – Bones
    1. Introduction
    2. Background Information
      1. The Pelvic Girdle
      2. Ilium
      3. Ischium
      4. Pubis
        1. The Leg
      5. Femur
      6. Patella
      7. Tibia
      8. Fibula
      9. Tarsal Bones
      10. Metatarsal Bones
      11. Phalanges
        1. Source Material
    3. Matching
    4. Activities
      1. Bone ID on Models
      2. Bone ID on Figures
  10. Lesson 9: The Lower Limb – Muscles
    1. Background Information
      1. Thigh Muscles
      2. Muscles of the Lower Leg
      3. Source Material
    2. Activities
      1. Muscle ID on Models
      2. Muscle ID on Diagrams
      3. Muscle Actions
      4. Muscle Attachments
      5. Muscle Innervation
  11. Lesson 10: The Lower Limb – Joints
    1. Introduction
    2. Background Information
      1. The Hip
      2. The Knee
      3. The Ankle and Foot
      4. Source Material
    3. Activities
      1. Joint Actions
      2. Labeling Joint Structures
  12. Lesson 11: The Lower Limb – Nerves
    1. Introduction
    2. Background Information
      1. Spinal Nerves
      2. Nerve Plexuses
      3. Nerves of the Leg
      4. Source Material
    3. Activities
      1. Nerve Plexus Anatomy
      2. Nerve Plexus ID on Diagrams
      3. Source material
      4. Nerve ID on Models
  13. Lesson 12: The Lower Limb – Movement
    1. Introduction
    2. Background Information
      1. Review of Key Structures
      2. Common Knee Injuries
      3. Source Material
    3. Activities
  14. Lesson 13: The Upper Limb – Bones
    1. Introduction
    2. Background Information
      1. The Pectoral Girdle
      2. The Upper Limb
      3. Source Material
    3. Activities
      1. Bone ID
      2. Scapula (Fig. 13.2)
      3. Clavicle (Fig. 13.1)
      4. Humerus (Fig. 13.3)
      5. Radius (Fig. 13.4)
      6. Ulna (Fig. 13.5)
      7. Hand (Fig. 13.5 and 13.6) 8. Scaphoid
        1. Labeling Bony Features
  15. Lesson 14: The Upper Limb – Muscles
    1. Introduction
    2. Background Information
      1. The Pectoral Girdle
      2. Muscles that Move the Humerus
      3. Muscles That Move the Forearm
      4. Muscles that Move the Wrists, Hands, and Fingers
      5. Source Material
    3. Activities
      1. Required Materials
      2. Procedure
        1. Shoulder (Fig. 14.1) 14. Pronator teres
        2. Upper arm (Fig. 14.2)
          1. Muscle ID on Diagrams
          2. Muscle Actions
          3. Muscle Attachments
  16. Lesson 15: The Upper Limb – Joints
    1. Introduction
    2. Background Information
      1. The Shoulder
      2. The Elbow
      3. Source Material
    3. Activities
      1. Joint Actions
      2. Labeling Joint Structures
  17. Lesson 16: The Upper Limb – Nerves
    1. Introduction
    2. Background Information
      1. Spinal Nerves
      2. Source Material
    3. Activities
      1. Nerve ID
      2. Labeling the Brachial Plexus
      3. Labeling Nerves
  18. Lesson 17: The Upper Limb – Movement
    1. Introduction
    2. Background Information
      1. Source Material
    3. Activities
  19. Lesson 18: Muscle Physiology
    1. Introduction
    2. Background Information
      1. Skeletal Muscle Anatomy
      2. The Motor Unit
      3. Coactivation
      4. Electromyography (EMG)
      5. Diseases affecting skeletal muscle activity
      6. Source Material
    3. Activities
      1. Electromyography
      2. EMG Analysis
  20. Lesson 19: Axial Skeleton
    1. Introduction
    2. Background Information
    3. Activities
  21. Lesson 20: Axial Musculature
    1. Introduction
    2. Background Information
    3. Activities
    4. Source Material
  22. Lesson 21: Intervertebral Discs
    1. Introduction
    2. Background Information
    3. Activities
  23. Lesson 22: Central Nervous System – The Spinal Cord
    1. Introduction
    2. Background Information
      1. Source Material
    3. Activities
  24. Lesson 23: Central Nervous System – Brain
    1. Introduction
    2. Background Information
      1. Preassessment
    3. Activities
  25. Lesson 24: Motor Control
    1. Introduction
    2. Background Information
      1. Functional Organization of the Nervous System
      2. Motor Responses
      3. Source Material
    3. Activities
  26. Lesson 25: The Senses – Vision
    1. Introduction
    2. Background Information
      1. Sensation vs. Perception
      2. Vision Anatomy
    3. Pre-assessment
      1. Matching structure of the eye
    4. Activities
  27. Lesson 26: The Senses – Hearing
    1. Introduction
    2. Hearing Background Information
      1. Hearing Anatomy External Ear
      2. Middle Ear
      3. Inner Ear
      4. Cochlea
      5. Sound Transduction
        1. Source Material
    3. Pre-assessment
    4. Activities

Anatomy and Physiology Lab I

Daniel McNabney and DeLoris Hesse

CBIO2200L, University of Georgia (GA, USA)

Previous page photo credit

Bouglé, Julien. Le corps humain en grandeur naturelle : planches coloriées et superposées, avec texte explicatif. Paris : J. B. Baillière et fils, 1899. 1 plate : col. ill.

Source: U.S. National Library of Medicine.

http://www.nlm.nih.gov/exhibition/historicalanatomies/bougle_home.html

Introduction

This laboratory manual was written in 2019 via an OER Revisions and Ancillary Materials Creation Mini-Grant from Affordable Learning Georgia (affordablelearninggeorgia.org). The goal of the project is to create an open educational resource lab manual that provides students in our first-semester large introductory Anatomy and Physiology laboratory course (CBIO2200L) at the University of Georgia (GA, USA) with a tailored, low-cost set of course materials.

CBIO2200L covers the structure and function of several of the body’s systems including: cells, tissues, the integumentary system, skeletal system, muscular system, and nervous system. Emphasis is placed on humans with some comparison to other mammals. The overall goal of CBIO2200L is to gain a foundational understanding of the normal structure and function of the above systems of the human body, not an in-depth analysis of any single part or system. The laboratory component is a required and important part of the overall course and labs both introduce new course material and reinforce topics discussed in lecture. Labs include the identification of structures on a variety of available resources (models, preserved specimens, and human cadavers) and demonstration of physiological concepts through lab activities.

Source and Companion Materials

Each lesson contains specific citations used during the creation of course materials. The following sources played a major role in the development of this lab manual:

  • The majority of background information is a derivative of "Anatomy and Physiology" by OpenStax CNX used under CC BY 4.0. Aug 2, 2019. Access for free at https://openstax.org/books/anatomy-andphysiology/pages/1-introduction

  • Histological resources and a virtual microscope via the University of Michigan Medical School:

https://histology.medicine.umich.edu/

  • The lessons found within this document were uploaded into the digital learning platform, Lt by ADInstruments (https://www.adinstruments.com/lt). Lt is a browser-based learning platform that allows our students to interact with the course materials via lab activities that are not possible with a traditional paper lab manual (ex: photo and video activities, interactive question sets, etc.). Lt also allows our students to collect, analyze, and present human physiological data via PowerLab data acquisition systems (https://www.adinstruments.com/products/powerlab).

Acknowledgements

We would like to thank the following people for their help and support during this project: Gabriella

Sandberg, Aimee Williams, Manashree Malpe, Nurgul Kaya, Lindsey Beebe, Angie Holliday, Ann Massey, Rob Nichols, Kojo Mensa-Wilmot, Robin Fowler, Beverly Martin, Fall 2019 CBIO2200L TAs, Fall 2019 CBIO2200L students.

Table of Contents

  1. Introduction to Anatomy & Physiology

  2. Cells

  3. Histology – Epithelial & Connective Tissues

  4. Histology – Muscle & Nervous Tissues

  5. The Integumentary System

  6. Introduction to the Skeletal System

  7. Introduction Joints

  8. The Lower Limb – Bones

  9. The Lower Limb – Muscles

  10. The Lower Limb – Joints

  11. The Lower Limb – Nerves

  12. The Lower Limb – Movement

  13. The Upper Limb – Bones

  14. The Upper Limb – Muscles

  15. The Upper Limb – Joints

  16. The Upper Limb – Nerves

  17. The Upper Limb – Movement

  18. Muscle Physiology

  19. Axial Skeleton

  20. Axial Musculature

  21. Intervertebral Discs

  22. Central Nervous System – The Spinal Cord

  23. Central Nervous System – The Brain

  24. Motor Control

  25. The Senses – Vision

  26. The Senses - Hearing

Lesson 1: Introduction to Anatomy & Physiology

Created by Dan McNabney

Introduction

In this lesson you will review the basic organization scheme of the human body and start to develop the language commonly used to precisely describe the location of structures of the human body.

Student learning outcomes (SLOs):

By the end of this lesson you will be able to:

  1. Describe the hierarchy of organization of the human body

  2. Demonstrate and describe anatomical position

  3. Use directional terms to precisely describe the location of structures on the human body

  4. Demonstrate and describe anatomical planes of section

  5. Identify the major body cavities and provide examples of major organs found in each

Background Information

What is Anatomy?

Human anatomy is the scientific study of the body’s structures. Some of these structures are very small and can only be observed and analyzed with the assistance of a microscope. Other larger structures can readily be seen, manipulated, measured, and weighed. Gross anatomy is the study of the larger structures of the body, those visible without the aid of magnification and will be a major focus of this lab component of this course. Macro- means “large,” thus, gross anatomy is also referred to as macroscopic anatomy. In contrast, micro- means “small,” and microscopic anatomy is the study of structures that can be observed only with the use of a microscope or other magnification devices and will be a major focus in the lecture component of this course. Microscopic anatomy includes cytology, the study of cells and histology, the study of tissues (Figure 1.1).

Figure 1.1 Gross and Microscopic Anatomy. (a) Gross anatomy considers large structures such as the brain. (b)

Microscopic anatomy showing nerve cells from the brain. LM × 1600. (credit a: “WriterHound”/Wikimedia

Commons; credit b: Micrograph provided by the Regents of University of Michigan Medical School © 2012)

Anatomists take two general approaches to the study of the body’s structures: regional and systemic. Regional anatomy is the study of the interrelationships of all of the structures in a specific body region, such as the abdomen. Studying regional anatomy helps us appreciate the interrelationships of body structures, such as how muscles, nerves, blood vessels, and other structures work together to serve a particular body region. In contrast, systemic anatomy is the study of the structures that make up a discrete body system—that is, a group of structures that work together to perform a unique body function. For example, a systemic anatomical study of the muscular system would consider all of the skeletal muscles of the body. This course takes a regional approach to learning the structures of the human body in order to put the many structures you will learn this semester into a functional context.

What is Physiology?

Whereas anatomy is about structure, physiology is about function. Human physiology is the scientific study of the chemistry and physics of the structures of the body and the ways in which they work together to support the functions necessary for life. Much of the study of physiology centers on the body’s tendency toward homeostasis. Homeostasis is the state of steady internal conditions maintained by living things. The study of physiology includes observation, both with the naked eye and with microscopes, as well as manipulations and measurements.

Like anatomists, physiologists typically specialize in a particular branch of physiology. For example, neurophysiology is the study of the brain, spinal cord, and nerves and how these work together to perform functions as complex and diverse as vision, movement, and thinking. Physiologists may work from the organ level (exploring, for example, what different parts of the brain do) to the molecular level (such as exploring how an electrochemical signal travels along nerves).

Relationship between Anatomy & Physiology

Form is closely related to function in all living things. For example, the thin flap of your eyelid can snap down to clear away dust particles and almost instantaneously slide back up to allow you to see again. At the microscopic level, the arrangement and function of the nerves and muscles that serve the eyelid allow for its quick action and retreat. At an even smaller level of analysis, the function of these nerves and muscles likewise relies on the interactions of specific molecules and ions.

Your study of anatomy and physiology will make more sense if you relate the form of the structures you are studying to their function. In fact, it can be somewhat frustrating to attempt to study anatomy without an understanding of the physiology that a body structure supports. Imagine, for example, trying to appreciate the unique arrangement of the bones of the human hand if you had no conception of the function of the hand. Fortunately, your understanding of how the human hand manipulates tools—from pens to cell phones—helps you appreciate the unique alignment of the thumb in opposition to the four fingers, making your hand a structure that allows you to pinch and grasp objects and type text messages.

Variation in Anatomy & Physiology

While learning about the structure and function of the human body it is common to develop the misconception that all individuals are essentially the same. Human physiology can vary either within one individual or between different individuals due to differences in things like their genetic make-up, age, sex, and the environment. Variation in an individual’s physiology can include examples that are easy to observe (ex: an increase in body temperature during exercise) and examples that are more difficult to observe (ex: different responses to the same hormone).

Textbooks and plastic models show common presentations of structures of the human body but there is more variation in human anatomy than you would likely imagine. Variation in structure can include the modification of an existing common structure, the complete absence of a common structure, or presence of an uncommon structure. A few select examples include:

  • Palmaris longus – A muscle of the forearm that is one of the most variable muscles in the body. The palmaris longus can vary in number (0-3; absent in an estimated 11.2% of individuals), points of attachment, and whether it is a more-developed, fleshy muscle or less-developed, tendinous muscle.

  • Dextrocardia – The heart is oriented to the right side of the body instead of the most common presentation where the apex is pointed to the left. This is sometimes accompanied by the transposition of other organs (ex: liver) with little or no functional effect on the individual.

  • Parathyroid gland – Parathyroid glands vary both in location (can be found on or near the thyroid gland, trachea, and esophagus) and number (2-6). Most sources describe four parathyroid glands found on the posterior surface on the thyroid gland which likely occurs less than half of the time.

  • Vertebral column – The most common description of the number of vertebrae in each section of the vertebral column is: 7 cervical, 12 thoracic, 5 lumbar, 5 sacral, and 4 coccygeal vertebrae. However, this exact distribution is found is only about 20% of individuals with variation in both the total number of vertebrae (25-32) and how many are found in each section.

Structural Organization of the Human Body

Figure. 1.2 Levels of Organization of the Structural Organization of the Human Body

The chemical level of organization includes the simplest building blocks of matter: subatomic particles, atoms and molecules. Subatomic particles (protons, neutrons, and electrons) combine to form atoms. Familiar examples of atoms include hydrogen, oxygen, carbon, nitrogen, calcium, and iron. Two or more atoms combine to form a molecule, which includes things like water molecules, proteins, and sugars found in living things. Molecules are the chemical building blocks of all body structures.

A cell is the smallest independently functioning unit of a living organism which can include independentlyliving single cell organisms like bacteria. All living structures within the human body contain cells, and almost all functions of human physiology are performed in cells or are initiated by cells. A human cell typically consists of flexible membranes that enclose cytoplasm, a water-based cellular fluid together with a variety of tiny functioning units called organelles. A tissue is a group of multiple similar cells (these cells can either be of the same cell type or can consist of a few related cell types) that work together to perform a specific function. An organ is an anatomically distinct structure of the body composed of two or more tissue types that performs one or more specific functions. An organ system is a group of organs that work together to perform major functions to meet physiological needs of the body. Throughout this course we will cover a subset of the organ systems found in the human body: the integumentary, skeletal, muscular, and nervous systems.

Language of Anatomy

Anatomists and health care providers use terminology to precisely talk about the anatomy of the human body that can seem overwhelming at first. The purpose of this language is not to confuse, but rather to increase precision, efficiency, and to reduce medical errors. For example, if you tell a friend that you have a scar “above the wrist” is it located on the forearm two or three inches away from the hand? Or is it at the base of the hand? Is it on the palm-side or back-side? By using precise anatomical terminology, including anatomical position, regional terms, directional terms, body planes, and body cavities, we can eliminate ambiguity and increase precision.

Anatomical terms are made up of roots, prefixes, and suffixes. The root of a term often refers to an organ, tissue, or condition, whereas the prefix or suffix often describes the root. For example, in the disorder hypertension, the prefix “hyper-” means “high” or “over,” and the root word “tension” refers to pressure, so the word “hypertension” refers to abnormally high blood pressure.

Anatomical Position

Anatomists have standardized the position of the body when it is referenced using descriptive terms to increase precision in language. Just as maps are normally oriented with north at the top, the standard body “map,” called anatomical position, is that of the body standing upright, with the feet at shoulder width and parallel, toes forward. The upper limbs are held out to each side, and the palms of the hands face forward (see Figures 1.3 or 1.4 for an example). Using this standard position helps reduce confusion and increase precision while describing parts of the human body. It does not matter how the body being described is oriented (ex: a doctor describing their patient who is sitting on an exam table), the terms are used as if that person is in anatomical position. For example, a scar in the “anterior (front) carpal (wrist) region” would always be present on the palm side of the wrist. The term “anterior” would always be used even if the hand were palm down on a table.

A body that is lying down is described as either prone or supine. Prone describes a face-down orientation, and supine describes a face up orientation. These terms are sometimes used in describing the position of the body during specific physical examinations or surgical procedures and you may hear the terms used to describe the position of the cadavers used in this course.

Regional Terms

The human body’s numerous regions have specific terms to help increase precision in language (see Figure

1.3). Notice that the term “brachium” or “arm” is reserved for the “upper arm” and “antebrachium” or “forearm” is used rather than “lower arm.” Similarly, “femur” or “thigh” is correct, and “leg” or “crus” is reserved for the portion of the lower limb between the knee and the ankle. While you are not expected to learn these terms at this point in the course (you will not find them in the Module 1 Need to Know), you will see these terms throughout the semester as they often form the basis for many of the structures you will learn later.

Figure 1.3 Regions of the Human Body. The human body is shown in anatomical position in an (a) anterior view and a (b) posterior view. The regions of the body are labeled in boldface.

Directional Terms

A set of specific directional anatomical terms appear throughout this and most other anatomy textbooks

(Figure 1.4). These terms are essential for describing the relative locations of different body structures. For instance, an anatomist might describe one band of tissue as “inferior to” another or a physician might describe a tumor as “superficial to” a deeper body structure. Learning these terms now is critical to avoid confusion when you are studying or describing the locations of particular body parts in this course and in any future study of the human body.

  • Anterior (or ventral) - Describes the front or direction toward the front of the body. For example, the toes are found on the anterior portion of the foot.

  • Posterior (or dorsal) - Describes the back or direction toward the back of the body. For example, the spinal column is posterior to the sternum.

  • Superior (or cranial) - Describes a position above or higher than another part of the body. For example, the eyes are superior to the mouth. Superior and cranial can often be used interchangeably though cranial is used to specifically refer to a structure near or toward the head. In quadrupeds the terms sometimes cannot be used interchangeably.

  • Inferior (or caudal) - Describes a position below or lower than another part of the body. For example, the pelvis is inferior to the abdomen. Inferior and caudal can often be used interchangeably though caudal is used to specifically refer to a structure near or toward the tail (in humans, the coccyx, or lowest part of the spinal column). In quadrupeds the terms sometimes cannot be used interchangeably.

  • Lateral - Describes the side or direction toward the side of the body. For example, the thumb is lateral to the other digits.

  • Medial - Describes the middle or direction toward the middle of the body. For example, the big toe is the most medial toe.

  • Proximal - Describes a position in a limb that is nearer to the point of attachment or the trunk of the body. For example, the upper arm is proximal to the wrist.

  • Distal - Describes a position in a limb that is farther from the point of attachment or the trunk of the body. For example, the foot is distal to the thigh.

  • Superficial - Describes a position closer to the surface of the body. For example, the skin is superficial to the bones.

  • Deep - Describes a position farther from the surface of the body. For example, the brain is deep to the skull.

  • Contralateral - Describes structures found on opposite sides of the body (right vs. left side). For example, the right foot is contralateral to the left arm.

  • Ipsilateral - Describes structures found on the same side of the body. For example, the right hand and right shoulder are ipsilateral.

Figure 1.4 Directional Terms Applied to the Human Body. Paired directional terms are shown as applied to the human body in anatomical position.

Body Sections & Planes

A section is a two-dimensional surface of a three-dimensional structure that has been cut. Modern medical imaging devices enable clinicians to obtain “virtual sections” of living bodies which we call these scans. Body sections and scans can be correctly interpreted, however, only if the viewer understands the plane along which the section was made. A plane is an imaginary two-dimensional surface that passes through the body. There are three planes commonly referred to in anatomy and medicine (Figure 1.5).

  • Sagittal plane - Divides the body or an organ vertically into right and left sides. If this vertical plane runs directly down the middle of the body, it is called the midsagittal or median plane. If it divides the body into unequal right and left sides, it is called a parasagittal plane.

  • Frontal plane - Divides the body or an organ into an anterior (front) portion and a posterior (rear) portion. The frontal plane is sometimes referred to as a coronal plane.

  • Transverse plane - Divides the body or organ horizontally into upper and lower portions. Transverse planes produce images referred to as cross sections.

Figure 1.5 Planes of the Body. The three planes most commonly used in anatomical and medical imaging are the sagittal, frontal, and transverse planes.

Body Cavities

The body maintains its internal organization by means of membranes, sheaths, and other structures that separate compartments. The dorsal (posterior) cavity and the ventral (anterior) cavity are the largest body compartments (Figure 1.6). These cavities contain delicate internal organs, and the ventral cavity allows for significant changes in the size and shape of the organs as they perform their functions. The lungs, heart, stomach, and intestines, for example, can change their shape considerably during expansion or contraction without distorting other tissues or disrupting the activity of nearby organs since they are found in cavities.

Figure 1.6 Dorsal and Ventral Body Cavities. The ventral cavity includes the thoracic and abdominopelvic cavities and their subdivisions. The dorsal cavity includes the cranial and spinal cavities.

The dorsal and ventral cavities are each subdivided into smaller cavities. In the dorsal cavity, the cranial cavity houses the brain, and the vertebral (spinal) cavity encloses the spinal cord. Just as the brain and spinal cord make up a continuous, uninterrupted structure, the cranial and spinal cavities that house them are also continuous. The brain and spinal cord are protected by the bones of the skull and vertebral column and by cerebrospinal fluid, a colorless fluid produced by the brain, which cushions the brain and spinal cord within the dorsal cavity.

The ventral cavity has two main subdivisions: the thoracic cavity and the abdominopelvic cavity. The thoracic cavity is the more superior subdivision of the anterior cavity, and it is enclosed by the rib cage. The thoracic cavity contains the lungs (each found in a pleural cavity) and the heart (found in a pericardial cavity). The diaphragm forms the floor of the thoracic cavity and separates it from the more inferior abdominopelvic cavity. The abdominopelvic cavity is the largest cavity in the body. Although no membrane physically divides the abdominopelvic cavity, it can be useful to distinguish between the abdominal cavity, the division that primarily houses the digestive organs, and the pelvic cavity, the division that primarily houses the organs of reproduction.

Abdominal Regions and Quadrants

Health care providers typically divide up the abdominal cavity into either nine regions or four quadrants in order to promote clear communication about the location of a patient’s symptoms such as abdominal pain or a suspicious mass (Figure 1.7).

Figure 1.7 Regions and Quadrants of the Peritoneal Cavity. There are (a) nine abdominal regions and (b) four abdominal quadrants in the peritoneal cavity.

The more detailed regional approach subdivides the cavity with one horizontal line immediately inferior to the ribs and one immediately superior to the pelvis, and two vertical lines drawn as if dropped from the midpoint of each clavicle (collarbone). There are nine resulting regions. The simpler quadrants approach, which is more commonly used in medicine, subdivides the cavity with one horizontal and one vertical line that intersect at the patient’s umbilicus (navel).

Source Material

Bergman, Ronald A. (1995-2019). Illustrated Encyclopedia of Human Anatomic Variation. Anatomy Atlases: An anatomy digital library. Retrieved from https://www.anatomyatlases.org/

All images and the majority of the text found in this section is a derivative of "Anatomy and Physiology" by OpenStax CNX used under CC BY 4.0. Aug 2, 2019. Download the original text for free at

http://cnx.org/contents/14fb4ad7-39a1-4eee-ab6e-3ef2482e3e22@16.1

Activities

Hierarchy of Organization

Associated SLO

1. Describe the hierarchy of organization of the human body

Required Materials

• None

Procedure

This activity will be completed individually or in small groups. Refer to the background information to answer the questions below.

Check Your Understanding

  1. Complete the table below by sorting the given organizational levels of the human body from smallest to largest and then providing a one-sentence definition of each level.

Tissue; organelle; atom; organ; organ system; cell; organism; molecule

Smallest

Definition

Largest
  1. Summarize the major similarity for what defines tissues, organs, and organ systems in one phrase.

Anatomical Position

Associated SLO

2. Demonstrate and describe anatomical position

Required Materials

  • A lab partner

  • Open space

Procedure

Using the definition of anatomical position provided in the background information, take turns with a classmate to give simple, one-movement verbal instructions to transition from the given starting positions so that they end up in anatomical position.

  1. Lying face-up on the ground with their head, back, hands, and feet on the floor with both knees bent

  2. In a seated position on the floor with their legs straight and arms folded across their chest

  3. Sitting in a chair with their back to you and hands sitting in their lap

  4. Standing and facing you with their legs crossed and hands in their pocket

Check Your Understanding

3. Write your detailed step-by-step instructions in the provided table.

Scenario

Given Instructions

1
2
3
4

Directional Terms

Associated SLO

3. Use directional terms to precisely describe the location of structures on the human body

Required Materials

  • Post-its

  • Skeleton or torso model

Procedure

This activity will be completed individually or in small groups. Use all of the directional terms provided in the table below in an accurate context by illustrating the terms on a skeleton or torso model.

Check Your Understanding

4. Complete the table below for each directional term. You cannot use the examples provided in the background information and must come up with different examples.

Directional Term Definition Example(s)
Superior (cranial)
Inferior (caudal)
Medial
Lateral
Superficial
Deep
Anterior (ventral)
Posterior (dorsal)
Proximal
Distal

Ipsilateral

Contralateral

Sectional Planes – Pickle Dissection

Associated SLO

4. Demonstrate and describe anatomical planes of section

Required Materials

  • One pickle

  • Plate

  • Knife

  • 4 Toothpicks

  • Piece of paper

Procedure

This activity will be completed together as a class. Please do not eat the pickles.

  1. Retrieve a pickle on a plate, four toothpicks, and a knife from your TA.

  2. Place the toothpicks in your pickle to serve as representations of the arms and legs.

  3. Your instructor will direct you to cut your pickle along one of five planes: midsagittal (median), parasagittal, frontal (coronal), transverse (horizontal), and oblique.

  4. Draw a representation of the now-visible section where you made the cut on your piece of paper and in the provided table.

  5. Compare your drawing and pickle-sections with other groups that made that same section.

  6. View the drawings of other groups that made different sections.

  7. Take a picture of your drawing and a representative example of each of the other four sections from other groups in the class.

  8. Upload the five pictures into the associated prompts in Lt.

Check Your Understanding

  1. Follow the prompts in Lt to upload pictures of each type of section.

For each of the following questions there could be one or more than one correct answer.

  1. Choose the body plane(s) that would allow you to see both lungs at the same time: a. Midsagittal

    1. Parasagittal

    2. Frontal

    3. Transverse

    4. Oblique

  2. Choose all possible body plane(s) that would allow you to see the brain and the spinal cord: a. Midsagittal

    1. Parasagittal

    2. Frontal

    3. Transverse

    4. Oblique

  3. Choose the body plane(s) that would allow you to see the brain but not the spinal cord: a. Midsagittal

    1. Parasagittal

    2. Frontal

    3. Transverse

    4. Oblique

  4. Choose the body plane(s) that would allow you to see the right eye but not the left eye: a. Midsagittal

    1. Parasagittal

    2. Frontal

    3. Transverse

    4. Oblique

Body Cavities

Associated SLO

5. Identify the major body cavities and provide examples of major organs found in each

Required Materials

  • Post-its

  • Large piece of paper

  • Tape

  • Torso model and/or a classmate

Procedure

This activity will be completed as a group.

  1. On the large piece of paper, draw two perpendicular lines to create four quadrants (right-upper, rightlower, left-upper, and left-lower), similar to Figure 1.7.

  2. Tape the piece of paper onto the abdomen of the torso model or a classmate

  3. Your instructor will call out the name of a major organ and you will write the organ name on a post-it and then place the post-it in the correct quadrant. Use this as an un-graded test of your current knowledge and do not use an outside resource to look up where the organs are found.

Check Your Understanding

  1. List all of the cavities found within the dorsal body cavity.

  2. List all of the cavities found within the ventral body cavity.

  3. Complete the table to provide one example of an organ found in each of the following body cavities.

Body cavity

Organ Example(s)

Cranial
Abdominal
Pelvic
Pleural
Vertebral
Pericardial

Lesson 2: Cells

Created by Dan McNabney

Introduction

In this lesson you will review the basic anatomy and physiology of a typical animal cell.

Student learning outcomes (SLOs):

By the end of this lesson you will be able to:

  1. Define the following: cell & organelle

  2. Identify major regions of the cell (cytoplasm, nucleus, plasma membrane) on a model and/or diagram and summarize major functions of each.

  3. Identify typical organelles found in an animal cell and summarize major functions of each 4. Summarize the major events for each part of the cell cycle (interphase and mitosis)

Background Information

You developed from a single cell, a fertilized egg, into the complex organism containing trillions of cells that you see when you look in a mirror. During this developmental process, stem cells differentiate and become specialized in their structure and function. Many different cell types form specialized tissues that work in concert to perform all of the functions necessary for a living organism.

Consider the difference between a structural cell in the skin and a nerve cell. A structural skin cell may be shaped like a flat plate (squamous) and live only for a short time before it is shed and replaced. Packed tightly into rows and sheets, squamous skin cells provide a protective barrier for the cells and tissues that lie beneath. A nerve cell, on the other hand, may be shaped something like a star, sending out long processes up to a meter in length and may live for the entire lifetime of the organism. With their long winding extensions, nerve cells can communicate with one another and with other types of body cells and send rapid signals that inform the organism about its environment and allow it to respond to changes in the environment. These differences illustrate one very important theme that is consistent at all organizational levels of biology: the form of a structure is optimally suited to perform particular functions associated with that structure. Keep this theme in mind as you the structure of an animal cell and then apply that information as you study various types of cells in the body.

Figure 2.1 A representative human cell. This image is not indicative of any one particular type of human cell but it provides examples of the primary organelles and internal structures found in many cell types.

The Cell Membrane

Despite differences in structure and function, all living cells in multicellular organisms have a surrounding cell membrane. As the outer layer of your skin separates your body from its environment, the cell membrane (also known as the plasma membrane) separates the inner contents of a cell (intracellular) from its exterior environment (extracellular). The cell membrane provides a protective barrier around the cell and regulates which materials can pass in or out.

Figure 2.2 Structure of the cell membrane. The cell membrane of the cell is a phospholipid bilayer containing many different molecular components, including proteins and cholesterol, some with carbohydrate groups attached.

The cell membrane is an extremely pliable and variable cell structure composed primarily of back-to-back phospholipids (the phospholipid bilayer). Cholesterol is also present, which contributes to the fluidity of the membrane, and there are various proteins embedded within the membrane that have a variety of functions. The two major structural classes of proteins are integral proteins and peripheral proteins. Integral proteins are embedded into the cell membrane and allow cells to move materials between the intracellular and extracellular environments and communicate with other cells. A channel protein is an example of an integral protein that selectively allows particular materials, such as certain ions, to pass into or out of the cell. Peripheral proteins are typically found on the inner or outer surface of the lipid bilayer but can also be attached to the internal or external surface of an integral protein. These proteins typically perform a specific function for the cell and this includes proteins that act as digestive enzymes to break down nutrients in the small intestine so that they are small enough to be absorbed by the cells.

The Cytoplasm

All living cells in multicellular organisms contain an internal compartment, called the cytoplasm which includes the cytosol, organelles, and the cytoskeleton. The cytosol is the fluid component of the cytoplasm and is a jelly-like substance within the cell that includes the components necessary for cellular function. Cells also contain various membrane-enclosed cellular organelles which perform a specific function and are described further below. The cytoskeleton is a group of fibrous proteins, including microfilaments, intermediate filaments, and microtubules that helps cells maintain their structural integrity. Cytoskeletal components are also critical for cell motility, cell reproduction, and transportation of substances within the cell.

Organelles

Just as the various organs work together in harmony to perform all of a human’s necessary functions, cellular organelles work together to keep the cell performing all of its important functions. Figure 2.1 shows several examples of cellular organelles whose function is summarized in Table 2.1.

Table 2.1
OrganelleFunction
NucleusContains the cell’s DNA and directs cellular functions.
MitochondrionConverts energy storage molecules into the major energy molecule, ATP, to power cellular function
RibosomeProtein synthesis
Rough endoplasmic reticulumIncludes ribosomes for the synthesis and modification of proteins
Smooth endoplasmic reticulumLipid synthesis
Golgi apparatusSorts, modifies, and ships products from the endoplasmic reticulum
LysosomeContains digestive enzymes to break down materials
PeroxisomeContains enzymes key for lipid metabolism and chemical detoxification

The Cell Cycle

The cell cycle consists of two general phases: interphase, followed by mitosis and cytokinesis (Figure 2.3). Interphase is the period of the cell cycle during which the cell is not dividing. The majority of cells are in interphase most of the time. Mitosis is the division of genetic material, during which the cell nucleus breaks down and two new, fully functional, nuclei are formed. Cytokinesis divides the cytoplasm into two distinctive cells.

Figure 2.3 The cell cycle. The two major phases of the cell cycle include mitosis (cell division), and interphase, when the cell grows and performs all of its normal functions. Interphase is further subdivided into G1, S, and G2 phases.

Interphase

A cell grows and carries out all normal metabolic functions and processes in a period called G1 (Figure 2.3). G1 phase (gap 1 phase) is the first gap, or growth phase in the cell cycle and is the phase that varies the most in terms of duration. Cells might spend a couple of hours, or many days in this phase. For cells that will divide again, G1 is followed by replication of the DNA, during S phase. S phase (synthesis phase) is the period during which a cell replicates its DNA. After S phase, the cell proceeds through the G2 phase. The G2 phase is a second gap phase, during which the cell continues to grow and makes the necessary preparations for mitosis. S phase typically lasts between 8-10 hours and the G2 phase approximately 5 hours. Cells that have temporarily stopped dividing and are resting (a common state) and cells that have permanently ceased dividing (like nerve cells) are said to be in G0, a resting phase of the cell cycle.

Mitosis and Cytokinesis

The mitotic phase of the cell cycle typically takes between 1 and 2 hours. During this phase, a cell undergoes two major processes. First, it completes mitosis, during which the contents of the nucleus are equitably pulled apart and distributed between its two halves. Cytokinesis then occurs, dividing the cytoplasm and cell body into two new cells. Mitosis is divided into four major stages that take place after interphase (Figure 2.4) in the following order: prophase, metaphase, anaphase, and telophase. The process is then followed by cytokinesis.

Figure 2.4 Mitosis and cytokinesis. The stages of cell division lead to the separation of identical genetic material into two new nuclei, followed by the division of the cytoplasm.

Prophase

Prophase is the first phase of mitosis, during which the loosely packed chromatin coils and condenses into visible chromosomes. During prophase, each chromosome becomes visible with its identical partner attached, forming the familiar X-shape of sister chromatids. The nucleolus disappears early during this phase, and the nuclear envelope also disintegrates. Centrosomes migrate to two different sides of the cell and microtubules begin to extend from each like long fingers from two hands extending toward each other.

Metaphase

Metaphase is the second stage of mitosis. During this stage, the sister chromatids, with their attached microtubules, line up along a linear plane in the middle of the cell. A metaphase plate forms between the centrosomes that are now located at either end of the cell. Microtubules are now poised to pull apart the sister chromatids and bring one from each pair to each side of the cell.

Anaphase

Anaphase is the third stage of mitosis. Anaphase takes place over a few minutes, when the pairs of sister chromatids are separated from one another, forming individual chromosomes once again. Each end of the cell receives one partner from each pair of sister chromatids, ensuring that the two new daughter cells will contain identical genetic material.

Telophase

Telophase is the final stage of mitosis. Telophase is characterized by the formation of two new daughter nuclei at either end of the dividing cell. These newly formed nuclei surround the genetic material, which uncoils such that the chromosomes return to loosely packed chromatin. Nucleoli also reappear within the new nuclei, and the mitotic spindle breaks apart, each new cell receiving its own complement of DNA, organelles, membranes, and centrioles. At this point, the cell is already beginning to split in half as cytokinesis begins.

Cytokinesis

The cleavage furrow is a contractile band made up of microfilaments that forms around the midline of the cell during cytokinesis. This contractile band squeezes the two cells apart until they finally separate. Two new cells are now formed.

Source Material

All images and the text found in this section are a derivative of "Anatomy and Physiology" by OpenStax CNX used under CC BY 4.0. Aug 2, 2019. Download the original text for free at http://cnx.org/contents/14fb4ad739a1-4eee-ab6e-3ef2482e3e22@16.1

Pre-assessment

Many students have prior knowledge of the major components of the cell from previous courses. Test your current level of understanding by filling in the blanks on the provided figure with the provided keywords without referencing the background information.

Keywords
Peroxisome

Smooth ER

Ribosome

Nucleus

Mitochondrion

Plasma membrane

Lysosome

Golgi apparatus

Rough ER

Activities

Cell Anatomy

Associated SLOs

  1. Define the following: cell & organelle

  2. Identify major regions of the cell (cytoplasm, nucleus, plasma membrane) on a model and/or diagram and summarize major functions of each.

Required Materials

• None

Procedure

This activity will be completed individually or in small groups. Refer to the background information as needed to help answer the questions below.

Check Your Understanding

  1. Compare and contrast the cytoplasm vs. the cytosol.

  2. Summarize the function of the plasma membrane in one sentence.

Organelles

Associated SLOs

1. Define the following: cell & organelle

3. Identify typical organelles found in an animal cell and summarize major functions of each

Required Materials

• None

Procedure

This activity will be completed individually or in small groups. Refer to the background information as needed to help answer the questions below.

Check Your Understanding

  1. Name one major structural similarity and one major structural difference between cells and organelles.

  2. Complete the table below to summarize the major function of each given organelle in one sentence or phrase.

Organelle

Function (one sentence or phrase)

Peroxisome
Nucleus
Lysosome
Smooth ER
Mitochondrion
Golgi apparatus
Ribosome
Rough ER

The Cell Cycle

Associated SLOs

4. Summarize the major events for each part of the cell cycle (interphase and mitosis)

Required Materials

• None

Procedure

This activity will be completed individually or in small groups. Refer to the background information as needed to help answer the questions below.

Check Your Understanding

  1. Match the cell cycle phase to the major cellular events by completing table below with the provided cell cycle phases. Each cell cycle phase will only be used once.

S phase, G1 phase, Anaphase, Prophase, Metaphase, Telophase, Cytokinesis, G0 phase

Cell Cycle Phase

Major Cellular Events

Sister chromatids are pulled to opposite poles

Sister chromatids line up at middle of cell

Chromosomes de-condense and nuclear envelopes reform

Cleavage furrow separates daughter cells

Significant cell growth to prepare for mitosis

Replication of DNA

Condensation of chromosomes

Cells are not dividing

  1. Label each of the following drawings of cells in different stages of mitosis and cytokinesis.

Lesson 3: Histology – Epithelial & Connective Tissues

Created by Dan McNabney

Introduction

In this lesson you will describe what a tissue is, define each of the four primary tissues types, and explore epithelial and connective tissues in detail.

Student learning outcomes (SLOs):

By the end of this lesson you will be able to:

  1. Define histology

  2. Describe a tissue as part of the anatomical organization of the body

  3. List and define the four primary tissue types

  4. List and describe all of the sub-types for epithelial and connective tissues

  5. Identify each of the epithelial and connective tissue types and sub-types via a picture or diagram

  6. List an example of a location for each tissue sub-type

  7. Summarize the function for each tissue sub-type

  8. Describe the structural modifications that contribute to specific function for each tissue type & sub-type

  9. Identify the major structures of the cells in the tissues observed – nuclei, cell membrane/cilia, extracellular material (fibers and matrix), specialized arrangements of cells

Background Information

The term tissue is used to describe a group of cells found together in the body. Cells in the same tissue share structural features and are arranged in an orderly pattern that achieves the tissue’s functions. Although there are many types of cells in the human body, they are organized into four broad categories of tissues: epithelial, connective, muscle, and nervous (Figure 3.1). Each of these tissue types is characterized by specific functions that contribute to the overall health and maintenance of the human body.

Epithelial tissue, also referred to as epithelium, refers to the sheets of cells that cover exterior surfaces of the body, lines internal cavities and passageways, and forms certain glands. Connective tissue, as its name implies, binds the cells and organs of the body together and functions in the protection, support, and integration of all parts of the body. Muscle tissue is excitable, responding to stimulation and contracting to provide movement. Nervous tissue is also excitable, allowing the propagation of electrochemical signals in the form of nerve impulses that allow communication between different regions of the body.

Figure 3.1 The four primary tissue types are exemplified in nervous tissue, stratified squamous epithelial tissue, cardiac muscle tissue, and connective tissue in small intestine. Clockwise from nervous tissue, LM ×

872, LM × 282, LM × 460, LM × 800. (Micrographs provided by the Regents of University of Michigan Medical School © 2012)

The next level of organization is the organ, where several types of tissues come together to form a working unit. Just as knowing the structure and function of cells helps you in your study of tissues, knowledge of tissues will help you understand how organs function. Epithelial and connective tissues will be covered in this lesson while muscle and nervous tissues will be covered in the next lesson.

Epithelial Tissue

Most epithelial tissues are essentially large sheets of cells covering all the surfaces of the body exposed to the outside world and lining the outside of organs. Epithelium also forms much of the glandular tissue of the body. Skin is not the only area of the body exposed to the outside. Other areas include the airways, the digestive tract, as well as the urinary and reproductive systems, all of which are lined by an epithelium. Hollow organs and body cavities that do not connect to the exterior of the body, which includes, blood vessels and serous membranes, are lined by endothelium (plural = endothelia), which is a type of epithelium.

Epithelial tissue is highly cellular, with little or no extracellular material present between cells. All epithelia share some important structural and functional features that define epithelial tissue:

  • Polarity - Epithelial cells exhibit polarity with differences in structure and function between the exposed or apical-facing surface of the cell and the basal surface close to the underlying body structures. Certain organelles are segregated to the basal sides, whereas other organelles and extensions, such as cilia, when present, are on the apical surface.

  • Supported by connective tissue – The basement membrane, a combination of the basal and reticular laminas, connects epithelial tissues underlying connective tissues to provide structural and functional support. The epithelial layer secretes the basal lamina, a mixture of glycoproteins and collagen, which connects to a reticular lamina secreted by the underlying connective tissue.

  • Avascular - Epithelial tissues are nearly completely avascular, meaning that they do not contain blood vessels. All materials that enter or leave the epithelial layer must come by diffusion or absorption from underlying tissues or the surface.

  • Innervated – Most epithelial tissues are supplied by nervous tissue to allow interaction with the external environment.

  • Regeneration - Many epithelial tissues are capable of rapidly replacing damaged and dead cells. Sloughing off of damaged or dead cells is a characteristic of surface epithelium and allows our airways and digestive tracts to rapidly replace damaged cells with new cells.

A key function for many epithelial tissues is serve as the body’s first line of protection from physical, chemical, and biological wear and tear. The cells of an epithelium act as gatekeepers of the body controlling

permeability and allowing selective transfer of materials across a physical barrier. All substances that enter the body must cross an epithelium. Some epithelia often include structural features that allow the selective transport of molecules and ions across their cell membranes. Many epithelial cells are also capable of secretion and release mucous and specific chemical compounds onto their apical surfaces. The epithelium of the small intestine releases digestive enzymes, for example. Cells lining the respiratory tract secrete mucous that traps incoming microorganisms and particles.

Classification of Epithelial Tissues

Epithelial tissues are classified according to the shape of the cells and number of the cell layers formed (Figure

3.2). Cell shapes can be squamous (flattened and thin), cuboidal (boxy, as wide as it is tall), or columnar (rectangular, taller than it is wide). Similarly, the number of cell layers in the tissue can be one—where every cell rests on the basal lamina—which is a simple epithelium, or more than one, which is a stratified epithelium and only the basal layer of cells rests on the basal lamina. Pseudostratified (pseudo- = “false”) describes tissue with a single layer of irregularly shaped cells that give the appearance of more than one layer.

Figure 3.2 Epithelial tissue structural types.

Simple Epithelium

The shape of the cells in the single cell layer of simple epithelium reflects the function of those cells.

Simple Squamous

Simple squamous epithelial cells have the appearance of thin scales. Squamous cell nuclei tend to be flat, horizontal, and elliptical, mirroring the form of the cell. Simple squamous epithelium, because of the thinness of the cell, is present where rapid passage of chemical compounds is required. The alveoli of lungs where gases diffuse, segments of kidney tubules, and the lining of capillaries are also made of simple squamous epithelial tissue.

Simple Cuboidal

In simple cuboidal epithelium, the nucleus of the box-like cells appears round and is generally located near the center of the cell. These epithelia are active in the secretion and absorptions of molecules. Simple cuboidal epithelia are observed in the lining of the kidney tubules and in the ducts of glands.

Simple Columnar

In simple columnar epithelium, the nucleus of the tall column-like cells tends to be elongated and located in the basal end of the cells. Like the cuboidal epithelia, this epithelium is active in the absorption and secretion of molecules. Simple columnar epithelium forms the lining of some sections of the digestive system and parts of the female reproductive tract. Ciliated columnar epithelium is composed of simple columnar epithelial cells with cilia on their apical surfaces. These epithelial cells are found in the lining of the uterine tubes and parts of the respiratory system, where the beating of the cilia helps move materials along the apical surface of the cells.

Pseudostratified Columnar

Pseudostratified columnar epithelium is a type of epithelium that appears to be stratified but instead consists of a single layer of irregularly shaped and differently sized columnar cells. In pseudostratified epithelium, nuclei of neighboring cells appear at different levels rather than clustered in the basal end. The arrangement gives the appearance of stratification; but in fact all the cells are in contact with the basal lamina, although some do not reach the apical surface. Pseudostratified columnar epithelium is found in the respiratory tract, where some of these cells have cilia.

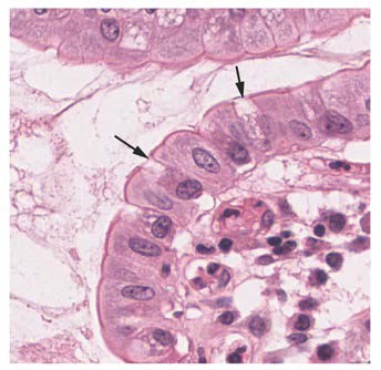
In addition to the epithelial cells described above, both simple and pseudostratified columnar epithelial typically include additional types of cells interspersed among the epithelial cells. For example, a goblet cell is a mucous-secreting unicellular gland interspersed between the columnar epithelial cells of mucous membranes (Figure 3.3).

Figure 3.3 Goblet Cell In the lining of the small intestine, columnar epithelium cells are interspersed with goblet cells. The arrows in this micrograph point to the mucous-secreting goblet cells. LM × 1600. (Micrograph provided by the Regents of University of Michigan Medical School © 2012).

Stratified Epithelium

A stratified epithelium consists of more than one stacked layer of cells. Stratified epithelium is typically found in places where protection against physical and chemical wear and tear is needed. Stratified epithelium is named by the shape of the most apical layer of cells, closest to the free space. Stratified squamous epithelium is the most common type of stratified epithelium in the human body. The apical cells are squamous, whereas the basal layer contains either columnar or cuboidal cells. The top layer may be covered with dead cells filled with keratin. Mammalian skin is an example of keratinized, stratified squamous epithelium while the lining of the oral cavity is an example of an unkeratinized, stratified squamous epithelium. Stratified cuboidal epithelium and stratified columnar epithelium can be found in certain glands and ducts, but are relatively uncommon in the human body.

Another kind of stratified epithelium is transitional epithelium, so-called because the shape of the apical cells can undergo gradual changes in shape. Transitional epithelium is found only in the urinary system, specifically the ureters and urinary bladder. When the bladder is empty, this epithelium is folded and has cuboidal apical cells with convex, umbrella shaped, apical surfaces. As the bladder fills with urine, this epithelium loses its folds and the apical cells transition from cuboidal to squamous. It appears thicker and more multi-layered when the bladder is empty, and more stretched out and less stratified when the bladder is full and distended. Figure 3.4 summarizes the different structural categories of epithelial tissue types.

Figure 3.4 Summary of structural categories of epithelial tissues

Connective Tissue

As may be obvious from its name, one of the major functions of connective tissue is to support and connect tissues and organs. From the connective tissue sheath that surrounds muscle cells, to the tendons that attach muscles to bones, and to the skeleton that supports the positions of the body support is a critical function of connective tissues. Protection is another major function of connective tissue which includes bones that protect delicate organs and, of course, the skeletal system. In addition, specialized cells in connective tissue defend the body from microorganisms that enter the body. Transport of fluid, nutrients, waste, and chemical messengers is ensured by specialized fluid connective tissues, such as blood and lymph. Finally, adipose cells store surplus energy in the form of fat and contribute to the thermal insulation of the body.

Unlike epithelial tissue, which is composed of cells closely packed with little or no extracellular space in between, connective tissue cells are dispersed in a matrix. The matrix usually includes a large amount of extracellular material produced by the connective tissue cells that are embedded within it and plays a major role in the function of the tissue. Connective tissues come in a vast variety of forms, yet they have three characteristic components in common: specialized cells, large amounts of ground substance, and extracellular protein fibers. The ground substance can vary from a watery fluid in blood, to a dense gel in cartilage, and even a mineralized matrix in bones. The amount and structure of each component correlates with the function of the tissue, from the rigid ground substance in bones supporting the body to the inclusion of specialized cells; for example, a phagocytic cell that engulfs pathogens and also rids tissue of cellular debris.

The three broad categories of connective tissue are classified according to the characteristics of their ground substance and the types of fibers found within the matrix (Table 3.1) and are described further below.

Table 3.1
Connective Tissue ProperSupportive Connective Tissue

Fluid Connective Tissue

Loose Connective Tissue

  • Areolar

  • Adipose

  • Reticular

Cartilage

  • Hyaline

  • Fibrocartilage

  • Elastic

Blood

Dense Connective Tissue

  • Regular

  • Irregular

Bone

Lymph

Connective Tissue Proper

Connective tissue proper includes loose connective tissue and dense connective tissue. Both tissues have a variety of cell types (mesenchymal cells, fibroblasts, fibrocytes, adipocytes, macrophages, lymphocytes, and mast cells) and protein fibers (collagen, elastic, and reticular) suspended in a viscous ground substance. Dense connective tissue is reinforced by bundles of fibers that provide tensile strength, elasticity, and protection. In loose connective tissue, the fibers are loosely organized, leaving large spaces between structures.

Loose Connective Tissue

Loose connective tissue is found between many organs where it acts both to absorb shock and bind tissues together. It allows water, salts, and various nutrients to diffuse through to adjacent or embedded cells and tissues.

Areolar Tissue

Areolar tissue shows little specialization. It contains all the cell types and fibers previously listed and is distributed in a random, web-like fashion (Figure 3.5). It fills the spaces between muscle fibers, surrounds blood and lymph vessels, and supports organs in the abdominal cavity. Areolar tissue underlies most epithelia and represents the connective tissue component of epithelial membranes.

Figure 3.5 Areolar tissue. LM × 400. (Micrograph provided by the Regents of University of Michigan Medical

School © 2012)

Adipose Tissue

Adipose tissue consists mostly of fat storage cells, with little extracellular matrix (Figure 3.6). A large number of capillaries allow rapid storage and mobilization of lipid molecules. White adipose tissue is most abundant and appears yellow due to carotene and related pigments from plant food. White fat contributes mostly to lipid storage and can serve as insulation from cold temperatures and mechanical injuries. White adipose tissue can be found protecting the kidneys and cushioning the back of the eye.

Figure 3.6 Adipose Tissue LM × 800. (Micrograph provided by the Regents of University of Michigan Medical

School © 2012)

Reticular Tissue

Reticular tissue is a mesh-like, supportive framework for soft organs such as lymphatic tissue, the spleen, and the liver (Figure 3.7). Reticular cells produce the reticular fibers that form the network onto which other cells attach.

Figure 3.7 Reticular Tissue. LM × 1600. (Micrograph provided by the Regents of University of Michigan Medical

School © 2012)

Dense Connective Tissue

Dense connective tissue contains more collagen fibers than loose connective tissue. As a consequence, it displays greater resistance to stretching. There are two major categories of dense connective tissue: regular and irregular.

Dense Regular

Dense regular connective tissue primarily has collagen fibers that run parallel to each other which enhances tensile strength and resistance to stretching in the direction of the fiber orientations (Figure 3.8). Ligaments and muscle tendons are made of dense regular connective tissue, though in ligaments not all fibers run parallel. Some dense regular tissues include elastin fibers in addition to collagen fibers, which allows the ligament to return to its original length after stretching. The ligaments in the vocal folds and between the vertebrae in the vertebral column are often classified as elastic.

Figure 3.8 Dense regular connective tissue. LM × 1000 (Micrographs provided by the Regents of University of

Michigan Medical School © 2012)

Dense Irregular

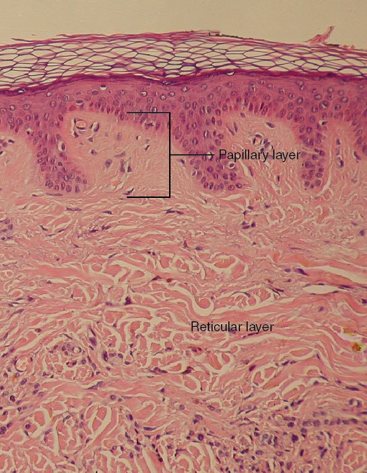
In dense irregular connective tissue, the direction of fibers is random. This arrangement gives the tissue greater strength in all directions and less strength in one particular direction. In some tissues, fibers crisscross and form a mesh. In other tissues, stretching in several directions is achieved by alternating layers where fibers run in the same orientation in each layer, and it is the layers themselves that are arranged in different directions. The dermis of the skin is an example of dense irregular connective tissue rich in collagen fibers. Dense irregular elastic tissues give arterial walls the strength and the ability to regain original shape after stretching (Figure 3.9).

Figure 3.9 Dense irregular connective tissue. LM × 200. (Micrographs provided by the Regents of University of

Michigan Medical School © 2012)

Supportive Connective Tissue

Supportive connective tissue—bone and cartilage—provide structure and strength to the body and protect soft tissues. A few distinct cell types and densely packed fibers in a matrix characterize these tissues. In bone, the matrix is rigid and described as calcified because of the deposited calcium salts. Two major forms of supportive connective tissue, cartilage and bone, allow the body to maintain its posture and protect internal organs.

Cartilage

The distinctive appearance of cartilage is due to polysaccharides called chondroitin sulfates, which bind with ground substance proteins to form proteoglycans. Embedded within the cartilage matrix are chondrocytes, or cartilage cells, and the space they occupy are called lacunae (singular = lacuna). A layer of dense irregular connective tissue, the perichondrium, encapsulates the cartilage. Cartilaginous tissue is avascular, thus all nutrients need to diffuse through the matrix to reach the chondrocytes. This is a factor contributing to the very slow healing of cartilaginous tissues. The three main types of cartilage tissue are hyaline cartilage, fibrocartilage, and elastic cartilage.

Hyaline Cartilage

Hyaline cartilage, the most common type of cartilage in the body, provides support with some flexibility. The cartilage matrix consists of short and dispersed collagen fibers and contains large amounts of proteoglycans.

Under the microscope, tissue samples appear clear (Figure 3.10). The surface of hyaline cartilage is smooth.

Both strong and flexible, it is found in the rib cage and nose and covers bones where they meet to form moveable joints. It makes up a template of the embryonic skeleton before bone formation.

Figure 3.10 Hyaline cartilage. LM × 300 (Micrographs provided by the Regents of University of Michigan

Medical School © 2012)

Fibrocartilage

Fibrocartilage provides some compressibility and can absorb pressure. Fibrocartilage is tough because it has thick bundles of collagen fibers dispersed through its matrix (Figure 3.11). Menisci in the knee joint and the intervertebral discs are examples of fibrocartilage.

Figure 3.11 Fibrocartilage. LM × 1200 (Micrographs provided by the Regents of University of Michigan Medical

School © 2012)

Elastic cartilage

Elastic cartilage provides firm but elastic support. Elastic cartilage contains elastic fibers as well as collagen and proteoglycans in the extracellular matrix (Figure 3.12). Tug gently at your ear lobes, and notice that the lobes return to their initial shape which is because the external ear contains elastic cartilage.

Figure 3.12 Elastic cartilage. LM × 1016 (Micrographs provided by the Regents of University of Michigan

Medical School © 2012)

Bone

Bone is the hardest connective tissue. It provides protection to internal organs and supports the body. Bone’s rigid extracellular matrix contains mostly collagen fibers covered in a mineralized ground substance containing hydroxyapatite, a form of calcium phosphate. Both components of the matrix, organic and inorganic, contribute to the unusual properties of bone. Without collagen, bones would be brittle and shatter easily. Without mineral crystals, bones would flex and provide little support. Osteocytes, bone cells like

chondrocytes, are located within lacunae. Bone is a highly vascularized tissue and, unlike cartilage, bone tissue can recover from injuries in a relatively short time. The structure of bone will be considered further in Lesson 6.

Fluid Connective Tissue

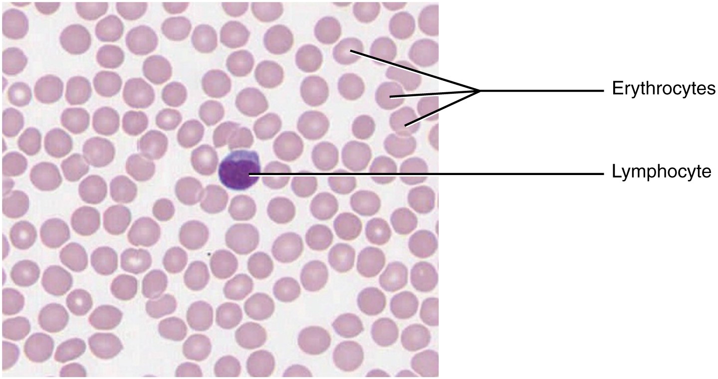
Lymph and blood are the fluid connective tissues. They contain various specialized cells circulating in a watery extracellular matrix containing salts, nutrients, and dissolved proteins. Blood contains the formed elements (erythrocytes, leukocytes, and platelets) that contribute to the transportation of materials throughout the body and our body’s ability to respond to injury and illness (Figure 3.13). Lymph contains a liquid matrix and leukocytes. Lymph eventually drains into blood vessels, delivering molecules to the blood that could not otherwise directly enter the bloodstream which includes absorbed fats away from the intestine.

Figure 3.13 Blood: A Fluid Connective Tissue. LM × 1600. (Micrograph provided by the Regents of University of

Michigan Medical School © 2012)

Source Material

All images and the text found in this section are a derivative of "Anatomy and Physiology" by OpenStax CNX used under CC BY 4.0. Aug 2, 2019. Download the original text for free at http://cnx.org/contents/14fb4ad739a1-4eee-ab6e-3ef2482e3e22@16.1

Activities

Primary Tissues

Associated SLOs

  1. Describe a tissue as part of the anatomical organization of the body

  2. List and define the four primary tissue types

Required Materials

• None

Procedure

This activity will be completed individually or in small groups. Refer to the background information to answer the questions below.

Check Your Understanding

  1. In your words, distinguish between a tissue and an organ. How are they similar? How are they different?

  2. List the four primary tissue types.

  3. Complete the table below by writing the name of the one primary tissue type that best applies to each provided description. Each primary tissue type can be used more than once.

Primary Tissue Type Description
Covers all exterior surfaces of the body
Communication
Binds cells and organs together
Support & protection
Forms glands
Movement

Build-A-Tissue

Associated SLOs

  1. 5. 6. 7.

8.

9. Identify the major structures of the cells in the tissues observed – nuclei, cell membrane/cilia, extracellular material (fibers and matrix), specialized arrangements of cells

Required Materials

  • Two large pieces of paper

  • Drawing utensils

Procedure

This activity will be completed together as a class.

  1. Collect a large piece of paper and drawing utensils.

  2. Your instructor will direct you to design two different epithelial tissues, each of which should carry out a specific function. The functions are:

Function Description
Gas ExchangeAllows the fast and efficient exchange of gases via diffusion from the apical side to the basal side of the epithelial sheet
Apical MovementMoves materials across the apical surface of the epithelial sheet. Materials should not be brought inside of the cells.
ProtectionProvides a tough barrier between the apical and basal sides of the epithelial sheet to prevent the movement of materials.
AbsorptionAllows selective exchange of large materials via membrane proteins from the apical to the basal side of the epithelial sheet
  1. Draw each of your assigned functional tissue types on separate pieces of paper including any structural modifications necessary to carry out the specified function.

  2. Compare your tissue to other groups with the same functional type and make any adjustments to your drawing you feel are necessary.

  3. View the drawings of other groups that made different functional tissue types.

  4. Take a picture of your tissues and a representative example of each of the other two tissues from other groups in the class.

  5. Upload the four pictures into the associated prompts in Lt.

Check Your Understanding

4. Name one place in the human body where you could find each of the provided functional types of epithelial tissues:

Functional Type Location
Gas Exchange
Apical Movement
Protection
Absorption

Epithelial Tissues

Associated SLOs

4. 5. 6. 7.

8.

9. Identify the major structures of the cells in the tissues observed – nuclei, cell membrane/cilia, extracellular material (fibers and matrix), specialized arrangements of cells

Required Materials

  • Your TA – You will likely find this challenging at first as you acclimate to looking at tissue sections. Your TA will be happy to help you with some tips about how best to approach finding some of the specific features of these tissues.

  • Background information - Don't forget to use the background information for reference, including pictures similar to what you will be looking for!

  • Virtual Microscope - You will access tissue slides using a virtual microscope that will allow you the ability to freely navigate tissue sections including the ability to zoom in and out. This will require the use of Flash and you will likely have to adjust your browser settings to allow Flash to run.

  1. Simple squamous epithelium (29) – Access a section of mesentery by following the link: http://141.214.65.171/Histology/Basic%20Tissues/Epithelium%20and%20CT/029-

1_HISTO_40X.svs/view.apml?X=0.180432692469121&Y=0.06850410599376&zoom=50 o Notes: The endothelial lining of small blood vessels contains simple squamous epithelial tissue. In this view you can identify red blood cells still within the vessel.

  1. Simple cuboidal epithelium (9) – Access a section of the kidney by following the link:

http://141.214.65.171/Histology/Basic%20Tissues/Epithelium%20and%20CT/009-

N1_HISTO_40X.svs/view.apml?X=0.105560673065479&Y=-0.214124946151648&zoom=25

  • Notes: Look for single rows of cuboidal cells arranged in a circle surrounding a central lumen.

  1. Simple columnar epithelium (29) – Access a section of the small intestine by following the link:

http://141.214.65.171/Histology/Basic%20Tissues/Epithelium%20and%20CT/029-

1_HISTO_40X.svs/view.apml o Notes: Focus on the mucosal epithelium (stained darker purple) surrounding the central lumen. Find sections of cells lining the lumen that are taller than they are wide. You will also be able to find integrated glandular cells (goblet cells).

  1. Stratified keratinized squamous epithelium (112) – Access a section of plantar skin by following the link: http://141.214.65.171/Histology/Integumentary%20System/112_HISTO_40X.svs/view.apml?

    • Notes: The keratinized epithelium is found at the bottom of the view. Locate and identify the sheets of connected, dead cells in the outermost layer.

  2. Stratified non-keratinized squamous epithelium (126) – Access a section of the trachea and esophagus by following the link:

http://141.214.65.171/Histology/Respiratory%20System/126_HISTO_40X.svs/view.apml?

  • Notes: A portion of the esophagus is the tissue at the bottom of the view which contains nonkeratinized squamous epithelium folded around the central lumen.

  1. Pseudostratified epithelium (126) – Access a section of the trachea and esophagus by following the link:

http://141.214.65.171/Histology/Respiratory%20System/126_HISTO_40X.svs/view.apml?

  • Notes: A portion of the trachea is the tissue at the top of the view. Locate and zoom in on the pseudostratified epithelial tissue lining the trachea and note that all of the cells maintain connection with the basal lamina despite some being much taller than others. Locate the ciliated apical surface.

  1. Transitional epithelium, non-distended, rat (19-2) – Access a section of non-distended rat ureter by following the link:

http://141.214.65.171/Histology/Urinary%20System/019-2_HISTO_40X.svs/view.apml?

  • Notes: The transitional epithelium is folded in the middle of the view surrounding the lumen of the ureter. Zoom in and note the dome-shaped surface cells.

  1. Transitional epithelium, distended, rat (19-1) – Access a section of distended rat ureter by following the link: http://141.214.65.171/Histology/Urinary%20System/019-1_HISTO_20X.svs/view.apml?

    • Notes: Compare this section to the non-distended ureter section. The surface cells are much thinner and it looks like there are fewer layers.

Procedure

  1. For each provided tissue slide, zoom in and identify a representative section showing the provided epithelial tissue sub-type. Find a section where you can clearly identify the number of cell layers, cell shape, and apical vs. basal surfaces.

  2. Take a screenshot of that view.

  3. Upload the screenshot into the associated prompt in Lt.

  4. Annotate the image to clearly identify:

    1. Simple vs. stratified tissue

    2. Shape of the cells in the epithelial layer

    3. Apical surface

    4. Basal surface

  5. Repeat steps 1-4 for each tissue prompt.

Source Material

University of Michigan Virtual Microscope: https://histology.medicine.umich.edu/

Connective Tissues

Associated SLOs

4. 5. 6. 7.

8.

9. Identify the major structures of the cells in the tissues observed – nuclei, cell membrane/cilia, extracellular material (fibers and matrix), specialized arrangements of cells

Required Materials

• Your TA – You will likely find this challenging at first as you acclimate to looking at tissue sections. Your TA will be happy to help you with some tips about how best to approach finding some of the specific features of these tissues.

  1. Virtual Microscope – Loose connective tissue (29) – Access a section of the submucosa of the small intestine by following the link:

http://141.214.65.171/Histology/Basic%20Tissues/Epithelium%20and%20CT/0291_HISTO_40X.svs/view.apml?X=-0.0322501793170344&Y=-

0.0796833991768999&zoom=6.25&navwindow=0

  • Notes: In the lighter staining region of the tissue you can find irregular, wavy collagen fibers surrounded by a significant amount of clear ground substance. Fibroblasts can be seen scattered throughout the tissue which are the cells that make the extracellular matrix. The lamina propria, which can be found just underneath the darker staining mucosal epithelium, is another example of loose connective tissue on this slide. It is harder to make out individual features in the lamina propria because it is filled with white blood cells.

  1. Virtual Microscope – Adipose tissue (152) – Access a section of the pharynx by following the link:

http://141.214.65.171/Histology/Basic%20Tissues/Epithelium%20and%20CT/152_HISTO_20X.svs/view

.apml?X=0.0146807193849723&Y=0.00803494799636945&Zoom=25.0

  • Notes: Find the large clear circles clustered together on this slide. Identify the nuclei that have been pushed to the periphery of the cells by the single large fat droplet in each adipocyte.

  1. Virtual Microscope – Reticular tissue (28) – Access a section of a lymph node by following the link:

http://141.214.65.171/Histology/Basic%20Tissues/Epithelium%20and%20CT/0282_HISTO_40X.svs/view.apml?

  • Notes: Zoom in to identify the fine black fibrils providing a structural support network to surrounding lymphocytes in the lymph node.

  1. Virtual Microscope – Dense irregular tissue (33) – Access a section of the skin by following the link:

http://141.214.65.171/Histology/Basic%20Tissues/Epithelium%20and%20CT/033_HISTO_20X.svs/view .apml?

  • Notes: Find the dermis which is deep to the epidermis (found at the bottom of your view). Note the irregular pattern of collagen (orange) and elastic (purple/black) fibers throughout the tissue.

  1. Virtual Microscope – Dense regular tissue, collagenous (106) – Access a section of the plantar skin including a tendon by following the link: http://141.214.65.171/Histology/Basic%20Tissues/Epithelium%20and%20CT/106_HISTO_40X.svs/view .apml?

    • Notes: At the top of the view is a portion of a tendon which is made of collagen-rich dense regular connective tissue. Zoom in to see the regular, wavy pattern to the arrangement of the collagen fibers. Note fibroblasts found between the fibers.

  2. Virtual Microscope – Dense regular tissue, elastic (88) – Access a section of the aorta by following the link:

http://141.214.65.171/Histology/Cardiovascular%20System/088_HISTO_20X.svs/view.apml?X=0.0849

156577983365&Y=0.131259364204137&zoom=50

  • Notes: Zoom in to see the regular arrangement of elastin fibers instead of collagen fibers. Compare to the previous slide.

  1. Virtual Microscope –Hyaline cartilage (40N) – Access a section of the trachea by following the link:

http://141.214.65.171/Histology/Basic%20Tissues/Epithelium%20and%20CT/040_HISTO_40X.svs/view

.apml o Notes: Find the portions of the cartilaginous rings on either side of the view. Find individual lacunae with integrated chondrocytes. There are abundant collage fibers in the matrix that are too small to resolve and give the matrix a glassy appearance.

  1. Virtual Microscope – Elastic cartilage (44H) – Access a section of the epiglottis by following the link:

http://141.214.65.171/Histology/Basic%20Tissues/Cartilage%20and%20Bone/044H_HISTO_20X.svs/vi ew.apml o Notes: As with hyaline cartilage, find individual lacunae with integrated chondrocytes. You’ll notice that elastic cartilage contains more cells than hyaline cartilage.

  1. Virtual Microscope – Fibrocartilage (045) – Access a section of an intervertebral disc by following the link:

http://141.214.65.171/Histology/Basic%20Tissues/Cartilage%20and%20Bone/045_HISTO_40X.svs/vie wapml?x=0.1599460480&y=0.3089346550&zoom=25.0000000000&transform=

  • Notes: Note the fibrous pattern of the collagen fibers with integrated lacunae and chondrocytes.

  1. Virtual Microscope – Bone (93B) – Access a section of compact bone by following the link:

http://virtualslides.med.umich.edu/Histology/Basic%20Tissues/Cartilage%20and%20Bone/093B_HIST O_40X.svs/view.apml?

  • Notes: Identify osteons, concentric lamellae, interstitial lamellae, osteocytes, lacunae, and canaliculi integrated in the crystalized matrix.

  1. Virtual Microscope – Blood (86X) – Access a blood smear by following the link:

http://141.214.65.171/Histology/Cardiovascular%20System/Hematology%20Lab%20Normal%20Smear

%2086X%20thick.svs/view.apml?X=-0.00276497289957539&Y=-

0.00619880963431794&zoom=7.30463170781473 o Notes: Most abundant are red blood cells which you cannot avoid seeing everywhere. Mature red blood cells do not have nuclei so you will not find dark staining regions inside. The small dark spots outside of cells are platelets and you can also find examples of white blood cells.

Procedure

  1. For each provided tissue slide, zoom in and identify a representative section showing the provided connective tissue sub-type. Find a section where you can clearly identify the unique structural features described in the background information.

  2. Take a screenshot of that view.

  3. Upload the screenshot into the associated prompt in Lt.

  4. Annotate the image to clearly identify:

    1. Specialized cell types in that connective tissue sub-type

    2. Any defining structural characteristics (collagen fibers, lacunae, etc.) in the ground substance of that connective tissue sub-type.

  5. Repeat steps 1-4 for each Lt prompt.

Source Material

University of Michigan Virtual Microscope: https://histology.medicine.umich.edu/

Lesson 4: Histology – Muscle & Nervous Tissues

Created by Dan McNabney

Introduction

In this lesson you will continue exploring the primary tissues types via muscle and nervous tissue. You will apply this lesson to describe the anatomy and physiology of the appendages and trunk in the latter modules of this course.

Student learning outcomes (SLOs):

By the end of this lesson you will be able to:

  1. List and describe the sub-types of muscle tissue

  2. Identify each of the muscle tissue sub-types via a picture or diagram

  3. List an example of a location for each tissue sub-type

  4. Summarize the function for each tissue sub-type

  5. Describe the structural modifications that contribute to specific function for each tissue type & sub-type

  6. Identify the major structures of the cells in the tissues observed – nuclei, cell membrane/cilia, extracellular material (fibers and matrix), specialized arrangements of cells

  7. Differentiate between a muscle organ, muscle fascicle, and muscle fiber.

  8. Name & identify the connective tissue layers that wrap the components of muscle: deep fascia, epimysium, perimysium, and endomysium.

  9. Identify and provide examples of muscles types based on fascicle orientation: fusiform, parallel, triangular, unipennate, bipennate, multipennate, and circular.

  10. Define and provide examples of the functional classes of muscles: prime mover, synergist, antagonist, and fixator.

  11. Differentiate between the central and peripheral nervous systems

  12. Identify structures of a generic neuron on a model or diagram

  13. Classify neurons according to structure and function and recognize the relationship between neuron structure and function.

    1. Structural Classes – multipolar, bipolar, unipolar, and anaxonic

    2. Functional Classes – sensory (afferent), interneurons, and motor (efferent)

  14. Describe the general anatomy of a nerve

Background Information

In the previous lesson the four primary tissue types were defined as epithelial, connective, muscle, and nervous (Figure 4.1). Epithelial and connective tissues were described in detail leaving muscle and nervous tissue for this lesson. Muscle tissue is excitable, responding to stimulation and contracting to provide movement. Nervous tissue is also excitable, allowing the propagation of electrochemical signals in the form of nerve impulses that allow communication between different regions of the body.

Figure 4.1 The four primary tissue types are exemplified in nervous tissue, stratified squamous epithelial tissue, cardiac muscle tissue, and connective tissue in small intestine. Clockwise from nervous tissue, LM × 872, LM × 282, LM × 460, LM × 800. (Micrographs provided by the Regents of University of Michigan Medical

School © 2012)

Muscle Tissue

Muscle Tissue Types

Muscle tissue is characterized by properties that allow movement. Muscle cells are excitable meaning that they can respond to a stimulus. They are also contractile, meaning they can shorten and generate a force. When attached between two movable objects (bones) muscle contractions cause the bones to move. Some muscle movement is voluntary, which means it is under conscious control. For example, when a person uses their arm to open a book and read a chapter on anatomy. Other movements are involuntary, meaning they are not under conscious control, such as the change in the diameter of your pupil in response to bright light. Muscle tissue is classified into three types according to structure and function: skeletal, cardiac, and smooth (Table 4.1 Figure 4.2).

Table 4.1 Muscle Tissue Types
Tissue Cell Structure

Major Function

Location

SkeletalLong cylindrical fiber, striated, many peripherally located nuclei

Voluntary movement, produces heat, protects organs

Attached to bones and around entrance points to body

CardiacShort, branched, striated, single central nucleus

Contracts to move blood in the heart

Heart

SmoothShort, spindle-shaped, single nucleus in each fiber

Involuntary movement of many materials including food, air during respiration, secretions, and the flow of blood through blood vessels

Walls of major organs and passageways

Figure 4.2 Muscle Tissue (a) Skeletal muscle (b) Smooth muscle (c) Cardiac muscle. All images are LM × 1600 (Micrographs provided by the Regents of University of Michigan Medical School © 2012)

Skeletal muscle is attached to bones and its contraction makes possible locomotion, facial expressions, posture, and other voluntary movements of the body. Forty percent of your body mass is made up of skeletal muscle. Another function of skeletal muscle is to generate heat as a byproduct of their contraction and thus participate in thermal homeostasis. Shivering is an involuntary contraction of skeletal muscles in response to perceived lower than normal body temperature. Under a light microscope, muscle cells appear striated with many nuclei squeezed along the membranes. The striation is due to the regular alternation of the contractile proteins actin and myosin, along with the structural proteins that couple the contractile proteins to connective tissues. The cells are multinucleated as a result of the fusion of the many myoblasts that fuse to form each long muscle fiber. The gross anatomy of skeletal muscle is considered further below.

Cardiac muscle forms the contractile walls of the heart. The cells of cardiac muscle, known as cardiomyocytes, also appear striated under the microscope. Unlike skeletal muscle fibers, cardiomyocytes are single, branched cells typically with a single centrally located nucleus. Cardiomyocytes attach to one another with specialized cell junctions called intercalated discs which have both anchoring junctions and gap junctions. Attached cells form long, branching cardiac muscle fibers that are, essentially, a mechanical and electrochemical syncytium allowing the cells to synchronize their actions.

Smooth muscle tissue contraction is responsible for involuntary movements in the internal organs. It forms the contractile component of the digestive, urinary, and reproductive systems as well as the airways and arteries. Each cell is small, spindle-shaped, has a single nucleus, and no visible striations.

Skeletal Muscle Anatomy

Gross Anatomy & Connective Tissue Layers

Each skeletal muscle is an organ that consists of various integrated tissues. These tissues include skeletal muscle cells (called muscle fibers), blood vessels, nerve fibers, and connective tissue. Each skeletal muscle has three layers of connective tissue that enclose it, provide structure to the muscle as a whole, and also compartmentalize the muscle fibers within and around other muscles (Figure 4.3). Each muscle is wrapped in a sheath of dense, irregular connective tissue called the epimysium, which allows a muscle to contract and move powerfully while maintaining its structural integrity independent of surrounding structures.

Figure 4.3 Connective Tissue Layers of Skeletal Muscle.

Inside each skeletal muscle, muscle fibers are organized into individual bundles, each called a fascicle, by a middle layer of connective tissue called the perimysium. This fascicular organization is common in muscles of the limbs; it allows the nervous system to trigger a specific movement of a muscle by activating a subset of muscle fibers within a fascicle of the muscle. Inside each fascicle, each muscle fiber is encased in a thin connective tissue layer of collagen and reticular fibers called the endomysium. The endomysium contains the extracellular fluid, nutrients, blood vessels, and nerves needed to support the muscle fiber.

In skeletal muscles that work with tendons to pull on bones, the collagen in the three tissue layers intertwines with the collagen of a tendon. At the other end of the tendon, it fuses with the periosteum coating the bone. The tension created by contraction of the muscle fibers is then transferred though connective tissue layers to the tendon, and then to the periosteum to pull on the bone for movement of the skeleton. In other places, the connective tissue layers may fuse with a broad, tendon-like sheet called an aponeurosis, or to fascia, the connective tissue between skin and bones.

Fascicle Organization Patterns

Based on the patterns of fascicle arrangement, skeletal muscles can be classified in several ways which are described in Table 4.2 and shown in Figure 4.4.

Table 4.2 Muscle Shapes
Muscle ShapeDescription

Example

Parallel (fusiform)Fibers are arranged in the same direction along the long axis of the muscle. Spindle-shaped with a central, large belly.

Biceps brachii

Parallel (nonfusiform)Fibers are arranged in the same direction along the long axis of the muscle with no belly.

Sartorius

CircularAlso called sphincters. Surrounds an opening to control the size of the opening.

Orbicularis oculi

ConvergentWidespread muscle fibers come to a single, slender attachment point.

Pectoralis major

UnipennateTendon runs through the central region of the muscle with muscle fibers located on one side of the tendon.

Extensor digitorum

BipennateTendon runs through the central region of the muscle with muscle fibers located on both sides of the tendon.

Rectus femoris

MultipennateTendon runs through the central region of the muscle with muscle fibers wrapping the tendon on all sides to form separate fascicles.

Deltoid

Figure 4.4 Muscle Shapes and Fiber Alignment. Skeletal muscles of the body typically come in seven different general shapes.

Skeletal Muscles and Body Movement

To move the skeleton a skeletal muscle must be attached to a fixed part of the skeleton. The movable end of the muscle that attaches to the bone being pulled is called the muscle’s insertion, and the end of the muscle attached to a fixed (stabilized) bone is called the origin. In many cases the origin is the proximal attachment point while the insertion is the distal attachment point.

Although a number of muscles may be involved in an action, the principal muscle involved is called the prime mover, or agonist. To lift a cup, a muscle called the biceps brachii is the prime mover; however, because it can be assisted by the brachialis, the brachialis is called a synergist in this action. A synergist can also be classified as a fixator if that muscle’s action stabilizes the bone that is the attachment for the prime mover’s origin.

Figure 4.5 Prime Movers and Synergists. The biceps brachii flex the lower arm. The brachoradialis, in the forearm, and brachialis, located deep to the biceps in the upper arm, are both synergists that aid in this motion.

Nervous Tissue

Nervous tissue is organized into two major regions: the central and peripheral nervous systems. The central nervous system (CNS) is the brain and spinal cord, and the peripheral nervous system (PNS) is everything else (Figure 4.6). The brain is contained within the cranial cavity of the skull, and the spinal cord is contained within the vertebral cavity of the vertebral column. It is a bit of an oversimplification to say that the CNS is what is inside these two cavities and the peripheral nervous system is outside of them, but that is one way to start to think about it. In actuality, there are some elements of the peripheral nervous system that are within the cranial or vertebral cavities. The peripheral nervous system is so named because it is on the periphery— meaning beyond the brain and spinal cord. Depending on different aspects of the nervous system, the dividing line between central and peripheral is not necessarily universal.

Figure 4.6 Central and Peripheral Nervous Systems

Nervous tissue, present in both the CNS and PNS, contains two basic types of cells: neurons and glial cells. Neurons are the primary type of cell that most anyone associates with the nervous system. They are responsible for the computation and communication that the nervous system provides. They are electrically active and release chemical signals to target cells. Glial cells, or glia, are known to play a supporting role for nervous tissue. Ongoing research pursues an expanded role that glial cells might play in signaling, but neurons are still considered the basis of this function. Neurons are important, but without glial support they would not be able to perform their function.

To describe the functional divisions of the nervous system, it is important to understand the structure of a neuron. Neurons are cells and therefore have a soma, or cell body, but they also have extensions of the cell; each extension is generally referred to as a process. There is one important process that every neuron has called an axon, which is the fiber that connects a neuron with its target. Another type of process that branches off from the soma is the dendrite. Dendrites are responsible for receiving most of the input from other neurons. Looking at nervous tissue, there are regions that predominantly contain cell bodies and regions that are largely composed of just axons. These two regions within nervous system structures are often referred to as gray matter (the regions with many cell bodies and dendrites) or white matter (the regions with many axons). The colors ascribed to these regions are what would be seen in “fresh,” or unstained, nervous tissue. Gray matter is not necessarily gray. It can be pinkish because of blood content, or even slightly tan, depending on how long the tissue has been preserved. But white matter is white because axons are insulated by a lipidrich substance called myelin.

Cell bodies of neurons or bundles of axons can be identified as discrete anatomical structures and, therefore, can be named. Those names are specific to whether the structure is central or peripheral. A localized collection of neuron cell bodies in the CNS is referred to as a nucleus. In the PNS, a cluster of neuron cell bodies is referred to as a ganglion. A bundle of axons, or fibers, found in the CNS is called a tract whereas the same thing in the PNS would be called a nerve. There is an important point to make about these terms, which is that they can both be used to refer to the same bundle of axons. When those axons are in the PNS, the term is nerve, but if they are CNS, the term is tract. The most obvious example of this is the axons that project from the retina into the brain. Those axons are called the optic nerve as they leave the eye, but when they are inside the cranium, they are referred to as the optic tract. There is a specific place where the name changes, which is the optic chiasm, but they are still the same axons from the same neurons.

Nerves

Nerves in the periphery are different than the central counterpart, tracts. Nerves are composed of more than just nervous tissue. They have connective tissues included in their structure, as well as blood vessels supplying the tissues with nourishment, very similar to what was described for skeletal muscle tissue. The outer surface of a nerve is a surrounding layer of fibrous connective tissue called the epineurium. Within the nerve, axons are further bundled into fascicles, which are each surrounded by their own layer of fibrous connective tissue called perineurium. Finally, individual axons are surrounded by loose connective tissue called the

endoneurium (Figure 4.7, 4.8). Nerves are associated with the region of the CNS to which they are connected, either as cranial nerves connected to the brain or spinal nerves connected to the spinal cord.

Figure 4.7 Nerve Structure. The structure of a nerve is organized by the layers of connective tissue on the outside, around each fascicle, and surrounding the individual nerve fibers (tissue source: simian). LM × 40. (Micrograph provided by the Regents of University of Michigan Medical School © 2012)

Figure 4.8 Close-Up of Nerve Trunk. Shows the endoneurium and perineurium in greater detail (tissue source: simian). LM × 1600.

Neurons

Neurons are the cells considered to be the basis of nervous tissue. They are responsible for the electrical signals that communicate information about sensations, and that produce movements in response to those stimuli, along with inducing thought processes within the brain. An important part of the function of neurons is in their structure, or shape. The three-dimensional shape of these cells makes the immense numbers of connections within the nervous system possible.

Neuron Anatomy

As you learned above, the main part of a neuron is the cell body, which is also known as the soma (soma = “body”). The cell body contains the nucleus and most of the major organelles. But what makes neurons special is that they have many extensions of their cell membranes, which are generally referred to as processes. Neurons are usually described as having one, and only one, axon—a fiber that emerges from the cell body and projects to target cells. That single axon can branch repeatedly to communicate with many target cells. It is the axon that propagates the nerve impulse, which is communicated to one or more cells. The other processes of the neuron are dendrites, which receive information from other neurons at specialized areas of contact called synapses. The dendrites are usually highly branched processes, providing locations for other neurons to communicate with the cell body. Information flows through a neuron from the dendrites, across the cell body, and down the axon. This gives the neuron a polarity—meaning that information flows in this one direction.

Figure 4.9 shows the relationship of these parts to one another.

Figure 4.9 Neuron anatomy for a generic multipolar neuron from the CNS.

Where the axon emerges from the cell body, there is a special region referred to as the axon hillock. This is a tapering of the cell body toward the axon fiber. Many axons are wrapped by an insulating substance called myelin, which is made up of glial cells. Myelin acts as insulation much like the plastic or rubber that is used to insulate electrical wires. At the end of the axon is the axon terminal, where there are usually several branches extending toward the target cell, each of which ends in an enlargement called a synaptic end bulb. These bulbs are what make the connection with the target cell at the synapse.

Neurons Classification

There are trillions of neurons in the nervous system that can be classified by many different criteria. The first way to classify them is structurally by the number of processes attached to the cell body. Using the standard model of neurons, one of these processes is the axon, and the rest are dendrites. Because information flows through the neuron from dendrites or cell bodies toward the axon, these names are based on the neuron's polarity (Figure 4.10).

Figure 4.10 Structural classification of neurons. Unipolar cells have one process that includes both the axon and dendrite. Bipolar cells have two processes, the axon and a dendrite. Multipolar cells have more than two processes, the axon and two or more dendrites.

Unipolar cells have only one process emerging from the cell. True unipolar cells are only found in invertebrate animals, so the unipolar cells in humans are more appropriately called “pseudo-unipolar” cells. Invertebrate unipolar cells do not have dendrites. Human unipolar cells have an axon that emerges from the cell body, but it splits so that the axon can extend along a very long distance. At one end of the axon are dendrites, and at the other end, the axon forms synaptic connections with a target. Unipolar cells are exclusively sensory neurons and have two unique characteristics. First, their dendrites are receiving sensory information, sometimes directly from the stimulus itself. Secondly, the cell bodies of unipolar neurons are always found in ganglia. Sensory reception is a peripheral function (those dendrites are in the periphery, perhaps in the skin) so the cell body is in the periphery, though closer to the CNS in a ganglion. The axon projects from the dendrite endings, past the cell body in a ganglion, and into the central nervous system.

Bipolar cells have two processes, which extend from each end of the cell body, opposite to each other. One is the axon and one the dendrite. Bipolar cells are not very common. They are found mainly in the olfactory epithelium (where smell stimuli are sensed), and as part of the retina.

Multipolar neurons are all of the neurons that are not unipolar or bipolar. They have one axon and two or more dendrites (usually many more). With the exception of the unipolar sensory ganglion cells, and the two specific bipolar cells mentioned above, all other neurons are multipolar.

Neurons can also be functionally classified on the basis of the role they play in the nervous system. Sensory, or afferent, neurons carry information about the environment towards the central nervous system. Interneurons are found exclusively within the central nervous system and receive information either from sensory neurons or other interneurons. Motor, or efferent, neurons receive information from interneurons or directly from sensory neurons in order stimulate responses in tissues throughout the body.

Source Material

All images and the text found in this section are a derivative of "Anatomy and Physiology" by OpenStax CNX used under CC BY 4.0. Aug 2, 2019. Download the original text for free at http://cnx.org/contents/14fb4ad739a1-4eee-ab6e-3ef2482e3e22@16.1

Activities

Muscle Tissue

Associated SLOs

  1. List and describe the sub-types of muscle tissue

  2. Identify each of the muscle tissue sub-types via a picture or diagram

  3. List an example of a location for each tissue sub-type

  4. Summarize the function for each tissue sub-type

  5. Describe the structural modifications that contribute to specific function for each tissue type & sub-type

  6. Identify the major structures of the cells in the tissues observed – nuclei, cell membrane/cilia, extracellular material (fibers and matrix), specialized arrangements of cells

Required Materials

• Your TA – You will likely find this challenging at first as you acclimate to looking at tissue sections. Your TA will be happy to help you with some tips about how best to approach finding some of the specific features of these tissues.

  1. Virtual Microscope – Skeletal Muscle (58Thin) – Access a section of skeletal muscle by following the link:

http://141.214.65.171/Histology/Basic%20Tissues/Muscle/058thin_HISTO_83X.svs/view.apml o Notes: Be sure to zoom in enough to be able to see the stratified nature of skeletal muscle tissue.

  1. Virtual Microscope – Smooth Muscle (155) – Access a section of the gastro-esophageal junction by following the link:

http://141.214.65.171/Histology/Digestive%20System/Pharynx%20Esophagus%20and%20Stomach/15

5_HISTO_40X.svs/view.apml?x=-0.2501304009&y=-0.0630738518&zoom=20.0000000000&transform= o Notes: You can find layers smooth muscle cells in both longitudinal and transverse section.

  1. Virtual Microscope – Cardiac Muscle (98-1) – Access a section of the heart ventricle by following the link:

http://141.214.65.171/Histology/Cardiovascular%20System/098-

1_HISTO_40X.svs/view.apml?x=0.3503422329&y=-0.1508023777&zoom=25.0000000000&transform= o Notes: Be sure to zoom in enough to be able to see the stratified nature of cardiac muscle tissue and to identify intercalated discs that adjoin cardiac muscle cells.

Procedure

  1. For each provided tissue slide, zoom in and identify a representative section showing the provided muscle tissue sub-type. Find a section where you can clearly identify the unique structural features described in the background information.

  2. Take a screenshot of that view.

  3. Upload the screenshot into the associated prompt in Lt.

  4. Repeat steps 1-4 for each skeletal muscle tissue type.

Check Your Understanding

1. Name one unique structural feature for each muscle tissue type.

Source Material

University of Michigan Virtual Microscope: https://histology.medicine.umich.edu/

Skeletal Muscle Anatomy

Associated SLOs

  1. Differentiate between a muscle organ, muscle fascicle, and muscle fiber.

  2. Name & identify the connective tissue layers that wrap the components of muscle: deep fascia, epimysium, perimysium, and endomysium.

  3. Identify and provide examples of muscles types based on fascicle orientation: fusiform, parallel, triangular, unipennate, bipennate, multipennate, and circular.

  4. Define and provide examples of the functional classes of muscles: prime mover, synergist, antagonist, and fixator.

Required Materials

• None

Procedure

This activity will be completed individually or in small groups. Refer to the background information to answer the questions below.

Check Your Understanding

  1. List the connective tissue layers that surround skeletal muscle from superficial to deep.

  2. Complete the table below on muscle shapes based on fascicle orientation.

Muscle Shape

Description

Examples

Fusiform
Parallel
Triangular
Unipennate
Bipennate
Multipennate

Nervous Tissue

Associated SLOs

  1. Differentiate between the central and peripheral nervous systems

  2. Identify structures of a generic neuron on a model or diagram

  3. Classify neurons according to structure and function and recognize the relationship between neuron structure and function.

    1. Structural Classes – multipolar, bipolar, unipolar, and anaxonic

    2. Functional Classes – sensory (afferent), interneurons, and motor (efferent)

  4. Describe the general anatomy of a nerve

Required Materials

• None

Procedure

This activity will be completed individually or in small groups. Refer to the background information to answer the questions below.

Check Your Understanding

  1. Distinguish between the central and peripheral nervous systems by listing examples of unique structures found within each division.

  2. For each given functional neuron class, list the structural type(s) of neurons typically found and summarize in one sentence how that neuron structure contributes to function.

    1. Sensory (afferent) neurons

    2. Interneurons

    3. Motor (efferent) neurons

  3. Summarize the differences between nerves, neurons, and nerve fibers. Your answer should include definitions of each and a brief statement on how they differ.

Lesson 5: The Integumentary System

Created by Dan McNabney

Introduction

In this lesson you will describe the structure and major functions of the integumentary system.

Student learning outcomes (SLOs):

By the end of this lesson you will be able to:

  1. List and summarize several functions of the integumentary system

  2. Distinguish between thin and thick skin based on appearance, structure, and function

  3. Distinguish the epidermis from the dermis

  4. Identify and describe the layers of the epidermis and dermis

  5. Identify various accessory structures of the integument on a model or a picture/diagram

Background Information

The integumentary system refers to the skin and its accessory structures, and is responsible for much more than simply lending to your outward appearance. In the adult human body, the skin makes up about 16 percent of body weight and covers an area of 1.5 to 2 m2. In fact, the skin and accessory structures are the largest organ system in the human body.

Although you may not typically think of the skin as an organ, it is an organ since it includes each of the four primary tissue types that work together as a single structure to perform unique and critical functions. The skin and its accessory structures make up the integumentary system, which carries out several functions including physical protection, thermoregulation, serving as a major sensory organ, playing a key role in your immune systems, and is a major site of lipid storage.

The skin is made of multiple layers of cells and tissues, which are held to underlying muscles and other structures by connective tissue (Figure 5.1). The deeper layer of skin is well vascularized (has numerous blood vessels) and has numerous sensory structures and nerve fibers to allow communication to and from the brain.

Figure 5.1 The Integumentary System. The skin is composed of two main layers: the epidermis and the dermis which includes blood vessels, hair follicles, sweat glands, and other structures. Beneath the dermis lies the hypodermis, which is composed mainly of loose connective and fatty tissues.

The Epidermis

The epidermis is composed of keratinized, stratified squamous epithelium. It is made of four or five epithelial layers, depending on its location in the body. Like other epithelial tissues it does not have any blood vessels within it and is avascular. Thick skin has five distinct layers of cells in the epidermis and is only found on the palms of the hands and the soles of the feet. Thin skin is found everywhere else on the body and has only four layers. From deep to superficial, these layers are the stratum basale, stratum spinosum, stratum granulosum, stratum lucidum and stratum corneum (Figure 5.2). The stratum lucidum is the layer only found in thick skin and is absent in thin skin. Major features of each layer are summarized in Table 5.1.

Figure 5.2 The Epidermis.

Keratinocytes are the dominant cell type in all of the layers except the stratum basale. Keratinocytes manufacture, modify, and store the protein keratin which is an intracellular fibrous protein that gives hair, nails, and skin their hardness and water-resistant properties.

Table 5.1 Epidermal layers listed deep to superficial
Epidermal LayerMajor Features
Stratum basaleContains a single layer of cuboidal stem cells that give rise to keratinocytes, tactile cells for touch sensation, and melanocytes for pigment production
Stratum spinosum8-10 layers of keratinocytes that begin synthesizing keratin and glycolipids for waterproofing
Stratum granulosum3-5 layers of keratinocytes with thickened cell membranes that accumulate large amounts of keratin, keratohyalin granules, and glycolipids
Stratum lucidumThin layer of dead keratinocytes only in thick skin
Stratum corneum15-30 layers of dead, keratinized keratinocytes bound together in sheets

The Dermis

The underlying dermis contains blood and lymph vessels, nerves, and other accessory structures, such as hair follicles and sweat glands. The dermis is made of two layers of connective tissue that compose an interconnected mesh of elastin and collagenous fibers which are produced by fibroblasts (Figure 5.3).

Figure. 5.3 Layers of the dermis.

The papillary layer is made of loose, areolar connective tissue, which means the collagen and elastin fibers of this layer form a loose mesh. This superficial layer of the dermis projects into the stratum basale of the epidermis to form finger-like dermal papillae (see Figure 5.7). Within the papillary layer are fibroblasts, a small number of fat cells (adipocytes), and an abundance of small blood vessels. In addition, the papillary layer contains phagocytes, defensive cells that help fight bacteria or other infections that have breached the skin.

This layer also contains lymphatic capillaries, nerve fibers, and touch receptors called the Meissner corpuscles.

Underlying the papillary layer is the much thicker reticular layer, composed of dense, irregular connective tissue. This layer is well vascularized and has a rich nerve supply. The reticular layer appears net-like due to a tight meshwork of fibers. Elastin fibers provide some elasticity to the skin, enabling movement. Collagen fibers provide structure and tensile strength, with strands of collagen extending into both the papillary layer and the hypodermis.

The Hypodermis

The hypodermis (also called the subcutaneous layer or superficial fascia) is a layer directly below the dermis and serves to connect the skin to the underlying fascia of the bones and muscles. It is not strictly a part of the skin, although the border between the hypodermis and dermis can be difficult to distinguish. The hypodermis consists of well-vascularized, loose, areolar connective tissue and adipose tissue, which functions as a mode of fat storage and provides insulation and cushioning for the integument.

Accessory Structures of the Integument

Accessory structures of the integument include hair, nails, and sweat glands.

Hair

Hair is a keratinous filament growing out of the epidermis primarily made of dead, keratinized cells. Strands of hair originate in an epidermal penetration of the dermis called a hair follicle. The hair shaft is the part of the hair not anchored to the follicle, and much of this is exposed at the skin’s surface. The rest of the hair, which is anchored in the follicle, lies below the surface of the skin and is referred to as the hair root. The hair root ends deep in the dermis at the hair bulb, and includes a layer of mitotically active basal cells called the hair matrix which continually divide in order produce the new cells of a growing hair. The hair bulb surrounds the hair papilla, which is made of connective tissue and contains blood capillaries and nerve endings from the dermis (Figure 5.4).

Figure 5.4 The structure of a hair and a hair follicle.

The wall of the hair follicle is made of three concentric layers of cells. The cells of the internal root sheath surround the root of the growing hair and extend just up to the hair shaft. They are derived from the basal cells of the hair matrix. The external root sheath, which is an extension of the epidermis, encloses the hair root. It is made of basal cells at the base of the hair root and tends to be more keratinous in the upper regions. The glassy membrane is a thick, clear connective tissue sheath covering the hair root, connecting it to the tissue of the dermis.

Hair serves a variety of functions, including protection, sensory input, thermoregulation, and communication. For example, hair on the head protects the skull from the sun. The hair in the nose and ears, and around the eyes (eyelashes) defends the body by trapping and excluding dust particles that may contain allergens and microbes. Hair of the eyebrows prevents sweat and other particles from dripping into and bothering the eyes. Hair also has a sensory function due to sensory innervation by a hair root plexus surrounding the base of each hair follicle. Hair is extremely sensitive to air movement or other disturbances in the environment, much more so than the skin surface. This feature is also useful for the detection of the presence of insects or other potentially damaging substances on the skin surface. Each hair root is connected to a smooth muscle called the arrector pili, or piloerector muscle that contracts in response to nerve signals from the sympathetic nervous system, making the external hair shaft “stand up.” The primary purpose for this is to trap a layer of air to add insulation. This is visible in humans as goose bumps and even more obvious in other animals, such as when a frightened cat raises its fur.

Nails

The nail bed is a specialized structure of the epidermis that is found at the tips of our fingers and toes. The nail body is formed on the nail bed, and protects the tips of our fingers and toes as they are the farthest extremities and the parts of the body that experience the maximum mechanical stress (Figure 5.5). In addition, the nail body forms a back-support for picking up small objects with the fingers. The nail body is composed of densely packed dead keratinocytes. The epidermis in this part of the body has evolved a specialized structure upon which nails can form. The nail body forms at the nail root, which has a matrix of proliferating cells from the stratum basale that enables the nail to grow continuously. The lateral nail fold overlaps the nail on the sides, helping to anchor the nail body. The nail fold that meets the proximal end of the nail body forms the nail cuticle, also called the eponychium. The nail bed is rich in blood vessels, making it appear pink, except at the base, where a thick layer of epithelium over the nail matrix forms a crescent-shaped region called the lunula (the “little moon”). The area beneath the free edge of the nail, furthest from the cuticle, is called the hyponychium. It consists of a thickened layer of stratum corneum.

Figure. 5.5 Structure of a nail

Sweat Glands

When the body becomes warm, sudoriferous glands produce sweat to cool the body. There are two types of sweat glands, merocrine and apocrine, each secreting slightly different products.

Merocine sweat glands (also called eccrine sweat glands) produce a hypotonic sweat for thermoregulation. These glands are found all over the skin’s surface, but are especially abundant on the palms of the hand, the soles of the feet, and the forehead. They are coiled glands lying deep in the dermis, with the duct rising up to a pore on the skin surface, where the sweat is released (Figure. 5.1). This type of sweat is composed mostly of water, with some salt, antibodies, traces of metabolic waste, and dermicidin, an antimicrobial peptide. Eccrine glands are a primary component of thermoregulation in humans and thus help to maintain homeostasis.

Apocrine sweat glands are usually associated with hair follicles in densely hairy areas, such as armpits and genital regions. Apocrine sweat glands are larger than eccrine sweat glands and lie deeper in the dermis, sometimes even reaching the hypodermis, with the duct normally emptying into the hair follicle. In addition to water and salts, apocrine sweat includes organic compounds that make the sweat thicker and subject to bacterial decomposition and subsequent smell.

Source Material

All images and the text found in this section are a derivative of "Anatomy and Physiology" by OpenStax CNX used under CC BY 4.0. Aug 2, 2019. Download the original text for free at http://cnx.org/contents/14fb4ad739a1-4eee-ab6e-3ef2482e3e22@16.1

Activities

Anatomy of the Integument

Associated SLOs

  1. List and summarize several functions of the integumentary system

  2. Distinguish the epidermis from the dermis

Required Materials

  • Integumentary system model

  • Virtual Microscope – Thick skin (106) - Access a section from the sole of the foot by following the link:

http://141.214.65.171/Histology/Basic%20Tissues/Epithelium%20and%20CT/106_HISTO_40X.svs/view .apml

Procedure

  1. Using the integumentary system model and the virtual microscope slide, view and identify the epidermis, dermis, and hypodermis. Some major features to look for:

    • Note the absence of blood vessels in the epidermis. Nourishment is obtained by diffusion from capillaries in the underlying dermis.

    • The interface of the epidermis and dermis is uneven. A pattern of ridges and grooves on the deep surface of the epidermis fit a complementary pattern of corrugations of the underlying dermis. The projections of the dermis are called dermal papillae and those of the epidermis, epidermal ridges (pegs), because of their appearance in vertical sections of the skin. However, these terms are not always accurately descriptive of the three dimensional configuration of the region of interdigitation. With low power, identify the epidermal ridges and dermal papillae.

    • The fatty layer beneath the dermis, the subcutaneous connective tissue, is the hypodermis or superficial fascia.

  2. Zoom in as necessary to find a region that clearly illustrates all three sections and then take a screenshot of that view.

  3. Upload the screenshot into the associated prompt in Lt.

  4. Annotate the image to clearly identify the three sections.

Check Your Understanding

  1. Using the background information as your source, list three different functions associated with the integumentary system.

  2. Choose one of the three functions from the previous question and describe a specific structural feature that contributes to the integumentary system’s ability to carry out that function.

  3. Summarize in one sentence what you looked for on the microscope slide to distinguish between the epidermis and dermis.

Source Material

University of Michigan Virtual Microscope: https://histology.medicine.umich.edu/

The Epidermis

Associated SLOs

2. Distinguish between thin and thick skin based on appearance, structure, and function

4. Identify and describe the layers of the epidermis and dermis

Required Materials

  • Integumentary system model

  • Virtual Microscope – Thick skin (106) - Access a section from the sole of the foot by following the link:

http://141.214.65.171/Histology/Basic%20Tissues/Epithelium%20and%20CT/106_HISTO_40X.svs/view .apml

  • Virtual Microscope – Thin skin (105-2) - Access a section of thin skin by following the link:

http://141.214.65.171/Histology/Integumentary%20System/105-2_HISTO_40X.svs/view.apml

Procedure

  1. Using the thick and thin skin virtual microscope slides, view and identify all of the layers of the epidermis. Some major features to look for:

    • Stratum basale: A single layer of cuboidal to columnar cells resting on and separated from the underlying dermis by a basal lamina.

    • Stratum spinosum: Several layers in thickness. In reduced light, the cells appear interconnected by "spinous" processes.

    • Stratum granulosum: A few layers of cells that are characterized by numerous, dense, basophilic granules. These are keratohyaline and membrane coating granules.

    • Stratum lucidum: smooth, seemingly translucent layer of the epidermis located just above the stratum granulosum and below the stratum corneum.

    • Stratum corneum: Note the striking change in cellular morphology. The cells are flattened, devoid of nuclei or cytoplasmic granules, and filled with mature keratin, and arranged in large sheets.

  2. For both thick and thin skin, zoom in as necessary to find a region that clearly illustrates all epidermal layers and then take a screenshot of that view.

  3. Upload the screenshots into the associated prompts in Lt.

  4. Annotate the images to clearly identify all present epidermal layers.

Check Your Understanding

4. Write the correct sequence of the epidermal layers that a surgeon would cut through during a surgery performed on thin skin.

Source Material

University of Michigan Virtual Microscope: https://histology.medicine.umich.edu/

Dermis

Associated SLOs

4. Identify and describe the layers of the epidermis and dermis

Required Materials

  • Integumentary system model

  • Virtual Microscope – Thick skin (106) - Access a section from the sole of the foot by following the link:

http://141.214.65.171/Histology/Basic%20Tissues/Epithelium%20and%20CT/106_HISTO_40X.svs/view .apml

Procedure

  1. Using the thick skin virtual microscope slide, view and identify all of the layers of the dermis.

  2. Zoom in as necessary to find a region that clearly illustrates both dermal layers and then take a screenshot of that view.

  3. Upload the screenshot into the associated prompts in Lt.

  4. Annotate the image to clearly identify the dermal layers.

Check Your Understanding

  1. Name the primary type of connective tissue found in each dermal layer.

  2. List three accessory structures found in the dermis that contribute to the overall function of the integumentary system.

Source Material

University of Michigan Virtual Microscope: https://histology.medicine.umich.edu/

Accessory Structures

Associated SLOs

5. Identify various accessory structures of the integument on a model or a picture/diagram

Required Materials

  • Integumentary system model

  • Virtual Microscope – Scalp hair (107) - Access a section from the scalp by following the link:

http://141.214.65.171/Histology/Integumentary%20System/107_HISTO_40X.svs/view.apml?x=0.1797 414425&y=0.1386101965&zoom=6.4905471519&transform=

  • Virtual Microscope – Thick skin (112 & 112N) - Access sections of thick skin that include eccrine sweat glands by following the links:

o 112 - Ducts in crossection

http://141.214.65.171/Histology/Integumentary%20System/112_HISTO_40X.svs/view.apml?x=-

0.1451530172&y=-0.1029983767&zoom=19.3806699468&transform= o 112N - Coiled eccrine sweat glands

http://141.214.65.171/Histology/Integumentary%20System/112N_HISTO_40X.svs/view.apml?x=-

0.1292488527&y=0.2329551176&zoom=10.0371983993&transform=

  • Virtual Microscope –Axilla (111) - Access a section of the axillary region that includes apocrine sweat glands by following the link: http://141.214.65.171/Histology/Integumentary%20System/111_HISTO_40X.svs/view.apml

Procedure

  1. Use the virtual microscope slides to view and identify accessory structures associated with the integumentary system.

    • Scalp hair (107) - Underneath the thin epidermis, there are numerous circular to oblong structures with a hollow or yellow-brown center and surrounding cellular layers which are hair follicles that are sectioned transversely or tangentially at different levels. The keratinized component of the hair occupies the central cavity of the follicle, and appears yellow-brown when present. However, the hair often falls out during tissue processing, in which case the central cavity will appear to be occupied by just empty space. Note also the presence of sebaceous glands and the arrector pili muscle near some of the hair follicles.

    • Thick skin (112) – Note the stratified (two-layer) cuboidal epithelial ducts.

    • Thick skin (112N) – Note the numerous coiled eccrine sweat glands are located at the junction of dermis and hypodermis.

    • Axilla (111) - Look for epithelial cells that are cuboidal to columnar with distinct apical secretory granules.

  2. Zoom in as necessary to find a region that clearly illustrates each of the following and then take a screenshot of that view.

o Hair follicle including a hair o Merocrine (eccrine) sweat gland o Apocrine sweat gland

  1. Upload the screenshots into the associated prompts in Lt.

Check Your Understanding

7. Label the picture of a fingernail.

Source Material

University of Michigan Virtual Microscope: https://histology.medicine.umich.edu/

Lesson 6: Introduction to the Skeletal System

Created by Dan McNabney

Introduction

This lesson will introduce you to the major components of the skeletal system including the microscopic anatomy associated with osseous tissue. You will apply this information in later modules when you learn the bones of the body.

  1. List and describe major functions of the skeletal system

  2. Distinguish the axial skeleton from the appendicular skeleton in general structure & function

  3. Identify spongy vs. compact bone based on gross appearance and location

  4. Identify distinguishing features of spongy vs. compact bone

  5. Classify bones into one of four groups based on shape (flat, long, short, or irregular)

  6. Define and provide examples of bone feature types

  7. Describe the microscopic structure of compact bone

Background Information

Bone, or osseous tissue, is a hard, dense connective tissue that forms most of the adult skeleton. In the areas of the skeleton where bones move (for example, the ribcage and joints), cartilage, a semi-rigid form of connective tissue, provides flexibility and smooth surfaces for movement. The skeletal system is composed of bones and cartilage and performs several critical functions for the human body including: supporting the body, facilitating movement, protecting internal organs, producing blood cells, and storing and releasing minerals and fat.

Major Divisions of the Body

The skeletal system includes all of the bones, cartilages, and ligaments of the body that support and give shape to the body and body structures. The skeleton consists of the bones of the body. For adults, there are 206 bones in the skeleton. Younger individuals have higher numbers of bones because some bones fuse together during childhood and adolescence to form an adult bone. The primary functions of the skeleton are to provide a rigid, internal structure that can support the weight of the body against the force of gravity, and to provide a structure upon which muscles can act to produce movements of the body. The skeleton is subdivided into two major divisions—the axial and appendicular.

The axial skeleton forms the vertical, central axis of the body and includes all bones of the head, neck, chest, and back (Figure 6.1). It serves to protect the brain, spinal cord, heart, and lungs. It also serves as the attachment site for muscles that move the head, neck, and back, and for muscles that act across the shoulder and hip joints to move their corresponding limbs. The axial skeleton of the adult consists of 80 bones, including the skull, the vertebral column, and the thoracic cage.

The appendicular skeleton includes all bones of the upper and lower limbs, plus the bones that attach each limb to the axial skeleton (Figure 6.1). There are 126 bones in the appendicular skeleton of an adult. These bones are divided into two groups: the bones that are located within the limbs themselves, and the girdle bones that attach the limbs to the axial skeleton. The bones of the shoulder region form the pectoral girdle, which anchors the upper limb to the thoracic cage of the axial skeleton. The lower limb is attached to the vertebral column by the pelvic girdle.

Figure 6.1 Axial and Appendicular Skeleton.

Bone shapes

The 206 bones that compose the adult skeleton are divided into five categories based on their shapes (Figure 6.2). Their shapes and their functions are related such that each categorical shape of bone has a distinct function.

Figure 6.2 Classification of bones based on their shape.

Long Bones

A long bone is one that is cylindrical and is longer than it is wide. Long bones are found in the arms (humerus, ulna, radius) and legs (femur, tibia, fibula), as well as in the fingers (metacarpals, phalanges) and toes (metatarsals, phalanges). Long bones function as levers; they move when muscles contract.

Short Bones

A short bone is one that is cube-like in shape, being approximately equal in length, width, and thickness. The only short bones in the human skeleton are in the carpals of the wrists and the tarsals of the ankles. Short bones provide stability and support as well as some limited motion.

Flat Bones

The term “flat bone” is somewhat of a misnomer because, although a flat bone is typically thin, it is also often curved. Examples include the cranial (skull) bones, the scapulae (shoulder blades), the sternum (breastbone), and the ribs. Flat bones serve as points of attachment for muscles and often protect internal organs.

Irregular Bones

An irregular bone is one that does not have any easily characterized shape and therefore does not fit any other classification. These bones tend to have more complex shapes, like the vertebrae that support the spinal cord and protect it from compressive forces. Many facial bones, particularly the ones containing sinuses, are classified as irregular bones.

Sesamoid Bones

A sesamoid bone is a small, round bone that, as the name suggests, is shaped like a sesame seed. These bones form in tendons (the sheaths of tissue that connect bones to muscles) where a great deal of pressure is generated in a joint. Sesamoid bones protect tendons by helping them overcome compressive forces. Sesamoid bones vary in number and placement from person to person but are typically found in tendons associated with the feet, hands, and knees. The patellae (singular = patella) are the only sesamoid bones found in common with every person.

Gross Anatomy

The structure of a long bone allows for the best visualization of all of the parts of a bone (Figure 6.3). A long bone has two major parts: the diaphysis and the epiphysis. The diaphysis is the tubular shaft that runs between the proximal and distal ends of the bone which are called epiphyses. The hollow region in the diaphysis is called the medullary cavity, which is filled with yellow marrow in adults. The walls of the diaphysis are composed of dense and hard compact bone.

Figure 6.3 Anatomy of a long bone.

The medullary cavity has a delicate membranous lining called the endosteum (end- = “inside”; oste- = “bone”), where bone growth, repair, and remodeling occur. The outer surface of the bone is covered with a fibrous membrane called the periosteum (peri- = “around” or “surrounding”). The periosteum contains blood vessels, nerves, and lymphatic vessels that nourish compact bone. Tendons and ligaments also attach to bones at the periosteum. The periosteum covers the entire outer surface except where the epiphyses meet other bones to form joints (Figure 6.3). In this region, the epiphyses are covered with articular cartilage, a thin layer of cartilage that reduces friction and acts as a shock absorber.

Flat bones, like those of the cranium, consist of a layer of diploë (spongy bone), lined on either side by a layer of compact bone (Figure 6.4). The two layers of compact bone and the interior spongy bone work together to protect the internal organs. If the outer layer of a cranial bone fractures, the brain is still protected by the intact inner layer.

Figure 6.4 Anatomy of a Flat Bone. This cross-section of a flat bone shows the spongy bone (diploë) lined on either side by a layer of compact bone.

Bone Features

The surface features of bones vary considerably, depending on the function and location in the body. There are three general classes of bone markings: (1) articulations, (2) projections, and (3) holes. As the name implies, an articulation is where two bone surfaces come together. These surfaces tend to conform to one another, such as one being rounded and the other cupped, to facilitate the function of the articulation. A projection is an area of a bone that projects above the surface of the bone. These are the attachment points for tendons and ligaments. In general, their size and shape is an indication of the forces exerted through the attachment to the bone. A hole is an opening or groove in the bone that allows blood vessels and nerves to enter the bone. As with the other markings, their size and shape reflect the size of the vessels and nerves that penetrate the bone at these points. Table 6.1 lists and describes the major bone features.

Table 6.1 Bone Features
Marking

Description

Example

Head

Prominent rounded surface

Head of femur

FacetFlat surfaceArticular facets of vertebrae
CondyleRounded surfaceOccipital condyle
ProcessProjection from the boneSpinous process of vertebrae
SpineShort, sharp projectionTransverse process of vertebrae
TubercleSmall, rounded processIschial spine
TuberosityLarge, rough surface of a boneTubercle of humerus
LineSmaller elevated ridge of boneTemporal lines of parietal bone
CrestLarger elevated ridge of boneIliac crest
FossaLarger pit in a boneMandibular fossa
FoveaSmaller pit in a boneFovea capitis of femur
SulcusGrooveSigmoid sulcus of temporal bone
CanalSmall passage in boneAuditory canal
FissureSlit through boneInferior orbital fissure
ForamenHole through boneForamen magnum
MeatusOpening into a canalExternal auditory meatus
SinusOpen space in boneNasal sinus

Microscopic Anatomy

Bone contains a relatively small number of cells entrenched in a crystallized matrix of collagen fibers and inorganic salt crystals. These salt crystals form when calcium phosphate and calcium carbonate combine to create hydroxyapatite, which incorporates other inorganic salts like magnesium hydroxide, fluoride, and sulfate as it crystallizes, or calcifies, on the collagen fibers. The hydroxyapatite crystals give bones their hardness and strength, while the collagen fibers give them flexibility so that they are not brittle.

Although bone cells compose a small amount of the bone volume, they are crucial to the function of bones. Four types of cells are found within bone tissue: osteoblasts, osteocytes, osteogenic cells, and osteoclasts (Figure 6.5).

Figure 6.5 Four types of cells are found within bone tissue.

Osteogenic cells are undifferentiated with high mitotic activity and they are the only bone cells that divide. Immature osteogenic cells are found in the deep layers of the periosteum and the marrow. They differentiate and develop into osteoblasts. Osteoblasts are responsible for forming new bone and are found in the growing portions of bone, including the periosteum and endosteum. Osteoblasts, which do not divide, synthesize and secrete the collagen matrix and calcium salts. As the secreted matrix surrounding the osteoblast calcifies, the osteoblast become trapped within it; as a result, it changes in structure and becomes an osteocyte, the primary cell of mature bone and the most common type of bone cell. Each osteocyte is located in a space called a lacuna and is surrounded by bone tissue. Osteocytes maintain the mineral concentration of the matrix via the secretion of enzymes. Like osteoblasts, osteocytes lack mitotic activity. They can communicate with each other and receive nutrients via long cytoplasmic processes that extend through canaliculi (singular = canaliculus), channels within the bone matrix.

The dynamic nature of bone means that new tissue is constantly formed, and old, injured, or unnecessary bone is dissolved for repair or for calcium release. The cell responsible for bone resorption, or breakdown, is the osteoclast. They are found on bone surfaces, are multinucleated, and originate from monocytes and macrophages, two types of white blood cells, not from osteogenic cells. Osteoclasts are continually breaking down old bone while osteoblasts are continually forming new bone. The ongoing balance between osteoblasts and osteoclasts is responsible for the constant but subtle reshaping of bone.

Compact vs. Spongy Bone

The differences between compact and spongy bone are best explored via their histology. Most bones contain compact and spongy bone, but their distribution and concentration vary based on the bone’s overall function. Compact bone is dense so that it can withstand compressive forces, while spongy bone has open spaces and supports shifts in weight distribution.

Compact Bone

Compact bone is the denser, stronger of the two types of bone tissue (Figure 6.6). It can be found under the periosteum and in the diaphysis of long bones, where it provides support and protection.

The microscopic structural unit of compact bone is called an osteon, or Haversian system. Each osteon is composed of concentric rings of calcified matrix called lamellae (singular = lamella). Running down the center of each osteon is the central canal which contains blood vessels, nerves, and lymphatic vessels. These vessels and nerves branch off at right angles through a perforating canal to extend to the periosteum and endosteum. Osteocytes are located inside spaces called lacunae (singular = lacuna), found at the borders of adjacent lamellae. As described above, canaliculi connect with the canaliculi of other lacunae and eventually with the central canal. This system allows nutrients to be transported to osteocytes and wastes to be removed from them.

Figure 6.6 Diagram of Compact Bone (a) This cross-sectional view of compact bone shows the basic structural unit, the osteon. (b) In this micrograph of the osteon, you can clearly see the concentric lamellae and central canals. LM × 40. (Micrograph provided by the Regents of University of Michigan Medical School © 2012)

Spongy (Trabecular) Bone

Like compact bone, spongy bone, also known as trabecular bone, contains osteocytes housed in lacunae, but they are not usually arranged in concentric circles. Instead, the lacunae and osteocytes are found in a latticelike network of matrix spikes called trabeculae (singular = trabecula) (Figure 6.7). The trabeculae may appear to be a random network, but each trabecula forms along lines of stress to provide strength to the bone. The spaces of the trabeculated network provide balance to the dense and heavy compact bone by making bones lighter so that muscles can move them more easily. In addition, the spaces in some spongy bones contain red marrow, protected by the trabeculae, where blood cell production occurs.

Figure 6.7 Diagram of Spongy Bone. Spongy bone is composed of trabeculae that contain the osteocytes. Red marrow fills the spaces in some bones.

Source Material

All images and the text found in this section are a derivative of "Anatomy and Physiology" by OpenStax CNX used under CC BY 4.0. Aug 2, 2019. Download the original text for free at http://cnx.org/contents/14fb4ad739a1-4eee-ab6e-3ef2482e3e22@16.1

Activities

Major Bones of the Body

Associated SLOs

2. Distinguish the axial skeleton from the appendicular skeleton in general structure & function

Required Materials

• Intact skeleton

Procedure

1. Using the intact skeleton, answer the questions below.

Check Your Understanding

  1. Identify whether the following bones are a part of the axial or appendicular skeleton by writing the correct region on the provided blank.

A. Sternum _______________________________ B. Humerus _______________________________ C. Skull _______________________________ D. Ribs _______________________________ E. Femur _______________________________ F. Carpals _______________________________

G. Clavicle _______________________________

  1. Provide one general function of the axial skeleton that is not a function of the appendicular skeleton.

Gross Anatomy of Bone

Associated SLOs

  1. Identify spongy vs. compact bone based on gross appearance and location

  2. Identify distinguishing features of spongy vs. compact bone

  3. Classify bones into one of four groups based on shape (flat, long, short, or irregular)

  4. Define and provide examples of bone feature types

Required Materials

• Disarticulated bones

Procedure

  1. Using the disarticulated bones in the lab, find at least two examples of each bone shape.

  2. For a long bone, identify an example of a diaphysis and an epiphysis.

Check Your Understanding

  1. Name one notable structural feature found in compact bone but not in spongy bone.

  2. Name one notable structural feature found in spongy bone but not in compact bone.

  3. Complete the table below on bone shapes.

Bone Shape

Description

Examples

Long
Short
Flat
Irregular
Sesamoid
  1. Name the bone feature that best matches each provided description.

A. Large rough surface of a bone_______________________________
B. Short, sharp projection_______________________________
C. Hole through bone_______________________________
D. Flat surface on a bone_______________________________
E. Prominent rounded projection_______________________________

Microscopic Anatomy of Bone

Associated SLOs

  1. Describe the microscopic structure of compact bone Required Materials

• Virtual Microscope – Ground compact bone (93B) – Access a section of compact bone by following the link:

http://virtualslides.med.umich.edu/Histology/Basic%20Tissues/Cartilage%20and%20Bone/093B_HIST O_40X.svs/view.apml?

Procedure

  1. Using the cross section of compact bone virtual microscope slide, identify osteons, concentric lamellae, interstitial lamellae, osteocytes, lacunae, and canaliculi.

  2. Zoom in as necessary to find a distinct osteon with identifiable lamellae, osteocytes, lacunae, and canaliculi and then take a screenshot of that view.

  3. Upload the screenshot into the associated prompts in Lt.

  4. Annotate the image to clearly identify the osteon, lamellae, osteocytes, lacunae, and canaliculi.

Check Your Understanding

7. Define each of the following compact bone structures in one sentence each: A. Canaliculi

  1. Lacuna

  2. Osteon

  3. Central canal

Source Material

University of Michigan Virtual Microscope: https://histology.medicine.umich.edu/

Lesson 7: Introduction to Joints

Created by Dan McNabney

Introduction

In this lesson you will explore the different types of joints and the common body movements allowed at joints.

Student learning outcomes (SLOs):

By the end of this lesson you will be able to:

  1. Name, describe, and provide examples of each of the following types of joints: fibrous, cartilaginous, and synovial.

  2. Name, describe, and provide examples of each of the major classes of synovial joints: ball-and-socket, pivot, saddle, hinge, plane, and condylar.

  3. Define common types of body movements seen at joints.

Background Information

The adult human body has 206 bones, and with the exception of the hyoid bone in the neck, each bone is connected to at least one other bone. Joints are the location where bones come together. Joints can allow for considerable movement between bones or allow little or no movement. Joint stability and movement are related to each other with stable joints allowing for little or no mobility between the adjacent bones while joints that provide the most movement between bones are the least stable. Understanding the relationship between joint structure and function will help to explain why particular types of joints are found in certain areas of the body.

Joints can be classified based on structural characteristics (fibrous, cartilaginous, and synovial; described further below) or the amount of mobility allowed at the joint (synarthroses, amphiarthroses, diarthroses). Synarthroses are immobile or nearly immobile joints with adjacent bones strongly linked together. Examples include sutures of the skull and the joint between the manubrium and body of the sternum. Amphiarthroses are joints with limited mobility and include intervertebral discs and the pubic symphysis of the pelvis.

Diarthroses are freely mobile joints and include all synovial joints such as the shoulder, knee, and ankle joints.

Fibrous Joints

At a fibrous joint, the adjacent bones are directly connected to each other by fibrous connective tissue (Figure 7.1). The gap between the bones may be narrow or wide though there is no joint cavity. Fibrous joints include sutures, syndemoses, and gomphoses. A suture is the narrow fibrous joint found between most bones of the skull. Fibrous connective tissue strongly unites adjacent skull bones and, in adults, the skull bones are closely opposed preventing most movement between the bones leading to their classification as synarthroses. At a syndesmosis joint, the bones are more widely separated and are held together by a narrow band of fibrous connective tissue called a ligament or a wide sheet of connective tissue called an interosseous membrane. Syndemoses are typically classified as amphiarthroses because they allow limited movement while providing considerable strength and stability in structures like the ankle. Lastly, a gomphosis is the specialized fibrous, synarthrotic joint that connects each tooth to the jaw. Numerous short bands of dense connective tissue, each of which is called a periodontal ligament, anchors the root of a tooth into its bony socket within the jaw.

Figure 7.1 Examples of the three types of fibrous joints. (a) Sutures join most bones of the skull. (b) An interosseous membrane forms a syndesmosis between the radius and ulna bones of the forearm. (c) A gomphosis is a specialized fibrous joint that anchors a tooth to its socket in the jaw.

Cartilaginous Joints

As the name indicates, at a cartilaginous joint, adjacent bones are united by cartilage, a tough but flexible type of connective tissue. These types of joints lack a joint cavity and involve bones that are joined together by either hyaline cartilage or fibrocartilage (Figure 7.2). There are two types of cartilaginous joints based on the type of cartilage found in the joint.

Figure 7.2 Cartilaginous Joints. (a) The hyaline cartilage of the epiphyseal plate (growth plate) forms a synchondrosis that unites the shaft (diaphysis) and end (epiphysis) of a long bone. (b) The pubic portions of the right and left hip bones of the pelvis are joined together by fibrocartilage, forming the pubic symphysis.

A synchondrosis is a cartilaginous joint where bones are joined together by hyaline cartilage, or where bone is united to hyaline cartilage. Due to the lack of movement between the bone and cartilage synchondroses are functionally classified as synarthroses. A synchondrosis may be temporary or permanent. An example of a temporary synchondrosis is the epiphyseal plate (growth plate) of a growing long bone. The epiphyseal plate is the region of growing hyaline cartilage that unites the diaphysis (shaft) of the bone to the epiphysis (end of the bone). Bone lengthening involves growth of the epiphyseal plate cartilage and its replacement by bone, which adds to the diaphysis. During childhood growth, the rates of cartilage growth and bone formation are equal and thus the epiphyseal plate does not change in overall thickness as the bone lengthens. During the late teens or early 20s, growth of the cartilage slows and eventually stops. The epiphyseal plate is then completely replaced by bone, and the diaphysis and epiphysis portions of the bone fuse together to form a single adult bone. Examples of permanent synchondroses are found in the thoracic cage. One example is the first sternocostal joint, where the first rib is anchored to the sternum by its costal cartilage. Unlike the temporary synchondroses of the epiphyseal plate, these permanent synchondroses retain their hyaline cartilage and thus do not ossify with age.

A cartilaginous joint where the bones are joined by fibrocartilage is called a symphysis. Fibrocartilage is very strong because it contains numerous bundles of thick collagen fibers, thus giving it a much greater ability to resist pulling and bending forces when compared with hyaline cartilage. This gives symphyses the ability to strongly unite the adjacent bones, but can still allow for limited movement to occur. Thus, a symphysis is functionally classified as an amphiarthrosis. The gap separating the bones at a symphysis may be narrow or wide. At the pubic symphysis, the pubic portions of the right and left hip bones of the pelvis are joined together by fibrocartilage across a narrow gap. The intervertebral symphysis is a wide symphysis located between the bodies of adjacent vertebrae of the vertebral column. Here a thick pad of fibrocartilage called an intervertebral disc strongly unites the adjacent vertebrae by filling the gap between them. The width of the intervertebral symphysis is important because it allows for small movements between the adjacent vertebrae.

Synovial Joints

Synovial joints are the most common type of joint in the body (Figure 7.3). A key structural characteristic for a synovial joint that is not seen at fibrous or cartilaginous joints is the presence of a joint cavity. This fluid-filled space is the site at which the articulating surfaces of the bones contact each other. Also unlike fibrous or cartilaginous joints, the articulating bone surfaces at a synovial joint are not directly connected to each other with fibrous connective tissue or cartilage. This gives the bones of a synovial joint the ability to move smoothly against each other, allowing for increased joint mobility.

Figure 7.3 Synovial joints allow for smooth movements between the adjacent bones. The joint is surrounded by an articular capsule that defines a joint cavity filled with synovial fluid. The articulating surfaces of the bones are covered by a thin layer of articular cartilage. Ligaments support the joint by holding the bones together and resisting excess or abnormal joint motions.

Synovial joints are characterized by the presence of a joint cavity. The walls of this space are formed by the articular capsule, a fibrous connective tissue structure that is attached to each bone just outside the area of the bone’s articulating surface. The bones of the joint articulate with each other within the joint cavity.

Friction between the bones at a synovial joint is prevented by the presence of the articular cartilage, a thin layer of hyaline cartilage that covers the entire articulating surface of each bone. However, unlike at a cartilaginous joint, the articular cartilages of each bone are not continuous with each other. Instead, the articular cartilage acts as a smooth coating over the bone surface, allowing the articulating bones to move smoothly against each other without damaging the underlying bone tissue. Lining the inner surface of the articular capsule is a thin synovial membrane. The cells of this membrane secrete synovial fluid (synovia = “a thick fluid”), a thick, slimy fluid that provides lubrication to further reduce friction between the bones of the joint. This fluid also provides nourishment to the articular cartilage, which does not contain blood vessels. The ability of the bones to move smoothly against each other within the joint cavity, and the freedom of joint movement this provides, means that each synovial joint is functionally classified as a diarthrosis.

Outside of their articulating surfaces, the bones are connected together by ligaments, which are strong bands of fibrous connective tissue. These strengthen and support the joint by anchoring the bones together and preventing their separation. Ligaments allow for normal movements at a joint, but limit the range of these motions, thus preventing excessive or abnormal joint movements. At many synovial joints, additional support is provided by the muscles and their tendons that act across the joint. A tendon is the dense connective tissue structure that attaches a muscle to bone. As forces acting on a joint increase, the body will automatically increase the overall strength of contraction of the muscles crossing that joint, thus allowing the muscle and its tendon to serve as a “dynamic ligament” to resist forces and support the joint. This type of indirect support by muscles is very important at the shoulder joint, for example, where the ligaments are relatively weak.

A few synovial joints of the body have a fibrocartilage structure located between the articulating bones to unite bones to each other, smooth movements between bones, or provide cushioning. This is called an articular disc, which is generally small and oval-shaped, or a meniscus, which is larger and C-shaped. Additional structures located outside of a synovial joint serve to prevent friction between the bones of the joint and the overlying muscle tendons or skin. A bursa (plural = bursae) is a thin connective tissue sac filled with lubricating liquid. They help reduce friction between skin, ligaments, muscles, or muscle tendons that can rub against each other, usually near a body joint (Figure 7.3). A tendon sheath is similar in structure to a bursa, but smaller. It is a connective tissue sac that surrounds a muscle tendon at places where the tendon crosses a joint.

Types of Synovial Joints

Synovial joints are subdivided based on the shapes of the articulating surfaces of the bones that form each joint. The six types of synovial joints are pivot, hinge, condyloid (condylar), saddle, plane, and ball-and socketjoints (Figure 7.4).

Figure 7.4 The six types of synovial joints allow the body to move in a variety of ways. (a) Pivot joints allow for rotation around an axis, such as between the first and second cervical vertebrae, which allows for side-to-side

rotation of the head. (b) The hinge joint of the elbow works like a door hinge. (c) The articulation between the trapezium carpal bone and the first metacarpal bone at the base of the thumb is a saddle joint. (d) Plane joints, such as those between the tarsal bones of the foot, allow for limited gliding movements between bones. (e) The radiocarpal joint of the wrist is a condyloid joint. (f) The hip and shoulder joints are the only ball-and-socket joints of the body.

Pivot Joint

At a pivot joint, a rounded portion of a bone is enclosed within a ring formed partially by the articulation with another bone and partially by a ligament (see Figure 7.4a). The bone rotates within this ring. An example of a pivot joint is the atlantoaxial joint, found between the C1 (atlas) and C2 (axis) vertebrae. Here, the upward projecting dens of the axis articulates with the inner aspect of the atlas, where it is held in place by a ligament. Rotation at this joint allows you to turn your head from side to side.

Hinge Joint

In a hinge joint, the convex end of one bone articulates with the concave end of the adjoining bone (see Figure 7.4b). This type of joint allows only for bending and straightening motions along a single axis. A good example is the elbow joint, with the articulation between the trochlea of the humerus and the trochlear notch of the ulna. Other hinge joints of the body include the knee, ankle, and interphalangeal joints between the phalanx bones of the fingers and toes.

Condyloid Joint

At a condyloid joint (condylar or ellipsoid joint), the shallow depression at the end of one bone articulates with a rounded structure from an adjacent bone or bones (see Figure 7.4e). The knuckle (metacarpophalangeal) joints of the hand between the distal end of a metacarpal bone and the proximal phalanx bone are condyloid joints. Functionally, condyloid joints allow for two planes of movement. One movement involves the bending and straightening of the fingers and the second movement is a side-to-side movement, which allows you to spread your fingers apart and bring them together.

Saddle Joint

At a saddle joint, both of the articulating surfaces for the bones have a saddle shape, which is concave in one direction and convex in the other (see Figure 7.4c). This allows the two bones to fit together like a rider sitting on a saddle. The primary example is the first carpometacarpal joint, between the trapezium (a carpal bone) and the first metacarpal bone at the base of the thumb. This joint provides the thumb the ability to move away from the palm of the hand along two planes. Thus, the thumb can move within the same plane as the palm of the hand, or it can jut out anteriorly, perpendicular to the palm. This movement of the first carpometacarpal joint is what gives humans their distinctive “opposable” thumbs.

Plane Joint

At a plane joint (gliding joint), the articulating surfaces of the bones are flat or slightly curved and of approximately the same size, which allows the bones to slide against each other (see Figure 7.4d). The motion at this type of joint is usually small and tightly constrained by surrounding ligaments. Depending upon the specific joint of the body, a plane joint may exhibit only a single type of movement or several movements. Plane joints are found between the carpal bones (intercarpal joints) of the wrist or tarsal bones (intertarsal joints) of the foot, between the clavicle and acromion of the scapula (acromioclavicular joint), and between the superior and inferior articular processes of adjacent vertebrae (zygapophysial joints).

Ball-and-Socket Joint

The joint with the greatest range of motion is the ball-and-socket joint. At these joints, the rounded head of one bone (the ball) fits into the concave articulation (the socket) of the adjacent bone (see Figure 7.4f). The hip joint and the glenohumeral (shoulder) joint are the only ball-and-socket joints of the body. Ball-and-socket joints are classified functionally as multiaxial joints that allow movement in both anterior-posterior and medial-lateral directions and they can also rotate around their long axis.

Body Movements at Synovial Joints

Synovial joints allow the body a tremendous range of movements. Each movement at a synovial joint results from the contraction or relaxation of the muscles that are attached to the bones on either side of the articulation. The type of movement that can be produced at a synovial joint is determined by its structural type. While the ball-and-socket joint gives the greatest range of movement at an individual joint, in other regions of the body, several joints may work together to produce a particular movement. There are many types of movement that can occur at synovial joints which are described below. Movement types are generally paired, with one being the opposite of the other. Body movements are always described in relation to the anatomical position of the body: upright stance, with upper limbs to the side of body and palms facing forward. Refer to Figures 7.5 and 7.6 as you work through this section.

Figure 7.5 Movements of the Body, Part 1 Synovial joints give the body many ways in which to move. (a)–(b)

Flexion and extension motions are in the sagittal (anterior–posterior) plane of motion. (c)–(d) Anterior bending of the head or vertebral column is flexion, while any posterior-going movement is extension. (e)

Abduction and adduction are motions of the limbs, hand, fingers, or toes in the coronal (medial–lateral) plane of movement. Moving the limb or hand laterally away from the body, or spreading the fingers or toes, is

abduction. Adduction brings the limb or hand toward or across the midline of the body, or brings the fingers or toes together. Circumduction is the movement of the limb, hand, or fingers in a circular pattern, using the sequential combination of flexion, adduction, extension, and abduction motions. Adduction/abduction and

circumduction take place at the shoulder, hip, wrist, metacarpophalangeal, and metatarsophalangeal joints. (f)

Turning of the head side to side or twisting of the body is rotation. Medial and lateral rotation of the upper limb at the shoulder or lower limb at the hip involves turning the anterior surface of the limb toward the midline of the body (medial or internal rotation) or away from the midline (lateral or external rotation).

Figure 7.6 Movements of the Body, Part 2 (g) Supination of the forearm turns the hand to the palm forward position in which the radius and ulna are parallel, while forearm pronation turns the hand to the palm

backward position in which the radius crosses over the ulna to form an "X." (h) Dorsiflexion of the foot at the ankle joint moves the top of the foot toward the leg, while plantar flexion lifts the heel and points the toes. (i) Eversion of the foot moves the bottom (sole) of the foot away from the midline of the body, while foot inversion faces the sole toward the midline. (j) Protraction of the mandible pushes the chin forward, and

retraction pulls the chin back. (k) Depression of the mandible opens the mouth, while elevation closes it. (l) Opposition of the thumb brings the tip of the thumb into contact with the tip of the fingers of the same hand and reposition brings the thumb back next to the index finger.

Flexion and Extension

Flexion and extension are movements that take place within the sagittal plane and involve anterior or posterior movements of the body or limbs. For the vertebral column, flexion (anterior flexion) is an anterior (forward) bending of the neck or body, while extension involves a posterior-directed motion, such as straightening from a flexed position or bending backward. Lateral flexion is the bending of the neck or body toward the right or left side. In the limbs, flexion decreases the angle between the bones (bending of the joint), while extension increases the angle and straightens the joint. For the upper limb, all anterior-going motions are flexion and all posterior-going motions are extension. These include anterior-posterior movements of the arm at the shoulder, the forearm at the elbow, the hand at the wrist, and the fingers at the metacarpophalangeal and interphalangeal joints. For the thumb, extension moves the thumb away from the palm of the hand, within the same plane as the palm, while flexion brings the thumb back against the index finger or into the palm. In the lower limb, bringing the thigh forward and upward is flexion at the hip joint, while any posterior-going motion of the thigh is extension. Note that extension of the thigh beyond the anatomical (standing) position is greatly limited by the ligaments that support the hip joint. Knee flexion is the bending of the knee to bring the foot toward the posterior thigh, and extension is the straightening of the knee.

Hyperextension is the abnormal or excessive extension of a joint beyond its normal range of motion, thus resulting in injury. Similarly, hyperflexion is excessive flexion at a joint. Hyperextension injuries are common at hinge joints such as the knee or elbow. In cases of “whiplash” in which the head is suddenly moved backward and then forward, a patient may experience both hyperextension and hyperflexion of the cervical region.

Abduction and Adduction

Abduction and adduction motions occur within the coronal plane and involve medial-lateral motions of the limbs, fingers, toes, or thumb. Abduction moves the limb laterally away from the midline of the body, while adduction is the opposing movement that brings the limb toward the body or across the midline. For example, abduction is raising the arm at the shoulder joint, moving it laterally away from the body, while adduction brings the arm down to the side of the body. Similarly, abduction and adduction at the wrist moves the hand away from or toward the midline of the body. Spreading the fingers or toes apart is also abduction, while bringing the fingers or toes together is adduction. For the thumb, abduction is the anterior movement that brings the thumb to a 90° perpendicular position, pointing straight out from the palm. Adduction moves the thumb back to the anatomical position, next to the index finger.

Circumduction

Circumduction is the movement of a body region in a circular manner, in which one end of the body region being moved stays relatively stationary while the other end describes a circle. It involves the sequential combination of flexion, adduction, extension, and abduction at a joint.

Rotation

Rotation can occur within the vertebral column, at a pivot joint, or at a ball-and-socket joint. Rotation of the neck or body is the twisting movement produced by the summation of the small rotational movements available between adjacent vertebrae. At a pivot joint, one bone rotates in relation to another bone. This is a uniaxial joint, and thus rotation is the only motion allowed at a pivot joint. For example, at the atlantoaxial joint, the first cervical (C1) vertebra (atlas) rotates around the dens, the upward projection from the second cervical (C2) vertebra (axis). This allows the head to rotate from side to side as when shaking the head “no.” The proximal radioulnar joint is a pivot joint formed by the head of the radius and its articulation with the ulna. This joint allows for the radius to rotate along its length during pronation and supination movements of the forearm. Rotation can also occur at the ball-and-socket joints of the shoulder and hip. Here, the humerus and femur rotate around their long axis, which moves the anterior surface of the arm or thigh either toward or away from the midline of the body. Movement that brings the anterior surface of the limb toward the midline of the body is called medial (internal) rotation. Conversely, rotation of the limb so that the anterior surface moves away from the midline is lateral (external) rotation. Be sure to distinguish medial and lateral rotation, which can only occur at the shoulder and hip joints, from circumduction.

Supination and Pronation

Supination and pronation are movements of the forearm. In the anatomical position, the upper limb is held next to the body with the palm facing forward. This is the supinated position of the forearm. In this position, the radius and ulna are parallel to each other. When the palm of the hand faces backward, the forearm is in the pronated position, and the radius and ulna form an X-shape. Supination and pronation are the movements of the forearm that go between these two positions. Pronation is the motion that moves the forearm from the supinated (anatomical) position to the pronated (palm backward) position. Supination is the opposite motion, in which rotation of the radius returns the bones to their parallel positions and moves the palm to the anterior facing (supinated) position. It helps to remember that supination is the motion you use when scooping up soup with a spoon.

Dorsiflexion and Plantar Flexion

Dorsiflexion and plantar flexion are movements at the ankle joint, which is a hinge joint. Lifting the front of the foot, so that the top of the foot moves toward the anterior leg is dorsiflexion, while lifting the heel of the foot from the ground or pointing the toes downward is plantar flexion.

Inversion and Eversion

Inversion and eversion are complex movements that involve multiple plane joints among the tarsal bones of the posterior foot and thus are not motions that take place at the ankle joint. Inversion is the turning of the foot to angle the bottom of the foot toward the midline, while eversion turns the bottom of the foot away from the midline. The foot has a greater range of inversion than eversion motion. These are important motions that help to stabilize the foot when walking or running on an uneven surface and aid in the quick sideto-side changes in direction used during active sports such as basketball, racquetball, or soccer.

Protraction and Retraction

Protraction and retraction are anterior-posterior movements of the scapula or mandible. Protraction of the scapula occurs when the shoulder is moved forward, as when pushing against something or throwing a ball. Retraction is the opposite motion, with the scapula being pulled posteriorly and medially, toward the vertebral column. For the mandible, protraction occurs when the lower jaw is pushed forward, to stick out the chin, while retraction pulls the lower jaw backward.

Depression and Elevation

Depression and elevation are downward and upward movements of the scapula or mandible. The upward movement of the scapula and shoulder is elevation, while a downward movement is depression. These movements are used to shrug your shoulders. Similarly, elevation of the mandible is the upward movement of the lower jaw used to close the mouth or bite on something, and depression is the downward movement that produces opening of the mouth.

Excursion

Excursion is the side to side movement of the mandible. Lateral excursion moves the mandible away from the midline, toward either the right or left side. Medial excursion returns the mandible to its resting position at the midline.

Superior Rotation and Inferior Rotation

Superior and inferior rotation are movements of the scapula and are defined by the direction of movement of the glenoid cavity. These motions involve rotation of the scapula around a point inferior to the scapular spine and are produced by combinations of muscles acting on the scapula. During superior rotation, the glenoid cavity moves upward as the medial end of the scapular spine moves downward. This is a very important motion that contributes to upper limb abduction. Without superior rotation of the scapula, the greater tubercle of the humerus would hit the acromion of the scapula, thus preventing any abduction of the arm above shoulder height. Superior rotation of the scapula is thus required for full abduction of the upper limb. Superior rotation is also used without arm abduction when carrying a heavy load with your hand or on your shoulder. You can feel this rotation when you pick up a load, such as a heavy book bag and carry it on only one shoulder. To increase its weight-bearing support for the bag, the shoulder lifts as the scapula superiorly rotates. Inferior rotation occurs during limb adduction and involves the downward motion of the glenoid cavity with upward movement of the medial end of the scapular spine.

Opposition and Reposition

Opposition is the thumb movement that brings the tip of the thumb in contact with the tip of a finger. Thumb opposition is produced by a combination of flexion and abduction of the thumb at this joint. Returning the thumb to its anatomical position next to the index finger is called reposition.

Source Material

All images and the text found in this section are a derivative of "Anatomy and Physiology" by OpenStax CNX used under CC BY 4.0. Aug 2, 2019. Download the original text for free at http://cnx.org/contents/14fb4ad739a1-4eee-ab6e-3ef2482e3e22@16.1

Activities

Joints Classification

Associated SLOs

  1. Name, describe, and provide examples of each of the following types of joints: fibrous, cartilaginous, and synovial.

  2. Name, describe, and provide examples of each of the major classes of synovial joints: ball-and-socket, pivot, saddle, hinge, plane, and condylar.

Required Materials

• None

Procedure

1. Using the background information, answer the questions below.

Check Your Understanding

  1. For each structural class of joint, name the defining structural feature and describe the amount of movement allowed by the joint type. A. Fibrous

    1. Cartilaginous

    2. Synovial

  2. Complete the table below on synovial joint types:

Joint TypeDescriptionExample
Hip & Shoulder
Pivot
Thumb & trapezium
Allows an increase or decrease in angle between bone
Allows for movement between flat surfaces
Condylar

Body Movements at Synovial Joints

Associated SLOs

  1. Define common types of body movements seen at joints.

Required Materials

• Recording device (ex: your phone)

Procedure

  1. With a partner, create a series of short videos (less than 10 seconds each) that clearly demonstrates each of the following common body movements at synovial joints. All videos should begin with the subject in anatomical position:

A. Flexion at the knee B. Extension at the shoulder

  1. Abduction of the leg

  2. Adduction of the fingers

  3. Lateral rotation of the leg

  4. Pronation & supination of the forearm

  5. Dorsiflexion & plantar-flexion of the foot

  6. Inversion & eversion of the foot

  7. Protraction & depression of the mandible

  8. Opposition

  1. Upload each short video into the associated prompts in Lt.

Lesson 8: The Lower Limb – Bones

Created by Gabriella Sandberg

Introduction

Because of our upright stance, different functional demands are placed upon the upper and lower limbs. The bones of the lower limbs are adapted for weight-bearing support and stability, as well as for body locomotion via walking or running. This lesson will focus on the bones of the lower limb, from the hip to the foot.

Student Learning Outcomes (SLOs):

By the end of this lesson you will be able to:

1. Identify bones and bone features of the lower limb on an articulated skeleton, disarticulated bones, bone models, and/or on a picture/diagram

Background Information

The Pelvic Girdle

The pelvic girdle (hip girdle) is formed by a pair of hip bones or os coxae bone (coxa = “hip”, singular). Each hip bone, in turn, is firmly joined to the axial skeleton via its attachment to the sacrum of the vertebral column. The right and left hip bones are attached to each other anteriorly at a fibrous joint known as the pubic symphysis. The bony pelvis is the entire structure formed by the two hip bones, the sacrum, and the coccyx. The coccyx, also known as the tail bone, is attached inferiorly to the sacrum (Figure 8.1).

Unlike the bones of the pectoral girdle of the arm, which are highly mobile to enhance the range of upper limb movements, the bones of the pelvis are strongly united to each other to form a largely immobile, weightbearing structure. This is important for stability because it enables the weight of the body to be easily transferred laterally from the vertebral column, through the pelvic girdle and hip joints, and into either lower limb whenever the other limb is not bearing weight. Thus, the immobility of the pelvis provides a strong foundation for the upper body as it rests on top of the mobile lower limbs.

Figure 8.1 Pelvis & Pelvic Girdle.

The Hip Bones

The paired hip bones are the large, curved bones that form the lateral and anterior aspects of the pelvis. Each adult hip bone is formed by three separate bones that fuse together during the late teenage years. These bony components are the ilium, ischium, and pubis (Figure 8.2). These names are retained and used to define the three regions of the adult hip bone.

The ilium is the fan-like, superior region of the hip bone forming the largest part of the hip bone. The ilium is firmly connected to the sacrum at the largely immobile sacroiliac joint (see Figure 8.1). The ischium forms the posteroinferior region of each hip bone. It supports the body when sitting. The pubis forms the anterior portion of the hip bone. The pubis curves medially, where it joins to the pubis of the opposite hip bone at a specialized joint called the pubic symphysis.

Figure 8.2 The Hip Bone

Ilium

When you place your hands on your waist, you can feel the arching, superior margin of the ilium along your waistline (see Figure 8.2). This curved, superior margin of the ilium is the iliac crest. The rounded, anterior termination of the iliac crest is the anterior superior iliac spine. This important bony landmark can be felt at your anterolateral hip. Inferior to the anterior superior iliac spine is a rounded protuberance called the anterior inferior iliac spine. Both of these iliac spines serve as attachment points for muscles of the thigh. Posteriorly, the iliac crest curves downward to terminate as the posterior superior iliac spine. Muscles and ligaments surround but do not cover this bony landmark, thus sometimes producing a depression seen as a “dimple” located on the lower back. More inferiorly is the posterior inferior iliac spine. This is located at the inferior end of a large, roughened area called the auricular surface of the ilium. The auricular surface articulates with the auricular surface of the sacrum to form the sacroiliac joint. Both the posterior superior and posterior inferior iliac spines serve as attachment points for the muscles and very strong ligaments that support the sacroiliac joint.

The shallow depression located on the anteromedial (internal) surface of the upper ilium is called the iliac fossa. The inferior margin of this space is formed by the arcuate line of the ilium, the ridge formed by the pronounced change in curvature between the upper and lower portions of the ilium. The large, inverted Ushaped indentation located on the posterior margin of the lower ilium is called the greater sciatic notch.

Ischium

The ischium forms the posterolateral portion of the hip bone (see Figure 8.2). The large, roughened area of the inferior ischium is the ischial tuberosity. This serves as the attachment for the posterior thigh muscles and also carries the weight of the body when sitting. You can feel the ischial tuberosity if you wiggle your pelvis against the seat of a chair. Projecting superiorly and anteriorly from the ischial tuberosity is a narrow segment of bone called the ischial ramus. The slightly curved posterior margin of the ischium above the ischial tuberosity is the lesser sciatic notch. The bony projection separating the lesser sciatic notch and greater sciatic notch is the ischial spine.

Pubis

The pubis forms the anterior portion of the hip bone (see Figure 8.2). The enlarged medial portion of the pubis is the pubic body. Located superiorly on the pubic body is a small bump called the pubic tubercle. The superior pubic ramus is the segment of bone that passes laterally from the pubic body to join the ilium. The narrow ridge running along the superior margin of the superior pubic ramus is the pectineal line of the pubis.

The pubic body is joined to the pubic body of the opposite hip bone by the pubic symphysis. Extending downward and laterally from the body is the inferior pubic ramus. The pubic arch is the bony structure formed by the pubic symphysis, and the bodies and inferior pubic rami of the adjacent pubic bones. The inferior pubic ramus extends downward to join the ischial ramus. Together, these form the single ischiopubic ramus, which extends from the pubic body to the ischial tuberosity. The inverted V-shape formed as the ischiopubic rami from both sides come together at the pubic symphysis is called the subpubic angle.

The Leg

Like the arm, the leg is divided into three regions. The thigh is the portion of the leg located between the hip joint and knee joint. The lower leg is the region between the knee joint and the ankle joint. Distal to the ankle is the foot. The leg contains thirty bones which are described below:

  • Femur - the single bone of the thigh

  • Patella - the kneecap

  • Tibia - the larger, weight-bearing bone located on the medial side of the lower leg

  • Fibula - the thin bone on the lateral side of the lower leg

  • Tarsal bones - seven bones found in the posterior foot.

  • Metatarsal bones - five bones found in the mid-foot

  • Phalanges - fourteen phalanx bones in the distal foot

The Thigh

Femur

The femur, or thigh bone, is the single bone of the thigh region (Figure 8.3). It is the longest and strongest bone of the body, and accounts for approximately one-quarter of a person’s total height. The rounded, proximal end is the head of the femur, which articulates with the acetabulum of the hip bone to form the hip joint. The fovea capitis is a minor indentation on the medial side of the femoral head that serves as the site of attachment for the ligament of the head of the femur. This ligament spans the femur and acetabulum but is weak and provides little support for the hip joint. It does, however, carry an important artery that supplies the head of the femur.

The narrowed region below the head is the neck of the femur. This is a common area for fractures of the femur. The greater trochanter is the large, upward, bony projection located above the base of the neck. Multiple muscles that act across the hip joint attach to the greater trochanter, which, because of its projection from the femur, gives additional leverage to these muscles. The greater trochanter can be felt just under the skin on the lateral side of your upper thigh. The lesser trochanter is a small, bony prominence that lies on the medial aspect of the femur, just below the neck. Running between the greater and lesser trochanters on the anterior side of the femur is the roughened intertrochanteric line. The trochanters are also connected on the posterior side of the femur by the larger intertrochanteric crest.

The elongated shaft of the femur has a slight anterior bowing or curvature. At its proximal end, the posterior shaft has the gluteal tuberosity, a roughened area extending inferiorly from the greater trochanter. More inferiorly, the gluteal tuberosity becomes continuous with the linea aspera (“rough line”). This is the roughened ridge that passes distally along the posterior side of the mid-femur. Multiple muscles of the hip and thigh regions make long, thin attachments to the femur along the linea aspera.

The distal end of the femur has medial and lateral bony expansions. On the lateral side, the smooth portion that covers the distal and posterior aspects of the lateral expansion is the lateral condyle of the femur. The roughened area on the outer, lateral side of the condyle is the lateral epicondyle of the femur. Similarly, the smooth region of the distal and posterior medial femur is the medial condyle of the femur, and the irregular outer, medial side of this is the medial epicondyle of the femur. The lateral and medial condyles articulate with the tibia to form the knee joint. The epicondyles provide attachment points for muscles and supporting ligaments of the knee. The adductor tubercle is a small bump located at the superior margin of the medial epicondyle. Posteriorly, the medial and lateral condyles are separated by a deep depression called the intercondylar fossa. Anteriorly, the smooth surfaces of the condyles join together to form a wide groove called the patellar surface, which provides for articulation with the patella bone. The combination of the medial and lateral condyles with the patellar surface gives the distal end of the femur a horseshoe (U) shape.

Figure 8.3 Femur and Patella

Patella

The patella (kneecap) is largest sesamoid bone of the body (see Figure 8.3). A sesamoid bone is a bone that is incorporated into the tendon of a muscle where that tendon crosses a joint. A sesamoid bone functions to articulate with the underlying bones to prevent damage to the muscle tendon due to rubbing against the bones during joint movement. The patella is found in the tendon of the quadriceps femoris muscle, the large muscle of the anterior thigh that passes across the anterior knee to attach to the tibia. The patella articulates with the patellar surface of the femur and thus prevents rubbing of the muscle tendon against the distal femur. The patella also lifts the tendon away from the knee joint, which increases the leverage power of the quadriceps femoris muscle as it acts across the knee. The patella does not articulate with the tibia.

The Leg

Tibia

The tibia (or shin bone) is the medial bone of the leg and is larger than the fibula, with which it is paired (Figure 8.4). The tibia is the main weight-bearing bone of the lower leg and the second longest bone of the body, after the femur. The medial side of the tibia is located immediately under the skin, allowing it to be easily palpated down the entire length of the medial leg.

Figure 8.4 Tibia & Fibula

The proximal end of the tibia is greatly expanded. The two sides of this expansion form the medial condyle of the tibia and the lateral condyle of the tibia. The tibia does not have epicondyles. The superior surface of each condyle is smooth and flattened. These areas articulate with the medial and lateral condyles of the femur to form the knee joint. Between the articulating surfaces of the tibial condyles is the intercondylar eminence, an irregular, elevated area that serves as the inferior attachment point for two supporting ligaments of the knee.

The tibial tuberosity is an elevated area on the anterior side of the tibia, near its proximal end. It is the final site of attachment for the muscle tendon associated with the patella. More inferiorly, the shaft of the tibia becomes triangular in shape. The anterior apex of this triangle forms the anterior border of the tibia, which begins at the tibial tuberosity and runs inferiorly along the length of the tibia. Both the anterior border and the medial side of the triangular shaft are located immediately under the skin and can be easily palpated along the entire length of the tibia. A small ridge running down the lateral side of the tibial shaft is the interosseous border of the tibia. This is the attachment site of the interosseous membrane of the leg, the sheet of dense connective tissue that connects the tibia and fibula bones. Located on the posterior side of the tibia is the soleal line, a diagonally running, roughened ridge that begins below the base of the lateral condyle and runs down and medially across the proximal third of the posterior tibia. Muscles of the posterior leg attach to this line.

The large expansion found on the medial side of the distal tibia is the medial malleolus (“little hammer”). This forms the large bony bump found on the medial side of the ankle region. Both the smooth surface on the inside of the medial malleolus and the smooth area at the distal end of the tibia articulate with the talus bone of the foot as part of the ankle joint. On the lateral side of the distal tibia is a wide groove called the fibular notch. This area articulates with the distal end of the fibula, forming the distal tibiofibular joint.

Fibula

The fibula is the slender bone located on the lateral side of the leg (see Figure 8.4). The fibula does not bear weight. It serves primarily for muscle attachments and thus is largely surrounded by muscles. Only the proximal and distal ends of the fibula can be palpated.

The head of the fibula is the small, knob-like, proximal end of the fibula. It articulates with the inferior aspect of the lateral tibial condyle, forming the proximal tibiofibular joint. The thin shaft of the fibula has the interosseous border of the fibula, a narrow ridge running down its medial side for the attachment of the interosseous membrane that spans the fibula and tibia. The distal end of the fibula forms the lateral malleolus, which forms the easily palpated bony bump on the lateral side of the ankle. The deep (medial) side of the lateral malleolus articulates with the talus bone of the foot as part of the ankle joint. The distal fibula also articulates with the fibular notch of the tibia.

The Foot

Tarsal Bones

The posterior half of the foot is formed by seven tarsal bones (Figure 8.5). The most superior bone is the talus. This has a relatively square-shaped, upper surface that articulates with the tibia and fibula to form the ankle joint. Three areas of articulation form the ankle joint: The superomedial surface of the talus articulates with the medial malleolus of the tibia, the top of the talus articulates with the distal end of the tibia, and the lateral side of the talus articulates with the lateral malleolus of the fibula. Inferiorly, the talus articulates with the calcaneus, the largest bone of the foot, which forms the heel. Body weight is transferred from the tibia to the talus to the calcaneus, which rests on the ground. The medial calcaneus has a prominent bony extension called the sustentaculum tali (“support for the talus”) that supports the medial side of the talus bone.

The cuboid bone articulates with the anterior end of the calcaneus bone. The cuboid has a deep groove running across its inferior surface, which provides passage for a muscle tendon. The talus bone articulates anteriorly with the navicular bone, which in turn articulates anteriorly with the three cuneiform (“wedgeshaped”) bones. These bones are the medial cuneiform, the intermediate cuneiform, and the lateral cuneiform. Each of these bones has a broad superior surface and a narrow inferior surface, which together produce the transverse (medial-lateral) curvature of the foot. The navicular and lateral cuneiform bones also articulate with the medial side of the cuboid bone.

Figure 8.5 Bones of the foot

Metatarsal Bones

The anterior half of the foot is formed by the five metatarsal bones, which are located between the tarsal bones of the posterior foot and the phalanges of the toes (see Figure 8.5). These elongated bones are numbered 1–5, starting with the medial side of the foot. The first metatarsal bone is shorter and thicker than the others. The second metatarsal is the longest. The base of the metatarsal bone is the proximal end of each metatarsal bone. These articulate with the cuboid or cuneiform bones. The base of the fifth metatarsal has a large, lateral expansion that provides for muscle attachments. This expanded base of the fifth metatarsal can be felt as a bony bump at the midpoint along the lateral border of the foot. The expanded distal end of each metatarsal is the head of the metatarsal bone. Each metatarsal bone articulates with the proximal phalanx of a toe to form a metatarsophalangeal joint. The heads of the metatarsal bones also rest on the ground and form the ball (anterior end) of the foot.

Phalanges

The toes contain a total of 14 phalanx bones (phalanges), arranged in a similar manner as the phalanges of the fingers (see Figure 8.5). The toes are numbered 1–5, starting with the big toe (hallux) on the medial side of the foot. The big toe has two phalanx bones, the proximal and distal phalanges. The remaining toes all have proximal, middle, and distal phalanges. A joint between adjacent phalanx bones is called an interphalangeal joint.

Source Material

All images and the text found in this section are a derivative of "Anatomy and Physiology" by OpenStax CNX used under CC BY 4.0. Aug 2, 2019. Download the original text for free at http://cnx.org/contents/14fb4ad739a1-4eee-ab6e-3ef2482e3e22@16.1

Pre-assessment

Matching

Coccyx, Femur, Fibula, Os Coxa, Phalanges, Patella, Sacrum, Tibia

Activities

Bone ID on Models

Associated SLO

  • Identify bones and bone features of the lower limb on an articulated skeleton, disarticulated bones, bone models, and/or on a picture/diagram Required Materials

  • Colored tape or post-it notes

  • Marker

  • Disarticulated bones or partial skeletons of the leg o Os coxa, femur, fibula, tibia, patella, & foot

Procedure

This activity will be completed individually or in small groups. Using the disarticulated bones and/or partial skeletons in lab, use the provided structure lists to label the bones and bone features.

  1. Write the number that corresponds to each bone or bone feature from the lists below on a piece of colored tape or post-it.

  2. Place the tape/post-it on the correct area for each bone or bone feature.

  3. When you have labeled all structures from the list, take the designated pictures that allow all labeled structures to be clearly seen.

  4. Upload each picture to the associated prompt in Lt.

Check Your Understanding

  1. Label the following structures of the os coxa:

#

Bone or bone feature

#

Bone or bone feature

#

Bone or bone feature

1

Sacrum

7

Sacroiliac joint

13

Pubic symphysis

2

Coccyx

8

Obturator foramen

14

Iliac crest

3

Ilium

9

Ischial spine

15

Iliac fossa

4

Ischium

10

Ischial tuberosity

16

Greater sciatic notch

5

Pubis

11

Anterior superior iliac spine

6

Acetabulum

12

Anterior inferior iliac spine

  1. Label the following structures of the femur:

#

Bone feature

#

Bone feature

#

Bone feature

1

Head

5

Fovea capitis

9

Medial condyle

2

Neck

6

Greater trochanter

10

Lateral condyle

3

Shaft

7

Lesser trochanter

11

Medial epicondyle

4

Linea aspera

8

Gluteal tuberosity

12

Lateral epicondyle

  1. Label the patella

  2. Label the following structures of the tibia:

#

Bone feature

1

Tibial tuberosity

2

Intercondylar eminence

3

Medial condyle

4

Lateral condyle

5

Anterior border

6

Medial malleolus

  1. Label the following structures of the fibula:

#

Bone feature

1

Head

2

Lateral malleolus

  1. Label the following structures of the foot:

#

Bone or bone feature

#

Bone or bone feature

#

Bone or bone feature

1

Calcaneus

5

Lateral cuneiform

9

Proximal phalange

2

Talus

6

Intermediate cuneiform

10

Middle phalange

3

Navicular

7

Medial cuneiform

11

Distal phalange

4

Cuboid

8

Metatarsals

Bone ID on Figures

Associated SLO

  • Identify bones and bone features of the lower limb on an articulated skeleton, disarticulated bones, bone models, and/or on a picture/diagram

Required Materials

  • None

Procedure

Label the following diagrams with the appropriate bone features using the terms from the tables in the previous activity.

Check your understanding

Lesson 9: The Lower Limb – Muscles

Created by Gabriella Sandberg

Introduction

The muscles of the leg position and stabilize the pelvic girdle and work with the bones of the leg to allow you to stand, walk, and run. In this lesson, students will identify the muscles of the leg and work to understand their function via muscle attachments, actions, and innervation.

Student Learning Outcomes (SLOs):

By the end of this lesson you will be able to:

  1. Identify muscles of the leg on a model, figure, diagram, and/or dissected material.

  2. Precisely describe the action(s) for each muscle.

  3. For select muscles, identify their points of attachment (origins and insertions).

  4. Name the nerve that innervates each muscle.

Background Information

The previous lesson described the bones of the pelvic girdle whose major function is to stabilize and support the body. That function is reflected in the structure of the pelvic girdle which allows very little movement because of its connection with the sacrum at the base of the axial skeleton. If the pelvic girdle, which attaches the lower limbs to the torso, were capable of the same range of motion as the pectoral girdle then walking would expend more energy and simple tasks such as standing up would be much more difficult. The muscles of the leg support the pelvic girdle and the body’s stabilization, posture, and movement via their size and power through limited range of motion.

Thigh Muscles

Muscles That Act on the Hip and Femur

Figure 9.1 Hip and thigh muscles

Most muscles that originate on the pelvic girdle and insert on the femur (or thigh bone) have actions at the hip and move the femur. Some of the largest and most powerful muscles in the body are the gluteal muscles. The gluteus maximus is the largest of the gluteal muscles, and also the most superficial. The gluteus medius is just deep to the gluteus maximus, and the gluteus minimus is deep to the gluteus medius. The psoas (pronounced so-as) major and iliacus muscles merge to become the iliopsoas at the lesser trochanter. The iliopsoas is potentially the strongest flexor of the hip.

The tensor fascia latae is a thick, square-shaped muscle in the superior aspect of the lateral thigh. It acts as a synergist of the gluteus medius and iliopsoas in flexing and abducting the thigh. It also helps stabilize the lateral aspect of the knee by pulling on the iliotibial tract (IT band), making it taut. Deep to the gluteus maximus, the piriformis, obturator internus, obturator externus, superior gemellus, inferior gemellus, and quadratus femoris laterally rotate the femur at the hip.

The adductor longus, adductor brevis, and adductor magnus can both medially and laterally rotate the thigh depending on the placement of the foot. The adductor longus flexes the thigh, whereas the adductor magnus extends it. The pectineus adducts and flexes the femur at the hip as well. The pectineus is located in the femoral triangle, which is formed at the junction between the hip and the leg, and includes the femoral nerve, the femoral artery, the femoral vein, and the deep inguinal lymph nodes.

Table 9.1 Muscles of the Hip and Thigh
Muscle Name

Primary Action

Attachment 1 (Origin)

Attachment 2 (Insertion)

Innervation

Iliopsoas

Flex and laterally rotate thigh; flex torso

(Psoas major)

Lumbar vertebrae (L1-L5); thoracic vertebra (T12)

(Iliacus) Iliac fossa;

iliac crest; lateral sacrum

Lesser trochanter

Femoral nerve

Gluteus maximus

Extend thigh

Dorsal ilium; sacrum; coccyx

Gluteal tuberosity of femur; iliotibial tract

Inferior gluteal nerve

Gluteus medius

Abduct thigh

Superior lateral surface of ilium

Greater trochanter of femur

Superior gluteal nerve

Gluteus minimus

Abduct thigh

Inferior lateral surface of ilium

Greater trochanter of femur

Superior gluteal nerve

Tensor fascia latae

Flex and abduct thigh

Anterior aspect of iliac crest; anterior superior iliac spine

Iliotibial tract

Superior gluteal nerve

Adductor longus

Adduct and medially rotate thigh; flex thigh

Pubis near pubic symphysis

Linea aspera

Obturator nerve

Adductor brevis

Adduct and flex thigh

Body of pubis; inferior ramus of pubis

Linea aspera

Obturator nerve

Adductor magnus

Adduct and medially rotate thigh; extend thigh

Ischial rami; pubic rami; ischial tuberosity

Linea aspera; adductor tubercle

Obturator nerve

PectineusAdduct, flex and medially rotate thighPectineal line of pubisLesser trochanter and linea asperaFemoral nerve

Thigh Muscles That Act on the Femur, Tibia, and Fibula

Deep fascia in the thigh separates it into medial, anterior, and posterior compartments (see Figure 9.1). The muscles in the medial compartment of the thigh are responsible for adducting the femur at the hip. Along with the adductor longus, adductor brevis, adductor magnus, and pectineus, the strap-like gracilis adducts the thigh in addition to flexing the leg at the knee.

The muscles of the anterior compartment of the thigh flex the thigh and extend the leg. This compartment contains the quadriceps femoris group, which actually comprises four muscles that extend and stabilize the knee. The rectus femoris is on the anterior aspect of the thigh, the vastus lateralis is on the lateral aspect of the thigh, the vastus medialis is on the medial aspect of the thigh, and the vastus intermedius is between the vastus lateralis and vastus medialis and deep to the rectus femoris. The tendon common to all four is the quadriceps tendon, which inserts on to the patella and continues to become the patellar ligament. The patellar ligament attaches to the tibial tuberosity. In addition to the quadriceps femoris, the sartorius is a band-like muscle that extends from the anterior superior iliac spine to the medial side of the proximal tibia. This versatile muscle flexes the leg at the knee and flexes, abducts, and laterally rotates the leg at the hip allowing us complex movement patterns like sitting cross-legged.

The posterior compartment of the thigh includes muscles that flex the leg and extend the thigh. The three long muscles on the back of the knee function to flex the knee and are commonly known as the hamstring group – the biceps femoris, semitendinosus, and semimembranosus. The tendons of these muscles form the popliteal fossa, the diamond-shaped space at the back of the knee.

Table 9.2 Thigh Muscles that Move the Femur, Tibia, and Fibula
Muscle Name

Primary Action

Attachment 1 (Origin)

Attachment 2 (Insertion)

Innervation

Gracilis

Adduct thigh and flex knee

Inferior ramus and body of pubis; ischial ramus

Medial surface of tibia

Obturator nerve

Sartorius

Flex, abduct and laterally rotate thigh; flex knee

Anterior superior iliac spine

Medial aspect of proximal tibia

Femoral nerve

Rectus femoris

Extend knee; flex thigh

Anterior inferior iliac spine; superior

margin of acetabulum

Patella; tibial tuberosity

Femoral nerve

Vastus lateralis

Extend knee

Greater trochanter; linea aspera

Patella; tibial tuberosity

Femoral nerve

Vastus medialis

Extend knee

Linea aspera

Patella; tibial tuberosity

Femoral nerve

Vastus intermediusExtend kneeProximal femur shaftPatella; tibial tuberosityFemoral nerve
Biceps femoris

Extend and laterally

rotate thigh; flex knee

Ischial tuberosity;

linea aspera; distal femur

Fibular head; lateral condyle of tibiaSciatic nerve
SemitendinosusExtend and medially rotate thigh; flex kneeIschial tuberosityMedial, upper tibial shaftSciatic nerve
SemimembranosusExtend and medially rotate thigh; flex kneeIschial tuberosityMedial condyle of tibiaSciatic nerve

Muscles of the Lower Leg

Similar to the thigh muscles, the muscles of the leg are divided by deep fascia into compartments, although the lower leg has three: anterior, lateral, and posterior (Figure 9.2).

The muscles in the anterior compartment of the leg all contribute to raising the front of the foot when they contract and are the tibialis anterior (a long and thick muscle on the lateral surface of the tibia), the extensor hallucis longus (deep under the tibialis anterior), and the extensor digitorum longus (lateral to the tibialis anterior).

Figure 9.2 Muscles of the lower leg

The lateral compartment of the leg includes two muscles: the fibularis longus (peroneus longus) and the fibularis brevis (peroneus brevis). The superficial muscles in the posterior compartment of the leg all insert onto the calcaneal tendon (Achilles tendon), a strong tendon that inserts into the calcaneal bone of the ankle. The muscles in this compartment are large and strong and play an important role in our upright posture. The most superficial and visible muscle of the calf is the gastrocnemius. Deep to the gastrocnemius is the wide, flat soleus. The plantaris runs obliquely between the two and is another good example of anatomical variation between individuals: some people may have two of these muscles, whereas no plantaris is observed in about seven percent of other cadaver dissections. The plantaris tendon is commonly used as a substitute for the fascia latae in hernia repair, tendon transplants, and repair of ligaments. There are four deep muscles in the posterior compartment of the leg: the popliteus, flexor digitorum longus, flexor hallucis longus, and tibialis posterior.

The foot has intrinsic muscles, which originate and insert within it (similar to the intrinsic muscles of the hand).

These muscles primarily provide support for the foot and its arch and contribute to movements of the toes (Figure 9.3). The principal support for the longitudinal arch of the foot is a deep fascia called plantar aponeurosis, which runs from the calcaneus bone to the toes (inflammation of this tissue is the cause of “plantar fasciitis,” which is a common affliction for runners). The intrinsic muscles of the foot consist of two groups. The dorsal group includes only one muscle, the extensor digitorum brevis. The second group is the plantar group, which consists of four layers.

Figure 9.3 Muscles of the foot

Table 9.3 Muscles that Move the Feet Toes
Muscle Name

Primary Action

Attachment 1 (Origin)

Attachment 2 (Insertion)

Innervation

Gastrocnemius

Plantar flex foot; flex knee

Medial and lateral condyles of femur

Posterior calcaneus

Tibial nerve

Soleus

Plantar flex foot

Superior tibia; fibula; interosseous membrane

Posterior calcaneus

Tibial nerve

Plantaris

Flex knee; plantar flex foot

Posterior femur above lateral condyle

Calcaneus or calcaneus tendon

Tibial nerve

Tibialis anterior

Dorsiflex and invert foot

Lateral condyle and upper tibial shaft;

interosseus membrane

Interior surface of medial cuneiform;

first metatarsal

bone

Deep fibular nerve

Tibialis posterior

Plantar flex foot

Superior tibia and

fibula; interosseous membrane

Tarsal bones; metatarsals 2-4

Tibial nerve

Flexor digitorum longus

Plantar flex and invert foot; flex toes

Posterior tibia

Distal phalanges of toes 2-5

Tibial nerve

Flexor hallucis longus

Plantar flex foot; flex big toe

Midshaft of fibula;

interosseous membrane

Distal phalanx of big toe

Tibial nerve

Fibularis longus

Plantar flex and evert foot

Upper portion of lateral fibula

First metatarsal; medial cuneiform

Superficial fibular nerve

Source Material

All images and the text found in this section are a derivative of "Anatomy and Physiology" by OpenStax CNX used under CC BY 4.0. Aug 2, 2019. Download the original text for free at http://cnx.org/contents/14fb4ad739a1-4eee-ab6e-3ef2482e3e22@16.1

Activities

Muscle ID on Models

Associated SLOs

1. Identify muscles of the leg on a model, figure, diagram, and/or dissected material.

Required Materials

  • Colored tape or post-it notes

  • Sharpie or marker

  • Leg model of the lower limb

Procedure

This activity will be completed individually or in small groups. Using the leg models in lab, use the provided structure lists to label the muscles.

  1. Write the number that corresponds to each muscle from the lists below on a piece of colored tape or post-it.

  2. Place the tape/post-it on the correct area for each muscle.

  3. When you have labeled all muscles from the list, take the designated pictures that allow all labeled muscles to be clearly seen.

  4. Upload each picture to the associated prompt in Lt.

Check Your Understanding

  1. Hip & thigh muscles

    1. Iliopsoas

    2. Sartorius

    3. Gracilis

    4. Pectineus

    5. Adductor brevis

    6. Adductor longus

    7. Adductor magnus

    8. Rectus femoris

    9. Vastus lateralis

    10. Vastus intermedius

    11. Vastus medialis

    12. Tensor fasciae latae

    13. Gluteus maximus

    14. Gluteus medius

    15. Gluteus minimus

    16. Biceps femoris

    17. Semitendinosus

    18. Semimembranosus

  2. Lower leg muscles

    1. Gastrocnemius

    2. Soleus

    3. Plantaris

    4. Tibialis posterior

    5. Flexor digitorum longus

    6. Flexor hallucis longus

    7. Tibialis anterior

    8. Fibularis longus

Muscle ID on Diagrams

Associated SLOs

1. Identify muscles of the leg on a model, figure, diagram, and/or dissected material.

Required Materials

• None

Procedure

This activity will be completed individually or in small groups. Refer to the background information as needed to label the diagrams below.

Check your understanding

3. Label the following diagrams with the appropriate muscle name using the tables in the background information as your source of muscle names.

Muscle Actions

You need to know all actions for all muscles listed in Tables 9.1-9.3 in the background information. During the practical you could either be provided with a set of actions and asked to identify the muscle or be provided with a muscle name and asked to provide one example of an action. If you are asked to provide one example of an action for a given muscle then you must be specific and precise with your language. Use what is provided in Tables 9.1-9.3 as your only reference because you will be expected to describe muscle actions in the exact same manner as it is presented in the tables. Partial credit will not be given for actions. For example, stating that the gastrocnemius “Moves the leg,” is non-specific and would be marked as incorrect. Possible correct answers for the gastrocnemius would include:

  • Plantar flexes the foot and flexes knee

  • Plantar flexes the foot

  • Flexes knee

Associated SLOs

2. Precisely describe the action(s) for each muscle.

Required Materials

• None

Procedure

This activity will be completed individually or in small groups. Refer to the background information as needed to help answer the questions below.

Check your understanding

  1. Complete the table on muscle actions.

Muscle Name

Action(s)

Extend thigh (only action)

Semimembranosus

Adduct and medially rotate thigh; flex thigh

Flex, abduct and laterally rotate thigh; flex knee

Dorsiflex and invert foot

Flexor hallucis longus
Vastus medialis
Gluteus minimus
Gastrocnemius
Extend and laterally rotate thigh; flex knee
  1. List all of the anterior thigh muscles that function to extend the knee. What is the common name for this muscle group?

  2. List all of the posterior thigh muscles that function to flex the knee. What is the common name for this muscle group?

  3. Use the muscle anatomy of the lower leg to describe why you can move your big toe independently of your other toes.

Muscle Attachments

You need to know all attachment points (origins and insertions, found in Tables 9.1-9.3) for the muscles listed below. The list focuses on muscles with attachments on bones and bone features that you are learning concurrently and the major players involved in common body movements. Like muscle actions, you need to be precise with your answers which should include the name of the bone(s) and/or bone feature(s) and directional terms (anterior, proximal, lateral, etc.) when possible. Partial credit will not be given for attachments.

Hip and Thigh Muscles

Lower Leg Muscles

Gluteus maximus

Gastrocnemius

Gluteus medius

Soleus

Gluteus minimus

Plantaris

Sartorius

Tibialis posterior

Gracilis

Flexor digitorum longus

Rectus femoris

Tibialis anterior

Vastus lateralis

Fibularis longus

Vastus intermedius
Vastus medialis
Biceps femoris
Semitendinosus
Semimembranosus

Associated SLOs

3. For select muscles, identify their points of attachment (origins and insertions).

Required Materials

• None

Procedure

This activity will be completed individually or in small groups. Refer to the background information as needed to help answer the questions below.

Check your understanding

8. Complete the table on muscle actions.

Muscle Name Attachment 1 (Origin)

Attachment 2 (Insertion)

Medial surface of tibia

Tibialis posterior
Rectus femoris
Dorsal ilium; sacrum; coccyx

Medial condyle of tibia

Inferior lateral surface of ilium

Fibularis longus

Flexor digitorum longus

Superior lateral surface of ilium

Fibular head; lateral condyle of tibia

Muscle Innervation

Associated SLOs

4. Name the nerve that innervates each muscle.

Required Materials

• None

Procedure

This activity will be completed individually or in small groups. Refer to the background information as needed to help answer the questions below.

Check your understanding

  1. List all of the muscles innervated by the femoral nerve.

  2. List all of the muscles innervated by the obturator nerve.

  3. List all of the muscles innervated by the tibial nerve.

  4. List all of the muscles innervated by the sciatic nerve.

Lesson 10: The Lower Limb – Joints

Created by Gabriella Sandberg

Introduction

In this lesson you will learn the synovial joints of the lower limb and the major movements allowed at those joint.

Student Learning Outcomes (SLOs):

  1. Identify key structures for the joints associated with the lower limb: hip, knee, and ankle.

  2. Describe and demonstrate movements allowed at joints associated with the lower limb.

Background Information

Joint classification, general structure, and actions allowed at synovial joints was previously covered in Lesson 7. This lesson will focus on the synovial joints of the lower limb: the hip, knee, and ankle. As you read about each joint, consider the type of movement allowed at each joint (ex: flexion, abduction, inversion etc.).

The Hip

The hip joint is a ball-and-socket joint between the head of the femur and the acetabulum of the hip bone (Figure 10.1). The hip carries the weight of the body and thus requires strength and stability during standing and walking. For these reasons, its range of motion is more limited than the shoulder joint.

The acetabulum is the socket portion of the hip joint. This space is deep and has a large articulation area for the femoral head, thus giving stability and weight bearing ability to the joint. The acetabulum is further

deepened by the acetabular labrum, a fibrocartilage lip attached to the outer margin of the acetabulum. The surrounding articular capsule is strong, with several thickened areas forming intrinsic ligaments. These

ligaments arise from the hip bone, at the margins of the acetabulum, and attach to the femur at the base of

the neck. The ligaments are the iliofemoral ligament, pubofemoral ligament, and ischiofemoral ligament, all of which spiral around the head and neck of the femur. The ligaments are tightened by extension at the hip, thus pulling the head of the femur tightly into the acetabulum when in the upright, standing position. Very little

additional extension of the thigh is permitted beyond this vertical position. These ligaments thus stabilize the

hip joint and allow you to maintain an upright standing position with only minimal muscle contraction. Inside of the articular capsule, the ligament of the head of the femur (ligamentum teres) spans between the

acetabulum and femoral head. This intracapsular ligament is normally slack and does not provide any significant joint support, but it does provide a pathway for an important artery that supplies the head of the femur.

Figure 10.1 Hip Joint (a) The ball-and-socket joint of the hip is a multiaxial joint that provides both stability and a wide range of motion. (b–c) When standing, the supporting ligaments are tight, pulling the head of the femur into the acetabulum.

The Knee

The knee joint is the largest joint of the body (Figure 10.2). It actually consists of three articulations. The femoropatellar joint is found between the patella and the distal femur. The medial tibiofemoral joint and lateral tibiofemoral joint are located between the medial and lateral condyles of the femur and the medial and lateral condyles of the tibia. All of these articulations are enclosed within a single articular capsule. The knee functions as a hinge joint, allowing flexion and extension of the leg. This action is generated by both rolling and gliding motions of the femur on the tibia. In addition, some rotation of the leg is available when the knee is flexed, but not when extended. The knee is well constructed for weight bearing in its extended position, but is vulnerable to injuries associated with hyperextension, twisting, or blows to the medial or lateral side of the joint, particularly while weight bearing.

At the femoropatellar joint, the patella slides vertically within a groove on the distal femur. The patella is a sesamoid bone incorporated into the tendon of the quadriceps femoris muscle, the large muscle of the anterior thigh. The patella serves to protect the quadriceps tendon from friction against the distal femur. Continuing from the patella to the anterior tibia just below the knee is the patellar ligament. Acting via the patella and patellar ligament, the quadriceps femoris is a powerful muscle that acts to extend the leg at the knee. It also serves as a “dynamic ligament” to provide very important support and stabilization for the knee joint.

The medial and lateral tibiofemoral joints are the articulations between the rounded condyles of the femur and the relatively flat condyles of the tibia. During flexion and extension motions, the condyles of the femur both roll and glide over the surfaces of the tibia. The rolling action produces flexion or extension, while the gliding action serves to maintain the femoral condyles centered over the tibial condyles, thus ensuring maximal bony, weight-bearing support for the femur in all knee positions. As the knee comes into full extension, the femur undergoes a slight medial rotation in relation to tibia. The rotation results because the lateral condyle of the femur is slightly smaller than the medial condyle. Thus, the lateral condyle finishes its rolling motion first, followed by the medial condyle. The resulting small medial rotation of the femur serves to “lock” the knee into its fully extended and most stable position. Flexion of the knee is initiated by a slight lateral rotation of the femur on the tibia, which “unlocks” the knee. This lateral rotation motion is produced by the popliteus muscle of the posterior leg.

Located between the articulating surfaces of the femur and tibia are two articular discs, the medial meniscus and lateral meniscus (see Figure 10.2b). Each is a C-shaped fibrocartilage structure that is thin along its inside margin and thick along the outer margin. They are attached to their tibial condyles, but do not attach to the femur directly. While both menisci are free to move during knee motions, the medial meniscus shows less movement because it is anchored at its outer margin to the articular capsule and tibial collateral ligament. The menisci provide padding between the bones and help to fill the gap between the round femoral condyles and flattened tibial condyles. Some areas of each meniscus lack an arterial blood supply and thus these areas heal poorly if damaged.

The knee joint has multiple ligaments that provide support, particularly in the extended position (see Figure

10.2c). Outside of the articular capsule, located at the sides of the knee, are two extrinsic ligaments. The

fibular collateral ligament (lateral collateral ligament) is on the lateral side and spans from the lateral epicondyle of the femur to the head of the fibula. The tibial collateral ligament (medial collateral ligament) of the medial knee runs from the medial epicondyle of the femur to the medial tibia. As it crosses the knee, the tibial collateral ligament is firmly attached on its deep side to the articular capsule and to the medial meniscus, an important factor when considering knee injuries. In the fully extended knee position, both collateral ligaments are taut (tight), thus serving to stabilize and support the extended knee and preventing side-to-side or rotational motions between the femur and tibia.

The articular capsule of the posterior knee is thickened by intrinsic ligaments that help to resist knee hyperextension. Inside the knee are two intracapsular ligaments, the anterior cruciate ligament and posterior cruciate ligament. These ligaments are anchored inferiorly to the tibia at the intercondylar eminence, the roughened area between the tibial condyles. The cruciate ligaments are named for whether they are attached anteriorly or posteriorly to this tibial region. Each ligament runs diagonally upward to attach to the inner aspect of a femoral condyle. The cruciate ligaments are named for the X-shape formed as they pass each other (cruciate means “cross”). The posterior cruciate ligament is the stronger ligament. It serves to support the knee when it is flexed and weight bearing, as when walking downhill. In this position, the posterior cruciate ligament prevents the femur from sliding anteriorly off the top of the tibia. The anterior cruciate ligament becomes tight when the knee is extended, and thus resists hyperextension.

Figure 10.2 Knee Joint (a) The knee joint is the largest joint of the body. (b)–(c) It is supported by the tibial and fibular collateral ligaments located on the sides of the knee outside of the articular capsule, and the anterior and posterior cruciate ligaments found inside the capsule. The medial and lateral menisci provide padding and support between the femoral condyles and tibial condyles.

The Ankle and Foot

The ankle is formed by the talocrural joint (Figure 10.3). It consists of the articulations between the talus bone of the foot and the distal ends of the tibia and fibula of the leg (crural = “leg”). The superior aspect of the talus bone is square-shaped and has three areas of articulation. The top of the talus articulates with the inferior tibia. This is the portion of the ankle joint that carries the body weight between the leg and foot. The sides of the talus are firmly held in position by the articulations with the medial malleolus of the tibia and the lateral malleolus of the fibula, which prevent any side-to-side motion of the talus. The ankle is thus a uniaxial hinge joint that allows only for dorsiflexion and plantar flexion of the foot.

Additional joints between the tarsal bones of the posterior foot allow for the movements of foot inversion and eversion. Most important for these movements is the subtalar joint, located between the talus and calcaneus bones. The joints between the talus and navicular bones and the calcaneus and cuboid bones are also important contributors to these movements. All of the joints between tarsal bones are plane joints. Together, the small motions that take place at these joints all contribute to the production of inversion and eversion foot motions.

Like the hinge joints of the elbow and knee, the talocrural joint of the ankle is supported by several strong ligaments located on the sides of the joint. These ligaments extend from the medial malleolus of the tibia or lateral malleolus of the fibula and anchor to the talus and calcaneus bones. Since they are located on the sides of the ankle joint, they allow for dorsiflexion and plantar flexion of the foot. They also prevent abnormal sideto-side and twisting movements of the talus and calcaneus bones during eversion and inversion of the foot. On the medial side is the broad deltoid ligament. The deltoid ligament supports the ankle joint and also resists excessive eversion of the foot. The lateral side of the ankle has several smaller ligaments. These include the anterior talofibular ligament and the posterior talofibular ligament, both of which span between the talus bone and the lateral malleolus of the fibula, and the calcaneofibular ligament, located between the calcaneus bone and fibula. These ligaments support the ankle and also resist excess inversion of the foot.

Figure 10.3 Ankle Joint. The talocrural (ankle) joint is a uniaxial hinge joint that only allows for dorsiflexion or plantar flexion of the foot. Movements at the subtalar joint, between the talus and calcaneus bones,

combined with motions at other intertarsal joints, enables eversion/inversion movements of the foot.

Ligaments that unite the medial or lateral malleolus with the talus and calcaneus bones serve to support the talocrural joint and to resist excess eversion or inversion of the foot.

Source Material

All images and the text found in this section are a derivative of "Anatomy and Physiology" by OpenStax CNX used under CC BY 4.0. Aug 2, 2019. Download the original text for free at http://cnx.org/contents/14fb4ad739a1-4eee-ab6e-3ef2482e3e22@16.1

Activities

Joint Actions

Associated SLO

  • Describe and demonstrate movements allowed at joints associated with the lower limb: hip, knee, and ankle

Required Materials

  • None

Procedure

This activity will be completed individually or in small groups. Refer to the background information as needed to help answer the questions below.

Check Your Understanding 1. Complete the table.

ActionDefinitionExample Joint
Flexion
Extension
Hyperextension
Abduction
Adduction
Lateral Rotation
Medial Rotation
Plantar Flexion
Dorsiflexion
Inversion
Eversion

Labeling Joint Structures

Associated SLO

  • Identify key structures for joints associated with the lower limb: hip, knee, and ankle Required Materials

  • Joint models

Procedure

This activity will be completed individually or in small groups. Refer to the background information as needed to help answer the questions below.

Check your understanding

2. Label the following diagrams with the appropriate joint structures.

Lesson 11: The Lower Limb – Nerves

Created by Gabriella Sandberg

Introduction

Motor nerves arise from the spinal cord to provide innervation to all muscles. In this lesson you will learn about the nerves that innervate the muscles of the leg.

Student Learning Outcomes (SLOs):

By the end of Module 2, students will be able to:

1. Identify the nerves and nerve plexuses that control muscles of the leg.

Background Information

Spinal Nerves

Nerves connected to the spinal cord that innervate the body’s periphery are called spinal nerves. All of the spinal nerves include axons of neurons carrying both sensory information toward the central nervous system and motor information away from the central nervous system. The anatomy and organization of spinal nerves is discussed in detail in Lesson 22. Spinal nerves can continue to directly form peripheral nerves or axons from different spinal nerves can be reorganized to follow different courses in the periphery. Axon reorganization happens at four places along the length of the vertebral column, each identified as a nerve plexus.

Nerve Plexuses

Of the four nerve plexuses, two are found at the cervical level (discussed in Lesson 16), one at the lumbar level, and one at the sacral level (Figure 11.1). The lumbar plexus arises from all of the lumbar spinal nerves and gives rise to nerves innervating the pelvic region and the anterior leg. The femoral nerve is one of the major nerves from this plexus, which gives rise to the saphenous nerve as a branch that extends through the anterior lower leg. The sacral plexus comes from the lower lumbar nerves L4 and L5 and the sacral nerves S1 to S4. The most significant systemic nerve to come from this plexus is the sciatic nerve, which is a combination of the tibial nerve and the fibular nerve. The sciatic nerve extends across the hip joint and is most commonly associated with the condition sciatica, which is the result of compression or irritation of the nerve or any of the spinal nerves giving rise to it.

Nerves of the Leg

The major peripheral nerves of the leg diverge and spread in order to innervate structures of the leg including leg muscles (Figure 11.2, Tables 11.1 and 11.2). The femoral nerve supplies innervation to the muscles of the anterior thigh region which includes the hip flexors and the knee extensors. The obturator nerve supplies innervation to the medial aspect of the thigh. The pudendal nerve supplies innervation to the muscles of the pelvic floor. The sciatic nerve supplies innervation to the posterior thigh region. The sciatic nerve splits into the common fibular and tibial nerves. The tibial nerve supplies innervation the posterior aspect of the calf, as well as the lateral and plantar regions of the foot. The common fibular nerve does not innervate any muscles directly before it splits into the superficial and deep fibular nerves. The superficial fibular nerve supplies innervation the muscles of the lateral aspect of the calf, while the deep fibular nerve supplies innervation to the anterior aspect of the calf. Both fibular nerves provide some innervation to the dorsal region of the foot as well.

Figure 11.1 Lumbar and Sacral Nerve Plexuses.

Figure 11.2 Nerves of the Leg. The major nerves of the leg include the femoral, sciatic, obturator, superior and inferior gluteal, deep and superficial fibular, tibial, pudendal, and medial and lateral plantar nerves. By Henry Vandyke Carter - Henry Gray (1918) Anatomy of the Human Body (See "Book" section below) Bartleby.com: Gray's Anatomy, Plate 827, Public Domain, https://commons.wikimedia.org/w/index.php?curid=541684

Table 11.1 Nerves of the Lumbar Plexus
NerveOrigin

Innervated Muscles

ObturatorL2-L4
  • Obturator externus

  • Adductor longus

  • Adductor brevis

  • Gracilis

  • Adductor magnus

FemoralL2-L4
  • Iliopsoas

  • Pectineus

  • Sartorius

  • Quadriceps femoris

Table 11.2 Nerves of the Sacral Plexus
Nerve

Origin

Innervated Muscles

Superior gluteal

L4-S1

  • Gluteus medius

  • Gluteus minimus

  • Tensor fascia latae

Inferior gluteal

L5-S2

• Gluteus maximus
Pudendal

S2-S4

• Muscles of the pelvic floor
Sciatic

L4-S3

  • Semitendinosus

  • Semimembranosus

  • Biceps femoris

Tibial

L4-S3

  • Plantaris

  • Gastrocnemius

  • Popliteus

  • Tibialis posterior

  • Flexor digitorum longus

  • Flexor hallucis longus

Common fibular

L4-S2

• None
Deep fibular

From common fibular

  • Tibialis anterior

  • Extensor digitorum brevis

  • Extensor hallucis longus

  • Fibularis (peroneus) tertius

Superficial fibular

From common fibular

  • Fibularis (peroneus) longus

  • Fibularis (peroneus) brevis

Medial plantar

From tibial

• Lumbricals of the foot

•

Flexor digitorum brevis

•

Flexor hallucis brevis

•

Flexor digiti minimi brevis

•

Abductor hallucis

Lateral plantar

From tibial

•

•

•

Quadratus plantae

Lumbricals of the foot Abductor digiti minimi of the foot

Source Material

Most images and the text found in this section are a derivative of "Anatomy and Physiology" by OpenStax CNX used under CC BY 4.0. Aug 2, 2019. Download the original text for free at http://cnx.org/contents/14fb4ad739a1-4eee-ab6e-3ef2482e3e22@16.1

Activities

Nerve Plexus Anatomy

Associated SLO

  • Identify nerves of the lumbar plexus, sacral plexus, and lower limb Required Materials

  • Blank sheet of paper

  • Pen or pencil

  • Colored pens or pencils

Procedure

This activity will be completed individually or in small groups. Create your own schematic of the lumbar and sacral plexuses by drawing each on a blank sheet of paper. Your drawing can be as detailed as you would like, or it can simply be lines showing the delineation between the plexus and nerves.

Check Your Understanding List of Terms:

Lumbar plexus

  1. Femoral nerve

  2. Obturator

Sacral plexus

  1. Superior gluteal

  2. Inferior gluteal

  3. Pudendal nerve

  4. Sciatic nerve

Nerve Plexus ID on Diagrams

Associated SLO

  • Identify nerves of the lumbar plexus, sacral plexus, and lower limb

Required Materials

  • None

Procedure

Label the following diagrams with the appropriate key term

Check your understanding

This image is a derivative work of the following image: File:Gray822_es.svg licensed with PD-Gray's Anatomy plate. This file is licensed under the Creative Commons Attribution 3.0 Unported license: https://creativecommons.org/licenses/by/3.0/deed.en

Source material

By Henry Vandyke Carter - Henry Gray (1918) Anatomy of the Human Body (See "Book" section below)Bartleby.com:

Gray's Anatomy, Plate 827, Public Domain, https://commons.wikimedia.org/w/index.php?curid=541684

Nerve ID on Models

Associated SLO

  • Identify nerves of the lumbar plexus, sacral plexus, and lower limb Required Materials

  • Colored tape or post-it notes

  • Sharpie or marker

  • lower limb model

Procedure

This activity requires you to label the nerves of the lower limb on a model. You are provided a list of terms below and you are expected to use every term provided. Using colored tape or post-it notes, please write a number that corresponds to the term from the list and place them on your model. When complete, notify your TA so they may check your work. This activity contributes to the following SLOs:

1. Identify and describe skeletal, muscular, and nervous system structures for the lower limb

Check your understanding List of terms:

  1. Obturator nerve

  2. Femoral nerve

  3. Deep fibular nerve

  4. Superficial fibular nerve

  5. Medial plantar nerve

  6. Lateral plantar nerve

  7. Superior gluteal nerve

  8. Inferior gluteal nerve

  9. Pudendal nerve

  10. Sciatic nerve

  11. Tibial nerve

  12. Common fibular nerve

Lesson 12: The Lower Limb – Movement

Created by Gabriella Sandberg

Introduction

At this point, you have learned the bones, joints, muscles and nerves of the leg. In this lesson, you will apply the information from the previous lessons to a specific example of movement via the leg.

Student Learning Outcomes (SLOs):

1. Apply your knowledge of the skeletal, muscular, and nervous system structures of the leg to describe a specific example of leg movement.

Background Information

Review of Key Structures

Since this lesson will focus on movement at the knee, we will quickly review some of the key structures and movement found in the previous lessons (Figure 12.1). The major bones of the knee include the femur, the patella, the tibia, and the fibula to a lesser extent. As a hinge joint, the knee primarily allows flexion and extension of the leg. Recall there are two C-shaped fibrocartilage structures, the medial and lateral menisci, which are responsible for absorbing the stress from the weight of the rest of the body that is placed on the lower leg. Without the menisci, a great deal of stress would be placed to the superior surface of the tibia, in particular. There are several ligaments that help stabilize the knee joint. The most important ligaments are the anterior cruciate ligament, posterior cruciate ligament, the fibular (lateral) collateral ligament, and the tibial (medial) collateral ligament. The two cruciate ligaments are named because they cross within the knee joint and are named for where they attach on the tibia. The anterior cruciate ligament primarily prevents the tibia from sliding too far anteriorly or rotating too far internally. The posterior cruciate ligament’s primary function is to prevent hyperextension of the knee. The two collateral ligaments are found outside the knee joint. The tibial collateral ligament is fused to the articular capsule and medial meniscus. Because of this, the tibial collateral is far less flexible than the fibular collateral ligament. Both collateral ligaments serve to stabilize and support the knee while it is in extension.

Recall that the quadriceps femoris muscle group functions primarily to extend and stabilize the knee. All four muscles fuse together and pass over the patella to insert on the tibial tuberosity. As these muscles contract, they serve as a ‘dynamic ligament’, providing important support and stabilization to the knee joint (Table 12.2).

Figure 12.1 Major Structures of the Knee. Image by Mysid - Vectorized and colorized in Inkscape, based on Image:Knee diagram.png., Public Domain, https://commons.wikimedia.org/w/index.php?curid=4004042

Table 12.1 Muscles that extend and stabilize the knee
Name

Action

Attachment 1

Attachment 2

Nerve

Rectus femoris

Extends knee; flexes thigh

Anterior inferior iliac spine; superior

margin of acetabulum

Patella; tibial tuberosity

Femoral nerve

Vastus lateralis

Extends knee

Greater trochanter; linea apsera

Patella; tibial tuberosity

Femoral nerve

Vastus intermedius

Extends knee

Proximal femur shaft

Patella; tibial tuberosity

Femoral nerve

Vastus medialis

Extends knee

Linea aspera

Patella; tibial tuberosity

Femoral nerve

Common Knee Injuries

Injuries to the knee are common. Since this joint is primarily supported by muscles and ligaments, injuries to any of these structures can result in pain and/or knee instability. Most commonly, injury occurs when forces are applied to an extended knee, particularly when the foot is planted and unable to move. Anterior cruciate ligament injuries often result from a forceful blow to the anterior knee, producing unnatural hyperextension, or when a person makes a quick change of direction that both twists and hyperextends the knee.

More extensive injury can occur with a hit to the lateral side of the extended knee (Figure 12.2). A moderate blow to the lateral knee will cause the medial side of the joint to open, resulting in stretching or damage to the tibial collateral ligament. Because the medial meniscus is attached to the tibial collateral ligament, a strong blow can tear the ligament while also damaging the medial meniscus. This is one reason that the medial meniscus is 20 times more likely to be injured than the lateral meniscus. A powerful blow to the lateral knee produces an “unhappy triad” injury, in which there is a sequential injury to the tibial collateral ligament, medial meniscus, and anterior cruciate ligament.

Figure 12.2 Knee Injury due to application of force to the lateral knee

Source Material

Most images and text found in this section are a derivative of "Anatomy and Physiology" by OpenStax CNX used under CC BY 4.0. Aug 2, 2019. Download the original text for free at http://cnx.org/contents/14fb4ad739a1-4eee-ab6e-3ef2482e3e22@16.1

Activities

Associated SLO

1. Apply your knowledge of the skeletal, muscular, and nervous system structures of the leg to describe a specific example of leg movement.

Procedure

This activity will be completed individually or in small groups. Refer to the background information as needed to help answer the questions below.

Check Your Understanding

  1. Name the four muscles that work together to extend the knee.

  2. If the femoral nerve was severed would that person be able to stand? Why or why not?

  3. Describe how a person’s ability to walk would be affected after an “unhappy triad” injury. Specifically, what joint movements at the knee will be impaired and how will they be impaired?

  4. Based on what you currently know, describe why you think rehabilitation is critical for restoring normal range of motion following surgery for an “unhappy triad” injury. Be certain to consider and discuss the structures that were discussed in the background section.

Lesson 13: The Upper Limb – Bones

Created by Gabriella Sandberg

Introduction

Similar to the lower limb, the bones of your upper limb provide a strong internal supporting structure. However, because of our upright stance, different functional demands are placed on the upper and lower limbs which translates to some key structural differences. This lesson will focus on the bones of the upper limb, from the shoulder to the hand.

Student Learning Outcomes (SLOs):

By the end of this lesson you will be able to:

1. Identify bones and bone features of the upper limb on an articulated skeleton, disarticulated bones, bone models, and/or on a picture/diagram

Background Information

The Pectoral Girdle

The bones that attach each upper limb to the axial skeleton form the pectoral girdle (shoulder girdle). This consists of two bones, the scapula and clavicle (Figure 13.1). The clavicle (collarbone) is an S-shaped bone located on the anterior side of the shoulder. It is attached on its medial end to the sternum of the thoracic cage, which is part of the axial skeleton. The lateral end of the clavicle articulates with the scapula just above the shoulder joint. You can easily palpate, or feel with your fingers, the entire length of your clavicle.

Figure 13.1 The Pectoral Girdle and clavicle

The scapula (shoulder blade) lies on the posterior aspect of the shoulder. It is supported by the clavicle, which also articulates with the humerus to form the shoulder joint. The scapula is a flat, triangular-shaped bone with a prominent ridge running across its posterior surface. This ridge extends out laterally, where it forms the bony tip of the shoulder and joins with the lateral end of the clavicle. By following along the clavicle, you can palpate out to the bony tip of the shoulder, and from there, you can move back across your posterior shoulder to follow the ridge of the scapula. Move your shoulder around and feel how the clavicle and scapula move together as a unit. Both of these bones serve as important attachment sites for muscles that aid with movements of the shoulder and arm.

The right and left pectoral girdles are not joined to each other, allowing each to operate independently. In addition, the clavicle of each pectoral girdle is anchored to the axial skeleton by a single, highly mobile joint. This allows for the extensive mobility of the entire pectoral girdle, which in turn enhances movements of the shoulder and upper limb.

Clavicle

The clavicle is the only long bone that lies in a horizontal position in the body (Figure 13.1). The clavicle has several important functions. First, anchored by muscles from above, it serves as a strut that extends laterally to support the scapula. This in turn holds the shoulder joint superiorly and laterally from the body trunk, allowing for maximal freedom of motion for the upper limb. The clavicle also transmits forces acting on the upper limb to the sternum and axial skeleton. Finally, it serves to protect the underlying nerves and blood vessels as they pass between the trunk of the body and the upper limb.

The clavicle has three regions: the medial end, the lateral end, and the shaft. The medial end, known as the sternal end of the clavicle, has a triangular shape and articulates with the manubrium portion of the sternum. This forms the sternoclavicular joint, which is the only bony articulation between the pectoral girdle of the upper limb and the axial skeleton. This joint allows considerable mobility, enabling the clavicle and scapula to move in superior/inferior and anterior/posterior directions during shoulder movements. The sternoclavicular joint is indirectly supported by the costoclavicular ligament (costo- = “rib”), which spans the sternal end of the clavicle and the underlying first rib. The lateral or acromial end of the clavicle articulates with the acromion of the scapula, the portion of the scapula that forms the bony tip of the shoulder. There are some sex differences in the morphology of the clavicle. In women, the clavicle tends to be shorter, thinner, and less curved. In men, the clavicle is heavier and longer, and has a greater curvature and rougher surfaces where muscles attach. These features can also become more pronounced in response to repeated physical labor typical of manual workers.

The clavicle is the most commonly fractured bone in the body. Such breaks often occur because of the force exerted on the clavicle when a person falls onto his or her outstretched arms, or when the lateral shoulder receives a strong blow. Because the sternoclavicular joint is strong and rarely dislocated, excessive force results in the breaking of the clavicle, usually between the middle and lateral portions of the bone. If the fracture is complete, the shoulder and lateral clavicle fragment will drop due to the weight of the upper limb, causing the person to support the sagging limb with their other hand. Muscles acting across the shoulder will also pull the shoulder and lateral clavicle anteriorly and medially, causing the clavicle fragments to override. The clavicle overlies many important blood vessels and nerves for the upper limb, but fortunately, due to the anterior displacement of a broken clavicle, these structures are rarely affected when the clavicle is fractured.

Scapula

The scapula is also part of the pectoral girdle and thus plays an important role in anchoring the upper limb to the body. The scapula is located on the posterior side of the shoulder. It is surrounded by muscles on both its anterior (deep) and posterior (superficial) sides, and thus does not articulate with the ribs of the thoracic cage.

The scapula has several important landmarks (Figure 13.2). The three margins or borders of the scapula, named for their positions within the body, are the superior border of the scapula, the medial border of the scapula, and the lateral border of the scapula. The suprascapular notch is located lateral to the midpoint of the superior border. The corners of the triangular scapula, at either end of the medial border, are the superior angle of the scapula, located between the medial and superior borders, and the inferior angle of the scapula, located between the medial and lateral borders. The inferior angle is the most inferior portion of the scapula, and is particularly important because it serves as the attachment point for several powerful muscles involved in shoulder and arm movements. The remaining corner of the scapula, between the superior and lateral borders, is the location of the glenoid cavity (glenoid fossa). This shallow depression articulates with the humerus of the arm to form the glenohumeral joint (shoulder joint). The small bony bumps located immediately above and below the glenoid cavity are the supraglenoid tubercle and the infraglenoid tubercle, respectively. These provide attachments for muscles of the upper limb.

Figure 13.2 Scapula

The scapula also has two prominent projections. Toward the lateral end of the superior border, between the suprascapular notch and glenoid cavity, is the hook-like coracoid process (coracoid = “shaped like a crow’s beak”). This process projects anteriorly and curves laterally. At the shoulder, the coracoid process is located inferior to the lateral end of the clavicle. It is anchored to the clavicle by a strong ligament and serves as the attachment site for muscles of the anterior chest and arm. On the posterior aspect, the spine of the scapula is a long and prominent ridge that runs across its upper portion. Extending laterally from the spine is a flattened and expanded region called the acromion or acromial process. The acromion forms the bony tip of the superior shoulder region and articulates with the lateral end of the clavicle, forming the acromioclavicular joint (Figure 13.2). Together, the clavicle, acromion, and spine of the scapula form a V-shaped bony line that provides for the attachment of neck and back muscles that act on the shoulder, as well as muscles that pass across the shoulder joint to act on the arm.

The scapula has three depressions, each of which is called a fossa (plural = fossae). Two of these are found on the posterior scapula, above and below the scapular spine. Superior to the spine is the narrow supraspinous fossa, and inferior to the spine is the broad infraspinous fossa. The anterior (deep) surface of the scapula forms the broad subscapular fossa. All of these fossae provide large surface areas for the attachment of muscles that cross the shoulder joint to act on the humerus.

The acromioclavicular joint transmits forces from the upper limb to the clavicle. The ligaments around this joint are relatively weak. A hard fall onto the elbow or outstretched hand can stretch or tear the

acromioclavicular ligaments, resulting in a moderate injury to the joint. However, the primary support for the acromioclavicular joint comes from a very strong ligament called the coracoclavicular ligament (Figure 13.2). This connective tissue band anchors the coracoid process of the scapula to the inferior surface of the acromial end of the clavicle and thus provides important indirect support for the acromioclavicular joint. Following a strong blow to the lateral shoulder, such as when a hockey player is checked into the boards, a complete dislocation of the acromioclavicular joint can result. In this case, the acromion is thrust under the acromial end of the clavicle, resulting in ruptures of both the acromioclavicular and coracoclavicular ligaments. The scapula then separates from the clavicle, with the weight of the upper limb pulling the shoulder downward. This dislocation injury of the acromioclavicular joint is known as a “shoulder separation” and is common in contact sports such as hockey, football, or martial arts.

The Upper Limb

The upper limb is divided into three regions. These consist of the arm (between the shoulder and elbow joints), the forearm (between the elbow and wrist joints), and the hand (distal to the wrist). The humerus is the single bone of the upper arm, and the ulna (medially) and the radius (laterally) are the paired bones of the forearm. The base of the hand contains eight bones, each called a carpal bone, and the palm of the hand is formed by five bones, each called a metacarpal bone. The fingers and thumb are called the phalanges of the hand.

The Humerus

The humerus is the single bone of the upper arm (Figure 13.3). At its proximal end is the head of the humerus. This is the large, round, smooth region that faces medially. The head articulates with the glenoid cavity of the scapula to form the glenohumeral (shoulder) joint. The margin of the smooth area of the head is

the anatomical neck of the humerus. Located on the lateral side of the proximal humerus is an expanded bony area called the greater tubercle. The smaller lesser tubercle of the humerus is found on the anterior aspect of the humerus. Both the greater and lesser tubercles serve as attachment sites for muscles that act across the shoulder joint. Passing between the greater and lesser tubercles is the narrow intertubercular groove (sulcus), which is also known as the bicipital groove because it provides passage for a tendon of the biceps brachii muscle. The surgical neck is located at the base of the expanded, proximal end of the humerus, where it joins the narrow shaft of the humerus. The surgical neck is a common site of arm fractures. The deltoid tuberosity is a roughened, V-shaped region located on the lateral side in the middle of the humerus shaft. As its name indicates, it is the site of attachment for the deltoid muscle.

Figure 13.3 Humerus and elbow joint. The humerus is the single bone of the upper arm region. It articulates with the radius and ulna bones of the forearm to form the elbow joint.

Distally, the humerus becomes flattened. The prominent bony projection on the medial side is the medial epicondyle of the humerus. The much smaller lateral epicondyle of the humerus is found on the lateral side of the distal humerus. The roughened ridge of bone above the lateral epicondyle is the lateral supracondylar ridge. All of these areas are attachment points for muscles that act on the forearm, wrist, and hand. The powerful grasping muscles of the anterior forearm arise from the medial epicondyle, which is thus larger and more robust than the lateral epicondyle that gives rise to the weaker posterior forearm muscles.

The distal end of the humerus has two articulation areas, which join the ulna and radius bones of the forearm to form the elbow joint. The more medial of these areas is the trochlea, a spindle- or pulley-shaped region

(trochlea = “pulley”), which articulates with the ulna bone. Immediately lateral to the trochlea is

the capitulum (“small head”), a knob-like structure located on the anterior surface of the distal humerus. The capitulum articulates with the radius bone of the forearm. Just above these bony areas are two small depressions. These spaces accommodate the forearm bones when the elbow is fully bent (flexed). Superior to the trochlea is the coronoid fossa, which receives the coronoid process of the ulna, and above the capitulum is the radial fossa, which receives the head of the radius when the elbow is flexed. Similarly, the posterior humerus has the olecranon fossa, a larger depression that receives the olecranon process of the ulna when the forearm is fully extended.

The Ulna

The ulna is the medial bone of the forearm. It runs parallel to the radius, which is the lateral bone of the forearm (Figure 13.4). The proximal end of the ulna resembles a crescent wrench with its large, Cshaped trochlear notch. This region articulates with the trochlea of the humerus as part of the elbow joint. The inferior margin of the trochlear notch is formed by a prominent lip of bone called the coronoid process of the ulna. Just below this on the anterior ulna is a roughened area called the ulnar tuberosity. To the lateral side and slightly inferior to the trochlear notch is a small, smooth area called the radial notch of the ulna. This area is the site of articulation between the proximal radius and the ulna, forming the proximal radioulnar joint. The posterior and superior portions of the proximal ulna make up the olecranon process, which forms the bony tip of the elbow.

Figure 13.4 Ulna and Radius. The ulna is located on the medial side of the forearm, and the radius is on the lateral side. These bones are attached to each other by an interosseous membrane.

More distal is the shaft of the ulna. The lateral side of the shaft forms a ridge called the interosseous border of the ulna. This is the line of attachment for the interosseous membrane of the forearm, a sheet of dense connective tissue that connects the ulna and radius bones. The small, rounded area that forms the distal end is the head of the ulna. Projecting from the posterior side of the ulnar head is the styloid process of the ulna, a short bony projection. This serves as an attachment point for a connective tissue structure that connects the distal ends of the ulna and radius.

In anatomical position, with the elbow fully extended and the palms facing forward, the arm and forearm do not form a straight line. Instead, the forearm deviates laterally by 5–15 degrees from the line of the arm. This deviation is called the carrying angle. It allows the forearm and hand to swing freely or to carry an object without hitting the hip. The carrying angle is larger in females to accommodate a wider pelvis.

The Radius

The radius runs parallel to the ulna, on the lateral side of the forearm (Figure 13.4). The head of the radius is a disc-shaped structure that forms the proximal end. The small depression on the surface of the head articulates with the capitulum of the humerus as part of the elbow joint, whereas the smooth, outer margin of the head articulates with the radial notch of the ulna at the proximal radioulnar joint. The neck of the radius is the narrowed region immediately below the expanded head. Inferior to this point on the medial side is the radial tuberosity, an oval-shaped, bony protuberance that serves as a muscle attachment point. The shaft of the radius is slightly curved and has a small ridge along its medial side. This ridge forms the interosseous border of the radius, which, like the similar border of the ulna, is the line of attachment for the interosseous membrane that unites the two forearm bones. The distal end of the radius has a smooth surface for articulation with two carpal bones to form the radiocarpal joint or wrist joint (Figure 13.5 and Figure 13.6). On the medial side of the distal radius is the ulnar notch of the radius. This shallow depression articulates with the head of the ulna, which together form the distal radioulnar joint. The lateral end of the radius has a pointed projection called the styloid process of the radius. This provides attachment for ligaments that support the lateral side of the wrist joint. Compared to the styloid process of the ulna, the styloid process of the radius projects more distally, thereby limiting the range of movement for lateral deviations of the hand at the wrist joint.

The Carpal Bones

The wrist and base of the hand are formed by a series of eight small carpal bones (see Figure 13.5). The carpal bones are arranged in two rows, forming a proximal row of four carpal bones and a distal row of four carpal bones. The bones in the proximal row, running from the lateral (thumb) side to the medial side, are the scaphoid (“boat-shaped”), lunate (“moon-shaped”), triquetrum (“three-cornered”), and pisiform (“peashaped”) bones. The small, rounded pisiform bone articulates with the anterior surface of the triquetrum bone. The pisiform thus projects anteriorly, where it forms the bony bump that can be felt at the medial base of your hand. The distal bones (lateral to medial) are the trapezium (“table”), trapezoid (“resembles a table”), capitate (“head-shaped”), and hamate (“hooked bone”) bones. The hamate bone is characterized by a prominent bony extension on its anterior side called the hook of the hamate bone.

A helpful mnemonic for remembering the arrangement of the carpal bones is “So Long To Pinky, Here Comes

The Thumb.” This mnemonic starts on the lateral side and names the proximal bones from lateral to medial (scaphoid, lunate, triquetrum, pisiform), then makes a U-turn to name the distal bones from medial to lateral (hamate, capitate, trapezoid, trapezium). Thus, it starts and finishes on the lateral side.

Figure 13.5 Bones of the Wrist and Hand

The carpal bones form the base of the hand. This can be seen in the radiograph (X-ray image) of the hand that shows the relationships of the hand bones to the skin creases of the hand (Figure 13.6). Within the carpal bones, the four proximal bones are united to each other by ligaments to form a unit. Only three of these bones, the scaphoid, lunate, and triquetrum, contribute to the radiocarpal joint. The scaphoid and lunate bones articulate directly with the distal end of the radius, whereas the triquetrum bone articulates with a fibrocartilaginous pad that spans the radius and styloid process of the ulna. The distal end of the ulna thus does not directly articulate with any of the carpal bones.

The four distal carpal bones are also held together as a group by ligaments. The proximal and distal rows of carpal bones articulate with each other to form the midcarpal joint (Figure 13.6). Together, the radiocarpal and midcarpal joints are responsible for all movements of the hand at the wrist. The distal carpal bones also articulate with the metacarpal bones of the hand.

Figure 13.6 Bones of the Hand. This radiograph shows the position of the bones within the hand. Note the carpal bones that form the base of the hand.

In the articulated hand, the carpal bones form a U-shaped grouping. A strong ligament called the flexor retinaculum spans the top of this U-shaped area to maintain this grouping of the carpal bones. The flexor retinaculum is attached laterally to the trapezium and scaphoid bones, and medially to the hamate and pisiform bones. Together, the carpal bones and the flexor retinaculum form a passageway called the carpal tunnel, with the carpal bones forming the walls and floor, and the flexor retinaculum forming the roof of this space (Figure 13.6). The tendons of nine muscles of the anterior forearm and an important nerve pass through this narrow tunnel to enter the hand. Overuse of the muscle tendons or wrist injury can produce inflammation and swelling within this space. This produces compression of the nerve, resulting in carpal tunnel syndrome, which is characterized by pain or numbness, and muscle weakness in those areas of the hand supplied by this nerve.

The Metacarpal Bones

The palm of the hand contains five elongated metacarpal bones. These bones lie between the carpal bones of the wrist and the bones of the fingers and thumb (see Figure 13.5). The proximal end of each metacarpal bone articulates with one of the distal carpal bones. Each of these articulations is a carpometacarpal joint (Figure 13.5). The expanded distal end of each metacarpal bone articulates at the metacarpophalangeal joint with the proximal phalanx bone of the thumb or one of the fingers. The distal end also forms the knuckles of the hand, at the base of the fingers. The metacarpal bones are numbered 1–5, beginning at the thumb.

The first metacarpal bone, at the base of the thumb, is separated from the other metacarpal bones. This allows it a freedom of motion that is independent of the other metacarpal bones, which is very important for thumb mobility. The remaining metacarpal bones are united together to form the palm of the hand. The second and third metacarpal bones are firmly anchored in place and are immobile. However, the fourth and fifth metacarpal bones have limited anterior-posterior mobility, a motion that is greater for the fifth bone. This mobility is important during power gripping with the hand. The anterior movement of these bones, particularly the fifth metacarpal bone, increases the strength of contact for the medial hand during gripping actions.

The Phalanges

The fingers and thumb contain 14 bones, each of which is called a phalanx bone (plural = phalanges), named after the ancient Greek phalanx (a rectangular block of soldiers). The thumb (pollex) is digit number 1 and has two phalanges, a proximal phalanx, and a distal phalanx bone (see Figure 13.5). Digits 2 (index finger) through 5 (little finger) have three phalanges each, called the proximal, middle, and distal phalanx bones.

An interphalangeal joint is one of the articulations between adjacent phalanges of the digits (Figure 13.5).

Source Material

The images and text found in this section are a derivative of "Anatomy and Physiology" by OpenStax CNX used under CC BY 4.0. Aug 2, 2019. Download the original text for free at http://cnx.org/contents/14fb4ad7-39a14eee-ab6e-3ef2482e3e22@16.1

Activities

Bone ID

Associated SLO

  • Identify bones and bone features of the upper limb on an articulated skeleton, disarticulated bones, bone models, and/or on a picture/diagram Required Materials

  • Colored tape or post-it notes

  • Sharpie or marker

  • Disarticulated bones of the lower limb

Procedure

This activity requires you to label the bones of the upper limb on a model. You are provided a list of terms below and you are expected to use every term provided. Using colored tape or post-it notes, please write the number that corresponds to the term from the list and place them on your model. When complete, notify

your TA so they may check your work.

Check Your Understanding List of Terms:

Scapula (Fig. 13.2)

  1. Spine

  2. Supraspinous fossa

  3. Infraspinous fossa

  4. Subscapular fossa

  5. Glenoid cavity

  6. Infraglenoid tubercle

  7. Acromion

  8. Coracoid process

  9. Superior angle

  10. Lateral angle

  11. Lateral border

  12. Inferior angle

Clavicle (Fig. 13.1)

  1. Sternal end

  2. Acromial end

Humerus (Fig. 13.3)

  1. Head

  2. Greater tubercle

  3. Crest of greater tubercle

  4. Lesser tubercle

  5. Crest of lesser tubercle

  6. Surgical neck

  7. Deltoid tuberosity

  8. Medial epicondyle

  9. Lateral epicondyle

  10. Medial supracondylar ridge

  11. Lateral supracondylar ridge

  12. Capitulum

  13. Trochlea

  14. Coronoid fossa

  15. Olecranon fossa

  16. Radial fossa

Radius (Fig. 13.4)

  1. Head

  2. Neck

  3. Shaft

  4. Radial tuberosity

  5. Styloid process

Ulna (Fig. 13.5)

  1. Head

  2. Olecranon

  3. Coronoid process

  4. Trochlear notch

  5. Radial notch

  6. Styloid process

  7. Tuberosity

Hand (Fig. 13.5 and 13.6) 8. Scaphoid

  1. Hamate 9. Metacarpals

  2. Pisiform 10. Proximal phalanges

  3. Triquetrum 11. Middle phalanges

  4. Lunate 12. Distal phalanges

  5. Trapezoid

  6. Trapezium

  7. Capitate

Labeling Bony Features

Associated SLO

  • Identify bones and bone features of the upper limb on an articulated skeleton, disarticulated bones, bone models, and/or on a picture/diagram

Required Materials

  • None

Procedure

Label the following diagrams with the appropriate bony feature.

Check your understanding

Lesson 14: The Upper Limb – Muscles

Created by Gabriella Sandberg

Introduction

The muscles of the upper limb work through a much wider range of motion which allows a different set of functions compared to the lower limb. In this lesson, students will identify the muscles of the upper limb and work to understand their function via muscle attachments, actions, and innervation.

Student Learning Outcomes (SLOs):

By the end of Module 3, students will be able to:

  1. Identify muscles of the upper limb on a model, figure, diagram, and/or dissected material.

  2. Precisely describe the action(s) for each muscle.

  3. For select muscles, identify their points of attachment (origins and insertions).

  4. Name the nerve that innervates each muscle.

Background Information

Muscles of the shoulder and upper limb can be divided into four groups: muscles that stabilize and position the pectoral girdle, muscles that move the arm, muscles that move the forearm, and muscles that move the wrists, hands, and fingers. The pectoral girdle, or shoulder girdle, consists of the lateral ends of the clavicle and scapula, along with the proximal end of the humerus, and the muscles covering these three bones to stabilize the shoulder joint. The girdle creates a base from which the head of the humerus, in its ball-andsocket joint with the glenoid fossa of the scapula, can move the arm in multiple directions.

The Pectoral Girdle

Muscles that position the pectoral girdle are located either on the anterior thorax or on the posterior thorax and will be covered in detail in the next module. The anterior muscles include the subclavius, pectoralis major and minor, and serratus anterior. The posterior muscles include the trapezius, rhomboid major, and rhomboid minor.

Muscles that Move the Humerus

The remaining shoulder muscles originate on the scapula. The anatomical and ligamental structure of the shoulder joint and the arrangements of the muscles covering it, allows the arm to carry out different types of movements compared to the lower limb. The deltoid, the thick muscle that creates the rounded lines of the shoulder is the major abductor of the arm (lateral fibers), facilitates flexing and medial rotation of the arm (anterior fibers), and also contributes to extension and lateral rotation of the arm (posterior fibers).

The subscapularis originates on the anterior scapula and medially rotates the arm. Named for their locations, the supraspinatus (superior to the spine of the scapula) and the infraspinatus (inferior to the spine of the scapula) abduct the arm, and laterally rotate the arm, respectively. The thick and flat teres major is inferior to the teres minor and extends the arm and assists in adduction and medial rotation of it. The long teres minor laterally rotates and extends the arm. Finally, the coracobrachialis flexes and adducts the arm.

The tendons of the deep subscapularis, supraspinatus, infraspinatus, and teres minor connect the scapula to the humerus, forming the rotator cuff (musculotendinous cuff), the circle of tendons around the shoulder joint. When baseball pitchers undergo shoulder surgery it is often on the rotator cuff, which becomes pinched and inflamed, and may tear away from the bone due to the repetitive motion of bring the arm overhead to throw a fast pitch.

Figure 14.1 Muscles that Move the Humerus

Table 14.1 Muscles that Move the Humerus
Name

Primary Action

Attachment 1 (Origin)

Attachment 2 (Insertion)

Nerve

Deltoid

Abduct arm; flex and extend arm; medially and laterally rotate arm

Clavicle; acromion; spine of scapula

Deltoid tuberosity

Axillary nerve

SupraspinatusAbduct armSupraspinous fossaGreater tubercleSuprascapular nerve
InfraspinatusExtend and adduct armInfraspinous fossaGreater tubercleSuprascapular nerve
SubscapularisMedially rotate armSubscapular fossaLesser tubercleSubscapular nerve
Teres majorExtend and adduct armPosterior surface of scapulaIntertubercular sulcus of humerusSubscapular nerve
Teres minorExtend and adduct armLateral border of scapulaGreater tubercleAxillary nerve

Muscles That Move the Forearm

The forearm, supported by the radius and ulna bones, has four main types of action at the hinge of the elbow joint: flexion, extension, pronation, and supination. The forearm flexors include the biceps brachii, brachialis, and brachioradialis. The extensors are the triceps brachii and anconeus. The pronators are the pronator teres and the pronator quadratus, and the supinator turns the forearm anteriorly. When the forearm faces anteriorly, it is supinated. When the forearm faces posteriorly, it is pronated.

The biceps brachii, brachialis, and brachioradialis flex the forearm (Figure 14.2). The two-headed biceps brachii crosses the shoulder and elbow joints to flex the forearm, also taking part in supinating the forearm at the radioulnar joints and flexing the arm at the shoulder joint. Deep to the biceps brachii, the brachialis provides additional power in flexing the forearm. Finally, the brachioradialis can flex the forearm quickly or help lift a load slowly.

Figure 14.2 Muscles That Move the Forearm. The muscles originating in the upper arm flex, extend, pronate, and supinate the forearm. The muscles originating in the forearm move the wrists, hands, and fingers.

Table 14.2 Muscles that Move the Forearm
Name

Primary Action

Attachment 1 (Origin)

Attachment 2 (Insertion)

Nerve

Coracobrachialis

Flex and adduct arm

Coracoid process

Medial surface of humerus shaft

Musculocutaneous nerve

Biceps brachii

Flex and supinate forearm

Coracoid process and supraglenoid

tubercle

Radial tuberosity

Musculocutaneous nerve

Brachialis

Flex forearm

Anterior surface of distal humerus

Coronoid process of ulna

Musculocutaneous nerve

Triceps brachii

Extend forearm

Infraglenoid tubercle; posterior shaft of humerus; distal radial groove

Olecranon

Radial nerve

Brachioradialis

Flex forearm

Lateral

supracondylar ridge

Styloid process of radius

Radial nerve

Pronator quadratus

Pronate forearm

Distal portion of anterior ulna shaft

Distal surface of anterior radius

Median nerve

Pronator teres

Pronate forearm

Medial epicondyle of humerus; coronoid process of ulna

Lateral radius

Median nerve

Supinator

Supinate forearm

Lateral epicondyle of humerus; proximal ulna

Proximal end of radius

Radial nerve

Muscles that Move the Wrists, Hands, and Fingers

The muscles in the anterior compartment of the forearm (anterior flexor compartment of the forearm) originate on the humerus and insert onto different parts of the hand and make up the bulk of the forearm. From lateral to medial, the superficial anterior compartment of the forearm includes the flexor carpi radialis, palmaris longus, flexor carpi ulnaris, and flexor digitorum superficialis. The flexor digitorum superficialis flexes the hand as well as the digits at the knuckles, which allows for rapid finger movements, as in typing or playing a musical instrument. However, poor ergonomics can irritate the tendons of these muscles as they slide back and forth with the carpal tunnel of the anterior wrist and pinch the median nerve, which also travels through the tunnel, causing Carpal Tunnel Syndrome. The deep anterior compartment, including the flexor pollicis longus and the flexor digitorum profundus, produces flexion and bends fingers to make a fist.

The muscles in the superficial posterior compartment of the forearm (superficial posterior extensor compartment of the forearm) originate on the humerus and include the extensor radialis longus, extensor carpi radialis brevis, extensor digitorum, and the extensor carpi ulnaris. The muscles of the deep posterior compartment of the forearm (deep posterior extensor compartment of the forearm) originate on the radius and ulna and include the abductor pollicis longus, extensor pollicis brevis, extensor pollicis longus (Figure 14.2). The tendons of the forearm muscles attach to the wrist and extend into the hand. Fibrous bands called retinacula sheath the tendons at the wrist.

Table 14.3 Muscles that Move the Wrist, Hand, and Fingers
Name

Primary Action

Attachment 1 (Origin)

Attachment 2 (Insertion)

Nerve

Flexor carpi radialis

Flex and abduct wrist

Medial epicondyle of humerus

Base of 2nd and 3rd metacarpals

Median nerve

Flexor carpi ulnaris

Flex and adduct wrist

Medial epicondyle; olecranon; posterior surface of ulna

Pisiform and hamate bones;

base of 5th metacarpal

Ulnar nerve

Extensor carpi radialis brevis

Extend and abduct wrist

Lateral epicondyle of humerus

Base of 3rd metacarpal

Radial nerve

Extensor carpi radialis longus

Extend and abduct wrist

Lateral

supracondylar ridge of humerus

Base of 2nd metacarpal

Radial nerve

Extensor carpi ulnaris

Extend and adduct wrist

Lateral epicondyle of humerus; posterior border of ulna

Base of 5th metacarpal

Radial nerve

Palmaris longus

Flex wrist

Medial epicondyle of humerus

Palmar aponeurosis; skin and fascia of palm

Median nerve

Flexor digitorum profundus

Flex wrist and fingers

Coronoid process; anteromedial surface of ulna; interosseous membrane

Distal phalanges of fingers 2-5

Median and ulnar nerve

Flexor digitorum superficialis

Flex wrist and fingers 2-5

Medial epicondyle of humerus; coronoid process of ulna; shaft of radius

Middle phalanges of fingers 2-5

Median nerve

Extensor digitorum

Extend fingers and wrist

Lateral epicondyle of humerus

Phalanges of fingers 2-5

Radial nerve

Flexor pollicis brevis

Flex thumb

Flexor retinaculum; trapezium

Lateral base of

proximal phalanx of thumb

Median and ulnar nerve

Flexor pollicis longus

Flex thumb

Anterior surface of radius; interosseous membrane

Distal phalanges of fingers 2-5

Median nerve

Extensor pollicis brevis

Extend thumb

Dorsal shaft of radius and ulna;

Base of proximal phalanx of thumb

Radial nerve

interosseous membrane
Extensor pollicis longusExtend thumbDorsal shaft of radius and ulna; interosseous membraneBase of distal phalanx of thumbRadial nerve
Abductor pollicis brevisAbduct thumbFlexor retinaculum; carpal bones

Lateral base of

proximal phalanx of thumb

Median nerve
Abductor pollicis longus

Abduct and extend thumb; abduct

wrist

Posterior surface of radius and ulna;

interosseous membrane

Base of first metacarpal; trapeziumRadial nerve

Source Material

The images and text found in this section are a derivative of "Anatomy and Physiology" by OpenStax CNX used under CC BY 4.0. Aug 2, 2019. Download the original text for free at http://cnx.org/contents/14fb4ad7-39a14eee-ab6e-3ef2482e3e22@16.1

Activities

Muscle ID on Models

Associated SLO

1. Identify muscles of the arm on a model, figure, diagram, and/or dissected material.

Required Materials

  • Colored tape or post-it notes

  • Sharpie or marker

  • Upper limb models

Procedure

This activity will be completed individually or in small groups. Using the arm models in lab, use the provided structure lists to label the muscles.

  1. Write the number that corresponds to each muscle from the lists below on a piece of colored tape or post-it.

  2. Place the tape/post-it on the correct area for each muscle.

  3. When you have labeled all muscles from the list, take the designated pictures that allow all labeled muscles to be clearly seen.

  4. Upload each picture to the associated prompt in Lt.

Check Your Understanding List of Terms:

Shoulder (Fig. 14.1) 14. Pronator teres

  1. Deltoid 15. Palmaris longus

  2. Supraspinatus 16. Flexor carpi radialis

  3. Infraspinatus 17. Flexor carpi ulnaris

  4. Subscapularis 18. Flexor digitorum superficialis

  5. Teres minor 19. Flexor digitorum profundus 6. Teres major 20. Flexor pollicis longus

21. Flexor pollicis brevis

Upper arm (Fig. 14.2)

22. Abductor pollicis brevis

  1. Biceps brachii

    1. Extensor carpi radialis longus

  2. Triceps brachii

    1. Extensor carpi radialis brevis

  3. Coracobrachialis

    1. Extensor carpi ulnaris

  4. Brachialis

    1. Extensor digitorum

  5. Brachioradialis

    1. Abductor pollicis longus

Lower arm (Fig. 14.2) 28. Extensor pollicis longus

  1. Supinator 29. Extensor pollicis brevis

  2. Pronator quadratus

Muscle ID on Diagrams

Associated SLO

1. Identify muscles of the arm on a model, figure, diagram, and/or dissected material.

Required Materials

• None

Procedure

This activity will be completed individually or in small groups. Refer to the background information as need to label the diagrams below.

Check your understanding

1. Label the following diagrams with the appropriate muscle name using the tables in the background information as your source of muscle names.

Muscle Actions

Associated SLOs

1. Precisely describe the action(s) for each muscle.

Required Materials

• None

Procedure

This activity will be completed individually or in small groups. Refer to the background information as needed to help answer the questions below.

Check your understanding

  1. Complete the table on muscle actions.

Muscle Name

Action(s)

Flexes and supinates forearm

Brachioradialis

Medially rotates arm

Extends forearm (only action)

Supinates forearm

Palmaris longus
Flexor carpi radialis
Flexor digitorum profundus
Pronator quadratus

Extends and adducts arm

  1. List all of the anterior forearm muscles that function to extend the wrist.

  2. List all of the posterior forearm muscles that function to flex the wrist.

  3. Use the muscle anatomy of the forearm to describe why you can move your thumb independently of your other fingers.

Muscle Attachments

You need to know all attachment points (origins and insertions, found in Tables 14.1-14.3) for the muscles listed below. The list focuses on muscles with attachments on bones and bone features that you are learning concurrently and the major players involved in common body movements. Like muscle actions, you need to be precise with your answers which should include the name of the bone(s) and/or bone feature(s) and directional terms (anterior, proximal, lateral, etc.) when possible. Partial credit will not be given for attachments.

Shoulder & Upper Arm Muscles Forearm Muscles
DeltoidSupinator
SupraspinatusPronator Quadratus
InfraspinatusPronator Teres
SubscapularisFlexor Carpi Radialis
Teres MinorFlexor Carpi Ulnaris
Teres MajorExtensor Carpi Radialis Longus
Biceps BrachiiExtensor Carpi Radialis Brevis
Triceps BrachiiExtensor Carpi Ulnaris
BrachialisExtensor Digitorum

Associated SLOs

3. For select muscles, identify their points of attachment (origins and insertions).

Required Materials

• None

Procedure

This activity will be completed individually or in small groups. Refer to the background information as needed to help answer the questions below.

Check your understanding

8. Complete the table on muscle actions.

Muscle Name Attachment 1 (Origin)

Attachment 2 (Insertion)

Deltoid tuberosity

Brachialis

Base of 2nd metacarpal

Lateral epicondyle of humerus; posterior border of ulna

Lesser tubercle

Supinator

Infraspinous fossa

Teres major

Pisiform and hamate bones; base of 5th metacarpal

Medial epicondyle of humerus; coronoid process of ulna

Lesson 15: The Upper Limb – Joints

Created by Gabriella Sandberg

Introduction

In this lesson you will work to identify the major structures of two synovial joints of the upper limb and the major movements allowed at those joints.

Student Learning Outcomes (SLOs):

By the end of this lesson you will be able to:

  1. Identify key structures for two joints associated with the upper limb: the shoulder and elbow.

  2. Describe and demonstrate movements allowed at joints associated with the upper limb.

Background Information

Joint classification, general structure, and actions allowed at synovial joints were previously covered in Lesson 7. This lesson will focus on synovial joints of the upper limb. As you read about each joint, consider the type of movement allowed at each joint (ex: flexion, abduction, opposition etc.) and refer back to Lesson 7 as needed.

The Shoulder

The shoulder joint (also called the glenohumeral joint) is a ball-and-socket joint formed by the articulation between the head of the humerus and the glenoid cavity of the scapula (Figure 15.1). This joint has the largest range of motion of any joint in the body. However, this freedom of movement is only possible because of a lack of structural support and thus enhanced mobility is offset by a loss of stability.

Figure 15.1 Glenohumeral Joint. The glenohumeral (shoulder) joint is a ball-and-socket joint that provides the widest range of motions. It has a loose articular capsule and is supported by ligaments and the rotator cuff muscles.

The large range of motion at the shoulder joint is provided by the articulation of the large, rounded humeral head with the small and shallow glenoid cavity, which is only about one third of the size of the humeral head. The socket formed by the glenoid cavity is deepened slightly by a small lip of fibrocartilage called the glenoid labrum, which extends around the outer margin of the cavity. The articular capsule that surrounds the glenohumeral joint is relatively thin and loose to allow for large motions of the upper limb. Some structural support for the joint is provided by thickenings of the articular capsule wall that form weak intrinsic ligaments. These include the coracohumeral ligament, running from the coracoid process of the scapula to the anterior humerus, and three ligaments, each called a glenohumeral ligament, located on the anterior side of the articular capsule. These ligaments help to strengthen the superior and anterior capsule walls.

The primary support for the shoulder joint is provided by muscles crossing the joint, particularly the four rotator cuff muscles. These muscles (supraspinatus, infraspinatus, teres minor, and subscapularis) arise from the scapula and attach to the greater or lesser tubercles of the humerus. As these muscles cross the shoulder joint, their tendons encircle the head of the humerus and become fused to the anterior, superior, and posterior walls of the articular capsule. The thickening of the capsule formed by the fusion of these four muscle tendons is called the rotator cuff. Two bursae, the subacromial bursa and the subscapular bursa, help to prevent friction between the rotator cuff muscle tendons and the scapula as these tendons cross the glenohumeral joint. In addition to their individual actions of moving the upper limb, the rotator cuff muscles also serve to hold the head of the humerus in position within the glenoid cavity. By constantly adjusting their strength of contraction to resist forces acting on the shoulder, these muscles serve as “dynamic ligaments” and thus provide the primary structural support for the glenohumeral joint.

The Elbow

The elbow joint is a uniaxial hinge joint formed by the humeroulnar joint, the articulation between the trochlea of the humerus and the trochlear notch of the ulna. Also associated with the elbow are

the humeroradial joint and the proximal radioulnar joint. All three of these joints are enclosed within a single articular capsule (Figure 15.2).

The articular capsule of the elbow is thin on its anterior and posterior aspects but is thickened along its outside margins by strong intrinsic ligaments. These ligaments prevent side-to-side movements and hyperextension. On the medial side is the triangular ulnar collateral ligament. This arises from the medial epicondyle of the humerus and attaches to the medial side of the proximal ulna. The strongest part of this ligament is the anterior portion, which resists hyperextension of the elbow. The ulnar collateral ligament may be injured by frequent, forceful extensions of the forearm, as is seen in baseball pitchers. Reconstructive surgical repair of this ligament is referred to as Tommy John surgery, named for the former major league pitcher who was the first person to have this treatment.

The lateral side of the elbow is supported by the radial collateral ligament. This arises from the lateral epicondyle of the humerus and then blends into the lateral side of the annular ligament. The anular ligament encircles the head of the radius. This ligament supports the head of the radius as it articulates with the radial notch of the ulna at the proximal radioulnar joint. This is a pivot joint that allows for rotation of the radius during supination and pronation of the forearm.

Figure 15.2 Elbow Joint. (a) The elbow is a hinge joint that allows only for flexion and extension of the forearm. (b) It is supported by the ulnar and radial collateral ligaments. (c) The anular ligament supports the head of the radius at the proximal radioulnar joint, the pivot joint that allows for rotation of the radius.

Source Material

The images and text found in this section are a derivative of "Anatomy and Physiology" by OpenStax CNX used under CC BY 4.0. Aug 2, 2019. Download the original text for free at http://cnx.org/contents/14fb4ad7-39a14eee-ab6e-3ef2482e3e22@16.1

Activities

Joint Actions

Associated SLO

  • Describe and demonstrate movements allowed at joints associated with the upper limb: shoulder and elbow

Required Materials

  • None

Procedure

This activity requires you to complete the table and label the diagram. This activity contributes to the following SLOs:

2. Apply Learning Outcome 1 to describe major movements associated with the upper limb

Check Your Understanding

Complete the table, then use the provided actions to label the diagram.

Action

Definition

Example Joint

Flexion
Extension
Hyperextension
Abduction
Adduction
Lateral Rotation
Medial Rotation
Plantar Flexion
Dorsiflexion
Inversion
Eversion

Labeling Joint Structures

Associated SLO

  • Identify key structures for joints associated with the upper limb: shoulder and elbow

Required Materials

  • None

Procedure

Label the following diagrams with the appropriate joint structures.

Check your understanding

Lesson 16: The Upper Limb – Nerves

Created by Gabriella Sandberg

Introduction

Motor nerves arise from the spinal cord to provide innervation to all muscles. In this lesson you will learn about the nerves that innervate the muscles of the upper limb.

Student Learning Outcomes (SLOs):

1. Identify the nerves and nerve plexuses that control muscles of the upper limb

Background Information

Spinal Nerves

Recall that there are the spinal nerves and that there are 31 spinal nerves, named for the level of the spinal cord at which each one emerges. There are eight pairs of cervical nerves designated C1 to C8, twelve thoracic nerves designated T1 to T12, five pairs of lumbar nerves designated L1 to L5, five pairs of sacral nerves designated S1 to S5, and one pair of coccygeal nerves. The nerves are numbered from the superior to inferior positions, and each emerges from the vertebral column through the intervertebral foramen at its level.

In Lesson 11 we discussed two of the four nerve plexuses, one at the lumbar level and one at the sacral level, which leaves the two found at the cervical level (Figure 16.1). Spinal nerves C1-C4 and some fibers from C5 reorganize within the cervical plexus to innervate portions of the head, neck and chest and will not be considered further in this lesson. This lesson will focus on the brachial plexus since the nerves arising from that plexus innervate the upper limb. Within the brachial plexus spinal nerves C4 through T1 reorganize to give rise to the nerves of the arms, as the name brachial suggests. Five spinal nerves merge to form three cords: a lateral, medial and posterior cord. The three cords then diverge and spread in order to innervate structures of the upper limb (Figure 16.2, Tables 16.1). The lateral cord gives rise to the musculocutaneous and median nerves. The median cord also gives a branch to the median nerve, in addition to the ulnar nerve. The large radial nerve, arises from the posterior cord, from which the axillary nerve branches to go to the armpit region. The radial nerve continues through the arm and runs parallel with the ulnar nerve and the median nerve.

The axillary nerve innervates some of the posterior shoulder muscles. The musculocutaneous nerve supplies innervation to the anterior arm, specifically to the muscles that flex the shoulder. The radial nerve supplies innervation to the posterior surface of the forearm. The median and ulnar nerves supply innervation to the anterior surface of the forearm. The median nerve courses close to midline down the forearm and is responsible for the muscles towards the thumb, while the ulnar nerve continues down the forearm along the ulnar bone and is responsible for the muscles towards the pinky finger, or finger 5.

Figure 16.1 The cervical and brachial nerve plexuses.

Figure 16.2 Brachial Plexus. By Brachial_plexus.jpg: Original uploader was Mattopaedia at en.wikipediaderivative work: Captain-n00dle (talk), MissMJ - Brachial_plexus.jpg, Public Domain,

https://commons.wikimedia.org/w/index.php?curid=8401004

Figure 13.3 Nerves of the Upper Limb. By Henry Vandyke Carter - Henry Gray (1918) Anatomy of the Human Body (See "Book" section below)Bartleby.com: Gray's Anatomy, Plate 816, Public Domain, https://commons.wikimedia.org/w/index.php?curid=328869

Table 16.1 Nerves of the Brachial Plexus
Nerve Origin

Innervated Muscles

AxillaryC5-C6

Teres minor Deltoid

MusculocutaneousC5-C7

Coracobrachialis

Biceps brachii Brachialis

RadialC5-T1

Triceps brachii

Brachioradialis

Extensor carpi radialis longus

Extensor carpi radialis brevis

Supinator

Extensor digitorum

Extensor carpi ulnaris

Abductor pollicis longus

Extensor pollicis brevis

MedianC5-C7 and C8 and T1

Pronator teres

Flexor carpi radialis

Palmaris longus

Flexor digitorum superficialis

Flexor digitorum profundus

Flexor pollicis longus Pronator quadratus

Abductor pollicis brevis

UlnarC8-T1

Flexor carpi ulnaris

Flexor digitorum profundus

Source Material

Most images and text found in this section is a derivative of "Anatomy and Physiology" by OpenStax CNX used under CC BY 4.0. Aug 2, 2019. Download the original text for free at http://cnx.org/contents/14fb4ad7-39a14eee-ab6e-3ef2482e3e22@16.1

Activities

Nerve ID

Associated SLO

  • Identify nerves of the brachial plexus and upper limb Required Materials

  • Blank sheet of paper

  • Pen or pencil

  • Colored pens or pencils

Procedure

This activity requires you to create your own schematic of the brachial plexus. It can be as detailed as you would like, or it can simply be lines showing the delineation between the plexus and nerves. When complete, notify your TA so they may check your work. This activity contributes to the following SLOs:

1. Identify and describe skeletal, muscular, and nervous system structures for the upper limb

Check Your Understanding List of Terms:

Brachial plexus

  1. Axillary nerve

  2. Musculocutaneous nerve

  3. Radial nerve

  4. Median nerve

  5. Ulnar nerve

Labeling the Brachial Plexus

Associated SLO

  • Identify nerves of the brachial plexus and upper limb Required Materials

  • None

Procedure

Label the following diagrams with the appropriate key term.

Check your understanding

Labeling Nerves

Associated SLO

  • Identify nerves of the brachial plexus and upper limb Required Materials

  • Colored tape or post-it notes

  • Sharpie or marker

  • Upper limb model

Procedure

This activity requires you to label the nerves of the upper limb on a model. You are provided a list of terms below and you are expected to use every term provided. Using colored tape or post-it notes, please write a number that corresponds to the term from the list and place them on your model. When complete, notify your TA so they may check your work. This activity contributes to the following SLOs:

1. Identify and describe skeletal, muscular, and nervous system structures for the upper limb

Check your understanding List of terms:

  1. Axillary nerve

  2. Musculocutaneous nerve

  3. Radial nerve

  4. Median nerve

  5. Ulnar nerve

Lesson 17: The Upper Limb – Movement

Created by Gabriella Sandberg

Introduction

At this point, you have learned the bones, joints, muscles and nerves of the upper limb. In this lesson, you will apply the information from the previous lessons to a specific example of movement via the upper limb.

Student Learning Outcomes (SLOs):

By the end of his lesson, you will be able to:

1. Apply your knowledge of the skeletal, muscular, and nervous system structures of the leg to describe a specific example of upper limb movement.

Background Information

Recall that the primary support for the shoulder joint is provided by muscles crossing the joint, particularly the four rotator cuff muscles. These muscles originate from the scapula and insert on to the greater or lesser tubercles of the humerus.

Table 17.1 Rotator Cuff Muscles
Name

Action

Attachment 1

Attachment 2

Innervation

Supraspinatus

Abducts arm

Supraspinous fossa of the scapula

Greater tubercle of the humerus

Suprascapular nerve

Infraspinatus

Extends and adducts arm

Infraspinous fossa of the scapula

Greater tubercle of the humerus

Suprascapular nerve

Teres minor

Extends and adducts arm

Lateral border of scapula

Greater tubercle of the humerus

Axillary nerve

Subscapularis

Medially rotates arm

Subscapular fossa of the scapula

Lesser tubercle of the humerus

Subscapular nerve

As these muscles cross the shoulder joint, their tendons wrap around the head of the humerus and fuse with the joint capsule. The thickening of the capsule formed by the fusion of these four muscle tendons is called the rotator cuff. In addition to their individual actions of moving the upper limb, the rotator cuff muscles also serve to hold the head of the humerus in position within the glenoid cavity. By constantly adjusting their strength of contraction to resist forces acting on the shoulder, these muscles serve as “dynamic ligaments” and thus provide the primary structural support for the glenohumeral joint.

Figure 17.1 Anterior View of the Rotator Cuff. By National Institute Of Arthritis And Musculoskeletal And Skin Diseases (NIAMS); SVG version by Angelito7 - Shoulderjoint.PNG, Public Domain, https://commons.wikimedia.org/w/index.php?curid=29907860

Figure 17.2 Posterior View of Rotator Cuff. By Jmarchn - Own work, CC BY-SA 3.0, https://commons.wikimedia.org/w/index.php?curid=67117834

Injuries to the shoulder joint are common. Repetitive use of the upper limb, particularly in abduction during throwing, swimming, or racquet sports, may lead to acute or chronic inflammation of the bursa or muscle tendons, a tear of the glenoid labrum, or degeneration or tears of the rotator cuff. Inflammatory responses to any shoulder injury can lead to the formation of scar tissue between the articular capsule and surrounding structures, thus reducing shoulder mobility, a condition called adhesive capsulitis (“frozen shoulder”).

Watch this video for additional information on the rotator cuff:

https://www.youtube.com/watch?v=SfUmN_V-28w

Source Material

The text found in this section is a derivative of "Anatomy and Physiology" by OpenStax CNX used under CC BY 4.0. Aug 2, 2019. Download the original text for free at http://cnx.org/contents/14fb4ad7-39a1-4eee-ab6e3ef2482e3e22@16.1

Activities

Associated SLO

1. Apply Learning Outcome 1 to describe major movements associated with the upper limb.

Procedure

Complete the series of questions, then show your answers to your TA so they may check your work.

Check Your Understanding

  1. What are the four muscles of the rotator cuff?

  2. For each stage outlined in the picture below, the movements associated with the shoulder joint are listed. For each of these movements, list the muscles associated with that movement.

The shoulder is adducted.

The shoulder is extended and abducted.

The shoulder is extended and medially rotated.

The shoulder is extended and adducted.

Pitcher's motion, Cincinnati Reds, 9/15/2004, by Rick Dikeman. This file is licensed under the Creative Commons Attribution-Share Alike 3.0 Unported license.

  1. If during rotator cuff surgery the surgeon accidentally severed a patient’s subscapular nerve, how would that affect the patient’s ability to throw a ball?

  2. Why do you suppose the glenohumoral joint, an example of a ball-and-socket joint, is prone to ‘wear and tear’ damage during various sporting activities?

Lesson 18: Muscle Physiology

Created by Dan McNabney

Introduction

In this laboratory, you will use surface electromyography (EMG) to examine changes in electrical activity during voluntary muscle contractions.

Student learning outcomes (SLOs):

By the end of this lesson you will be able to:

  1. Collect, analyze, and present data related to electrical activity of skeletal muscle fibers via surface electromyography (EMG).

  2. Relate EMG data to normal structure and function of skeletal muscle fibers.

Background Information

Skeletal Muscle Anatomy

Skeletal muscles do the majority of the work for locomotion and support of the animal skeleton. Each muscle is made up of individual muscle fibers organized in fascicles (Figure 18.1, described in more detail in Lesson 4).

Figure 18.1 Skeletal muscle structure

The Motor Unit

Each individual fiber is innervated by a branch of a motor neuron. Under normal circumstances, a neuronal action potential activates all of the muscle fibers innervated by one motor neuron and all of its axonal branches. The motor neuron, together with all of the individual muscle fibers that it innervates, is termed a motor unit (Figure 18.2). The activation process involves the initiation of an action potential (either voluntarily, or as a result of electrical stimulation of a peripheral nerve), conduction of the action potential along the nerve fiber, release of neurotransmitter at the neuromuscular junction and depolarization of the muscle membrane with resultant contraction of the muscle fibers.

Figure 18.2 The components of a motor unit

Coactivation

Coactivation occurs when the contraction of one muscle leads to more minor activity in the antagonist muscle. The physiological significance of this is not entirely clear, but it has been suggested that it helps to stabilize joints during isotonic contractions. An example of an isotonic contraction is lifting a weight with your arm. The biceps muscle contracts to lift the weight, and the antagonist muscle – the triceps – also contract to help control this lifting movement. The contraction of the biceps provides an example of concentric contraction – the muscle is shortening as the contraction proceeds. In contrast, the controlled contraction of the triceps provides an example of eccentric contraction – here the muscle is lengthening even though it is contracting. The Neuromuscular Junction

Figure 18.3 A neuromuscular junction

Action potentials arriving at the axon terminal trigger the release of acetylcholine into the synaptic cleft of the neuromuscular junction. The acetylcholine diffuses through the junctional cleft and binds to nicotinic acetylcholine receptors on the motor end plate. The bound receptors open cation-selective ion channels leading to depolarization at the muscle end plate, the creation and spread of a muscle action potential, and the eventual release of calcium from the sarcoplasmic reticulum. The increased cytosolic calcium sets in motion the mechanical events that underlie contraction which is discussed in detail in lecture. Upon relaxation, acetylcholine is rapidly hydrolyzed by acetylcholinesterase, which terminates the muscle contraction signals.

Electromyography (EMG)

Electromyography is a technique that measures the electrical activity of the muscles and the nerves controlling the muscles. The data recorded is called an electromyogram; also known as an EMG or myogram (Figure 18.4).

There are two methods of recording an EMG:

  1. Intramuscular – needle electrodes inserted through the skin into the muscle.

  2. Surface – electrodes placed on the skin surface.

The size and shape of the waveform measured provides information about the ability of the muscle to respond when the nerves are stimulated. In a clinical setting, EMG is most often used when people have symptoms of weakness, and examination shows impaired muscle strength. EMG can help to differentiate muscle weakness caused by neurological disorders from other possible causes.

An EMG provides a depiction of the timing and pattern of muscle activity during complex movements. The raw surface EMG signal reflects the electrical activity of the muscle fibers active at that time. Motor units fire asynchronously which means that when very few motor units are firing, there may be times with exceedingly weak contractions when only a single motor unit is firing at a given time. As the strength of the muscular contraction increases, however, the density of action potentials increases due to the activation of more motor units and the raw signal at any time may represent the electrical activity of perhaps thousands of individual fibers.

Figure 18.4 An EMG recording showing coactivation of the biceps (green) and triceps (pink)

Diseases affecting skeletal muscle activity

Skeletal muscle is rarely affected directly by diseases. More often, diseases affecting the central or peripheral nervous system, result in secondary muscle dysfunction. Examples of central nervous disorders affecting muscle activity include strokes, brain tumors, Parkinson’s disease and multiple sclerosis. Examples of peripheral nervous diseases include motor neuron disease and peripheral neuropathies. However both neuromuscular junctions and skeletal muscle itself can be affected by disease.

Peripheral Neuropathy: is associated with various combinations of motor, sensory and autonomic dysfunction. Motor problems include weakness, cramps, spasms, muscle wasting and fasciculations. Sensory symptoms can include both loss of sensations and disordered sensations with tingling, numbness and a heightened sense of pain. Balance may be impaired. Autonomic involvement can result in abnormal control of blood pressure and heart rate, decreased ability to sweat, constipation or diarrhea, incontinence and sexual dysfunction.

Neuromuscular junction diseases

Also referred to as Motor Endplate Diseases. Diseases of the neuromuscular junctions are rare. Included in this group are:

  • Myasthenia Gravis: an auto-immune disease resulting most commonly from antibodies to acetylcholine receptors. It is now recognized that perhaps 20% of people with myasthenia gravis have antibodies to MuSK, a receptor protein that sits on the surface of muscle cells and which controls the formation of the concentrated clusters of acetylcholine receptors that are necessary for normal junctional function. Symptoms of myasthenia gravis include muscle fatigue during periods of activity with improvement after periods of rest. Muscles controlling eye and eyelid movement, facial expression, chewing, talking, and swallowing are especially susceptible. The majority of patients with myasthenia gravis also have thymus abnormalities and thymectomy can improve symptoms in some patients.

o The diagnosis of classical myasthenia gravis can be confirmed by testing a blood sample for antibodies against the acetylcholine receptor. Administration of the short-acting drug, edrophonium, that blocks acetylcholinesterase activity in the neuromuscular junctions, will provide a temporary improvement in muscle activity. Patients with the MuSK variant respond less well to edrophonium but can be shown to have MuSK antibodies. Treatment for MuSKpositive patients is limited, with most requiring immunosuppressive therapy (such as prednisone, azathioprine, cyclosporine or methotrexate), plasma exchange and intravenous immunoglobin.

  • Lambert-Eaton Myasthenic Syndrome (LEMS): an auto-immune disease causing muscle weakness, resulting from antibodies that affect voltage-sensitive calcium channels of motor end plates, inhibiting acetylcholine release. While LEMS may be found as a solitary disease, 50% of cases are cancerassociated. In contrast to myasthenia gravis, symptoms of LEMS tend to be worse in the morning and improve with exercise and nerve stimulation.

  • Botulism: a paralytic illness caused by the botulinum toxin, a neurotoxic protein produced by Clostridium botulinum. The toxin acts directly on the neuromuscular junction to inhibit acetylcholine release resulting in muscle paralysis. Muscles controlling eye and eyelid movement, facial expression, chewing, talking, and swallowing are especially susceptible. It is the most toxic protein known (LD50 of 0.005–0.05 µg/kg). In minute doses, it is used to treat muscle spasms and in the cosmetics industry.

Myopathies

Diseases affecting muscle itself are called myopathies. Among these are the muscular dystrophies, a group of genetic inherited diseases, which are characterized by progressive muscle weakness with death of muscle cells. The best known of these is Duchenne’s muscular dystrophy, a recessive X-linked condition that usually develops in young boys before the age of 5. As well as the effects on skeletal muscle, cardiac muscle can also be affected. The disorder is caused by a mutation in the dystrophin gene located on the X-chromosome that codes for dystrophin, a protein that connects the cell cytoskeleton to the extracellular matrix. Defects in dystrophin result in excess Ca2+ entering muscle cells with damage to mitochondria and consequent cell death. As cells die, there is increasing muscle weakness and eventually the respiratory muscles are affected.

Inflammatory muscle disorders are also seen. These include polymyalgia rheumatica that occurs mainly in the elderly, and the autoimmune conditions polymyositis and dermatomyositis.

Source Material

All images and text found in this lesson are a derivative of materials by ADInstruments NZ Limited 2019 used

under CC BY-SA https://www.adinstruments.com

Activities

Electromyography

Associated SLOs

  1. Collect, analyze, and present data related to electrical activity of skeletal muscle fibers via surface electromyography (EMG).

  2. Relate your EMG data to normal structure and function of skeletal muscle.

Required Materials

  • Connected Powerlab

  • 5-lead Bio Amp cable

  • Dry Earth Strap

  • Four electrodes

  • Abrasive gel

  • Tissue

  • Alcohol swab

  • Dumbbells (3, 5, 8, and 10 lbs.)

Equipment Setup

Before electrode attachment:

  1. Remove any jewelry and/or a watch from the volunteer's wrists.

  2. Lightly abrade the skin where the electrodes will be placed with a small amount of abrasive gel. The electrodes should be placed 2-5 cm apart and aligned with the long axis of the arm on both the biceps and triceps.

  3. Firmly swab the skin with alcohol swabs in each area where electrodes will be placed.

  4. Connect the five-lead Bio Amp cable to the Bio Amp socket on the PowerLab.

  5. Connect the five color-coded shielded lead wires to the Bio Amp cable.

  6. Make sure the PowerLab is connected to the computer and turned on.

  7. Attach the green shielded lead wire to the Dry Earth Strap.

  8. Firmly attach the Dry Earth Strap around the volunteer's wrist. The fuzzy side of the Dry Earth Strap needs to make full contact with the skin.

Abrading the skin is an essential step as it decreases the electrical resistance of the outer layer of skin and ensures good electrical contact.

Electrode attachment:

  1. Snap the CH1 and CH2 shielded lead wires onto disposable ECG electrodes.

  2. Remove the backing and then place the CH1 electrodes over the abraded area on the volunteer's biceps, and the CH2 electrodes over the abraded area on the volunteer's triceps. Press firmly so they adhere well. It does not matter which is positive and which is negative.

  3. Check that all four electrodes and the Dry Earth Strap are properly connected to the volunteer and the Bio Amp cable before proceeding.

Before you begin

Have the volunteer sit in a relaxed position, elbow bent to 90°, and the palm facing upwards. The volunteer should use his or her opposite hand to grasp the wrist of the arm from which the signal is being recorded.

Procedure

Part 1:

  1. Start recording. Add the comment: "biceps contraction" and ask the volunteer to moderately contract the biceps muscle, by trying to bend the arm further and resisting this movement with the other arm. Auto Scale the signal. Record for a few seconds.

    • Start/Stop

      • The Start button in the lower right of the Data panel allows you to start recording.

      • It changes to the Stop button during recording.

    • Comments

      • To add a comment to your data while recording, type some text in the Comment panel.

Then select add.

  • To add a comment after recording, select the required place in the Data panel, and proceed as above.

  • To modify an existing comment, select the Comment panel and edit the text.

  • Autoscale

    • Selecting this button from the Data panel allows you to auto scale the data.

  1. Add the comment: "triceps contraction" and ask the volunteer to moderately contract the triceps muscle by trying to straighten out the arm and resisting this movement with the other arm. Record for a few seconds.

  2. Repeat steps 1–2, but this time make a maximal contraction of the biceps and then the triceps muscles. Stop recording.

Part 2:

  1. Have the volunteer sit in a relaxed position as described above. Start recording.

  2. Prepare a comment "3 lbs."

  3. Place the three pound dumbbell in the volunteer's hand and ask them to remain as still as possible. Add the comment "3 lbs." and record for 2–3 seconds.

  4. Remove the dumbbell and stop recording.

  5. Repeat steps 2–3 for the 5, 8, and 10 lb. dumbbells to record the effect of increasing weights. Make sure to add a new comment for each dumbbell weight.

Additional Info – Four channels?

In the data panel there are four channels: two for the biceps and two for the triceps.

  • The lower two channels show the raw EMG signal.

  • The upper two channels display the root mean square (RMS or rms) of the EMG signal, which indicates the intensity of activity.

The RMS of the EMG signal is commonly used in the assessment of muscle function as it is easier to quantify.

For the mathematically curious:

You will have noticed that in the raw EMG signal, values fluctuate above and below zero. The mathematical "trick" to deal with this is to square all the values, for the square of a negative value gives you a positive one. Then you can add all of the squared values, take their mean, and then the square root of that mean will give you an indication of the strength of the contraction at any time – hence the description of this manipulation, the root mean square (RMS).

EMG Analysis

Before you begin

Scroll through the recorded data and note the relationship between the raw traces (Biceps or Triceps) and processed traces (RMS Biceps, RMS Triceps). The height of the RMS trace reflects the overall activity of the raw EMG signal, and gives a simpler view of the muscle's electrical activity.

Procedure

  1. Expand a small section of the dumbbell activity and examine it in more detail.

    • Examine the trace in more detail by selecting the Compression buttons, or selecting Auto Scale.

    • Note how the raw EMG signal is composed of many partly-overlapping spikes – this is the electrical activity of many motor units.

  2. Determine the maximum RMS biceps and triceps values for the 3 lb. dumbbell.

    • Use the double Data Handles to select the region of RMS Biceps and Triceps data corresponding to muscle activity with the 3 lb. dumbbell added.

    • Make sure the starting point of your selection begins after the initial muscular activity of adding the dumbbell has settled down.

    • The maximum values of the RMS Biceps and RMS Triceps channels will be shown in the respective Value panels. Enter these amplitude values into the table.

  3. Enter these values into the table below.

  4. Repeat steps 2-3 for the regions of data corresponding to the 5, 8, and 10 lb. dumbbells.

Check your understanding

  1. Unlike the discrete waveform from an ECG, the electromyogram waveform is irregular. Why is this?

  2. In your own words, explain how the EMG trace changed when you added weights to the volunteer's arm? Based on the data you collected, what can you infer is happening to the muscles as weight is added?

Lesson 19: Axial Skeleton

Created by Aimee Williams

Introduction

The axial skeleton forms the vertical, central axis of the body and includes all bones of the head, neck, chest, and back and serves to protect the brain, spinal cord, heart, and lungs. The axial skeleton also serves as the attachment site for muscles that move the head, neck, and back, and for muscles that act across the shoulder and hip joints to move their corresponding limbs.

Student learning outcomes (SLOs):

By the end of this lesson you will be able to:

  1. Identify specific bones and bone features of the axial skeleton on an articulated skeleton, on disarticulated bones, bone models, or on a picture/diagram

  2. Distinguish among vertebrae located in different regions of the vertebral column

  3. Identify and describe unique features of a fetal skull, including fontanels, and describe their function in the fetus

Background Information

The axial skeleton of the adult consists of 80 bones, including the skull, the vertebral column, and the thoracic cage. The skull is formed by 22 bones and the vertebral column consists of 24 bones, each called a vertebra, plus the sacrum and coccyx. The thoracic cage includes 12 pairs of ribs in addition to the sternum, the flattened bone of the anterior chest.

The Skull

Figure 19.1 Major Divisions of the Skull

The cranium (skull) is the skeletal structure of the head that protects the brain and supports the face. It is subdivided into the brain case and facial bones (Figure 19.1). The rounded brain case surrounds and protects the brain and houses the middle and inner ear structures. The facial bones underlie the facial structures, form the nasal cavity, enclose the eyeballs, and support the teeth of the upper and lower jaws.

In the adult, the skull consists of 22 individual bones, 21 of which are immobile and united into a single unit. The 22nd bone is the mandible (lower jaw), which is the only moveable bone of the skull.

Bones of the Brain Case

The brain case contains and protects the brain. The interior space that is almost completely occupied by the brain is called the cranial cavity. The bones that form the top and sides of the brain case are usually referred to as the “flat” bones of the skull. The floor of the brain case is referred to as the base of the skull. This is a complex area that varies in depth and has numerous openings for the passage of cranial nerves, blood vessels, and the spinal cord. The brain case consists of eight bones including the paired parietal and temporal bones, plus the unpaired frontal, occipital, sphenoid, and ethmoid bones (Figures 19.2-19.5).

The frontal bone is the single bone that forms the forehead supraorbital margin of the orbit, forming rounded ridges under the eyebrows. It extends into the eye socket to form the roof of the orbit below and the floor of the anterior cranial cavity above. The parietal bone forms most of the upper lateral side of the skull. These are paired bones, with the right and left parietal bones joining together at the top of the skull. Each parietal bone is also bounded anteriorly by the frontal bone, posteriorly by the occipital bone, and inferiorly by the temporal bone. The occipital bone is the single bone that forms the posterior skull and posterior base of the cranial cavity. On the base of the skull, the occipital bone contains the large opening of the foramen magnum, which allows for passage of the spinal cord as it exits the skull. On either side of the foramen magnum is an ovalshaped occipital condyle, which form joints with the first cervical vertebra and thus support the skull on top of the vertebral column. The temporal bone forms the lower lateral side of the skull and is possibly named because this area of the head (the temple) is where hair typically first turns gray, indicating the passage of time (temporal = “time”).

Figure 19.2 Lateral View of Skull.

Figure 19.3 Anterior View of Skull.

Figure 19.4 Posterior View of Skull.

Figure 19.5 External and Internal Views of the Base of the Skull.

The temporal bone is subdivided into several regions (Figure 19.6). The flattened, upper portion is the squamous portion. Below this area and projecting anteriorly is the zygomatic process of the temporal bone, which forms the posterior portion of the zygomatic arch when joined with the temporal process of the zygomatic bone. Posteriorly is the mastoid portion of the temporal bone. Projecting inferiorly from this region is a large prominence, the mastoid process, which serves as a muscle attachment site. The mastoid process can easily be felt on the side of the head just behind your earlobe. Anterior to the mastoid process is an elongated, downward bony projection called the styloid process, so named because of its resemblance to a stylus (a pen or writing tool). This structure serves as an attachment site for several small muscles. On the interior of the skull, the temporal bone forms a prominent, diagonally oriented ridge in the floor of the cranial cavity (figure 19.5). Located inside each ridge are small cavities that house the structures of the middle and inner ears. The external acoustic meatus, a large opening that house the ear canal, can be seen on the lateral side of the skull.

Figure 19.6 Temporal bone

The sphenoid bone is a single, complex bone of the central skull (Figure 19.7). It serves as a “keystone” bone, because it joins with almost every other bone of the skull. The sphenoid forms much of the base of the central skull (see Figure 19.5) and also extends laterally to contribute to the sides of the skull (see Figure 19.2). Inside the cranial cavity, the right and left lesser wings of the sphenoid bone, which resemble the wings of a flying bird, form the lip of a prominent ridge and the sella turcica (“Turkish saddle”) is located in between the lesser wings. The sella turcica is named for its resemblance to the horse saddles used by the Ottoman Turks, with a high back and a tall front. The rounded depression in the floor of the sella turcica is the hypophyseal (pituitary) fossa, which houses the pea-sized pituitary (hypophyseal) gland. The greater wings of the sphenoid bone extend laterally to either side away from the sella turcica, where they form the anterior floor of the middle cranial fossa. The greater wing is best seen on the outside of the lateral skull (Figure 19.2), where it forms a rectangular area immediately anterior to the squamous portion of the temporal bone. The sphenoid bone also forms a portion of the orbit (Figure 19.9). At the posterior apex of the orbit is the opening of the optic canal, which allows for passage of the optic nerve from the eyeball to the brain. Lateral to this are the elongated and irregularly shaped superior orbital fissure and inferior orbital fissure, which provides passage for the blood supply to the eyeball, sensory nerves, and the nerves that control the muscles involved in eye movements.

Figure 19.7 Sphenoid bone.

The ethmoid bone (Figure 19.8) is a single, midline bone that forms the roof and lateral walls of the upper nasal cavity, the upper portion of the nasal septum, and contributes to the medial wall of the orbit (Figures 19.2 and 19.9). Within the nasal cavity, the perpendicular plate of the ethmoid bone forms the upper portion of the nasal septum. On the interior of the skull, the ethmoid bone forms a small area at the midline in the floor of the anterior cranial fossa (Figure 19.5). This region also forms the narrow roof of the underlying nasal cavity. This portion of the ethmoid bone consists of two parts, the crista galli and cribriform plates. The crista galli (“rooster’s comb or crest”) is a small upward bony projection located at the midline. It functions as an anterior attachment point for one of the covering layers of the brain. To either side of the crista galli is the cribriform plate, a small, flattened area with numerous small openings termed olfactory foramina. Small nerve branches from the olfactory areas of the nasal cavity pass through these openings to enter the brain.

Figure 19.8 Anterior view of ethmoid bone.

Facial Bones

The anterior skull consists of the facial bones and provides the bony support for the eyes and structures of the face. The facial bones of the skull form the upper and lower jaws, the nose, nasal cavity and nasal septum, and the orbit. The facial bones include 14 bones (six paired bones and two unpaired bones). Although classified with the brain-case bones, the ethmoid bone also contributes to the nasal cavity and orbit and the sphenoid and frontal bones make up part of the orbit. Additionally, the supraorbital foramen provides passage for a sensory nerve to the skin of the forehead (Figure 19.9).

Figure 19.9 Bones of the Orbit. The orbit is the bony socket that houses the eyeball and contains the muscles that move the eyeball and the upper eyelid.

The maxillary bone (Figure 19.10), often referred to simply as the maxilla (plural = maxillae), is one of a pair that together form the upper jaw, much of the hard palate, the medial floor of the orbit, and the lateral base of the nose (Figure 19.9). On the anterior maxilla, just below the orbit, is the infraorbital foramen, which is the point of exit for a sensory nerve that supplies the nose, upper lip, and anterior cheek. On the inferior skull, the maxillary bone can be seen joining together at the midline to form the anterior three-quarters of the hard palate that forms the roof of the mouth and floor of the nasal cavity, separating the oral and nasal cavities (Figure 19.5).

Figure 19.10 Maxillary bone.

The palatine bone is one of a pair of irregularly shaped bones that contribute small areas to the lateral walls of the nasal cavity and the medial wall of each orbit (Figure 19.9). The plates from the right and left palatine bones join together at the midline to form the posterior quarter of the hard palate. Thus, the palatine bones are best seen in an inferior view of the skull and hard palate (Figure 19.5).

The zygomatic bone is also known as the cheekbone. Each of the paired zygomatic bones forms much of the lateral wall of the orbit and the lateral-inferior margins of the anterior orbital opening (Figure 19.9). The short temporal process of the zygomatic bone projects posteriorly, where it forms the anterior portion of the zygomatic arch (Figures 19.2 and 19.5). In a lateral view of the skull, the large, rounded brain case and the upper and lower jaws are separated by the bridge of bone known as the zygomatic arch. The zygomatic arch is the bony arch on the side of skull that spans from the area of the cheek to just above the ear canal. It is formed by the junction of two bony processes: a short anterior component, the temporal process of the zygomatic bone and a longer posterior portion, the zygomatic process of the temporal bone, extending forward from the temporal bone. Thus the temporal process (anteriorly) and the zygomatic process (posteriorly) join together, like the two ends of a drawbridge, to form the zygomatic arch. One of the major muscles that pull the mandible upward during biting and chewing arises from the zygomatic arch.

The nasal bone (Figure 19.9) is one of two small bones that articulate with each other to form the bony bridge of the nose. They also support the cartilages that form the lateral walls of the nose. These are the bones that are damaged when the nose is broken.

Each lacrimal bone is a small, rectangular bone that forms the anterior, medial wall of the orbit (Figures 19.2 and 19.8). The lacrimal fluid (tears of the eye) drains at the medial corner of the eye, which extends downward to open into the nasal cavity. In the nasal cavity, the lacrimal fluid normally drains posteriorly, but with an increased flow of tears due to crying or eye irritation, some fluid will also drain anteriorly, thus causing a runny nose.

The unpaired vomer is triangular-shaped bone that forms the posterior-inferior part of the nasal septum (Figure 19.3). In an anterior view of the skull, the vomer can be seen articulating to the perpendicular plate of the ethmoid bone, which forms the superior portion of the nasal septum. The vomer can also be seen in an inferior view of the skull (Figure 19.5).

The mandible (Figure 19.11) forms the lower jaw and is the only moveable bone of the skull. At the time of birth, the mandible consists of paired right and left bones, but these fuse together during the first year to form the single U-shaped mandible of the adult skull. Each side of the mandible consists of a horizontal body and posteriorly, a vertically oriented ramus of the mandible (ramus = “branch”). The ramus on each side of the mandible has two upward-going bony projections. The more anterior projection is the flattened coronoid process of the mandible, which provides attachment for one of the biting muscles. The posterior projection is the mandibular condyle, also known as the condylar process of the mandible, which is topped by the ovalshaped condyle. The mandiblular condyle articulates (joins) with the mandibular fossa and articular tubercle of the temporal bone. Together these articulations form the temporomandibular joint, which allows for opening and closing of the mouth. Additionally, the outside margin of the mandible, where the body and ramus come together is called the angle of the mandible. Located on each side of the anterior-lateral mandible, the mental foramen is an opening that allows passage of a sensory nerve supplying a chin.

Figure 19.11 Mandible.

Sutures of the Skull

A suture is an immobile fibrous joint between adjacent bones of the skull. The narrow gap between the bones is filled with dense, fibrous connective tissue that unites the bones. The long sutures located between the bones of the brain case are not straight, but instead follow irregular, tightly twisting paths. These twisting lines serve to tightly interlock the adjacent bones, thus adding strength to the skull for brain protection (Figures 19.2-19.4). The two suture lines seen on the top of the skull are the coronal and sagittal sutures. The coronal suture runs from side to side across the skull, within the coronal plane of section. It joins the frontal bone to the right and left parietal bones. The sagittal suture extends posteriorly from the coronal suture, running along the midline at the top of the skull in the sagittal plane of section to unite the right and left parietal bones. On the posterior skull, the sagittal suture terminates by joining the lambdoid suture. The lambdoid suture extends downward and laterally to either side away from its junction with the sagittal suture. The lambdoid suture joins the occipital bone to the right and left parietal and temporal bones. This suture is named for its upsidedown "V" shape, which resembles the capital letter version of the Greek letter lambda (Λ). The squamous suture is located on the lateral skull. It unites the squamous portion of the temporal bone with the parietal bone.

Fetal Skull

As the brain case bones grow in the fetal skull, they remain separated from each other by large areas of dense connective tissue, each of which is called a fontanelle (Figure 19.12). The fontanelles are the soft spots on an infant’s head and they are important during birth because these areas allow the skull to change shape as it squeezes through the birth canal. After birth, the fontanelles allow for continued growth and expansion of the skull as the brain enlarges. The largest fontanelle that most people are familiar with is the anterior fontanelle, at the junction of the frontal and parietal bones. Additionally, there are posterior, mastoid, and sphenoid fontanelles, which decrease in size and disappear by age 2. However, the skull bones remain separated from each other at the sutures, which contain dense fibrous connective tissue that unites the adjacent bones. The connective tissue of the sutures allows for continued growth of the skull bones as the brain enlarges during childhood growth.

The second mechanism for bone development in the skull produces the facial bones and floor of the brain case. A hyaline cartilage model of the future bone is produced and as this cartilage model grows, it is gradually converted into bone. This is a slow process and the cartilage is not completely converted to bone until the skull achieves its full adult size.

At birth, the brain case and orbits of the skull are disproportionally large compared to the bones of the jaws and lower face. This reflects the relative underdevelopment of the maxilla and mandible, which lack teeth, and the small sizes of the paranasal sinuses and nasal cavity. During early childhood, the mastoid process enlarges, the two halves of the mandible and frontal bone fuse together to form single bones, and the paranasal sinuses enlarge. The jaws also expand as the teeth begin to appear. These changes all contribute to the rapid growth and enlargement of the face during childhood.

Figure 19.12 Bones and fontanels of the fetal skull.

The Vertebral Column

Regions of the Vertebral Column

The vertebral column is subdivided into five regions (Figure 19.13), with the vertebrae in each area named for that region and numbered in descending order. In the neck, there are usually seven cervical vertebrae, each designated with the letter “C” followed by its number. Superiorly, the C1 vertebra articulates with the occipital condyles of the skull. Inferiorly, C1 articulates with the C2 vertebra, and so on. Below these are the 12 thoracic vertebrae, designated T1–T12. The lower back contains the L1–L5 lumbar vertebrae. The single sacrum, which is also part of the pelvis, is formed by the fusion of five sacral vertebrae. Similarly, the coccyx, or tailbone, results from the fusion of four small coccygeal vertebrae. However, the sacral and coccygeal fusions do not start until age 20 and are not completed until middle age.

Interestingly, almost all mammals have seven cervical vertebrae, regardless of body size. This means that there are large variations in the size of cervical vertebrae, ranging from the very small cervical vertebrae of a shrew to the greatly elongated vertebrae in the neck of a giraffe. In a full-grown giraffe, each cervical vertebra is 11 inches tall.

Figure 19.13 Regions of the vertebral column.

General Structure of a Vertebra

Within the different regions of the vertebral column, vertebrae vary in size and shape, but they all follow a similar structural pattern. A typical vertebra will consist of a body, a vertebral arch, and seven processes (Figure 19.14). The body is the anterior portion of each vertebra and is the part that supports the body weight. Because of this, the vertebral bodies progressively increase in size and thickness going down the vertebral column. The bodies of adjacent vertebrae are separate but strongly united by an intervertebral disc. The vertebral arch forms the posterior portion of each vertebra. It consists of four parts, the right and left pedicles and the right and left laminae. Each pedicle forms one of the lateral sides of the vertebral arch. The pedicles are anchored to the posterior side of the vertebral body. Each lamina forms part of the posterior roof of the vertebral arch. The large opening between the vertebral arch and body is the vertebral foramen, which contains the spinal cord.

Seven processes arise from the vertebral arch. Each paired transverse process projects laterally and arises from the junction point between the pedicle and lamina. The single spinous process (vertebral spine) projects posteriorly at the midline of the back. The vertebral spines can easily be felt as a series of bumps just under the skin down the middle of the back. The transverse and spinous processes serve as important muscle attachment sites. Additionally, a superior articular process extends or faces upward, and an inferior articular process faces or projects downward on each side of a vertebrae. The paired superior articular processes of one vertebra join with the corresponding paired inferior articular processes from the next higher vertebra. These junctions form slightly moveable joints between the adjacent vertebrae. The shape and orientation of the articular processes vary in different regions of the vertebral column and play a major role in determining the type and range of motion available in each region.

Figure 19.14 Parts of a typical vertebra.

Cervical Vertebrae

Typical cervical vertebrae (Figure 19.15), such as C4 or C5, have several characteristic features that differentiate them from thoracic or lumbar vertebrae. Cervical vertebrae have a small body, reflecting the fact that they carry the least amount of body weight. Cervical vertebrae usually have a bifid (Y-shaped) spinous process. The spinous processes of the C3–C6 vertebrae are short, but the spine of C7 is much longer. You can find these vertebrae by running your finger down the midline of the posterior neck until you encounter the prominent C7 spine located at the base of the neck. Each transverse process of the cervical vertebrae is curved (U-shaped) and has an opening called the transverse foramen to allow for passage of the cervical spinal nerves and an important artery that supplies the brain. The superior and inferior articular processes of the cervical vertebrae are flattened and largely face upward or downward, respectively.

The first and second cervical vertebrae are further modified, giving each a distinctive appearance. The first cervical vertebra (C1) is also called the atlas, because this is the vertebra that supports the skull on top of the vertebral column (in Greek mythology, Atlas was the god who supported the heavens on his shoulders). The atlas is ring-shaped and does not have a body or spinous process. The transverse processes of the atlas are longer and extend more laterally than do the transverse processes of any other cervical vertebrae. Furthermore, the superior articular processes face upward and are deeply curved for articulation with the occipital condyles on the base of the skull and the inferior articular processes are flat and face downward to join with the superior articular processes of the C2 vertebra. The second cervical vertebra (C2) is called the axis, because it serves as the axis for rotation when turning the head toward the right or left. The axis resembles typical cervical vertebrae in most respects, but is easily distinguished by the bony projection that extends upward from the vertebral body and fits inside the atlas above, where it is held in place by a ligament.

Figure 19.15 Cervical Vertebrae.

Thoracic Vertebrae

The bodies of the thoracic vertebrae (Figure 19.16) are larger than those of cervical vertebrae. The characteristic feature for a typical midthoracic vertebra is the spinous process, which is long and has a pronounced downward angle that causes it to overlap the next inferior vertebra. The superior articular processes of thoracic vertebrae face anteriorly and the inferior processes face posteriorly. These orientations are important determinants for the type and range of movements available to the thoracic region of the vertebral column. Unique to thoracic vertebrae, several additional articulation sites where ribs attach, called facets, are located on the lateral sides of the body and the transverse process.

Figure 19.16 Thoracic Vertebrae.

Lumbar Vertebrae

Lumbar vertebrae (Figure 19.17) carry the greatest amount of body weight and are thus characterized by the large size and thickness of the vertebral body. They have short transverse processes and a short, blunt spinous process that projects posteriorly. The articular processes are large, with the superior process facing posteriorly and the inferior facing anteriorly.

Figure 19.17 Lumbar Vertebra.

Sacrum and Coccyx

The sacrum (Figure 19.18) is a triangular-shaped bone that is thick and wide across its superior base where it is weight bearing and then tapers down to an inferior, non-weight bearing apex. It is formed by the fusion of five sacral vertebrae, a process that does not begin until after the age of 20. On the anterior surface of the older adult sacrum, the lines of vertebral fusion can be seen as four transverse ridges. On the posterior surface, the remnant of the fused spinous processes and transverse processes of the sacral vertebrae can be seen as vertical bumpy ridges. The superior articular process of the sacrum articulates with the inferior articular processes from the L5 vertebra.

The coccyx (Figure 19.18), commonly known as the tailbone, is derived from the fusion of four very small coccygeal vertebrae. It articulates with the inferior tip of the sacrum. It is not weight bearing in the standing position, but may receive some body weight when sitting.

Figure 19.18 Sacrum and Coccyx.

Disease states of the vertebral column

Developmental anomalies, pathological changes, or obesity can enhance the normal vertebral column curves, resulting in the development of abnormal or excessive curvatures (Figure 19.19). Kyphosis, also referred to as humpback or hunchback, is an excessive posterior curvature of the thoracic region. This can develop when osteoporosis causes weakening and erosion of the anterior portions of the upper thoracic vertebrae, resulting in their gradual collapse (Figure 19.21). Lordosis, or swayback, is an excessive anterior curvature of the lumbar region and is most commonly associated with obesity or late pregnancy. The accumulation of body weight in the abdominal region results an anterior shift in the line of gravity that carries the weight of the body. This causes an anterior tilt of the pelvis and a pronounced enhancement of the lumbar curve.

Scoliosis is an abnormal, lateral curvature, accompanied by twisting of the vertebral column. Compensatory curves may also develop in other areas of the vertebral column to help maintain the head positioned over the feet. The cause of scoliosis is usually unknown, but it may result from weakness of the back muscles, defects such as differential growth rates in the right and left sides of the vertebral column, or differences in the length of the lower limbs. When present, scoliosis tends to get worse during adolescent growth spurts. Although most individuals do not require treatment, a back brace may be recommended for growing children. In extreme cases, surgery may be required.

Figure 19.19 Abnormal Curvature of the Vertebral Column.

Figure 19.20 Effect of osteoporosis on curvature

The Thoracic Cage

The thoracic cage (rib cage) protects the heart and lungs. The thoracic cage consists of the sternum and 12 pairs of ribs with their costal cartilages (Figure 19.21). The ribs are anchored posteriorly to the 12 thoracic vertebrae (T1–T12).

Figure 19.21 Thoracic cage.

Sternum

The sternum (Figure 19.21) is the elongated bony structure that anchors the anterior thoracic cage. It consists of three parts: the manubrium, body, and xiphoid process. The manubrium is the wider, superior portion of the sternum. The top of the manubrium has a shallow, U-shaped border called the jugular (suprasternal) notch. This can be easily felt at the anterior base of the neck, between the medial ends of the clavicles. The clavicular notch is the shallow depression located on either side of the jugular notch at the superior-lateral margins of the manubrium. As the name suggests, this is where the sternum articulates to the clavicles. Inferior to the clavicular notches, the first ribs also attach to the manubrium at the first costal notch (costal = rib). The elongated, central portion of the sternum is the body. The manubrium and body join together at the sternal angle, so called because the junction between these two components is not flat, but forms a slight bend. The body contains 6 costal notches on each side where ribs 2-7 articulate with the second rib attaching near the sternal angle. Since the first rib is hidden behind the clavicle, the second rib is the highest rib that can be identified by palpation. Thus, the second rib and the sternal angle are important landmarks for the identifying and counting the lower ribs. The inferior tip of the sternum, known as the xiphoid process, serves as an attachment site for several muscles. This small structure is cartilaginous early in life, but gradually becomes ossified starting during middle age.

Ribs

Each rib is a curved, flattened bone that contributes to the wall of the thorax. The ribs articulate posteriorly with the T1–T12 thoracic vertebrae, and most attach anteriorly via their costal cartilages to the sternum.

There are 12 pairs of ribs, numbered 1–12 in accordance with the thoracic vertebrae to which each articulates (Figure 19.21).The bony ribs do not extend anteriorly completely around to the sternum. Instead, the ends of each rib are attached to hyaline cartilage, which can extend for several inches. Most ribs are then attached, either directly or indirectly, to the sternum via this cartilage. The ribs are classified into three groups based on their relationship to the sternum. Ribs 1–7 are classified as true ribs (vertebrosternal ribs) because the cartilage from each of these ribs attaches directly to the sternum. Ribs 8–12 are called false ribs

(vertebrochondral ribs) because the cartilages from these ribs do not attach directly to the sternum. For ribs 8–10, the cartilages are attached to the cartilage of the next higher rib. Thus, the cartilage of rib 10 attaches to the cartilage of rib 9, rib 9 then attaches to rib 8, and rib 8 is attached to rib 7. The last two ribs (11–12) are called floating ribs (vertebral ribs) because they are short ribs that do not attach to the sternum at all. Instead, their small costal cartilages terminate within the musculature of the lateral abdominal wall.

Source Material

All images and text found in this section are a derivative of "Anatomy and Physiology" by OpenStax CNX used under CC BY 4.0. Aug 2, 2019. Download the original text for free at http://cnx.org/contents/14fb4ad7-39a1-

4eee-ab6e-3ef2482e3e22@16.1

Activities

Bones of the Skull

Associated SLOs

1. Identify specific bones and bone features of the axial skeleton on an articulated skeleton, on disarticulated bones, bone models, or on a picture/diagram

3. Identify and describe unique features of a fetal skull, including fontanels, and describe their function in the fetus

Required Materials

  • Adult articulated skull

  • Fetal articulated skull

  • Tape

  • Marker

  • Phone or other device

Procedure

1. Label the following features of an adult articulated skull with tape and post a picture to Lt:

  1. Parietal bone 21. Mastoid process

  2. Occipital bone 22. Styloid process

  3. Temporal bone 23. Mandibular condyle

  4. Frontal bone 24. Infraorbital foramen

  5. Mandible 25. Mental foramen

  6. Zygomatic bone 26. Supraorbital foramen

  7. Nasal bone 27. Foramen magnum

  8. Sphenoid bone 28. Ethmoid bone

  9. Ethmoid bone 29. Ethmoid bone – cribriform plate

  10. Maxilla 30. Ethmoid bone – perpendicular plate

  11. Lacrimal bone 31. Ethmoid bone – crista galli

  12. Vomer 32. Sphenoid bone

  13. Palatine bone 33. Sphenoid bone – greater wing

  14. Coronal suture 34. Sphenoid bone – lesser wing

  15. Lambdoid suture 35. Sphenoid bone – sella turcica

  16. Squamous suture 36. Sphenoid bone – hypophyseal fossa

  17. Sagittal suture 37. Sphenoid bone - optic canal

  18. Zygomatic process of temporal bone 38. Superior orbital fissure

  19. Temporal process of zygomatic bone 39. Inferior orbital fissure

  20. External acoustic meatus

2. Label the following features in the fetal skull with tape and post a picture to Lt:

  1. Parietal bone 10. Sphenoid fontanel

  2. Occipital bone

  3. Temporal bone

  4. Frontal bone

  5. Mandible

  6. Maxilla

  7. Anterior fontanel

  8. Posterior fontanel

  9. Mastoid fontanel

Check your understanding

7. Label the following figures:

Bones of the Thorax

Associated SLOs

1. Identify specific bones and bone features of the axial skeleton on an articulated skeleton, on disarticulated bones, bone models, or on a picture/diagram

Required Materials

  • Articulated skeleton

  • Phone or other device

Procedure

  1. Take a picture of the anterior thorax of a skeleton.

  2. Upload the picture to Lt and annotate the following bone features:

  1. Manubrium

  2. Body of Sternum

  3. Xiphoid process

  4. Suprasternal (jugular) notch

  5. Clavicular notch

  6. Sternal angle

  7. Costal notch

  8. True ribs

  9. False ribs

  10. Floating ribs

Check your understanding

  1. What does a costal notch articulate to? _____________________________

  2. What does the clavicular notch articulate to? __________________________

  3. What does suprasternal notch articulate to? __________________________ 4. Order the following features of the sternum from most superior to most inferior:

• • • •

•

Body of sternum

Suprasternal (jugular) notch

Manubrium

Xiphoid process

Sternal angle

Most superior:_____________________

_____________________

_____________________

_____________________

Most inferior: _____________________

The Vertebral Column

Associated SLOs

  1. Identify specific bones and bone features of the axial skeleton on an articulated skeleton, on disarticulated bones, bone models, or on a picture/diagram

  2. Distinguish among vertebrae located in different regions of the vertebral column

Required Materials

  • Articulated skeleton

  • Phone or other device

Procedure

  1. Take a picture of a thoracic vertebra (superior view).

  2. Upload the picture to Lt and annotate the following bone features:

  1. Body

  2. Vertebral arch – pedicle

  3. Vertebral arch – lamina

  4. Spinous process

  1. Transverse process

  2. Vertebral foramen

  3. Superior articular process

  4. Inferior articular process

Check Your Understanding

  1. Label the following figure:

  1. Identify which of the following vertebrae as cervical, thoracic, or lumbar:

________________________ __________________________ ___________________________

Lesson 20: Axial Musculature

Created by Aimee Williams

Introduction

The muscles of the head, neck, and trunk provide strength and stability to the trunk of the body while also allowing some special functions such as creating facial expressions and breathing. In this lesson, students will identify select muscles of the head, neck, and trunk and work to understand their function via muscle attachments, actions, and innervation.

Student learning outcomes (SLOs):

By the end of this lesson you will be able to:

  1. Identify muscles of the head, neck, and trunk on a model, figure, diagram, and/or dissected material.

  2. Precisely describe the action(s) for each muscle.

  3. For select muscles, identify their points of attachment (origins and insertions).

  4. Name the nerve that innervates each muscle.

Background Information

Muscles of the Head

This course focuses on a subset of muscles of the head responsible for common movements (Figure 20.1, Table 20.1). Note that the origins of the muscles of facial expression are on the surface of the skull and that the insertions of these muscles have fibers intertwined with connective tissue and the dermis of the skin. Because the muscles insert in the skin rather than on bone, when the muscles contract the skin moves more significantly than seen in the appendages to create our wide variety of facial expressions.

Orbicularis translates to “little circle” in Latin. Accordingly, the orbicularis oris is a circular muscle that moves the lips, and the orbicularis oculi is a circular muscle that closes the eye. The occipitofrontalis muscle raises the scalp and eyebrows. The occipitofrontalis has a frontal belly and an occipital belly (near the occipital bone on the posterior part of the skull) belly. In other words, there is a muscle on the forehead (frontalis) and one on the back of the head (occipitalis), but there is no muscle across the top of the head. Instead, the two bellies are connected by a broad tendon called the epicranial aponeurosis, or galea aponeurosis (galea = “apple”), because the physicians originally studying human anatomy thought the skull resembled an apple.

Figure 20.1 Muscles of the Head.

There are several small facial muscles that aid movement of the mouth. These include the zygomaticus major and zygomaticus minor, which move the mouth upward and outward, and the risorius, which pulls the angle of the mouth laterally, aiding in actions such as laughing or smiling. Additionally, the levator labii superioris inserts into the skin of the upper lip to raise and protrude the upper lip, showing the upper gums.

Located at the tip of the chin is the mentalis which is a deep, paired muscle that causes protrusion of the lower lip and elevation of the skin of the chin to provide stability to the lower lip (ex: pouting). Overlaying the mentalis, the depressor labii inferioris muscle has a similar function and assists in actions such as kissing or playing the trumpet.

Muscles involved in chewing (also known as mastication) must be able to exert enough pressure to bite through and then chew food before it is swallowed. Therefore, the muscles that move the lower jaw are typically located within the cheek and originate from processes in the skull. The masseter muscle is the primary muscle used for chewing because it elevates the mandible to close the mouth. It is assisted by the temporalis muscle, which also retracts the mandible. You can feel the temporalis move by putting your fingers to your temple as you chew. Additionally, the buccinator flattens the cheek area to hold the cheek to the teeth in order to keep food in the correct position while chewing and also allows you to whistle, blow, and suck.

Table 20.1 Muscles of the Head

Muscle Name

Primary Action

Attachment 1

(Origin)

Attachment 2 (Insertion)

Innervation

Frontalis

Raise eyebrows, draw scalp anteriorly

Galea aponeurotica

Subcutaneous tissue of eyebrows

Facial nerve (VII)

Temporalis

Elevate (closes) mandible

Temporal fossa

Coronoid process and ramus of mandible

Trigeminal nerve (V)

Masseter

Elevate (closes) mandible

Zygomatic arch

Angle and ramus of mandible

Trigeminal nerve (V)

Orbicularis oculi

Close eyelid

Frontal and maxilla on medial margin of orbit

Skin of eyelid

Facial nerve (VII)

Orbicularis oris

Close lips

Modiolus of mouth

Skin near lips

Facial nerve (VII)

Risorius

Abduct corner of mouth (draws corner of mouth laterally)

Fascia of masseter, zygomatic bone

Modiolus at angle of mouth

Facial nerve (VII)

Mentalis

Protrude lower lip

Anterior mandible

Skin of chin below lower lip

Facial nerve (VII)

Buccinator

Compress cheek

Maxilla and mandible near molar teeth

Orbicularis oris

Facial nerve (VII)

Zygomaticus

(major and minor)

Elevate corner of mouth (in smiling and laughing)

Zygomatic bone

Superlateral angle of

mouth and muscles of upper lip

Facial nerve (VII)

Depressor labii inferioris

Depress inferior lip

Mandible

Muscles and skin of inferior lip

Facial nerve (VII)

Levator labii superioris

Elevate superior lip, flares nostril

Maxilla and zygomatic bones

Muscles of superior

lip

Facial nerve (VII)

Muscles of the Neck and Back

Muscles of the Anterior Neck

The muscles of the anterior neck assist in deglutition (swallowing) and speech by controlling the positions of the larynx (voice box), and the hyoid bone (Figure 20.2, Table 20.2). Muscles of the anterior neck that insert at the hyoid bone are categorized according to their position relative to the hyoid bone, which is a small horseshoe-shaped bone located in the anterior midline of the neck. The digastric muscle has anterior and posterior bellies joined by an intermediate tendon located at the hyoid bone that work to elevate the hyoid bone when you swallow. The mylohyoid muscle runs from the mandible to the hyoid bone, forming the floor of the oral cavity and depressing the tongue to the top of the mouth. The strap-like omohyoid muscle has a superior and inferior belly joined by a tendon which lies deep to the sternocleidomastoid muscle.

Figure 20.2 Muscles of the Anterior Neck.

The head, attached to the top of the vertebral column, is balanced, moved, and rotated by several neck muscles. When these muscles act unilaterally, the head rotates. When they contract bilaterally, the head flexes or extends. The major muscle that laterally flexes and rotates the head is the sternocleidomastoid. When viewed from the side, this muscle divides the neck into anterior and posterior triangles (Figure 20.3). Place your fingers on both sides of the neck and turn your head to the left and to the right. You will feel the movement originate there.

Figure 20.3 Muscles of the Lateral Neck.

The platysma (Figure 20.3) are a pair of superficial muscles that overlaps the sternocleidomastoid and other muscles of the anterior neck. It serves to pull down the mandible, open the mouth, and pull down the corners of the mouth, forming a frown. As a person ages, the tissue connecting the platysma muscles to the overlying skin loses its elasticity contributing to wrinkles and sagging in the neck. To correct this, a cosmetic surgery called a platysmaplasty (commonly called a neck lift) can be performed, which sutures the two platysma together.

Figure 20.3 Platysma. Public Domain, https://commons.wikimedia.org/w/index.php?curid=2212993

Muscles of the Posterior Neck and Back

The posterior muscles of the neck are primarily concerned with head movements, like extension. The scalene muscles work together to flex the neck, tilt and rotate the head, and also contribute to deep inhalation. The scalene muscles include the anterior scalene muscle (anterior to the middle scalene), the medial (or middle) scalene muscle (the longest, intermediate between the anterior and posterior scalenes), and the posterior scalene muscle (the smallest, posterior to the middle scalene). The middle and anterior scalenes can been seen in Figure 20.3, but the posterior scalene muscle is located deep to the trapezius and is not pictured. Additionally, the levator scapulae, as its name suggests, functions mainly is to elevate the scapula.

The back muscles stabilize and move the vertebral column, and are grouped according to the lengths and direction of the fascicles. The erector spinae group forms the majority of the muscle mass of the back and is the primary extensor of the vertebral column. It controls flexion, lateral flexion, and rotation of the vertebral column, and maintains the lumbar curve. The erector spinae group is comprised of the iliocostalis (laterally placed) group, the longissimus (intermediately placed) group, and the spinalis (medially placed) group (Figure 20.4).

Figure 20.4 Muscles of the Back.

Table 20.2. Muscles of the Neck and Back
Muscle Name

Primary Action

Attachment 1

(Origin)

Attachment 2 (Insertion)

Innervation

Levator scapulae

Elevate scapula, abduct and rotate neck

Vertebrae C1-4

Upper vertebral border of scapula

Spinal nerves C3-5 and posterior scapular nerve

Scalenes (anterior, middle, posterior)

Flex and rotate neck, elevate ribs 1 and 2

Transverse process

of cervical vertebrae

Ribs 1 and 2

Spinal nerves C3-8

Sternocleidomastoid

Abduct, rotate, and flex head

Sternum, clavicle

Mastoid process of temporal bone

Spinal nerves C2-4, accessory nerve (XI)

Omohyoid

Depress hyoid bone

Superior border of scapula

Hyoid bone

Spinal nerves C1-3

Platysma

Depress inferior lip, open jaw

Fascia covering pectoralis major and deltoid

Mandible and skin of inferior region of face

Facial nerve (VII)

Digastric

Open mouth; depress mandible

Inferior, distal margin of mandible, mastoid notch of temporal

Hyoid bone

Trigeminal (V) and facial (VII) nerves

Mylohyoid

Elevate hyoid bone and tongue

Inferior margin of mandible

Hyoid bone

Trigeminal nerve (V)

Erector spinae

(iliocostalis, longissimus, spinalis)

Extend and rotate vertebral column and head

Nuchal ligament, thoracic and lumbar vertebrae, sacrum, ilium, ribs

3-12

All ribs, all thoracic vertebrae, temporal bones

Dorsal rami of spinal nerves

Muscles That Position the Pectoral Girdle

The pectoral girdle, or shoulder girdle, consists of the lateral ends of the clavicle and scapula, the proximal end of the humerus, along with the muscles covering these three bones that act stabilize the shoulder joint. The girdle creates a base from which the head of the humerus, in its ball-and-socket joint with the glenoid fossa of the scapula, can move the arm in multiple directions which was described in detail during Module 3.

Muscles that position and stabilize the pectoral girdle are located on both the anterior and posterior thorax (Figures 20.5 and 20.6). Anteriorly located, the serratus anterior and pectoralis minor muscles connect the ribs to the scapula while the trapezius, rhomboid major and rhomboid minor connect the scapula to the vertebral column on the posterior. The rhomboids are located deep to the trapezius and when contracted, moves your scapula medially, pulling the shoulder and upper limb posteriorly. Additionally, the pectoralis major and latissimus dorsi connect the trunk directly to the humerus on the anterior and posterior, respectively, allowing these large muscles to move the arm.

Figure 20.5 Muscles that position the pectoral girdle

Figure 20.6 Muscles that move the humerus.

Table 20.3 Muscles of the Pectoral Girdle
Muscle Name

Primary Action

Attachment 1

(Origin)

Attachment 2 (Insertion)

Innervation

Pectoralis major

Flex, adduct, and

medially rotate humerus

Clavicle, sternum, cartilages of ribs 1-7

Crest of greater tubercle of humerus

Medial and lateral pectoral nerves

Pectoralis minor

Depress glenoid cavity

Ribs 3-5

Coracoid process of scapula

Medial and lateral pectoral nerves

Trapezius

Extend and abduct head; rotate and adduct scapula; fix scapula

Posterior occipital bone, nuchal ligament, vertebrae C7-T4

Clavicle, acromion, and spine of scapula

Accessory nerve (XI)

Latissimus dorsi

Extend, adduct, and medially rotate humerus; draw shoulder inferiorly

Vertebrae T7-12, L15, crest of ilium, ribs

10-12

Intertubercular sulcus of humerusThoracodorsal nerve

Rhomboid major

Adduct scapula

Spines of vertebrae T2-5

Medial border of scapulaDorsal scapular nerve

Rhomboid minor

Adduct scapula

Nuchal ligament, spines of vertebrae C7-T1

Medial border of scapulaDorsal scapular nerve

Muscles of the Thorax

The muscles of the chest serve to facilitate breathing by changing the size of the thoracic cavity. When you inhale, your chest rises because the cavity expands. Alternately, when you exhale, your chest falls because the thoracic cavity decreases in size. There are three sets of muscles, called intercostal muscles, which span each of the intercostal spaces. The principal role of the intercostal muscles is to assist in breathing by changing the dimensions of the rib cage (Figure 20.7).

The 11 pairs of superficial external intercostal muscles aid in inspiration of air during breathing because when they contract, they raise the rib cage, which expands it. Lying just under the externals, the 11 pairs of internal intercostal muscles are used for expiration because they draw the ribs together to constrict the rib cage. Each external and internal intercostal muscle extends around the entire rib cage, with the internal intercostal always lying deep to the external intercostal. The third layer, the innermost intercostals, likely serve a similar role as the internal intercostals.

Figure 20.6 Intercostal Muscles.

The diaphragm is the primary muscle that allows a person to breathe via respiration. When the diaphragm contracts, the thoracic cavity expands which leads to the movement of air into the respiratory system (inhalation). When the diaphragm relaxes, the thoracic cavity decreases in size which leads to the movement of air out of the respiratory system (exhalation). The diaphragm separates the thoracic and abdominal cavities, and is dome-shaped at rest, creating the curved roof of the abdominal cavity (Figure 20.7). The skeletal muscle portions of the diaphragm insert into the central tendon, while having a number of origins including the xiphoid process of the sternum anteriorly, the inferior six ribs and their cartilages laterally, and the lumbar vertebrae and 12th ribs posteriorly. The diaphragm also includes three openings for the passage of the veins, arteries, and the esophagus between the thorax and the abdomen.

Hiccups are involuntary contractions of the diaphragm. Each contraction is followed by a sudden closure of your vocal cords, which produces the characteristic "hic" sound. Furthermore, defecating, urination, and even childbirth involve cooperation between the diaphragm and abdominal muscles (this cooperation is referred to as the “Valsalva maneuver”) in order to change pressures in the body’s cavities. You hold your breath via a steady contraction of the diaphragm; this stabilizes the volume and pressure of the peritoneal cavity. When the abdominal muscles also contract, the pressure cannot push the diaphragm up, so it increases pressure on structures of the intestinal tract (defecation), urinary tract (urination), or reproductive tract (childbirth).

Figure 20.7 The Diaphragm

Table 20.4. Muscles of the Thorax
Muscle Name Primary Action

Attachment 1

(Origin)

Attachment 2 (Insertion)

Innervation

External intercostalsElevate ribs (increases volume in thorax)

Inferior border of ribs 1-11

Superior border of next inferior rib

Intercostal nerves

Internal intercostalsElevate and depress ribs

Superior border of ribs 2-12

Inferior border of next superior rib

Intercostal nerves

DiaphragmInspiration

Xiphoid process, ribs 7-12, superior lumbar vertebrae

Central tendon of diaphragm

Phrenic nerve

Muscles of the Abdomen

It is a complex job to balance the body on two feet and walk upright. The muscles of the vertebral column, thorax, and abdominal wall extend, flex, and stabilize different parts of the body’s trunk. The deep muscles of the core of the body help maintain posture as well as carry out other functions. The brain sends out electrical impulses to these various muscle groups to control posture by alternate contraction and relaxation. This is necessary so that no single muscle group becomes fatigued too quickly. If any one group fails to function, body posture will be compromised.

There are four pairs of abdominal muscles that cover the anterior and lateral abdominal region and meet at the anterior midline. These muscles of the anterolateral abdominal wall can be divided into four groups: the rectus abdominis, the external obliques, the internal obliques, and the transverse abdominis (Figure 20.8).

The linea alba is a white, fibrous band that is made of the bilateral rectus sheaths that join at the anterior midline of the body. These enclose the rectus abdominis muscles (a pair of long, linear muscles, commonly called the “abs”) that originate at the pubic crest and symphysis, and extend the length of the body’s trunk. Each muscle is segmented by three transverse bands of collagen fibers called the tendinous intersections. This results in the look of “six-pack abs,” as each segment can hypertrophy on individuals at the gym who work on strengthening these muscles.

Additionally, there are three flat skeletal muscles in the antero-lateral wall of the abdomen. The external abdominal oblique, closest to the surface, extend inferiorly and medially, in the direction of sliding one’s four fingers into pants pockets. Underneath the external oblique muscles lie the internal abdominal obliques, extending superiorly and medially, the direction the thumbs usually go when the other fingers are in the pants pocket. The deep muscle, the transverse abdominis, is arranged transversely around the abdomen, similar to the front of a belt on a pair of pants. This arrangement of three bands of muscles in different orientations allows various movements and rotations of the trunk. The three layers of muscle also help to protect the internal abdominal organs in an area where there is no bone.

The posterior abdominal wall is formed by the lumbar vertebrae, parts of the ilia of the hip bones, psoas major and iliacus muscles, and quadratus lumborum muscle (Figure 20.8). This part of the core plays a key role in stabilizing the rest of the body and maintaining posture. The quadratus lumborum is located posterior to the intestines, so it is typically too deep to be viewed on an anteriorly-positioned cadaver.

Figure 20.8 Muscles of the Abdomen.

Table 20.5. Muscles of the Abdomen
Muscle Name

Primary Action

Attachment 1

(Origin)

Attachment 2 (Insertion)

Innervation

External abdominal oblique

Compress abdominal wall, laterally rotate waist

Ribs 5-12

Iliac crest, pubis

Intercostal nerves T7-12

Internal abdominal oblique

Compress abdominal wall, laterally rotate waist

Inguinal ligament, iliac crest

Pubis, ribs 10-12

Intercostal nerves T7-12, spinal nerve L1

Transverse abdominal

Compress abdominal wall, laterally rotate waist

Inguinal ligament, iliac crest, costal cartilages 7-12

Linea alba, pubis

Intercostal nerves T7-12, spinal nerve L1

Rectus abdominis

Flex vertebral column, compress abdominal wall

Crest of pubis, pubic symphysis

Costal cartilages 5-7, xiphoid process

Intercostal nerves T6-12

Serratus anterior

Abduct scapula (moves scapula away from spinal column)

Ribs 1-8

Vertebral border and inferior angle of scapula

Long thoracic nerve

Quadratus lumborum

Extend and abduct vertebral column

Iliac crest

Vertebrae L1-4, rib 12

L1-4, T12

Source Material

All images and text found in this section are a derivative of "Anatomy and Physiology" by OpenStax CNX used under CC BY 4.0. Aug 2, 2019. Download the original text for free at http://cnx.org/contents/14fb4ad7-39a1-

4eee-ab6e-3ef2482e3e22@16.1

Activities

Muscles of the Thorax, Abdomen, and Posterior Back

Associated SLOs

1. Identify muscles of the head, neck, and trunk on a model, figure, diagram, and/or dissected material.

Required Materials

• Dissected Cadaver

Procedure

  1. Form groups of 2-3 students.

  2. Review the following muscles of the trunk on a dissected cadaver:

    • External abdominal oblique o Internal intercostals o Internal abdominal oblique o Diaphragm o Transverse abdominal o Erector spinae group o Rectus abdominis o Rhomboid major o Serratus anterior o Rhomboid minor o Pectoralis major o Trapezius

    • Pectoralis minor o Latisimus dorsi o External intercostals

  3. In your group, quiz each other on the muscles of the cadaver without looking at the list.

Check Your Understanding 1. Label the following figure:

Muscles of the Head, Neck, and Trunk

Associated SLOs

  1. For select muscles, identify their points of attachment (origin and insertion).

  2. Apply Learning Outcome 2 to describe an example action associated with each muscle of the head, neck, and trunk.

Required Materials

  • Articulated Skeleton

  • Phone or other device

Procedure

2. Take a picture of the head/neck region of an articulated skeleton and label the attachment points for the following muscles of the head and neck:

  • Temporalis o Masseter

  • Zygomaticus (major and minor) o Sternocleidomastoid

2. Take a picture of the thorax/abdomen of an articulated skeleton and label the attachment points for the following abdominal muscles:

o Rectus abdominis

Check Your Understanding

  1. Without looking back to the tables provided in the background information, speculate what the action is for the following muscles (think about where the muscle attaches and how the bones would move when that muscle contracts):

Muscle

Action

Temporalis
Masseter
Zygomaticus (major and minor)
Sternocleidomastoid
Rectus abdominis

Muscles of the Head and Neck

Associated SLOs

  1. Identify muscles of the head and neck a model, figure, diagram, and/or dissected material.

Required Materials

  • Half-head muscle model

  • Phone or other device

  • Tape

  • Marker or pen

Procedure

1. Label the muscular half head muscles with tape and post a picture to Lt:

  • Frontalis

  • Masseter

  • Orbicularis oculi o Orbicularis oris o Risorius o Mentalis o Buccinator o Zygomaticus (major & minor) o Depressor labii inferioris

Check Your Understanding

3. Label the following figure:

  • Levator labii superioris o Levator scapulae o Scalenes (anterior, middle, posterior)

  • Sternocleidomastoid

  • Omohyoid o Digastric o Mylohyoid

4. Match the muscle to the function:

Frontalis

Masseter

Orbicularis oculi

Orbicularis oris

Risorius

Mentalis

Buccinator

Zygomaticus (major & minor)

Depressor labii inferioris

Levator labii superioris

Closes eyelids

Raises eyebrows

Protrudes lower lip

Elevates superior lip

Abducts corner of mouth

Elevates (closes) mandible

Compresses cheek

Depresses inferior lip

Closes lips

Elevates corners of mouth (in smiling

and laughing)

Source Material

OpenStax, 11.3 Axial Muscles of the Head, Neck, and Back. OpenStax CNX. May 2, 2019 http://cnx.org/contents/ff1ab6794c9d-4b8f-9792-6da5fdba00d3@9.

OpenStax, 11.4 Axial Muscles of the Abdominal Wall, and Thorax. OpenStax CNX. May 2, 2019 http://cnx.org/contents/6f7606e8-f229-46a7-9ff2-aceb7f0179a3@10

OpenStax, 11.5 Muscles of the Pectoral Girdle and Upper Limbs. OpenStax CNX. May 2, 2019 http://cnx.org/contents/a8eab9b7-7273-4a46-8c15-3dca136d069c@8

Gray, Henry. Anatomy of the Human Body. Philadelphia: Lea & Febiger, 1918; Platysma figure 378. Bartleby.com, 2000.

Lesson 21: Intervertebral Discs

Created by Dan McNabney and Aimee Williams

Introduction

This lesson explores one example of joints seen within the axial region: intervertebral discs which are symphyses between adjacent vertebrae. This specialized form of articulation supports the weight of the body and can be a common site for dysfunction.

Student learning outcomes (SLOs):

By the end of this lesson you will be able to:

  1. Identify key structures for the intervertebral discs.

  2. Describe the functional relevance of this specialized form of joint.

Background Information

Normal Structure and Function

The bodies of adjacent vertebrae are separated by a fibrocartilaginous pad called an intervertebral disc. Intervertebral discs provide padding between vertebrae during weight bearing activities (Figure 21.1). As a result, intervertebral discs are thinnest in the cervical region and thickest in the lumbar region, which supports the most body weight. In total, the intervertebral discs account for approximately 25% of the height of your vertebral column. Intervertebral discs are also flexible and can change shape to allow for movements of the vertebral column. Although the total amount of movement available between any two adjacent vertebrae is small, these movements can be summed together along the entire length of the vertebral column to produce relatively large body movements.

Figure 21.1 Normal structure of an intervertebral disc

The intervertebral disc is composed of several types of connective tissue. The anulus fibrosus is a tough, fibrous ring structure made of collagen and is firmly anchored to the outer margins of the adjacent vertebral bodies. Inside of the anulus fibrosus is a gel-like core called the nucleus pulposus. It is made of collagen and elastic fibers and has a high water content that serves to resist compression associated with supporting the body’s weight. Additionally, the nucleus pulposus is sandwiched inferiorly and superiorly by a thin layer of hyaline cartilage, called the cartilage end-plates which help adhere the intervertebral disc to the vertebrae and hold the disc in place. Intervertebral discs are further held in place by intervertebral ligaments (ex: anterior longitudinal ligament).

Common Problems

The gel-like nature of the nucleus pulposus allows the intervertebral disc to change shape as a vertebra rocks side to side or forward and back in relation to its neighbors during movements of the vertebral column. However, the water content of the nucleus pulposus gradually declines with increasing age, leading to disc degeneration. This alters disc height as well as the mechanics of movement of the spinal column, reducing the flexibility and range of motion of the disc. Additionally, disc degeneration can adversely affect the behavior of other spinal structures such as muscles and ligaments. For example, as a result of the rapid loss of disc height under load in degenerate discs, joints between adjacent vertebrae may be subject to abnormal loads and eventually develop osteoarthritic changes. Loss of disc height may also change the tension experienced by ligaments supporting the vertebral column resulting in remodeling and thickening. This can result in loss of elasticity and bulging of the ligament into the spinal canal, causing spinal stenosis, a condition where nerve roots and the spinal cord become compressed. This is a major cause of pain and disability in the elderly and the incidence of disc degeneration is rising with current demographic changes and an increased aged population.

Figure 21.2 A herniated interverebral disc

The most common disorder presented to spinal surgeons is a herniated disc (Figure 21.2). Normally, bending forward causes compression of the anterior portion of the disc and expansion of the posterior disc. However, when the posterior anulus fibrosus is weakened due to injury or increasing age, the pressure exerted on the disc when bending forward and lifting a heavy object can cause the nucleus pulposus to protrude posteriorly through the anulus fibrosus, resulting in a herniated disc (“ruptured” or “slipped” disc). The posterior bulging of the nucleus pulposus can cause compression of a spinal nerve at the point where it exits through the intervertebral foramen, resulting in pain and/or muscle weakness in those body regions supplied by that nerve. The most common sites for disc herniation are the L4/L5 or L5/S1 intervertebral discs, which can cause sciatica, a widespread pain that radiates from the lower back down the thigh and into the leg. Similarly, injuries of the C5/C6 or C6/C7 intervertebral discs following forcible hyperflexion of the neck from a collision or football injury can produce pain in the neck, shoulder, and upper limb.

Source Material

All images and text found in this section are a derivative of "Anatomy and Physiology" by OpenStax CNX used under CC BY 4.0. Aug 2, 2019. Download the original text for free at http://cnx.org/contents/14fb4ad7-39a1-

4eee-ab6e-3ef2482e3e22@16.1

Activities

Intervertebral Discs

Associated SLOs

1. Describe the major structures and functions of the intervertebral disc.

Required Materials

• None

Procedure

Using the background information, answer the questions below.

Check Your Understanding

  1. Name the type of joint represented by intervertebral discs.

  2. Describe the structure of the anulus fibrosus and how its structure contributes to the overall function of intervertebral discs.

  3. Describe the structure of the nucleus pulposus and how its structure contributes to the overall function of intervertebral discs.

  4. In two sentences or less, describe how degeneration of intervertebral discs leads to pain.

Lesson 22: Central Nervous System – The Spinal Cord

Created by Dan McNabney and Aimee Williams

Introduction

This lesson introduces the major structural features of the spinal cord and the spinal nerves and how information travels throughout this part of the central nervous system.

Student learning outcomes (SLOs):

By the end of this lesson you will be able to:

  1. Identify and define anatomical features of the spinal cord on a model or diagram for both longitudinal view and cross-sectional views.

  2. Apply learning outcome 1 to describe the fundamental principles of sensory and motor signaling pathways within the spinal cord.

Background Information

Remind yourself of the major divisions of the nervous system (the central and peripheral nervous systems) and their components which were introduced in Lesson 4. While discussion of the central nervous system (CNS) often focuses on the brain, the spinal cord is equally important when it comes to the transmission and processing of information throughout the body and will be the focus of this lesson.

Longitudinal Anatomy

In an adult, the spinal cord is about eighteen inches long and extends from the foramen magnum of the skull to approximately the first lumbar vertebra and is divided into regions that correspond to regions of the vertebral column (Figure 22.1). The name of each spinal cord region corresponds to the level at which spinal nerves pass through the intervertebral foramina. Immediately adjacent to the brain stem is the cervical region, followed by the thoracic, then the lumbar, and finally the sacral region. The spinal cord has two areas where the diameter of the spinal cord is enlarged because of increased neural structures associated with the appendages. The cervical enlargement is caused by nerves moving to and from the arms and is located from approximately C3 through T2. The lumbar enlargement is caused by nerves moving to and from the legs and is located from about T7 through T11 (Figure 22.1).

The spinal cord does not extend the full length of the vertebral column because the spinal cord does not grow significantly longer after the first or second year while the skeleton continues to grow. As the vertebral column continues to grow, spinal nerves grow with it and result in a long bundle of nerves that resembles a horse’s tail, called the cauda equina (Figure 22.1). Some of the largest neurons of the spinal cord extend from the cauda equina including the motor neuron that causes contraction of the big toe which is located in the sacral region of the spinal cord. This motor neuron’s axon reaches all the way to the belly of that muscle which can be over a meter in distance in a tall person. The neuronal cell body that maintains that long fiber is also necessarily quite large, possibly several hundred micrometers in diameter, making it one of the largest cells in the body. Immediately superior to the cauda equina, the spinal cord terminates at the medullary cone (also known as the conus medullaris) at approximately vertebra L1. Beyond the medullary cone, the meninges that cover the spinal cord (discussed below) continue as a thin, delicate strand of tissue called the terminal filum, which anchors the spinal cord to the coccyx.

31 pairs of spinal nerves extend from the spinal cord and each pair is named for the level of the spinal cord from which each pair emerges. There are eight pairs of cervical nerves designated C1 to C8, twelve thoracic nerves designated T1 to T12, five pairs of lumbar nerves designated L1 to L5, five pairs of sacral nerves designated S1 to S5, and one pair of coccygeal nerves. The first nerve, C1, emerges between the first cervical vertebra and the occipital bone. The second nerve, C2, emerges between the first and second cervical vertebrae. The same occurs for C3 to C7, but C8 emerges between the seventh cervical vertebra and the first thoracic vertebra. For the thoracic and lumbar nerves, each one emerges between the vertebra that has the same designation and the next vertebra in the column. The sacral nerves emerge from the sacral foramina along the length of that unique vertebra.

Figure 22.1 Spinal Cord, Longitudinal View. From Mettler FA: Neuroanatomy, ed 2, St. Louis, 1948, Mosby.

The Meninges

The spinal cord and brain are covered by the meninges which are a continuous, layered unit of tissues that provide support and protection to the delicate structures of the nervous system. The meninges include three layers: the dura mater, arachnoid mater, and pia mater (Figure 22.2). The outermost layer, the dura mater, is anchored to the inside of the vertebral cavity. It is thick and “dura”ble, providing protection and support to the spinal cord. The arachnoid mater is the thin middle layer, connecting the dura mater to the pia mater. The arachnoid mater gets its name from its web-like appearance and is connected to the pia mater through tiny fibrous extensions that span the subarachnoid space between the two layers. The innermost pia mater is in direct contact with the spinal cord and brain. It is thin and rich in blood vessels, although the pia mater is thicker and less vascular in the spinal cord than in the brain.

The subarachnoid space is filled with cerebrospinal fluid (CSF) which protects the CNS by providing cushioning.

In order to test for disease or dysfunction in the central nervous system, CSF may be removed and analyzed

via a procedure called a spinal tap or lumbar puncture. Because of the close proximity between the meninges and nervous tissue, this procedure is typically done at the end of the spinal cord, where the terminal filum extends from the inferior end of CNS at the upper lumbar region to the sacral end of the vertebral column. Because the spinal cord does not extend through the lower lumbar region of the vertebral column, a needle can be inserted in this region through the dura and arachnoid layers to withdraw CSF with minimal risk of damaging the nervous tissue of the spinal cord. One example of a disease commonly diagnosed via lumbar puncture is meningitis, which is an inflammation of the meninges caused by either a viral or bacterial infection. Symptoms include fever, chills, nausea, vomiting, sensitivity to light, soreness of the neck, and severe headache. More serious are the possible neurological symptoms, such as changes in mental state including confusion, memory deficits, other dementia-type symptoms, hearing loss, and even death due to the close proximity of the infection to nervous system structures.

Figure 22.2 Spinal Cord. From Mettler FA: Neuroanatomy, ed 2, St. Louis, 1948, Mosby.

Cross-sectional Anatomy

Each section of the spinal cord has its associated spinal nerves forming two nerve routes that include a combination of incoming sensory axons and outgoing motor axons. For example, the radial nerve contains fibers of cutaneous sensation in the arm, as well as motor fibers that move muscles in the arm. The sensory axons that form a part of the radial nerve enter the spinal cord as the posterior (dorsal) nerve root, whereas the motor fibers emerge as the anterior (ventral) nerve root (Figure 22.2). The cell bodies of sensory neurons are grouped together at the posterior (dorsal) root ganglion, causing an enlargement of that portion of the spinal nerve. Note that it is common to see the terms dorsal and ventral used interchangeably with posterior and anterior, particularly in reference to nerves and the structures of the spinal cord.

Inside the spinal cord, the anterior and posterior nerve roots form the gray matter of the spinal cord. In crosssection (Figure 22.3), the distribution of gray matter of the spinal cord is often compared to an inkblot test or butterfly, with the spread of the gray matter, subdivided into regions referred to as horns, on one side replicated on the other. The posterior horn receives information from the posterior nerve root and is therefore responsible for sensory processing, while the anterior horn sends out motor signals to the anterior nerve root to move skeletal muscles. The lateral horn, which is only found in the thoracic, upper lumbar, and sacral regions, is a key component of the sympathetic division of the autonomic nervous system. The anterior median fissure marks the anterior midline and the posterior median sulcus marks the posterior midline. Each side of the gray matter is connected by the gray commissure and located in the center of the gray commissure is the central canal, which runs the length of the spinal cord. The central canal is continuous with the ventricular system of the brain and transports nutrients to the spinal cord.

Comparable to the gray matter being separated into horns, the white matter of the spinal cord is separated into columns. Ascending tracts of nervous system fibers in these columns carry sensory information from the periphery to the brain, whereas descending tracts carry motor commands from the brain to the periphery. Looking at the spinal cord longitudinally, the columns extend along its length as continuous bands of white matter. In cross-section, the posterior columns can be seen between the two posterior horns of gray matter, whereas the anterior columns are bounded by the anterior horns. The white matter on either side of the spinal cord, between the posterior horn and the anterior horn, are the lateral columns. The posterior columns are composed of axons of ascending tracts, whereas the anterior and lateral columns are composed of many different groups of axons of both ascending and descending tracts.

Figure 22.3 Cross-section of spinal cord.

Nerve Plexuses

Spinal nerves extend outward from the vertebral column to innervate the periphery. The nerves in the periphery are not straight continuations of the spinal nerves, but rather the reorganization of the axons in those nerves to follow different courses. Axons from different spinal nerves will come together to form a peripheral nerve. This occurs at four places along the length of the vertebral column, each identified as a nerve plexus which have previously been described in the context of the peripheral nerves. Focusing on the relationship to spinal nerves, two nerve plexuses are found at the cervical level, one at the lumbar level, and one at the sacral level (Figure 22.4). The cervical plexus is composed of axons from spinal nerves C1 through C5 and branches into nerves in the posterior neck and head, as well as the phrenic nerve, which connects to the diaphragm at the base of the thoracic cavity. The other plexus from the cervical level is the brachial plexus. Spinal nerves C4 through T1 reorganize through this plexus to give rise to the nerves of the arms (ex: radial nerve), as the name brachial suggests. The lumbar plexus arises from all the lumbar spinal nerves and gives rise to nerves innervating the pelvic region and the anterior leg (ex: femoral nerve). The sacral plexus comes from the lower lumbar nerves L4 and L5 and the sacral nerves S1 to S4. The most significant systemic nerve to come from this plexus is the sciatic nerve, which is a combination of the tibial nerve and the fibular nerve. Spinal nerves of the thoracic region, T2 through T11, are not part of the plexuses but rather emerge and give rise to the intercostal nerves, which innervate the intercostal muscles found in between ribs.

Table 22.1 Nerve plexuses
Name

Associated Spinal Nerves

Major Associated Peripheral Nerves

Cervical

C1-5

Phrenic

Brachial

C5-T1

Radial, median, ulnar, musculocutaneous, axillary

Lumbar

L1-4

Femoral, obturator

Sacral

L4-S4

Sciatic

Figure 22.4 Nerve plexuses of the body.

Source Material

Most images and the text found in this section are a derivative of "Anatomy and Physiology" by OpenStax CNX used under CC BY 4.0. Aug 2, 2019. Download the original text for free at http://cnx.org/contents/14fb4ad7-

39a1-4eee-ab6e-3ef2482e3e22@16.1

Activities

Muscles of the Thorax, Abdomen, and Posterior Back

Associated SLOs

  1. Identify and define anatomical features of the spinal cord on a model or diagram for both longitudinal view and cross-sectional views.

  2. Apply learning outcomes 1 to describe signaling pathways via spinal nerves, including sensory and motor information.

Required Materials

  • Lab manual

  • Spinal cord cross section model

Procedure

  1. Review all background information to answer the questions below.

  2. Identify the following features on the spinal cord model:

o Posterior (dorsal) median sulcus o Anterior (ventral) median fissure o Posterior (dorsal) horn o Anterior (ventral) horn o Lateral horn o Gray commissure o Posterior (dorsal) root o Posterior (dorsal) root ganglion o Anterior (ventral) root o Posterior (dorsal) column o Anterior (ventral) column o Lateral column o Central canal o Pia mater o Arachnoid mater o Subarachnoid space o Dura mater o Spinal nerve

Check Your Understanding

  1. Name the layers of the meninges is from superficial to deep.

  2. Fill in the following table:

Example of a Muscle Innervated by Nerve Nerve Nerve Plexus
Cervical
Triceps brachii
Ulnar
Flexor carpi radialis
Musculocutaneous
Deltoid
Femoral
Adductor Longus
Sacral
  1. Number the pathway in order from receiving a sensory signal to exciting a muscle via motor nerves: ____ Anterior root

____ Sensory nerve innervating the muscle

____ Anterior Ramus

____ Descending tracts of white matter

____ Posterior horn ____ Brain

____ Posterior root

____ Motor nerve innervating the muscle

____ Ascending tracts of white matter

____ Posterior ramus

____ Anterior horn

____ Posterior root ganglion

Lesson 23: Central Nervous System – Brain

Created by Manashree Malpe

Introduction

In this lesson, you will learn the basic anatomy of the brain and information about the cranial nerves. To support your learning, you will dissect a sheep brain and then identify the same the same structures on a predissected human brain.

Student learning outcomes (SLOs):

By the end of this lesson you will be able to:

  1. Describe the composition of gray and white matter and provide examples of brain structures made of each.

  2. Describe and identify the brain meninges: dura mater, arachnoid mater, & pia mater

  3. Define the following structural features of the brain: gyrus, sulcus, fissure

  4. Identify brain structures on a dissected brain specimen, model, or diagram.

  5. Identify cranial nerves on a model or diagram and describe functions of each.

Background Information

Nervous System Review

In Lesson 4 nervous tissue and the nervous system was introduced. As a quick reminder, the nervous system can be divided into two major regions: the central and peripheral nervous systems. The central nervous system (CNS) is the brain and spinal cord, and the peripheral nervous system (PNS) is everything else (Figure 23.1). The brain is contained within the cranial cavity of the skull, and the spinal cord is contained within the vertebral cavity of the vertebral column. It is a bit of an oversimplification to say that the CNS is what is inside these two cavities and the peripheral nervous system is outside of them, but that is one way to start to think about it. There are some elements of the peripheral nervous system that are within the cranial or vertebral cavities. The peripheral nervous system is so named because it is on the periphery—meaning beyond the brain and spinal cord. Depending on different aspects of the nervous system, the dividing line between central and peripheral is not necessarily universal.

Figure 23.1 Central and Peripheral Nervous System

Nervous Tissue Structures

Nervous tissue, present in both the CNS and PNS, contains two basic types of cells: neurons and glial cells. A glial cell is one of a variety of cells that provide a framework of tissue that supports the neurons and their activities and will not be considered further in this lab. The neuron is the more functionally important of the two, in terms of the communicative function of the nervous system.

Neurons are cells and therefore have a soma, or cell body, but they also have notable extensions of the cell; each extension is generally referred to as a process. There is one important process that nearly all neurons have called an axon, which is the fiber that connects a neuron with its target. Another type of process that branches off from the soma is the dendrite. Dendrites are responsible for receiving most of the input from other neurons. Looking at nervous tissue, there are regions that predominantly contain cell bodies and regions that are largely composed of axons. These two regions within nervous system structures are referred to

as gray matter (the regions with many cell bodies and dendrites) or white matter (the regions with many axons). The colors ascribed to these regions are what would be seen in unstained, nervous tissue (Figure 23.2). Gray matter is not necessarily gray. It can be pinkish because of blood content, or even slightly tan, depending on how long the tissue has been preserved. White matter is white because axons are insulated by a lipid-rich substance called myelin. Lipids can appear as white material, much like the fat on a raw piece of meat. Gray matter may have that color ascribed to it because next to the white matter, it is just darker— hence, gray.

Figure 23.2 Gray Matter and White Matter. A brain removed during an autopsy, with a partial section removed, shows white matter surrounded by gray matter. Gray matter makes up the outer cortex of the brain. (credit: By Suseno - Own work, Public Domain, https://commons.wikimedia.org/w/index.php?curid=6745926)

The cell bodies of neurons or axons are often located in discrete anatomical structures that are named. Those names are specific to whether the structure is central or peripheral. A localized collection of neuron cell bodies in the CNS is referred to as a nucleus. In the PNS, a cluster of neuron cell bodies is referred to as a ganglion. A notable exception to this naming convention is a group of nuclei in the central nervous system that were once called the basal ganglia before “ganglion” became accepted as a description for a peripheral structure. Some sources refer to this group of nuclei as the “basal nuclei” which helps avoid confusion.

Terminology applied to bundles of axons also differs depending on location. A bundle of axons, or fibers, found in the CNS is called a tract whereas the same thing in the PNS would be called a nerve. Please note that both can be used to refer to the same bundle of axons. When those axons are in the PNS, the term is nerve, but if they are in the CNS, the term is tract. One example of this is the axons that project from the nervous tissue in the retina into the brain. Axons leaving the eye are called the optic nerve but as soon as they enter the cranium they are referred to as the optic tract.

The Meninges

Similar to the spinal cord, the outer surface of the brain is covered by a series of membranes composed of connective tissue called the meninges, which protect the brain (Figure 23.3). There are three major meningeal layers; the dura mater, the arachnoid mater and the pia mater.

Dura mater

Like a thick cap covering the brain, the dura mater is a tough outer covering. It is a thick fibrous layer and a strong protective sheath over the entire brain and spinal cord. It is anchored to the inner surface of the cranium and to the very end of the vertebral cavity. The name comes from the Latin for “tough mother” to represent its physically protective role. It encloses the entire CNS and the major blood vessels that enter the cranium and vertebral cavity.

Arachnoid mater

The middle layer of the meninges is the arachnoid, named for the spider-web–like extensions between it and the pia mater. The arachnoid defines a sac-like enclosure around the CNS. The branching extensions are found in the subarachnoid space, which is filled with circulating CSF (cerebrospinal fluid). The arachnoid emerges into the dural sinuses as the arachnoid granulations, where the CSF is filtered back into the blood for drainage from the nervous system. The subarachnoid space is filled with circulating CSF, which also provides a liquid cushion to the brain and spinal cord. Like clinical blood work, a sample of CSF can be withdrawn to find chemical evidence of neuropathology or metabolic traces of the biochemical functions of nervous tissue.

Pia mater

Directly adjacent to the surface of the CNS is the pia mater, a thin fibrous membrane that extends into every convolution of gyri and sulci in the cerebral cortex (contours of the brain) and other grooves and indentations. It is thought to have a continuous layer of cells providing a fluid-impermeable membrane. The name pia mater comes from the Latin for “tender mother,” suggesting the thin membrane is a gentle covering for the brain.

Figure 23.3 Meningeal Layers. The layers of the meninges in are shown, with the dura mater adjacent to the inner surface of the cranium, the pia mater adjacent to the surface of the brain, and the arachnoid and subarachnoid space between them.

Brain Anatomy

The brain and the spinal cord make up the central nervous system, and they represent the main organs of the nervous system. While the spinal cord is a single structure, the adult brain is described in terms of four major regions: the cerebrum, the diencephalon, the brain stem, and the cerebellum.

Cerebrum

The iconic gray mantle of the human brain, which appears to make up most of the mass of the brain, is the cerebrum (Figure 23.4). The wrinkled outer portion is the cerebral cortex, and the rest of the structure is beneath that outer covering. There is a large separation between the two sides of the cerebrum called

the longitudinal fissure which separates the cerebrum into two distinct halves, a right and left cerebral hemisphere. Deep within the cerebrum, the white matter of the corpus callosum provides the major pathway for communication between the two hemispheres of the cerebral cortex. Many of the higher neurological functions, such as memory, emotion, and consciousness, are the result of cerebral function.

Figure 23.4 The Cerebrum with its two hemispheres separated by the longitudinal fissure.

Cerebral cortex

The cerebrum is covered by a continuous layer of gray matter that wraps around either side of the forebrain— the cerebral cortex. This thin, extensive region of wrinkled gray matter is responsible for the higher functions of the nervous system. A gyrus (plural = gyri) is the ridge of one of those wrinkles, and a sulcus (plural = sulci) is the groove between two gyri. The pattern of these folds of tissue can be used to indicate specific regions of the cerebral cortex.

The folding of the cortex maximizes the amount of gray matter in the cranial cavity. During embryonic development, the telencephalon is a structure that eventually develops into the cerebrum. As the telencephalon expands within the skull, the brain goes through a regular course of growth that results in everyone’s brain having a similar pattern of folds. The surface of the brain can be mapped based on the locations of large gyri and sulci. Using these landmarks, the surface of the cortex can be separated into four major regions, or lobes (Figure 23.5). The lateral sulcus that separates the temporal lobe from the other regions is one such landmark. Superior to the lateral sulcus are the parietal and frontal lobes, which are separated from each other by the central sulcus. The posterior region of the cortex is the occipital lobe, which has no obvious anatomical border between it and the parietal or temporal lobes on the lateral surface of the brain. From the medial surface, an obvious landmark separating the parietal and occipital lobes is called the parieto-occipital sulcus. The fact that there is no obvious anatomical border between these lobes is consistent with the functions of these regions being interrelated.

The frontal lobe is responsible for complex functions including motor functions (planning and executing movements via commands sent to the spinal cord and periphery) and, within the prefrontal cortex, aspects of personality via influencing motor responses involved in decision-making. The other lobes are responsible for sensory functions. The parietal lobe is where somatosensation is processed. The occipital lobe is where visual processing begins, although the other parts of the brain can contribute to visual function. The temporal lobe contains the cortical area for auditory processing and also has regions crucial for memory formation.

Located deep within the lateral sulcus is a fifth lobe of the brain called the insular lobe. The function of the insular lobe is not very well understood, however, evidence suggests that it is involved in several processes like motor-control, homeostasis and self awareness. It has also been linked to addiction and a variety of neuropsychiatric disorders.

Source Material

McGinn M.J. (2011) Insular Lobe. In: Kreutzer J.S., DeLuca J., Caplan B. (eds) Encyclopedia of Clinical Neuropsychology. Springer, New York, NY

Figure 23.5 Lobes of the Cerebral Cortex.

Subcortical gray matter

Beneath the cerebral cortex are sets of nuclei known as subcortical nuclei that augment cortical processes. The nuclei of the basal forebrain modulate the overall activity of the cortex, possibly leading to greater attention to sensory stimuli. The hippocampus and amygdala are medial-lobe structures that, along with the adjacent cortex, are involved in long-term memory formation and emotional responses.

The basal nuclei are a set of nuclei in the cerebrum responsible for comparing cortical processing with the general state of activity in the nervous system to influence the likelihood of movement taking place. The major structures of the basal nuclei that control movement are the caudate, putamen, and globus pallidus, which are located deep in the cerebrum. The caudate is a long nucleus that follows the basic C-shape of the cerebrum from the frontal lobe, through the parietal and occipital lobes, into the temporal lobe. The putamen is mostly deep in the anterior regions of the frontal and parietal lobes. Together, the caudate and putamen are called the striatum. The globus pallidus is a layered nucleus that lies just medial to the putamen; they are called the lenticular nuclei because they look like curved pieces fitting together like lenses. The globus pallidus has two subdivisions, the external and internal segments, which are lateral and medial, respectively. These nuclei can be seen via a frontal section of the brain (Figure 23.6).

Figure 23.6 Frontal Section of Cerebral Cortex and Basal Nuclei.

Diencephalon

The diencephalon is the connection between the cerebrum and the nearly all of the nervous system and has two major regions: the thalamus and the hypothalamus. Most of the brain, the spinal cord, and the PNS send information to the cerebrum through the diencephalon. Output from the cerebrum passes back through the diencephalon to the periphery. The single exception is the system associated with olfaction, or the sense of smell, which connects directly with the cerebrum.

The thalamus is a collection of nuclei that relay information between the cerebral cortex and the periphery, spinal cord, or brain stem. All sensory information, except for olfaction, passes through the thalamus before processing by the cortex. The thalamus does not just pass the information on, it also processes that information. The cerebrum and basal nuclei also send motor information to the thalamus which usually involves interactions between the cerebellum and other nuclei in the brain stem as well.

Inferior and slightly anterior to the thalamus is the hypothalamus, the other major region of the diencephalon. The hypothalamus is a collection of nuclei that are largely involved in regulating homeostasis. The hypothalamus is the executive region in charge of the autonomic nervous system and the endocrine system through its regulation of the anterior pituitary gland. Other parts of the hypothalamus are involved in memory and emotion as part of the limbic system.

Figure 23.7 The Diencephalon. The diencephalon is composed primarily of the thalamus and hypothalamus. The hypothalamus is inferior and anterior to the thalamus, culminating in a sharp angle to which the pituitary gland is attached.

Brain stem

The midbrain and hindbrain (composed of the pons and the medulla) are collectively referred to as the brain stem (Figure 23.8). The structure emerges from the ventral surface of the forebrain as a tapering cone that connects the brain to the spinal cord. Attached to the brain stem, but considered a separate region of the adult brain, is the cerebellum. The midbrain coordinates sensory representations of the visual, auditory, and somatosensory perceptual information. The pons is the main connection with the cerebellum. The pons and the medulla regulate several crucial functions, including the cardiovascular and respiratory systems and rates. The cranial nerves (described below) connect through the brain stem and provide the brain with the sensory input and motor output associated with the head and neck, including most of the special senses. The major ascending and descending pathways between the spinal cord and brain, specifically the cerebrum, pass through the brain stem.

The midbrain is a small region between the thalamus and pons. The upper portion of the midbrain is composed of four bumps known as the colliculi (singular = colliculus), which means “little hill” in Latin.

The inferior colliculus is the inferior pair of these enlargements and is part of the auditory brain stem pathway. Neurons of the inferior colliculus project to the thalamus, which then sends auditory information to the cerebrum for the conscious perception of sound. The superior colliculus is the superior pair and combines sensory information about visual space, auditory space, and somatosensory space. Activity in the superior colliculus is related to orienting the eyes to a sound or touch stimulus.

Figure 23.8 The Brain Stem. The brain stem comprises three regions: the midbrain, the pons, and the medulla

Cerebellum

The cerebellum, as the name suggests, is the “little brain” and accounts for approximately 10 percent of the mass of the brain. It is covered in gyri and sulci like the cerebrum, and looks like a miniature version of that part of the brain (Figure 23.9). The cerebellum is largely responsible for comparing information from the cerebrum with sensory feedback from the periphery through the spinal cord.

Descending fibers from the cerebrum have branches that connect to neurons in the pons. Those neurons project into the cerebellum, providing the cerebellum with the same motor information that is sent to the spinal cord. Sensory information from the periphery, which enters through spinal or cranial nerves, also projects to a nucleus in the medulla known as the inferior olive. Fibers from this nucleus enter the cerebellum and are compared with the descending commands from the cerebrum. For example, if the cerebrum sends a command down to the spinal cord to initiate walking, a copy of that motor command is sent to the cerebellum. Sensory feedback from the muscles and joints, proprioceptive information about the movements of walking, and sensations of balance are sent to the cerebellum through the inferior olive and then the cerebellum integrates all of that information. If walking is not coordinated, perhaps because the ground is uneven or a strong wind is blowing, then the cerebellum sends out a corrective command to compensate for the difference between the original command from the cerebrum and the sensory feedback from the periphery. The output of the cerebellum is into the midbrain, which then sends a descending input to the spinal cord to correct motor information going to skeletal muscles.

Figure 23.9 The Cerebellum. The cerebellum is situated on the posterior surface of the brain stem.

Cranial nerves

The nerves attached to the brain are the cranial nerves, which are primarily responsible for the sensory and motor functions of the head and neck (one of these nerves targets organs in the thoracic and abdominal cavities as part of the parasympathetic nervous system) (Figure 23.10, Table 23.1). There are twelve cranial nerves, which are designated CNI through CNXII for “Cranial Nerve,” using Roman numerals for 1 through 12.

The olfactory nerve (I) and optic nerve (II) are responsible for the sense of smell and vision, respectively. The oculomotor nerve (III) is responsible for eye movements by controlling four of the extraocular muscles. It is also responsible for lifting the upper eyelid when the eyes point up, and for pupillary constriction. The trochlear nerve (IV) and the abducens nerve (VI) are both responsible for eye movement but do so by controlling different extraocular muscles. The trigeminal nerve (V) is responsible for cutaneous sensations of the face and controlling the muscles of mastication. The facial nerve (VII) is responsible for the muscles involved in facial expressions, as well as part of the sense of taste and the production of saliva.

The vestibulocochlear nerve (VIII) is responsible for the senses of hearing and balance. The glossopharyngeal nerve (IX) is responsible for controlling muscles in the oral cavity and upper throat, as well as part of the sense of taste and the production of saliva. The vagus (X) nerve is responsible for contributing to homeostatic control of the organs of the thoracic and upper abdominal cavities via autonomic neurons. The spinal accessory nerve (XI) is responsible for controlling the muscles of the neck, along with cervical spinal nerves. The hypoglossal nerve (XII) is responsible for controlling the muscles of the lower throat and tongue.

The cranial nerves can be classified as sensory nerves, motor nerves, or a combination of both, meaning that the axons in these nerves can originate out of sensory ganglia external to the cranium or motor nuclei within the brain stem. Sensory axons enter the brain to synapse in a nucleus. Motor axons connect to skeletal muscles of the head or neck. Three of the nerves are solely composed of sensory fibers; five are strictly motor; and the remaining four are mixed nerves that contain both sensory and motor fibers. The first, second, and eighth nerves are purely sensory (olfactory (CNI), optic (CNII), and vestibulocochlear (CNVIII) nerves). The three eye-movement nerves are all motor (oculomotor (CNIII), trochlear (CNIV), and abducens (CNVI)). The spinal accessory (CNXI) and hypoglossal (CNXII) nerves are also strictly motor. The remainder of the nerves (trigeminal (CNV), facial (CNVII), glossopharyngeal (CNIX), and vagus (CNX) nerves) contain both sensory and motor fibers and are often related to each other. The trigeminal and facial nerves both concern the face; one is primarily associated the sensations and the other primarily associated with the muscle movements. The facial and glossopharyngeal nerves are both responsible for conveying gustatory, or taste, sensations as well as controlling salivary glands. The vagus nerve is involved in visceral responses to taste, namely the gag reflex.

An important learning outcome for this lesson is to understand and describe the functions of cranial nerves. While this can feel a lot of information to commit to memory, it is possible by using memory tools like mnemonics. There are many mnemonics others have created that can quickly be found via an internet search. However, the best way to remember a mnemonic, is to make your own with personally-relatable information (i.e. movies, sports, friends names, etc.).

Figure 23.10 The Cranial Nerves. The anatomical arrangement of the roots of the cranial nerves observed from an inferior view of the brain.

Table 23.1 The Cranial Nerves
Number

Name

Type

Function(s)

I

Olfactory

Sensory

• Sensory information from the nose.

II

Optic

Sensory

• Sensory information from the eyes.

III

Oculomotor

Motor

• Motor information to most rectus and inferior oblique muscles to cause eye movement.

IV

Trochlear

Motor

• Motor information to superior oblique muscle for eye movement.

V

Trigeminal

Both

  • Sensory information from and motor information to the face.

  • Motor information for chewing.

VIAbducensMotor

• Motor information to lateral rectus muscle to cause eye movement.

VIIFacialBoth
  • Sensory information from anterior part of the tongue.

  • Motor information to the face.

  • Innervates lacrimal, salivary and other glands.

VIIIVestibulocochlearSensory

• Sensory information from the ear for hearing and equilibrium.

IXGlossopharyngealBoth
  • Sensory information from posterior part of the tongue.

  • Motor information to tongue and throat.

XVagusBoth
  • Sensory information from abdomen, thorax, neck and root of tongue.

  • Motor information to heart, digestive organs, spleen and kidneys.

XIAccessoryMotor

• Motor information for swallowing.

XIIHypoglossalMotor

• Motor information to the tongue.

Source Material

All images and text found in this section are a derivative of "Anatomy and Physiology" by OpenStax CNX used under CC BY 4.0. Aug 2, 2019. Download the original text for free at http://cnx.org/contents/14fb4ad7-39a14eee-ab6e-3ef2482e3e22@16.1

Preassessment

Identify the parts of a typical neuron:

Axon, cell body, dendrites , nucleus, axon terminals

Source Material

This image is licensed under Creative Commons Attribution 4.0 International license https://svgsilh.com/image/2022398.html

Activities

Nervous Tissue Anatomy

Associated SLO

1. Describe the composition of gray and white mater and provide examples of brain structures made of each.

Required materials

• None

Procedure

This activity will be completed individually or in small groups. Refer to the background information to answer the questions below.

Check Your Understanding

Define the following terms and provide examples of each in the central nervous system

TermsDefinition

Examples in CNS

Gray mater
White mater

Brain Anatomy

Associated SLO

  1. Describe and identify the brain meninges: dura mater, arachnoid mater, & pia mater

  2. Define the following structural features of the brain: gyrus, sulcus, fissure

Required materials

• None

Procedure

This activity will be completed individually or in small groups. Refer to the background information to answer the questions below.

Check Your Understanding

Categorize the following terms and provide a one line definition for each of them. For the meninges, also rank them from the most superficial layer to the deepest layer.

Gyri, pia mater, sulcus, arachnoid mater, fissure, dura mater

Brain meninges Definition
Superficial-
Deepest-
Brain structures Definition

Anatomy of the brain

Associated SLO

4. Identify brain structures on a dissected brain specimen, model, or diagram. Required materials

  • None

Procedure

This activity will be completed individually. Refer to the background information to answer the questions below.

Check Your Understanding

Label the following diagram with the appropriate structures

.

Sheep brain dissection

Required materials (provided)

  • Gloves

  • Lab coat

  • Dissection tray

  • Knife

  • Sheep brain specimen

Procedure

This activity will be completed groups of 3-4 in the dissection lab. Please read the following steps carefully before you begin.

  1. Place the sheep brain specimen in the tray, dorsal side up (Fig 23.11 A).

  2. Identify the cerebrum, the longitudinal fissure and the two hemispheres of the brain. You can also locate examples of gyri, sulci and the different lobes of the cerebrum.

  3. Place the brain in the tray ventral side up (Fig 23.11 B) and identify the cerebellum, pons, medulla and optic chiasma. Place the brain on the tray, dorsal side up. Locate the longitudinal fissure and gently try to widen it with your fingers (Fig 23.11 C).

  4. Insert a knife in the fissure and cut through the brain into two longitudinal halves (Fig 23.11 D).

  5. With the cut sides facing up, identify the thalamus, hypothalamus, pineal body, pons and medulla.

  6. Locate the corpus collosum and lateral ventricles.

  7. Observe the cut surface of the cerebellum and try to identify the tree like structure made of white mater called arbor vitae or “tree of life”.

  8. Compare the structures that you see in your dissected samples to those from other groups.

  9. When you are done observing the sheep brain specimen, dispose it off in the biohazard bin and clean the dissecting tray and knife.

  10. Your TA will help you identify the same structures on a dissected human brain.

Figure 23.11 Sheep brain A) Dorsal side up B) Ventral side up C) Separated along longitudinal fissure D) Dissected sheep brain.

Figure 23.12 Dissected Sheep brain

Cranial Nerves

Associated SLO

5. For each cranial nerve

  1. Use the summary table (Table 23.1) as your source for this information.

  2. Identify by both name and number on a model or diagram.

  3. Provide one example of a function

  4. Identify whether each nerve carries sensory information, motor information, or both types of information.

Required materials

• None

Procedure

This activity will be completed individually. Refer to the background information to answer the questions below.

Check Your Understanding

  1. Identify and label this diagram with appropriate cranial nerves.

  1. Fill in the blanks to complete the table.

Name

Number

Type

Function
Vestibulocochlear

V

Both

Motor information to the face.
Oculomotor

X

Lesson 24: Motor Control

Created by Manashree Malpe

Introduction

In this lesson, you will learn the fundamental aspects of how the nervous system controls our voluntary body movements.

Student learning outcomes (SLOs):

By the end of this lesson you will be able to:

  1. Name key regions of the brain involved in motor control and summarize the role they play in the motor control.

  2. List and identify spinal cord tracts associated with voluntary movement.

  3. Define the different phases of voluntary movement.

  4. Apply the above SLOs to describe the fundamentals of voluntary movement control.

Background Information

Functional Organization of the Nervous System

While previous lessons have focused on organizing the nervous system based on anatomical criteria, we can also describe the organization of the nervous system based on function. Please note that it can be difficult to try and to align anatomical and functional descriptions of the nervous system because often one anatomical structure can have several functions. As an example of a single structure that is important for two different types of functions, the optic nerve carries signals from the retina that are used both for the conscious perception of visual stimuli (processed in the cerebral cortex), and for reflexive responses of smooth muscle tissue (processed in the hypothalamus). There are two ways to consider how the nervous system is divided functionally. First, the nervous system can be divided based on the fundamental functions of the nervous system which are sensation, integration, and response. Second, control of the body can be classified as either autonomic or somatic—divisions that are largely defined by the structures involved in the generation of a response.

The autonomic nervous system (ANS) is primarily responsible for involuntary control of the body, usually for the sake of homeostasis (regulation of the internal environment) of most internal organ systems. Key stimuli for autonomic functions can come from sensory structures found in either external or internal environments. ANS motor output extends to smooth and cardiac muscle as well as glandular epithelial tissue. For example, sweat glands are controlled by the ANS to regulate the body’s internal temperature. When you are hot, the ANS stimulates the sweat glands to secrete sweat which cools your body down to maintain homeostasis with regard to body temperature.

The somatic nervous system (SNS) is primarily responsible for voluntary motor responses via skeletal muscles. The senses of the body interact with stimuli from the external environment and our body responds primarily via voluntary muscle movement. The term “voluntary” suggests that there is a conscious decision to make a movement. However, some aspects of the somatic system use voluntary muscles without conscious control. One example is the ability of our breathing to switch to unconscious control while we are focused on another task. However, those same muscles that are responsible for the basic process of breathing are also utilized for speech, which is entirely voluntary. Additionally, skeletal muscle responses via the SNS can be reflexive in nature, such as when a doctor uses a reflex hammer to tap your patellar tendon during a physical or when you jump or scream when startled. Other motor responses, such as riding a bike, become automatic (in other words, unconscious) as a person learns and masters motor skills (referred to as habit learning or procedural memory).

Functional Anatomy of Motor Control

Cerebral Cortex

The sensory cortical areas are located in the occipital, temporal, and parietal lobes, motor functions are largely controlled by the frontal lobe. The most anterior regions of the frontal lobe—the prefrontal areas—are important for executive functions, which are those cognitive functions that lead to goal-directed behaviors. These higher cognitive processes include working memory, which has been called a “mental scratch pad,” that can help organize and represent information that is not in the immediate environment. The prefrontal lobe is responsible for aspects of attention, such as inhibiting distracting thoughts and actions so that a person can focus on a goal and direct behavior toward achieving that goal (Figure 24.1). The functions of the prefrontal cortex are integral to the personality of an individual, because it is largely responsible for what a person intends to do and how they accomplish those plans.

In generating motor responses, the executive functions of the prefrontal cortex will need to initiate actual movements. One way to define the prefrontal area is any region of the frontal lobe that does not elicit movement when electrically stimulated. These are primarily in the anterior part of the frontal lobe. The regions of the frontal lobe that remain are the regions of the cortex that produce movement. The prefrontal areas project into the secondary motor cortices, which include the premotor cortex and the supplemental motor area.

Two important regions that assist in planning and coordinating movements are located adjacent to the primary motor cortex. The premotor cortex is more lateral, whereas the supplemental motor area is more medial and superior. The premotor area aids in controlling movements of the core muscles to maintain posture during movement, whereas the supplemental motor area is hypothesized to be responsible for planning and coordinating movement. The supplemental motor area also manages sequential movements that are based on prior experience (that is, learned movements). Neurons in these areas are most active leading up to the initiation of movement. For example, these areas might prepare the body for the movements necessary to drive a car in anticipation of a traffic light changing.

Adjacent to these two regions are two specialized motor planning centers. The frontal eye fields are responsible for moving the eyes in response to visual stimuli. Also, anterior to the premotor cortex and primary motor cortex is Broca’s area. This area is responsible for controlling movements of the structures important for speech production (Figure 24.1).

Primary motor cortex

The primary motor cortex is located in the precentral gyrus of the frontal lobe. It receives input from several areas that aid in planning movement, and its principle output stimulates spinal cord neurons to initiate skeletal muscle contraction.

The primary motor cortex is laid out like a topographical map of the body, creating a motor homunculus. The term homunculus comes from the Latin word for “little man” and refers to a map of motor control of the human body that is laid across this region of the cerebral cortex. The neurons responsible for musculature in the feet and lower legs are found in the medial wall of the precentral gyrus, with the thighs, trunk, and shoulder at the crest of the longitudinal fissure. The hand and face are in the lateral face of the gyrus. Also, the relative space allotted for the different regions is exaggerated in muscles that have greater innervation. The greatest amount of cortical space is given to muscles that perform fine, agile movements, such as the muscles of the fingers and the lower face. The “power muscles” that perform coarser movements, such as the back muscles, occupy much less space on the motor cortex.

Figure 24.1 Cerebral cortex. Different areas of the brains are responsible for different functions. Blausen.com staff (2014). Blausen.com staff (2014). "Medical gallery of Blausen Medical 2014". WikiJournal of Medicine 1

(2). DOI:10.15347/wjm/2014.010. ISSN 2002-4436. This file is licensed under Creative Commons Attribution-

Share Alike 3.0 Unported

Descending pathways

Motor output from the cortex moves through the brain stem and spinal cord for voluntary control of skeletal muscles via motor neurons. Neurons located in the primary motor cortex, called pyramidal cells or upper motor neurons, are large cortical neurons that synapse with lower motor neurons, also called somatic motor neurons, in the brain stem or spinal cord. The axons of upper motor neurons form two descending pathways: the corticobulbar tract and the corticospinal tract, respectively. Both tracts are named for their origin in the cortex and their targets— lower motor neurons in either cranial motor nuclei in the brain stem (the term “bulbar” refers to the brain stem as the bulb, or enlargement, at the top of the spinal cord) or the ventral horn of the spinal cord.

The axons of the upper motor neurons of the corticobulbar tract synapse with lower motor neurons in the cranial motor nuclei to control muscles of the face, head, and neck. The upper motor neurons axons are ipsilateral, meaning they project from the cortex to the motor nucleus on the same side of the nervous system.

The axons of the upper motor neurons of the corticospinal tract synapse with lower motor neurons in the ventral horn of the spinal cord to control muscles of the torso, upper limbs, and lower limbs. Unlike, the corticobulbar tract, most axons of upper motor neurons of the corticospinal tract are contralateral, meaning that they cross the midline of the brain stem or spinal cord and synapse on the opposite side of the body.

Therefore, the right motor cortex of the cerebrum controls muscles on the left side of the body, and vice versa. The corticospinal tract passes through the midbrain and makes up the large white matter tract referred to as the pyramids in the medulla (Figure 24.2). The defining landmark of the medullary-spinal border is the pyramidal decussation, which is where most of the fibers in the corticospinal tract cross over to the opposite side of the brain. At this point, the tract separates into two portions, the anterior and lateral corticospinal tracts.

Figure 24.2 Corticospinal Tract. The major descending tract that controls skeletal muscle movements is the corticospinal tract.

Appendicular control

The lateral corticospinal tract is composed of the fibers that cross the midline at the pyramidal decussation (Figure 24.2). The axons cross over from the anterior position of the pyramids in the medulla to the lateral column of the spinal cord and are responsible for controlling appendicular muscles. This influence over the appendicular muscles means that the lateral corticospinal tract is responsible for moving the muscles of the arms and legs. The ventral horn in both the lower cervical spinal cord and the lumbar spinal cord both have wider ventral horns, representing the greater number of muscles controlled by these motor neurons.

The cervical enlargement is particularly large because there is greater control over the fine musculature of the upper limbs, particularly of the fingers. The lumbar enlargement is not as significant in appearance because there is less fine motor control of the lower limbs.

Axial Control

The anterior corticospinal tract is responsible for controlling the muscles of the trunk (Figure 24.2). These axons do not decussate in the medulla. Instead, they remain in an anterior position as they descend the brain stem and enter the spinal cord. These axons then travel to the spinal cord where they synapse with a lower motor neuron. At each axon’s specified point, the axons decussate and enter the ventral horn on the opposite side of the spinal cord from which they entered. In the ventral horn, these axons synapse with their corresponding lower motor neurons. The lower motor neurons are located in the medial regions of the ventral horn, because they control the axial muscles of the trunk. Because movements of the body trunk involve both sides of the body, the anterior corticospinal tract is not entirely contralateral. Some collateral branches of the tract will project into the ipsilateral ventral horn to control synergistic muscles on that side of the body, or to inhibit antagonistic muscles through interneurons within the ventral horn. Through the influence of both sides of the body, the anterior corticospinal tract can coordinate postural muscles in broad movements of the body. These coordinating axons in the anterior corticospinal tract are often considered bilateral, as they are both ipsilateral and contralateral.

Extrapyramidal control

Other descending connections between the brain and the spinal cord are called the extrapyramidal system. The name comes from the fact that this system is outside the corticospinal pathway, which includes the pyramids in the medulla. The pathways of the extrapyramidal system are influenced by subcortical structures. For example, connections between the secondary motor cortices and the extrapyramidal system modulate spine and cranium movements. The basal nuclei, which are important for regulating movement initiated by the CNS, influence the extrapyramidal system as well as its thalamic feedback to the motor cortex.

The tectospinal tract projects from the midbrain to the spinal cord and is important for postural movements that are driven by the superior colliculus. The name of the tract comes from an alternate name for the superior colliculus, which is the tectum. The reticulospinal tract connects the reticular system, a diffuse region of gray matter in the brain stem, with the spinal cord. This tract influences trunk and proximal limb muscles related to posture and locomotion. The reticulospinal tract also contributes to muscle tone and influences autonomic functions. The vestibulospinal tract connects the brain stem nuclei of the vestibular system with the spinal cord. This allows posture, movement, and balance to be modulated on the basis of equilibrium information provided by the vestibular system.

Conscious movement of our muscles is more complicated than simply sending a single command from the precentral gyrus down to the proper motor neurons. During the movement of any body part, our muscles relay information back to the brain, and the brain is constantly sending “revised” instructions back to the muscles. The cerebellum is important in contributing to the motor system because it compares cerebral motor commands with proprioceptive feedback. The corticospinal fibers that project to the ventral horn of the spinal cord have branches that also synapse in the pons, which project to the cerebellum. Also, the proprioceptive sensations of the dorsal column system have a collateral projection to the medulla that projects to the cerebellum. These two streams of information are compared in the cerebellar cortex. Conflicts between the motor commands sent by the cerebrum and body position information provided by the proprioceptors cause the cerebellum to stimulate the red nucleus of the midbrain. The red nucleus then sends corrective commands to the spinal cord along the rubrospinal tract. The name of this tract comes from the word for red that is seen in the English word “ruby.”

A good example of how the cerebellum corrects cerebral motor commands can be illustrated by walking in water. An original motor command from the cerebrum to walk will result in a highly coordinated set of learned movements. However, in water, the body cannot actually perform a typical walking movement as instructed. The cerebellum can alter the motor command, stimulating the leg muscles to take larger steps to overcome the water resistance. The cerebellum can make the necessary changes through the rubrospinal tract. Modulating the basic command to walk also relies on spinal reflexes, but the cerebellum is responsible for calculating the appropriate response. When the cerebellum does not work properly, coordination and balance are severely affected. The most dramatic example of this is during the overconsumption of alcohol. Alcohol inhibits the ability of the cerebellum to interpret proprioceptive feedback, making it more difficult to coordinate body movements, such as walking a straight line, or guide the movement of the hand to touch the tip of the nose.

Ventral Horn of the Spinal Cord

Lower motor neurons (or somatic motor neurons), which are responsible for the contraction of skeletal muscles, are found in the ventral horn of the spinal cord where they synapse with upper motor neurons (Figure 24.2). These large, multipolar neurons have a corona of dendrites surrounding the cell body and an axon that extends out of the ventral horn. This axon travels through the ventral nerve root to join the emerging spinal nerve. The axon is relatively long because it needs to reach muscles in the periphery of the body. The diameters of cell bodies may be on the order of hundreds of micrometers to support the long axon; some axons are a meter in length, such as the lumbar motor neurons that innervate muscles in the first digits of the feet.

Motor Responses

There are three different kinds of motor responses including reflexes, rhythmic movement, and voluntary movement. The details of reflex and rhythmic movements are beyond the scope of this lesson, however, please keep in mind that they play an important role in contributing to body movement patterns.

Voluntary movements are integrated in the cerebral cortex and are the most complex in terms of all the anatomical regions involved. Key anatomical regions that control movement include:

  • The spinal cord – Integrates reflexes and generates rhythmic movement patterns.

  • Brain stem and cerebellum – Responsible for maintaining body position, and hand and eye movements.

  • Cerebellum – Also monitors signals from motor cortex to generate movement and adjusts body posture accordingly.

  • Thalamus – Modifies signals from spinal cord and cerebellum and relays them to the cerebral cortex.

  • Basal nuclei – Involved in motor planning.

  • Motor cortex of the cerebrum – receives input from different areas and executes movements.

Those listed anatomical regions play different roles in the creation of voluntary movements. In general, a voluntary movement can be divided into 3 phases: planning, initiating, and executing the movement (Figure 24.3).

Figure 24.3 Control of voluntary movement.

Planning

We already know that the prefrontal lobe of the cerebrum is responsible for any goal directed behavior. However, any body movement also requires constant knowledge of the body’s current position relative to itself and its surroundings. This information is gathered by visual and other sensory cues and relayed to sensory areas of the cerebral cortex, the cerebellum, brain stem and spinal cord. All of this information is utilized by the prefrontal lobe with constant feedback from the cerebellum and basal nuclei to plan a voluntary movement.

Initiation

Information from the planning phase is relayed to the premotor cortex and the supplemental motor areas. The premotor area helps in maintaining posture by controlling core muscle movements while the supplemental motor area helps in planning and coordinating movements by different regions of the body. Thus, the cerebral cortex plays a major role in controlling the first two phases of voluntary movement.

Execution

Execution of the movement is carried out by the primary motor cortex. The information to move is relayed down into the brain stem, spinal cord and the cerebellum. Both the cerebellum and basal nuclei provide constant feedback about posture and balance to the brain stem. The execution plan travels down the corticospinal tract to the lower motor neurons present in the ventral horn of the spinal cord which innervate the skeletal muscles that bring about the actual movement (described above).

Let’s return to the example we used in Lesson 17 of a baseball pitcher to help illustrate this process:

The pitcher of a baseball team stands on the mound preparing to throw the ball. The pitcher looks around the field and assesses several environmental: where they are standing, other players placed around the field, the batter, the scoreboard, the wind speed etc. All of this information is relayed to the pitcher’s primary sensory cortices, cerebellum, basal nuclei and spinal cord. The pitcher’s prefrontal lobe will take all of this information into account while deciding what kind of pitch they should throw and how they should throw it. Using that sensory information, the pitcher’s premotor cortex and supplemental motor areas, basal ganglia, and thalamus together initiate the pitch by sending information to upper motor neurons in the primary cortex. The upper motor neurons send the information to lower motor neurons to stimulate skeletal muscle fibers to contract, executing the movement. Focusing on muscles of the pectoral girdle during the throwing of a ball, the primary motor cortex would direct:

  1. Suprascapular and axillary nerves (via the corticospinal tract) to stimulate the infraspinatus and teres minor muscles to adduct the right shoulder (assuming a right-handed pitcher)

  2. Suprascapular nerve to stimulate the supraspinatus and infraspinatus muscles to extend and abduct the right shoulder

  3. Subscapular nerve to stimulate the subscapularis muscle to medially rotate your right shoulder

  4. Suprascapular and axillary nerves to stimulate the infraspinatus and teres minor muscles to adduct the right shoulder

Source Material

Most images and the text found in this section are a derivative of "Anatomy and Physiology" by OpenStax CNX used under CC BY 4.0. Aug 2, 2019. Download the original text for free at http://cnx.org/contents/14fb4ad7-

39a1-4eee-ab6e-3ef2482e3e22@16.1

Activities

Functional Anatomy of Motor Control

Associated SLOs

1. Name key regions of the brain involved in motor control and summarize the role they play in motor control. Procedure

This activity will be completed individually. Refer to the background information to complete the table below.

Check Your Understanding

  1. Complete the table below on the role structures of the brain play in motor control.

Nervous system structureRole in motor control
Brain stem
Thalamus
Motor cortex
Cerebellum

Motor Control Pathways

Associated SLOs

  1. Describe spinal cord tracts associated with movement.

Procedure

This activity will be completed individually. Refer to the background information to complete the exercise below.

Check Your Understanding

State whether each of the following statements is True or False. If false, re-write the statement to make it true.

  1. The axons of the corticobulbar tract are ipsilateral.

  2. The pyramidal decussation is where most of the fibers in the corticospinal tract cross over to the opposite side of the brain which have control over different domains of the musculature.

  3. The anterior corticospinal tract is composed of the fibers that cross the midline at the pyramidal decussation.

  4. The lateral corticospinal tract is responsible for moving the muscles of the arms and legs.

  5. The anterior corticospinal tract is responsible for controlling the muscles of the face.

  6. The lower motor neurons that control the axial muscles of the trunk are located in the medial regions of the ventral horn.

  7. The anterior corticospinal tract is entirely contralateral.

  8. The tectospinal tract projects from the midbrain to the spinal cord and is important for postural movements that are driven by the superior colliculus.

  9. The reticulospinal tract allows posture, movement, and balance to be modulated on the basis of equilibrium information provided by the vestibular system.

Answer the following questions in 3-4 sentences.

  1. How does the cerebellum contribute to the motor system?

  2. How do lower motor neurons cause skeletal muscle contractions?

Voluntary Movement

Associated SLOs

  1. Identify different phases of voluntary movement.

  2. Apply the above SLOs to describe the fundamentals of voluntary movement control.

Procedure

This activity will be completed individually. Refer to the background information to complete the exercise below.

Check Your Understanding

  1. Name different regions of the nervous system that are involved in each of the following phases of voluntary movement.

Phase of Voluntary movement

Area of the nervous system

Planning
Initiation
Execution
  1. Find a partner and designate one person in the group as the ‘actor’. The actor will pick and perform one action. This can be as simple as standing up from your chair or lifting your phone from the desk. Keep the action as simple as possible. The other partner will fill out the following table below based on that person’s action. Switch roles and repeat for a different action. Refer to the example in this lesson to divide the action into different steps and refer to previous lessons to precisely describe the anatomy associated with the chosen actions.

Action performed (in simple words)
Steps taken (in order)

Anatomical region involved

Planning
Initiation
Execution

Region of the CNS:

Region of the PNS:

Action (in anatomical terms)

Nerve involved

Name of muscle

Lesson 25: The Senses – Vision

Created by Nurgul Kaya

Introduction

Of the five special senses, vision is the sense that we rely on most to interact with our external environment. In this lesson you will learn the basic anatomy of eye, along with some accessory structures.

Student Learning Outcomes (SLOs):

By the end this lesson, students will be able to:

1. Identify external and accessory structures of the eye on a model, diagram, or dissected specimen. 2. Identify the structures and functions of muscles associated with movement of the eye

  1. Identify interior structures of the eye on a model, diagram, or dissected specimen.

  2. Describe the cellular structure of the retina.

  3. Trace the pathway of light as it moves through the eyeball.

Background Information

Sensation vs. Perception

The sensory portion of our nervous system allows us to interact with the external and internal environment. Stimuli from varying sources, and of different types, are received and changed into the electrochemical signals of the nervous system. This occurs when a stimulus changes the membrane potential of a sensory neuron which causes the sensory receptor to produce an action potential that is relayed into the central nervous system (CNS), where it is integrated with other sensory information—or sometimes higher cognitive functions—to sometimes become a conscious perception of that stimulus.

Describing sensory function using the terms sensation and perception implies specific meaning and the two terms cannot be used interchangeably. Sensation is the activation of sensory receptor cells at the level of the stimulus. Sensation involves receptors which are the cells or structures that directly interact with the physical stimulus leading to a change in the receptor cell. That change will stimulate a series of sensory neurons which transmit the information to sensory cortices in the cerebrum where that information is integrated. Integration of information in the sensory cortices gives meaning to the sensory stimuli and provides a conscious interpretation of that stimulus, called perception. Notably, perception is dependent on sensation, but not all sensations are perceived.

The basic principles of sensation and perception apply to all types of sensory stimuli we interact with including touch, taste, smell, hearing, equilibrium, and vision. For the purposes of this course, we will focus on the special senses associated with the eye (vision, this lesson) and ear (hearing and equilibrium, Lesson 26).

Vision Anatomy

Vision is the special sense of sight that is based on the transduction of light stimuli received through the eye. The primary structure associated with vision is the eyeball but there are also several accessory structures that are critical for our ability to see the world around us.

Accessory Structures

Several accessory structures function to protect the eyeball (Figure 25.1). Each eyeball is located within an orbit in the skull. The bony orbit surrounds the eyeball, protecting it and serving as an anchor for soft tissues that support the eyeball. Eyelids, with lashes at their leading edges, help to protect the eye from abrasions by blocking particles that may land on the surface of the eye. The inner surface of each eyelid contains a thin membrane called the palpebral conjunctiva which is continuous with the ocular conjunctiva which extends over the white areas of the eye, connecting the eyelids to the eyeball. The production of tears by the lacrimal gland washes the surface of the eyeball to prevent the accumulation of foreign material and nourish the cells of the cornea. The lacrimal gland, found in the superolateral portion of the orbit, releases fluid through lacrimal ducts onto the surface of the eye where the fluid flows to the medial corner of the eye and is collected via the lacrimal punctum. The collected fluid moves through the lacrimal canaliculus, into the lacrimal sac, through the nasolacrimal duct, into the back of the nasal cavity, and down into the throat.

Figure 25.1 The eye is located within the orbit and surrounded by soft tissues that protect and support its function. The orbit is surrounded by cranial bones of the skull.

Muscles of the Eye

Movement of the eye within the orbit is accomplished via contraction of six extraocular muscles that originate from the bones of the orbit and insert into the surface of the eyeball (Figure 25.2). Four of the muscles are arranged at the cardinal points around the eye and are named for those locations. They are the superior rectus, medial rectus, inferior rectus, and lateral rectus. When each of these muscles contract, the eye to moves toward the contracting muscle. For example, when the superior rectus contracts, the eye rotates to look up.

The superior oblique originates at the posterior orbit, near the origin of the four rectus muscles. However, the tendon of the oblique muscles thread through a pulley-like piece of cartilage known as the trochlea. The tendon inserts obliquely into the superior surface of the eye. The angle of the tendon through the trochlea means that contraction of the superior oblique rotates the eye medially. The inferior oblique muscle originates from the floor of the orbit and inserts into the inferolateral surface of the eye. When it contracts, it laterally rotates the eye, in opposition to the superior oblique. Rotation of the eye by the two oblique muscles is necessary because the eye is not perfectly aligned on the sagittal plane. When the eye looks up or down, the eye must also rotate slightly to compensate for the superior rectus pulling at approximately a 20-degree angle, rather than straight up. The same is true for the inferior rectus, which is compensated by contraction of the inferior oblique.

The extraocular muscles are innervated by three cranial nerves. The lateral rectus, which causes lateral movement of the eye, is innervated by the abducens nerve. The superior oblique is innervated by the trochlear nerve. All of the other muscles are innervated by the oculomotor nerve. The motor nuclei of these cranial nerves all connect to the brain stem which coordinates eye movements.

Figure 25.2 Extraocular Muscles. The extraocular muscles move the eye within the orbit.

The Eyeball

Layers of the Eyeball

The eyeball itself is a hollow sphere composed with three layers of tissue forming the walls (Figure 25.3). The outermost layer is the fibrous tunic, which includes the white sclera and transparent cornea. The cornea covers the anterior tip of the eye and allows light to enter the eye. The middle layer of the eye is the vascular tunic, composed of, from posterior to anterior, the choroid, ciliary body, and iris. The choroid is a layer of highly vascularized connective tissue that provides a blood supply to the other layers of the eyeball. Anterior to the choroid is the ciliary body, a muscular structure that attaches to the lens by suspensory ligaments. The ciliary body and suspensory ligaments change the shape of the lens, allowing it to focus light onto specific regions at the back of the eye. Overlaying the ciliary body, and visible in the anterior eye, is the iris—the colored part of the eye. The iris contains layers of smooth muscle that either open or close the pupil, which is the hole at the center of the eye that allows light to enter the eyeball. The innermost layer of the eye is the neural tunic, or retina, which contains the receptor cells and other nervous tissue responsible for photoreception and is described further below.

Cavities of the Eyeball

The eyeball is also divided into two cavities: the anterior cavity and the posterior cavity (Figure 25.3). The anterior cavity is the space between the cornea and lens, bound by the iris and ciliary body on the posterior side. It is filled with a watery fluid called aqueous humor. The anterior cavity is further divided into two chambers, anterior and posterior. The anterior chamber is the space between cornea and iris. The posterior chamber is the space between the iris and lens. The posterior cavity is the space behind the lens that extends to the posterior side of the interior eyeball and is filled with a viscous fluid called the vitreous humor.

Figure 25.3 The Eyeball.

The Retina

The retina is composed of several layers and contains specialized cells for the initial processing of visual stimuli. There are two types of photoreceptors—called rods and cones—which contain two parts, the inner segment and the outer segment (Figure 25.4). The inner segment contains the nucleus and other common organelles of a cell, whereas the outer segment is a specialized region in which photoreception takes place. The rod-shaped outer segments of rods contain a stack of membrane-bound discs that contain the photopigment rhodopsin. The cone-shaped outer segments of the cone photoreceptor contain their photopigments in infoldings of the cell membrane. There are three different cone photopigments, called opsins, which are each sensitive to particular wavelengths of light. In humans, this is restricted to the visible spectrum of light and the cone opsins are commonly referred to by the primary colors most associated with the spectrum: red, green, and blue.

Photoreceptors are stimulated upon exposure to light which affects their release of signaling molecules onto modified neurons called bipolar cells. In turn, bipolar cells interact with neurons called ganglion cells whose axons lie at the innermost layer of the retina, collect at the optic disc, and leave the eye as the optic nerve (Figure 25.3). Because these axons pass through the retina, there are no photoreceptors at the very back of the eye, where the optic nerve begins. This creates a “blind spot” in the retina, and a corresponding blind spot in our visual field. Also note that the photoreceptors in the retina (rods and cones) are located behind the axons, ganglion cells, bipolar cells, and retinal blood vessels. A significant amount of light is absorbed by these structures before the light can even reach the photoreceptors.

At the center of the posterior portion of the retina is a small area known as the fovea (fovea centralis). At the fovea, the supporting cells and blood vessels are pushed away and light can directly hit photoreceptors.

Therefore, visual acuity, or the sharpness of vision, is greatest at the fovea. As one moves in any direction from this central point of the retina, visual acuity drops significantly. The difference in visual acuity between the fovea and peripheral retina is easily illustrated by looking at a word in the middle of this paragraph. The visual stimulus in the middle of the field of view falls on the fovea and is in the sharpest focus allowing you to clearly read that word. Without moving your eyes off that word, notice that words at the beginning or end of the paragraph are not in focus. The images in your peripheral vision are focused on the peripheral retina, and have vague, blurry edges and words that are not as clearly focused. As a result, a large part of our special sense of vision is concerned with moving the eyes and head so that important visual stimuli are centered on the fovea for visual acuity.

Figure 25.4 Photoreceptor (a) All photoreceptors have inner segments containing the nucleus and other important organelles and outer segments with membrane arrays containing the photosensitive opsin

molecules. Rod outer segments are long columnar shapes with stacks of membrane-bound discs that contain the rhodopsin pigment. Cone outer segments are short, tapered shapes with folds of membrane in place of

the discs in the rods. (b) Tissue of the retina shows a dense layer of nuclei of the rods and cones. LM × 800. (Micrograph provided by the Regents of University of Michigan Medical School © 2012)

Pathway of the Light

Photons of light enter the eye through the cornea which and refraction occurs as the rays that pass through anterior chamber, aqueous humor, and pupil. The iris surrounding the pupil has the ability to expand and contract, to regulate the amount of the light travelling through the pupil. Light then passes through the lens which further bends light rays to focus them onto the photoreceptors of the retina.

Source Material

All images and text found in this section are a derivative of "Anatomy and Physiology" by OpenStax CNX used under CC BY 4.0. Aug 2, 2019. Download the original text for free at http://cnx.org/contents/14fb4ad7-39a14eee-ab6e-3ef2482e3e22@16.1

Pre-assessment

Matching structure of the eye

Test your current level of understanding by matching each structure of the eye with its function by writing the letter referencing the background information.

  1. ___ Lens

  2. ___ Retina

  3. ___ Vitreous humor

  4. ___ Iris

  5. ___ External muscles

  6. ___ Optic nerve

  1. pigmented structure which controls diameter of pupil

  2. transmits signals from the retina to the brain

  3. move the eye around

  4. refracts light to be focused on the retina

  5. the jelly-like substance filling the central cavity of the eye

  6. creates electrical impulses that are sent to the brain

Activities

Anatomy of the eye

Associated SLOs

1. Identify and describe internal and external eye structures on a model, eye specimen or diagram.

Required Materials

  • Colored tape or post-it notes

  • Sharpie or marker

  • Eye model

Procedure

This activity requires you to label the structures of the eye on a model. You are provided a list of terms below and you are expected to use every term provided. Using colored tape or post-it notes, please write the number that corresponds to the term from the list and place them on your model.

List of Terms:

Eye - Internal

Eye – External & Accessories

Anterior portion Sclera

Cornea

Anterior chamber

Aqueous humor

Iris

Pupil

Posterior chamber

Lens

Ciliary body

Suspensory ligament

Posterior portion

Posterior cavity

Vitreous humor

Retina

Fovea centralis

Macula lutea Optic disc

Tapetum lucidum

Choroid

Optic nerve

Lateral rectus muscle

Medial rectus muscle

Superior rectus muscle

Inferior rectus muscle

Superior oblique muscle

Inferior oblique muscle Pupil

Iris

Sclera

Lacrimal caruncle

Check Your Understanding

1. Label the following figures by using the terms listed in the previous page.

2-Cow Eye Dissection

The cow eyes functionally and structurally similar to the human eye. During this activity, you will dissect a cow eye, identify several structures of a cow eye and learn their functions.

Associated SLOs

1. Identify and describe external and internal eye structures on a dissected eye.

Required Materials (Provided)

  • Preserved cow’s eye

  • Single-edged razor blade or scalpel

  • Dissection scissors

  • Dissection tray

  • Forceps

  • Latex gloves

  • Paper towel

  • Plastic trash bag

Procedure:

You will complete this activity in dissection lab as group of 2-3. Please read the following steps carefully before you begin and while doing dissection.

  1. Put on your personal protective gloves and get a cow eye from your TA.

  2. Place the preserved cow eye on a dissecting tray.

  3. Examine the external features of the eye.

- Note the large amount of fatty tissue and muscles surrounding the eye.

  1. Cut away all the thick fat and the muscle surrounding the eyeball. Avoid cutting the tough optic nerve on the back of the eye.

  1. Using a scissor or scalpel, carefully cut through the sclera around the middle of the eye.

- While cutting through the sclera, a clear watery fluid will seep out which is aqueous humor. - Note the tough consistency of the sclera and relate that to this layer’s function.

  1. Separate the anterior and posterior portions of the eye.

  1. Examine the vitreous humor and anterior structures (cornea, pupil, iris, ciliary body, lens).

  2. Remove the vitreous humor and lens from the anterior portion of the eye to examine the iris and pupil.

  1. Examine the posterior structures (retina, optic disc, tapetum lucidum, choroid, optic nerve).

- Note the tapetum lucidum which is not present in humans

  1. Carefully remove the retina and examine the reflective layer beneath the retina.

  1. When you are done with the eye dissection, dispose of the eyeball in the biohazard bin and wash the dissection tray, scalpels and scissors.

Cow Eye Dissection Lab Observation Sheet

Describe your observations of the parts of the cow’s eye as you worked through the dissection and connect structure to function for each of the given structures:

Sclera:

Cornea:

Muscles and Fat:

Pupil:

Iris:

Lens:

Optic Nerve:

Aqueous Humor

Vitreous Humor:

Retina:

Tapetum Lucidum:

Notes:

Check Your Understanding

  1. Name the major anatomical difference between the cow eye and human eye that you observed.

________________________________________________________________________________________.

  1. Why does the optic nerve cause a blind spot?

________________________________________________________________________________________.

  1. If you enter a dark room after being in a bright room, what would happen to your pupil- get smaller or get larger? Why?

________________________________________________________________________________________.

4.What is the function of the muscles surrounding the eye? How do they affect vision?

_________________________________________________________________________________________.

  1. Light first enters the eye through the lens.

    1. True

    2. False

  2. What is the white layer that surrounds eye?

    1. Cornea

    2. Retina

    3. Ciliary body D) Sclera

  3. Which one of the following correctly lists the order of the parts through which light passes?

    1. cornea, vitreous humor, lens, posterior cavity B) cornea, posterior cavity, lens, vitreous humor C) lens, vitreous humor, cornea, posterior cavity

D) cornea, lens, vitreous humor, posterior cavity

  1. Fill in the blank with the appropriate words.

Structure Function
creates electrical impulses that are sent to the brain
External muscles
pigmented structure which controls diameter of pupil
Fovea
protects eyes against infection
Ciliary body
the jelly-like substance filling the central cavity of the eye
Lens
contains light-sensitive cells – allows us to see details clearly
Optic nerve

Lesson 26: The Senses – Hearing

Created by Nurgul Kaya

Introduction

The ear is an important sensory structure that allows us to interact with very different stimuli associated with the special senses of hearing and equilibrium. This lesson will focus on the structures and basic transduction pathway associated with hearing.

Student Learning Outcomes (SLOs):

By the end of this lesson, students will be able to:

  1. Identify and differentiate between structures of the external, middle, and inner ear on a model or diagram.

  2. Trace the pathway of soundwaves from the external ear through the stimulation of receptors for the special sense of hearing.

Hearing Background Information

Hearing, or audition, uses structures of the ear in order to transduce sound waves into a neural signal that projects to the brain to allow us to perceive sounds from the environment around us. The ear also is critical for another special sense, equilibrium, which will not be considered in detail in this lesson.

Hearing Anatomy External Ear

The large, fleshy structure on the lateral aspect of the head is known as the auricle. Some sources will also refer to this structure as the pinna, though that term is more appropriate for a structure that can be moved, such as the external ear of a cat. The C-shaped curves of the auricle direct sound waves toward the auditory canal. The canal enters the skull through the external auditory meatus of the temporal bone. At the end of the auditory canal is the tympanic membrane, or ear drum, which serves as the border between the external and middle ear (Figure 26.1).

Middle Ear

The middle ear includes a space spanned by three small bones called the auditory ossicles. The three auditory ossicles are the malleus, incus, and stapes, which are Latin names that roughly translate to hammer, anvil, and stirrup. The malleus is attached to the tympanic membrane and articulates with the incus. The incus, in turn, articulates with the stapes. The stapes is then attached to the oval window which serves as the border btween the middle and inner ear. The cavity of the middle ear is connected to the pharynx via the Eustachian tube, which helps equilibrate air pressure across the tympanic membrane. The tube is normally closed but will open when the muscles of the pharynx contract during swallowing or yawning which is why it can be helpful to chew gum or yawn while changing altitude rapidly in a plane.

Inner Ear

The inner ear is often described as a bony labyrinth, as it is composed of a series of canals embedded within the temporal bone. It has two separate regions, the cochlea and the vestibule (Figure 26.1), which are responsible for hearing and balance, respectively. The canals in the cochlea are fluid-filled ducts that respond to sound waves to stimulate receptive cells (described below). Similarly, the vestibule contains three fluidfilled semicircular ducts (anterior, lateral, and posterior semicircular ducts) that respond to changes in the body’s position (Figure 26.1) by stimulating receptive cells. In both cases, the initial stimuli are transduced into neural signals and relayed to the brain stem through separate nerve branches that converge to form the vestibulocochlear nerve.

Figure 26.1 Structures of the Ear. The external ear contains the auricle, ear canal, and tympanic membrane. The middle ear contains the ossicles and is connected to the pharynx by the Eustachian tube. The inner ear contains the cochlea and vestibule.

Cochlea

The cochlea attaches to the middle ear via the oval window which is located at the beginning of a fluid-filled tube within the cochlea called the scala vestibuli. The scala vestibuli extends from the oval window, travelling above the cochlear duct, which is the central cavity of the cochlea that contains the receptive cells for hearing. At the uppermost tip of the cochlea, the scala vestibuli curves over the end of the cochlear duct to become the scala tympani. The scala tympani returns to the base of the cochlea, this time travelling under the cochlear duct. The scala tympani ends at the round window, which is covered by a membrane to keep the fluid within the scala.

A cross-sectional view of the cochlea shows that the scala vestibuli and scala tympani run along both sides of the cochlear duct (Figure 26.2). The cochlear duct contains the spiral organ (organ of Corti), which tranduces the wave motion of fluid within the two scala into neural signals. The spiral organ lies on top of the basilar membrane, which is the side of the cochlear duct located between the spiral organ and the scala tympani. Within the spiral organ are hair cells which are integrated between the basilar and tectorial membranes and act as the receptive cells for hearing (Figure 26.3). Specialized stereocilia on the hair cells bend in response to movement in the fluid which can stimulate sensory neurons that make up the cochlear branch of the vestibulocochlear nerve.

Figure 26.2 Cross Section of the Cochlea. The three major spaces within the cochlea are highlighted. The scala tympani and scala vestibuli lie on either side of the cochlear duct. The spiral organ, containing the mechanoreceptor hair cells, is adjacent to the scala tympani, where it sits atop the basilar membrane.

Figure 26.3 The Spiral organ and hair cells. The hair cell is a mechanoreceptor with an array of stereocilia emerging from its apical surface. The stereocilia are tethered together by proteins that open ion channels when the array is bent toward the tallest member of their array and closed when the array is bent toward the shortest member of their array.

Sound Transduction

A sound wave enters the external ear via the auricle and travels through the external auditory canal to cause the tympanic membrane to vibrate. Vibration of the tympanic membrane leads to vibration of the auditory ossicles (malleus, incus, and stapes) where amplification or dampening of the sound can occur (Figure 26.4). The stapes vibrates the oval window which causes changes in pressure in the fluid of the cochlea cause fluid waves in the scala vestibuli and scala tympani. These fluid waves will move the basilar membrane in a specific region of the cochlea related to the frequency of the sound waves. Movement of the basilar membrane causes hair cells in the spiral organ to bend and stimulate sensory neurons which send the electrical signals to the brain to be perceived as sound (Figure 26.4).

Figure 26.4 Pathway of Sound Transduction

Source Material

All images and text found in this section are a derivative of "Anatomy and Physiology" by OpenStax CNX used under CC BY 4.0. Aug 2, 2019. Download the original text for free at http://cnx.org/contents/14fb4ad7-39a14eee-ab6e-3ef2482e3e22@16.1

Pre-assessment

Matching structure of the ear

Test your current level of understanding by matching each structure of the ear with its function by writing the letter referencing the background information.

  1. ___ Cochlea

  2. ___ Incus

  3. ___ Oval window

  4. ___ Tympanic membrane

  5. ___ Auditory canal

  6. ___ Pinna

  1. divides the external ear from the middle ear.

  2. the outside part of the ear.

  3. connects the outer ear to middle ear.

  4. organ of hearing; transforms sound into signals

  5. the bridge bone between the malleus and the stapes

  6. an opening located at the end of the middle ear and the beginning of the inner ear

Activities

Anatomy of the ear

Associated SLOs

1. Identify and describe external, middle and inner ear structures on a model or diagram.

Required Materials

  • Colored tape or post-it notes

  • Sharpie or marker

  • Ear model

Procedure

This activity requires you to label the structures of the ear on a model. You are provided a list of terms below and you are expected to use every term provided. Using colored tape or post-it notes, please write the number that corresponds to the term from the list and place them on your model.

List of Terms:

External & Middle Ear

Inner Ear

Pinna (auricle)

Auditory canal (external acoustic meatus)

Tympanic membrane

Auditory (Eustachian) tube

Malleus

Incus

Stapes

Oval window

Round window

Cochlea

Cochlear nerve

Vestibule

Anterior semicircular duct

Posterior semicircular duct

Lateral semicircular duct

Vestibular nerve

Check Your Understanding

  1. Label the following figure by using the terms listed in the previous page.

  1. How does information from the ear get to the brain? Illustrate with a simple diagram.

Check Your Understanding

  1. How sound waves striking the tympanic membrane result in movement of fluids in the inner ear?

________________________________________________________________________________________.

  1. Do you think prolonged exposure to loud noise cause hearing loss? Why?

_________________________________________________________________________________________.

5. What is the function of the inner ear?

  1. Direct sound waves to the tympanic membrane.

  2. Transforms sound waves into vibrations

  3. Connects the middle ear with the nasopharynx

  4. Transmit vibrations to the brain

8. Fill in the blank with the appropriate words.

Structure

Function

Vestibule

transmits the electrical impulses generated for hearing to brain

Pinna

connects the middle ear to the nasopharynx

Tympanic membrane

transfers the vibration of the auditory ossicles to the cochlea

Vestibular nerve

transforms the sound in neural impulses

Auditory canal

transmits the sound vibrations from the eardrum to the inner ear

Annotate

Powered by Manifold Scholarship. Learn more at
Opens in new tab or windowmanifoldapp.org